Cookie Consent byPrivacyPolicies.comresorption interne - Eugenol

resorption interne

burnax

25/09/2019 à 15h12

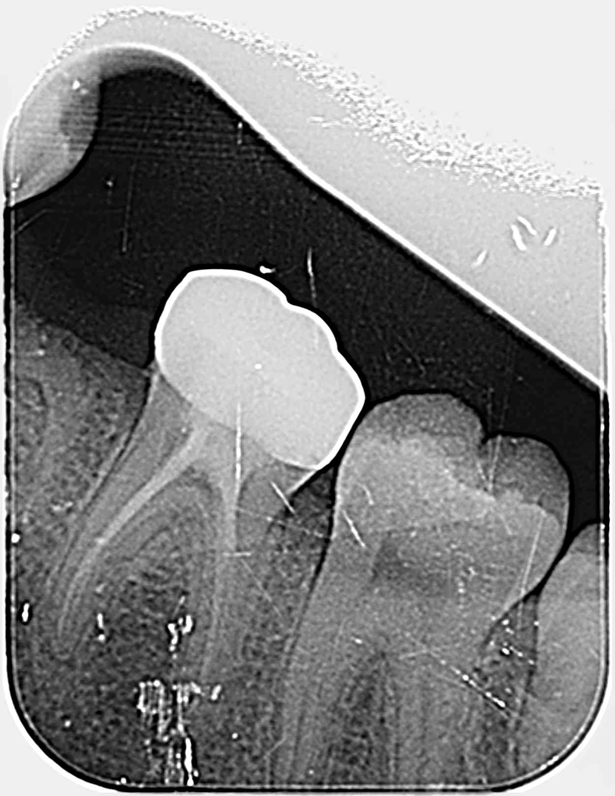
Bonjour, comment aborder traiter cette résorption interne, (l'implant à oublier pour raison financière à ce jour), bouchon MTA , verre ionomère ?

J'ai prescrit un conne beam.
Merci

Mayztlem5mplqbadoee9 - Eugenol

burnax

25/09/2019 à 15h12

Pardon la grosse faute, j'ai honte....


Capture d écran 2018 05 16 à 21.30 - Eugenol
Daryl

25/09/2019 à 15h21

Qué résorption interne ?? Jvois rien
et jvois même pas " la grosse faute " !!


Pareil, ni résorption, ni grosse, ni faute, ni conne, par contre radio pourrie et capteur griffé, t'as des chats en colère ?


Ylfwcw979cz1jnx9gfqeaxndiuzk - Eugenol
Algi

25/09/2019 à 15h33

La ou il manque toute la dent?

Ok ok je sors...


--

https://open.spotify.com/user/8iz7teu84dfphmgspeh2979o8/playlist/59Tfpt7zoHfkI27430lfNg?si=MAiYEkb2S6mMV6qNX2aFwg


On a toujours le choix mais entre quoi et quoi?
Vas-y boulégue et l'avenir te le dira!


burnax

25/09/2019 à 15h36



Ce sont mes yeux ou quoi??

P3 v8y3nq - Eugenol

Capture d écran 2018 05 16 à 21.30 - Eugenol
Daryl

25/09/2019 à 16h26

Bon burnax, je suppose que tu parles de la 36 ??

Je dirais pas résorption interne mais plutôt reprise de carie ...
Faut démonter, cureter et après tu vois combien il te reste d'épaisseur en inter radiculaire ..
Sur ta rétro griffée , ça semble moins profond que sur la pano !!




Nouveau image bitmap fz77zh - Eugenol
Sethef

25/09/2019 à 16h31

Pour une resorption interne, il faut de la pulpe, on est bien d'accord?


burnax

25/09/2019 à 16h40

36 oui.

Résorption interne ou externe ?

Pour une carie, je trouve être fort sous-gingival .. ?
Une bio, que j'ai faite il y a 11 ans.


Capture d écran 2018 05 16 à 21.30 - Eugenol
Daryl

25/09/2019 à 16h42

Sethef écrivait:
------
> Pour une resorption interne, il faut de la pulpe, on est bien d'accord?

On est d'accord !!
Cette carie c'est une résorption interne qui veut pas dire son nom ;-)))


burnax

25/09/2019 à 16h48

Donc, de toute façon le verdict tombera au cone bean si oui ou non il y a qq chose.

Ma question initiale ,pour cette lésion si avérée , était vu la profondeur et le contexte fort sous-gingival, quelle obturation serait le plus appropriée ?


Nouveau image bitmap fz77zh - Eugenol
Sethef

25/09/2019 à 19h16

Excuse moi par avance burnax, mais je vais faire le mauvais coucheur.
Concrètement, nous pouvons observer une vague radio clarté au niveau de la chambre pulpaire de 36, manifestement pas dans le même plan puisqu'elle est décalée en fonction de l'axe de la radio. Et... c'est tout.
Sondage? Symptomatologie? Inflammation paro?

Sans ça, on peut parler des heures, ça peut être une bulle de compo qui est là depuis 10 ans pour ce qu'on en sait.
Si il s'agit d'une reprise de carie, on a une entrée externe objectivable. Une résorption externe, c'est très rare, ça ne sonde pas et c'est asymptomatique, c'est plutôt lié à une ankylose. Une interne, il faut un parenchyme pulpaire. Donc quoi, il faut un cone beam pour diagnostiquer une carie? Je veux pas faire le parano de l'ASN, mais heureusement que les toubibs ne prescrivent pas un scanner à chaque rhume, sinon les patients vont finir fluos.

Merde, on n'a quand même pas un organe si compliqué à diagnostiquer, doit y avoir 10 pathologies à tout péter à apprendre correctement.

