Cookie Consent byPrivacyPolicies.comdes nouvelles de Mlle Felureoupas - Eugenol

des nouvelles de Mlle Felureoupas

felureoupas

29/07/2019 à 09h28

Bonjour tout le monde,

Un grand merci à tous ceux qui m'avaient répondus à mes posts précédents.

Le cabinet est en congé (rappel je suis assistante dentaire) et donc je peux me reposer.....car mes douleurs continuent.....et me mine le moral.

J'ai suivi les conseils de certains d'entre vous et j'ai RDV demain matin avec un occluso.
Je pense en effet qu'il y a un rapport avec mes ATM ou mon stress/bruxisme.

En effet, j'ai donc mal au réveil autour de la zone 37....mais je me rend compte que mes cervicales me font mal également et j'ai comme une "tension" dans le cou. Les spasmes musculaires peuvent peut être déclenchés des douleurs dentaires ?
Je continue à avoir moins mal l'après midi...même si la douleur reste présente mais de manière plus "sourde".

J'espère ne pas avoir de problème neuropathique...car j'ai également maintenant une sensibilité sur la 42...cela me l'avait déjà fait..il y a 1 an..et mon patron n'avait rien trouvé.

J'avoue que cela m'use un peu moralement et quand le cabinet va rouvrir je tombe sur le boss..pour refaire un point global....je n'en peux plus.

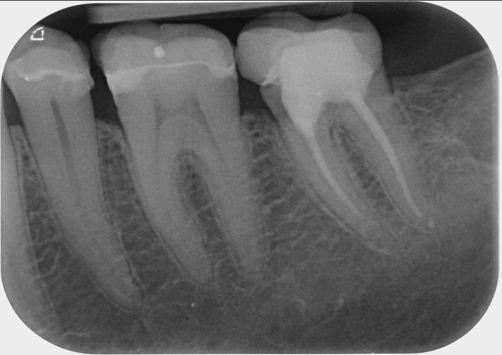
A toutes fins utiles, pour les nouveaux lecteurs, je reposte mes radios.
en ajoutant la 42 également.

Et si je dois résumer, les membres de ce groupe ont principalement évoquer :
problème du septum (mauvais points de contacts)
bruxisme/occlusion

un certain nombre me propose un CBCT pour rechercher une infection cachée mais d'autre dise inutile au vu des radios.

me pose aussi la question de la nécrose en cours de dent : je sais que cela génère des douleurs sournoises.

Merci encore tout le monde







Ij6u9pb3s0sqtldunz0b - Eugenol
Vxbkbda8etdxfvbvwljh - Eugenol
Zhl5c7ulzyl9ry6tniaa - Eugenol

PtnbZ

29/07/2019 à 12h01

Et pourquoi ne pas retraiter la 37 dans un premier temps qui présente une lésion sur la racine mésiale avec un traitement court et une lésion sur la racine distale avec un traitement adéquat?


felureoupas

29/07/2019 à 12h08

Bonjour PtnBZ..effectivement l'endo ne va pas jusqu'à l'apex..mais...comme on ne voit pas de tache sombre ..on peut supposer que pas d'infection ?
Enfin mon patron m'a dit RAS


PtnbZ

29/07/2019 à 12h16

Sur la radiographie ce n'est pas clair, peut être éliminer les causes les plus probables et les plus simples à régler avant de passer aux moins probables. Ce serait idéal de refaire un examen complet.


Tozzi

29/07/2019 à 12h29

1/ une lésion apicale peut ne pas se voir sur une radio 2D c'est si dur à comprendre pour toi ?
2/ 1 seul canal a été traité sur cette 37 alors que c'est rare d'avoir que 2 canaux
3/ on peut avoir des douleurs d'origine endo sans forcément avoir de lésion apicale, hé oui
4/ la 26 n'est pas claire


felureoupas

29/07/2019 à 13h54

Merci pour ce post Tozzi..un peu rude..mais merci
Nota : certains de tes confrères..ont (comme mon patron) répondu : CBCT inutile
Bref...tout cela n'est pas simple...et chaque praticien fait aussi en fonction de son expérience
mais merci de ton retour


Tozzi

29/07/2019 à 17h48

Je pense que 3 ans de douleurs inexpliquées çà représente un motif suffisant pour demander un CBCT en haut et en bas aussi, surtout avec autant de dents traitées et retraitées.
Le traitement en mésial de 37 n'est pas bon çà se voit tout de suite, peut-être un canal a été oublié, en tout cas un manque d'étanchéité.
Dans un cas comme çà, si cliniquement je vois que la dent est sensible (en écartant la possibilité d'une surocc) et même si le CBCT ne montre rien, je redémonte 37 et refait l'endo, avec le risque effectivement que çà ne change rien mais au moins le traitement sera correct et on peut écarter cette hypothèse à 100%.


