Cookie Consent byPrivacyPolicies.comconflit patient - Eugenol

conflit patient

2 n2dlt7 - Eugenol
2+2®

27/08/2019 à 18h25

Attends, il ya un gros connard dans l'histoire quand-même.
Des endos moyennes j'en ai fait un paquet.... comme beaucoup de praticiens....mais ton correspondant qui te met dans la merde je n'en reviens pas!


Jeunedentiste91

27/08/2019 à 18h44

Je n’en reviens pas .. tu es d’ou?
Pfff Dans les cas comme ça je me dis que le karma s’occupera de lui!


rice and carie

27/08/2019 à 18h53

i73 écrivait:
---
> le correspondant m' a appelé ce matin pour me dire qu'il avait vu des kystes
-----------------------
Trop fort, il a déjà fait l'anapath?
sinon tu travailles depuis longtemps avec lui? fais connaitre ton histoire autour de toi.


Hok 1b hgd3rj - Eugenol
Hokusai

27/08/2019 à 18h56

.


motorola

27/08/2019 à 19h05

.


i73

27/08/2019 à 19h07

Oui, je trouve quand même que certains ne savent plus ce qu'est la confraternité
Si lésions il y a, le plus sympa aurait été de me renvoyer le patient pour que je vois avec lui avant de dégainer un plan de traitement et un devis, quitte à ce que je lui renvoie ou que le patient y retourne de lui même
Quand au patient, je n'aurai jamais pensé ça de lui
Merci à tous pour vos messages


Photo pluton1b h9n4ea - Eugenol
pluton

27/08/2019 à 19h11

2+2® écrivait:
----
> Attends, il ya un gros connard dans l'histoire quand-même.
> Des endos moyennes j'en ai fait un paquet.... comme beaucoup de
> praticiens....mais ton correspondant qui te met dans la merde je n'en reviens
> pas!

perso, un ptit mail à mon CDO et ils auraient vite fait de le recadrer amha....


Hok 1b hgd3rj - Eugenol
Hokusai

27/08/2019 à 20h43

Y a aussi détournement de patientèle ?


3395 40 umvzjn - Eugenol
Aspius

27/08/2019 à 22h24

Si t'as des clichés per-op avec crampon en place et que y'a pas de lumière canalaire visible au delà de la limite apicale de ton obturation, tu risques pas grand chose.
T'es soumis à une obligation de moyens, pas de résultats.


cessna

28/08/2019 à 08h16

Il y a une obligation pour un praticien médecin , CD , etc de prévenir un patient si une pathologie est diagnostiquée ce qui est normal ; plusieurs choses a savoir entre autre connaitre véritablement le discours du confrère en question


lachmar

28/08/2019 à 08h18


si tu n'es pas junior .... l'histoire est tellement enorme qu'on peut y voire la patte de junior
- d'abord te couvrir en saisissant ta RCP
-ensuite punir ce confrère qui s'est pris pour une expert, et en cela a clairement contrevenu au code de déontologie en critiquant le travail d'un confrère : tu portes plainte contre lui devant le CDO , tu saisis au CRO et au CNO s'il le faut (ta RCP te suivra)

son comportement est inadmissible, deshonorant et repréhensible et tu ne peux pas laisser passer çà

suis à ta disposition en MP pour plus de précisions si tu le souhaites

bien entendu tu ne touches plus le patient


Hok 1b hgd3rj - Eugenol
Hokusai

28/08/2019 à 09h08



Des images apicales asymptomatiques y en a en France peut être 2-3


2 n2dlt7 - Eugenol
2+2®

28/08/2019 à 09h43

Des images apicales asymptomatiques y en a en France peut être 2-3... Par molaire traitée !!!!
en même temps a 20 balles le traitement par canal c'est pas vraiment étonnant.


dcs

28/08/2019 à 09h46

Un correspondant endo qui a soif de prothèse.

pas très clair... fait nous un historique chronologique !!
quand l as tu adressé? avec un courrier (précis de sa mission)?
tu es peut être cnsd et lui fsdl ou vice versa ? il faut explorer toutes les possibilités!


Capture d  cran 2015 03 12 12.28 - Eugenol
chicot29

28/08/2019 à 10h14

lachmar écrivait:
-------
>
>
> s'il sait qu'il a des kystes sous les couronnes c'est qu'il a vu un confrère
> qui lui a tenu le disocours habituel genre "quel est le sagoin qui vous fait ca
> ???? moi pour 10000 euros je peux vous le refaire sans problème
> à mon avis la motivation de ton patient est purement financière
> tu as fait de ton mieux : tu n'es pas un exclusif
>
> fais une declaration à ta RCP et envoie le se faire dorer

Comment ça vous ne savez pas faire de traitements canalaires ? Pourquoi vous les avez fait alors ?

--
En cas d'échec des négociations conventionnelles, seriez-vous prêt à suivre la promotion d'un déconventionnement massif de la profession par les syndicats représentatifs ? OUI - NON
Participez, anonymement, sur https://goo.gl/forms/nAO0htnsVmxotjYm1


Capture d  cran 2015 03 12 12.28 - Eugenol
chicot29

28/08/2019 à 10h26

Je pige pas. Si il n'y a aucune symptomatologie pourquoi a-voir adressé au correspondant ?