Je l'ai déjà dit, mais le RACO, c'est tout ce qu'on mérite.


Ylfwcw979cz1jnx9gfqeaxndiuzk - Eugenol
Algi

25/09/2019 à 19h40

T'a sondé? Sous locale histoire de sonder pour de vrai voire de decoller un peu la gencive pour voir sous les jupes des filles?

Soit carie soit resorption externe si tu trouves un trou....

Perso je sais pas faire, coller sur de la dentine sous la gencive.... Enfin je sais pas faire qui dure hein pasque colmater avec une verre iono c'est pas un vrai traitement.

Si tu trouves rien de dehors va falloir deposer la coiffe et aller voir dedans.....

Maintenant si c'est comme ça depuis 10 ans tu peux aussi surveiller et voir venir.....

Un controle tous les 6 mois et tu avises.

Bon sinon si tu tiens à te casser le cul ou refaire une coiffe .....


--

https://open.spotify.com/user/8iz7teu84dfphmgspeh2979o8/playlist/59Tfpt7zoHfkI27430lfNg?si=MAiYEkb2S6mMV6qNX2aFwg


On a toujours le choix mais entre quoi et quoi?
Vas-y boulégue et l'avenir te le dira!


Ylfwcw979cz1jnx9gfqeaxndiuzk - Eugenol
Algi

25/09/2019 à 19h42

Si tu déposes la coiffe et que t'as une carie accessible depuis la chambre tu peux envisager biodentine et refaire une coiffe ensuite.


--

https://open.spotify.com/user/8iz7teu84dfphmgspeh2979o8/playlist/59Tfpt7zoHfkI27430lfNg?si=MAiYEkb2S6mMV6qNX2aFwg


On a toujours le choix mais entre quoi et quoi?
Vas-y boulégue et l'avenir te le dira!


Ylfwcw979cz1jnx9gfqeaxndiuzk - Eugenol
Algi

25/09/2019 à 19h43

Et au fait.... en parlant de 6 à la con.... Elle en est où ta fente daryl?


--

https://open.spotify.com/user/8iz7teu84dfphmgspeh2979o8/playlist/59Tfpt7zoHfkI27430lfNg?si=MAiYEkb2S6mMV6qNX2aFwg


On a toujours le choix mais entre quoi et quoi?
Vas-y boulégue et l'avenir te le dira!


burnax

25/09/2019 à 20h16

Entièrement d accord.. Mais je veux essayer d expliquer ma démarche préventive trop extrême pour certains

Mon interrogation fait suite à la comparaison de plusieurs clichés faites les années précédentes, avec cette image qui semble évoluer.

Sans cliché,en effet, aucun signe clinique.

Certes l indication du cone beam est limite, mais si mon diagnostic radio a été mauvais, j éviterai de tt démonter. Si c est l inverse, je peux retarder l urgence de la perte d une dent et la pose d un futur implant dans un contexte social pour la patiente difficile à 20 ans


Nouveau image bitmap fz77zh - Eugenol
Sethef

25/09/2019 à 21h29

Bon algorythme:
-Si perfo extérieure: -avec sondage paro: récidive carieuse, reprise de coiffe ou extraction
-sans sondage paro: résorption externe, très improbable, et quoi qu'il en soit, reprise de coiffe ou extraction;

-Si pas de perfo extérieure: -non évolutive:bulle d'air
-Evolutive: pas possible, si y'a rien à bouffer les récidives carieuses 10 ans après ça n'existe pas.


Du coup, je saisis mal l'intérêt du cone beam dans l'histoire en fait, mais j'ai du oublier un diag diff.


lachmar

26/09/2019 à 08h39


moi je vois seulement un défaut d'obturation de la chambre pulpaire
ca serait interessant de comparer à la radio post op


burnax

26/09/2019 à 08h57

Obturation à l'âge de 10 ans environ..
Défaut du capteur kodak de l'époque..

R11 zcn8pn - Eugenol

Nouveau image bitmap fz77zh - Eugenol
Sethef

26/09/2019 à 10h08

Et du coup, sondage? (paro et dentaire, vestibulaire et lingual?)


Nouveau image bitmap fz77zh - Eugenol
Sethef

26/09/2019 à 10h09

L'endo est belle par ailleurs, surtout sur une petite.


Nouveau image bitmap fz77zh - Eugenol
Sethef

26/09/2019 à 10h14

Et au passage, quand tu la reverras, jette un oeil à la vitalité de la 42, je suis pas certain mais...

(si j'ai raison enlaye t'expliquera pourquoi)


2 n2dlt7 - Eugenol
2+2®

27/09/2019 à 12h44

burnemax, pourquoi as tu fais une rétro de la dent? il y avait un signe d'appel?


2 n2dlt7 - Eugenol
2+2®

27/09/2019 à 12h45

Pardon la grosse faute, ça me démengeait


burnax

27/09/2019 à 13h32

Un patient vient en consultation pour un bilan. Pas de signe d'appel.
Je sais pour l'indication de la pano.

Dernier bilan radio général , il y a 3 ans.

Comment vérifier des traitements canalaires ? les DDS ? Une lésion évolutive ?

Ci-joint la pano pour un patient de 17 ans à l'hygiène parfaite, juste sorti de l'ortho. Aucun signe (indication pano ?), avant de le voir en urgence pour des douleurs, encore pas si extraordinaire, il y a qq années.


Je ne fais pas parti des des rois de la gâchette pour la pano.
Combien de fois découvre-t-on des lésions et caries asymptomatiques ?





P1 kntqks - Eugenol

12