Vw campersurfvan bmnk1q - Eugenol
enlaye

29/07/2019 à 18h23

felureoupas écrivait:
-----------
" j'ai RDV demain matin avec un occluso "

pour savoir s il est bon , le résultat de confort doit être immédiat et en 1 séance .
en tout cas effectivement , il faut commencer par là , ne serait ce que pour potentialiser les autres ttt éventuels .


Avatar transparent iqadnc - Eugenol
adhoc

30/07/2019 à 08h37

C'est marrant que la 37 vous interpelle, alors que la 35 (meme la 45!) est beaucoup plus louche, avec un compo juxta pulpaire (mauvais mariage) , et certainement une mortification lente a bas bruit, le truc bien vicelard au diagnostic differentiel difficile.


lachmar

30/07/2019 à 08h46

Tozzi écrivait:
-----
> Je pense que 3 ans de douleurs inexpliquées çà représente un motif suffisant
> pour demander un CBCT en haut et en bas aussi, surtout avec autant de dents
> traitées et retraitées.

3 ans de douleurs inexpliquées ne peuvent pas être d'origine dentaire ou occlusale pour une simple raison : si le problème initial était du à une dent, en 3 ans d'autres signes seraient apparus , et certains auraient été objectifs amenant un diagnostic immediat

en l'absence de signes objectifs je pense qu'on peut ecarter une origine dentaire simple et plutôt envisager une douleur neuropathique ou neurologique

un dysfonctonnement de l'ATM a une très forte composante neuropathique, mais pour le mêmes raisons de durée d'autres signes aggravants seraient apparus dont certains objectifs


felureoupas

30/07/2019 à 09h33

Bonjour tout le monde
de retour de l'occluso (très sympa)...et d'ailleurs contente d'en avoir trouvé un dans le Loiret.

Pour elle (Lachmar va être content :-) ) : ce n'est pas dentaire.
Les endos ne sont pas parfaites..mais avec des canaux calcifiés peut-on faire mieux de son point de vue....sans fragiliser la racine.
Sinon ...c'est l'exclusif...mais avec un prix..non négligeable.
Elle ne ferait pas non plus de CBCT et pas de reprise de l'endo pour l'instant.
Pas de surocclusion importante.

Par contre, elle rejoint certains : points de contacts moyens donc des problématiques de septum à bien surveiller.
Enfin elle a trouvé mes muscles de la machoire bien tendus. Elle pense donc que certaines de mes douleurs sourdes qui vont et viennent peuvent venir de spasmes musculaires.

Sa conclusion : pour elle ce n'est pas dentaire
mélange de bourrage alimentaire et de tension musculaire : gouttière à faire et kiné maxillo faciale.

Elle évoque aussi une sensibilité neuropathique.

Affaire à suivre donc.

Dans tous les cas, elle m'indique pas le choix il faut surveiller votre stress.

Vraiment..ceci n'est pas simple....et vous n'avez pas un métier facile chers dentistes....faut vraiment être un docteur house..pour trouver certains maux
J'espère qu'elle a vu juste :-(






Vw campersurfvan bmnk1q - Eugenol
enlaye

30/07/2019 à 10h22

felureoupas écrivait:
-----------
" Sa conclusion : pour elle ce n'est pas dentaire
mélange de bourrage alimentaire et de tension musculaire : gouttière à faire et kiné maxillo faciale."

:-)) ah bonnnnn ?ce n est pas dentaire ? et donc , pourquoi faire une gouttière , alors ? :-)))
elle sert à rien celle là :-)))




felureoupas

30/07/2019 à 10h24

euh enfin pas liée à une lésion dentaire..c'est peut être moi qui m'exprime mal
Elle est sympa cette Occluso.


Vw campersurfvan bmnk1q - Eugenol
enlaye

30/07/2019 à 10h24

felureoupas écrivait:
-----------

" Sinon ...c'est l'exclusif...mais avec un prix..non négligeable."