--
En cas d'échec des négociations conventionnelles, seriez-vous prêt à suivre la promotion d'un déconventionnement massif de la profession par les syndicats représentatifs ? OUI - NON
Participez, anonymement, sur https://goo.gl/forms/nAO0htnsVmxotjYm1


Devil wxz6j6 - Eugenol
devil s dare

28/08/2019 à 10h32

chicot29 écrivait:
--------
> Je pige pas. Si il n'y a aucune symptomatologie pourquoi a-voir adressé au
> correspondant ?
avoir c est mieux!!!!!
j adore les gens qui ne lisent pas tout ou alors en diagonale et se permettent de juger ou de faire des remarques hors sujet!!!! étouffes par leur ego et leur vanité démesurée!!!!


Capture d  cran 2015 03 12 12.28 - Eugenol
chicot29

28/08/2019 à 10h36

Tu vires et tu reprends ( ça marche aussi sans digue) Attends le RAC 0 pour refaire les couronnes. -)))


--
En cas d'échec des négociations conventionnelles, seriez-vous prêt à suivre la promotion d'un déconventionnement massif de la profession par les syndicats représentatifs ? OUI - NON
Participez, anonymement, sur https://goo.gl/forms/nAO0htnsVmxotjYm1

Ic clavette rte 1 2019 02 05 11.53 - Eugenol
Rte 25 bznxbw - Eugenol

Capture d  cran 2015 03 12 12.28 - Eugenol
chicot29

28/08/2019 à 10h40

devil s dare écrivait:
------------
> chicot29 écrivait:
> --------
> > Je pige pas. Si il n'y a aucune symptomatologie pourquoi a-voir adressé au
> > correspondant ?
> avoir c est mieux!!!!!
> j adore les gens qui ne lisent pas tout ou alors en diagonale et se permettent
> de juger ou de faire des remarques hors sujet!!!! étouffes par leur ego et
> leur vanité démesurée!!!!

Comme ça doit faire du bien ca hein mon petit diablotin ? Effectivement le fait de ne pas avoir de cone beam au cabinet peut te faire penser que tu es un king de l'endo. -)))
--
En cas d'échec des négociations conventionnelles, seriez-vous prêt à suivre la promotion d'un déconventionnement massif de la profession par les syndicats représentatifs ? OUI - NON
Participez, anonymement, sur https://goo.gl/forms/nAO0htnsVmxotjYm1


Capture d  cran 2015 03 12 12.28 - Eugenol
chicot29

28/08/2019 à 10h42


Je crois que je vais en acheter un. Je dois avoir un de ces gisements de couronnes à refaire. Je vais m'auto sabrer. -)))

--
En cas d'échec des négociations conventionnelles, seriez-vous prêt à suivre la promotion d'un déconventionnement massif de la profession par les syndicats représentatifs ? OUI - NON
Participez, anonymement, sur https://goo.gl/forms/nAO0htnsVmxotjYm1


Capture d  cran 2015 03 12 12.28 - Eugenol
chicot29

28/08/2019 à 10h45

Oui vous comprenez à l'époque les techniques de traitements canalaires n'étaient pas aussi performantes. -))))


--
En cas d'échec des négociations conventionnelles, seriez-vous prêt à suivre la promotion d'un déconventionnement massif de la profession par les syndicats représentatifs ? OUI - NON
Participez, anonymement, sur https://goo.gl/forms/nAO0htnsVmxotjYm1


Devil wxz6j6 - Eugenol
devil s dare

28/08/2019 à 10h48

toujours hors sujet!!!!!du bien??? non pas vraiment! petit et lamentable ,tout simplement! t as pris le melon mon petit gars!


Capture d  cran 2015 03 12 12.28 - Eugenol
chicot29

28/08/2019 à 10h56

Le correspondant a du faire un cone beam et vous n'etes pas sensés ignorer qu'il faut faire un compte rendu de ce qu'on y voit. Non ? Ca veut pas dire qu'il casse du sucre sur le dos du confrère qui a adressé le patient. Non mais tu vois un endo exclusif défoncer ses correspondants ? N'importe quoi.


--
En cas d'échec des négociations conventionnelles, seriez-vous prêt à suivre la promotion d'un déconventionnement massif de la profession par les syndicats représentatifs ? OUI - NON
Participez, anonymement, sur https://goo.gl/forms/nAO0htnsVmxotjYm1


Rape p0as4f - Eugenol
rapelapente

28/08/2019 à 11h14


@ Chicot: tu sais que ton Inlay core et ta couronne ne sont pas remboursables en raison d'une image apicale ?
Malgré l'évidente qualité de ton traitement ?
😂

--
Schooner For Ever


Capture d  cran 2015 03 12 12.28 - Eugenol
chicot29

28/08/2019 à 11h22

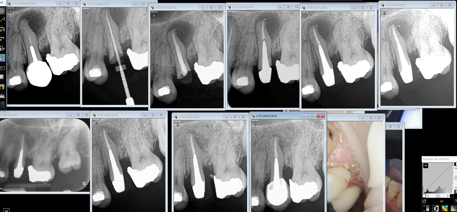
Figurez vous que j'ai eu le meme problème que notre confrère avec cette 27. Endo réalisée 7 ans auparavant. L'enfoiré de correspondant a dit qu'il y avait un problème alors que le patient ne sentait rien.

Capture d écran 2019 08 28 11.07 - Eugenol

123...