Cookie Consent byPrivacyPolicies.comconflit patient - Eugenol

conflit patient

i73

27/08/2019 à 15h06

Bonjour
Un patient se présente en me disant qu'il a des kystes sous des couronnes que j'ai réalisées il y a 6 ans.
Il souhaite que je prenne en charge tout ou partie des frais de rte et de prothèse....
Mes traitements à l'époque n'étaient pas tout à fait à l'apex (racines très fines et courbées)
Vous feriez quoi?
Merci par avance


Morgan ztbb1b - Eugenol
BONNET jc

27/08/2019 à 15h21

Perso, je reprends tout gratuitement, en précisant que je ne suis pas sûr de faire mieux.


2 n2dlt7 - Eugenol
2+2®

27/08/2019 à 15h24

Il y a de fortes chances que tu ne fasses pas mieux voir pire en démontant.
Si pas de signes tu surveilles, sinon extractions implants et à ce moment tu fera le petit geste.


2 n2dlt7 - Eugenol
2+2®

27/08/2019 à 15h27

Tu pourrais mettre une radio qu'on cerne mieux la problématique de tes endos?


lachmar

27/08/2019 à 15h30



s'il sait qu'il a des kystes sous les couronnes c'est qu'il a vu un confrère qui lui a tenu le disocours habituel genre "quel est le sagoin qui vous fait ca ???? moi pour 10000 euros je peux vous le refaire sans problème
à mon avis la motivation de ton patient est purement financière
tu as fait de ton mieux : tu n'es pas un exclusif

fais une declaration à ta RCP et envoie le se faire dorer


i73

27/08/2019 à 15h30

Merci pour vos réponses
le problème c'est que je l'ai orienté chez un endodontiste pour une autre dent qu'il a traitée, et que ce confrère a détecté ces autres lésions. Il lui en a parlé et proposé de refaire les traitements ce qui implique de refaire les couronnes. Evidemment le patient appelle pour que je prenne en charge les frais.
Mais quid après 6 ans?


i73

27/08/2019 à 15h34

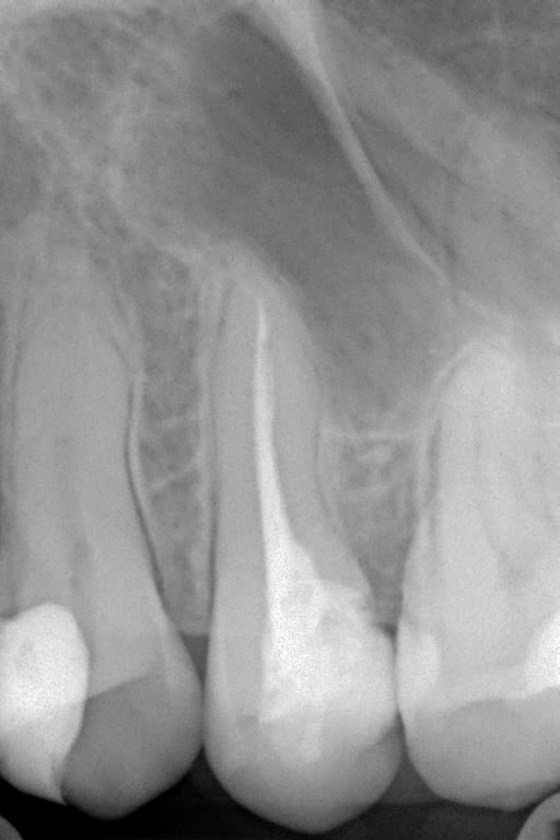
les radios

1 vdjkow - Eugenol
2 yf6iyx - Eugenol

azerty

27/08/2019 à 15h36

je ne refais pas gratos. il y a un coefficient de vétusté sur la prothèse: donc on ne la refait pas gratos.
et si il n'est pas content expertise.
et puis kyste n'est pas infection.... si a chaque kyste tu refais tout ben t'as pas fini.
il y en a des millions asymptomatique et les gens s'en portent très bien.


zolimome

27/08/2019 à 15h36

déjà change de correspondant endo


azerty

27/08/2019 à 15h47

ton correspondant est d'une finesse en disant ce qu'il a dit....
autant faires les endos toit meme comme cela tu geres tes propres emmerdes et tu evites ce genre de conflit


Morgan ztbb1b - Eugenol
BONNET jc

27/08/2019 à 15h55

A la vue des radios, je change d'avis. Es tu sûr qu'il y a des kystes? Demande une pano puis cone bean. Et tu vires l'endo esclusif, de toute façon.


Avatar transparent iqadnc - Eugenol
adhoc

27/08/2019 à 16h07

Inimaginable ce crétin de confrere a spécialité endo qui se coupe la branche sur laquelle il est assis.