??? 23e la consult comme tout le monde , non ?


felureoupas

30/07/2019 à 10h26

ah ben non.....une reprise endo par exclusif sur une molaire sur Paris (y a rien dans le Loiret)..elle m'évoque 600 euros la molaire


Vw campersurfvan bmnk1q - Eugenol
enlaye

30/07/2019 à 10h27

:-) et les tensions musculaires viennent d ou ?
du taux de sucre dans le coca cola ?


felureoupas

30/07/2019 à 10h33

coca pas bon pour le régime !!!
les tensions..principalement le stress pour elle


lachmar

30/07/2019 à 11h44

enlaye écrivait:
------
> :-)) ah bonnnnn ?ce n est pas dentaire ? et donc , pourquoi faire une gouttière
> , alors ? :-)))
> elle sert à rien celle là :-)))




parceque à ton avis les gouttières sont un soin dentaire ?


plus sérieusement s'il s'agissait d'un problème ATM il se serait aggravé depuis 3 ans avec apparition/augmentation de claquement craquements , limitation d'ouverture ou luxation de la mandibule

la gouttière, si elle est bien equilibrée est une bonne idée et si c'est un problème ATM

si ce n'est pas le cas il faut basculer sur l'hypothèse d'une douleur d'origine neuropathique (mais la gouttière peut en soulager certaines)

si tu n'est pas soulagée tu peux essayer un traitement test pour les douleurs chroniques genre laroxyl, mais c'est du ressort d'un centre antidouleur


Vw campersurfvan bmnk1q - Eugenol
enlaye

30/07/2019 à 11h53

"parceque à ton avis les gouttières sont un soin dentaire ?"

parceque à mon avis :-) , lorsqu' il n y a plus de dents , normalement , on ne propose pas de gouttière , enfin , je crois :-) donc je suppose que les dents ont un rôle là dedans .
tout au moins , j espère que ç est ce que doit penser celle qui lui a proposé une gouttière .


Vw campersurfvan bmnk1q - Eugenol
enlaye

30/07/2019 à 11h55

lachmar écrivait:
-------
" plus sérieusement s'il s'agissait d'un problème ATM il se serait aggravé depuis 3 ans avec apparition/augmentation de claquement craquements , limitation d'ouverture ou luxation de la mandibule "

et pourquoi veux tu qu elle ait un pb d atm ???


Utilisateur banni

30/07/2019 à 12h12

Je mets un très gros billet sur une interférence / ou surguidage 6-7
Et retraitement à réaliser sur la 7 car incomplet . Je ne critique pas, ça peut arriver que ça soit très difficile d’accéder jusqu’à l’apex.

--
Palme d’or de l’académie, Auteur du best-seller « I have mal aux teeth » traduit en 27 langues, Lion d’or greffe du fémur à la mandibule


Vw campersurfvan bmnk1q - Eugenol
enlaye

30/07/2019 à 12h18

professeur-labiche- écrivait:
-------------------
" Je mets un très gros billet sur une interférence / ou surguidage 6-7 "

+1 .moi j y mets un billet violet :-)
avec en plus un encombrement incisif ( sur-contact retropulsif )


lachmar

30/07/2019 à 14h43

enlaye écrivait:

>
> parceque à mon avis :-) , lorsqu' il n y a plus de dents , normalement , on ne
> propose pas de gouttière , enfin , je crois :-) donc je suppose que les dents
> ont un rôle là dedans .


les dysfonctionnement cranio mandibulaires sont comme le triolisme : ca se joue à 3 :
- dents
-ATM
-muscles (donc système nerveux)

et le but de la gouttière est de mettre les dents en inocclusion , en réglant bien la nouvelle occlusion et les latéralites et propulsion/retropusion
de cette manère on espère une position plus favorable au niveau de l'articulation et de fait une relaxation musculaire


felureoupas

30/07/2019 à 14h48

Merci Messieurs
bon par contre..moi je suis dépassée par "interférence / ou surguidage 6-7"
Je suis larguée :-) :-) .;même si je suppose que vous évoquez le guidage des dents lors de la mastication et ouverture.


felureoupas écrivait:
-----------
> Merci Messieurs
> bon par contre..moi je suis dépassée par "interférence / ou surguidage 6-7"
> Je suis larguée :-) :-) .;même si je suppose que vous évoquez le guidage des
> dents lors de la mastication et ouverture.

Pas grave, pas la seule à être larguée.


12