Jeunedentiste91

27/08/2019 à 16h08

Bonjour,
Tu as l’habitude d’envoyer chez ce correspondant ? En effet ça ne me parait pas très cool comme Propos maintenant à moduler si c’est le patient qui rapporte ça ...surtout que les endos ne sont pas si horribles, j’en ai aussi des comme ça certes quand je vois la radio je me dis que j’aurai pu faire mieux mais nul n’est parfait.
Je suppose que le patient veut donc que les endos soient reprises chez l’endo spe ?
Si dent symptomatique je referai l’endo A mes frais (chez moi pas chez l’endo Spe) par contre les couronnes non, si problème après 1 ou 2 ans je refait tout gratis mais pas après 6 ans.
Je pense que tu peux les re facturer on ne va pas aller chercher d’indu pour ça si? Par contre tu peux faire un geste en fonction du remboursement du patient, j’essaierai de trouver un compromis.
Tu as raison azerty c’est compliqué d’adresser ... il y a les patients qu’on ne revoit plus car ils n’ont plus confiance et se disent qu’on a pas la compétence pour bien les soigner, le risque que le correspondant ne soit pas des plus confraternel .. c’est pas évident je fais au cas par cas !
Bonnet jc a raison le cône beam peut être intéressant par contre une bonne endo en 2D peut être une vrai merde avec un cône beam ...ça apprend l’humilité face à la complexité canalaire, je préfère faire les cbct sur les endos des autres .. arf


2 n2dlt7 - Eugenol
2+2®

27/08/2019 à 16h30

Alors pas compliqué, déjà un coup de fil au confrère/correspondant tu l'appelles comme tu veux, nan?
lui demander son plan de traitement et ce qu'il a expliquer au patient.


Hok 1b hgd3rj - Eugenol
Hokusai

27/08/2019 à 16h31

i73 écrivait:
---
> Merci pour vos réponses
> le problème c'est que je l'ai orienté chez un endodontiste pour une autre dent
> qu'il a traitée, et que ce confrère a détecté ces autres lésions. Il lui en a
> parlé et proposé de refaire les traitements

... sympa le correspondant :))


i73

27/08/2019 à 16h39

merci à tous
donc le patient très mécontent veut se faire soigner par cet autre confrère. il voulait un arrangement à l'amiable avec moi, mais vu que je ne vais plus le soigner... je lui ai dit de me faire un courrier et je ferai une déclaration à la rcp
jusque là j'étais plutôt contente de ce correspondant mais j'avoue que là....
sympa le retour de vacances!


Zorba le grec 1373406512 108 lfk5ey - Eugenol
zorbalegrec

27/08/2019 à 16h41

Si dents couronnées avant de tous flinguer proposes des resections apicales


8tercecn7hisbbqbde2nil4nyxrw - Eugenol
Hanibalecter

27/08/2019 à 16h44

au vue des radios je ne vois pas de faute, l'endo est pas parfaite mais loin d’être dégueu non plus


3395 40 umvzjn - Eugenol
Aspius

27/08/2019 à 16h53

i73 écrivait:
---
> merci à tous
> donc le patient très mécontent veut se faire soigner par cet autre confrère. il
> voulait un arrangement à l'amiable avec moi, mais vu que je ne vais plus le
> soigner... je lui ai dit de me faire un courrier et je ferai une déclaration à
> la rcp
> jusque là j'étais plutôt contente de ce correspondant mais j'avoue que là....
> sympa le retour de vacances!

T'as eu un retour courrier du correspondant?


sagito

27/08/2019 à 17h20

a la vue des radios ,ils sont ou les kystes ? et elles sont ou les couronnes ?


Blue eye thumb medium dx1i0w - Eugenol
bill

27/08/2019 à 17h52

sagito écrivait:
------
> a la vue des radios ,ils sont ou les kystes ?

Pareil !


--
https://docudent.fr
Tous les documents du cabinet dentaire
& l'aide à la cotation du Reste à Charge 0
________________________________________


Morgan ztbb1b - Eugenol
BONNET jc

27/08/2019 à 17h53

Exact, on ne voit pas de couronnes. Moi, je ne vois pas non plus de Kystes.


i73

27/08/2019 à 18h14

ce sont les radios de 2013, je n'ai pas de clichés de ce jour c'est mon correspondant qui a vu le patient


2 n2dlt7 - Eugenol
2+2®

27/08/2019 à 18h20

un beau retour de baton


i73

27/08/2019 à 18h22

le correspondant m' a appelé ce matin pour me dire qu'il avait vu des kystes et en avait parlé au patient, que ce patient allait me contacter pour se retourner contre moi... ce qu'il a fait cet après midi.
je lui ai expliqué que j'avais fait de mon mieux, et que je ne peux rien faire pour lui puisqu'il va se faire soigner chez mon correspondant (enfin ex correspondant du coup)
il voulait en gros me faire payer tous les soins, voire un préjudice pour le temps qu'il va perdre
donc je lui ai dit de me faire un courrier , je transmettrai à mon assurance
effectivement mes endos auraient sûrement pu être mieux, mais ce jour là j'ai dû faire de mon mieux, les traitements ne sont quand même pas affreux non plus. je ne pense pas risquer la radiation...


12...