Cookie Consent byPrivacyPolicies.comEclaircissement dent dévitalisée - Eugenol
Zorba le grec 1373406512 108 lfk5ey - Eugenol
zorbalegrec

12/11/2019 à 13h54

Bonjour
combien demandez vous pour un éclaircissement d'une dent dévitalisé
et y t'il un code CCAM
Merci


6szjws718sv1jksw54v4mpj3a6cu - Eugenol
vulpi

12/11/2019 à 13h55

je cote une CCC :-))


rat

12/11/2019 à 14h32

pas de bon résultat...


Zorba le grec 1373406512 108 lfk5ey - Eugenol
zorbalegrec

12/11/2019 à 14h35

vulpi écrivait:
-----
> je cote une CCC :-))

Un peu fort t'as besoin de changer les roues de ton vélo


Zorba le grec 1373406512 108 lfk5ey - Eugenol
zorbalegrec

12/11/2019 à 14h40

rat écrivait:
---
> pas de bon résultat...

je sais j'ai arrêter d'en faire depuis 15 ans mais là je suis devant un cas et je souhaiterais voir ce que les nouveaux produits valent
Don une fois de plus combien vous cotez ca


elje

12/11/2019 à 14h56

zorbalegrec écrivait:
-----------
> rat écrivait:
> ---
> > pas de bon résultat...
>
> je sais j'ai arrêter d'en faire depuis 15 ans mais là je suis devant un cas et
> je souhaiterais voir ce que les nouveaux produits valent
> Don une fois de plus combien vous cotez ca
80€ HBMD001


Pubg2 rjl8jc - Eugenol
lemondestvaste

12/11/2019 à 15h21

175 € NR et c'est pas cher payé au vu du nombre de rendez vous (4)


Zorba le grec 1373406512 108 lfk5ey - Eugenol
zorbalegrec

12/11/2019 à 15h28

Merci pour les réponses


carrototo

12/11/2019 à 15h33

Bonjour,
quel produit utilisez vous dans ce cas?

Merci


Blue eye thumb medium dx1i0w - Eugenol
bill

12/11/2019 à 16h07

Pâte perborate de sodium / eau distillée, à utiliser avec précaution...


--
https://docudent.fr
Tous les documents du cabinet dentaire
& l'aide à la cotation du Reste à Charge 0
________________________________________


azerty

12/11/2019 à 16h26

je n'en fait plus. toujours decu à la fin a plusou moins long terme


Nouveau image bitmap fz77zh - Eugenol
Sethef

12/11/2019 à 16h44

250+ le compo.
Résultat parfait en général, je vous sors des photos quand j'ai deux minutes.


Zorba le grec 1373406512 108 lfk5ey - Eugenol
zorbalegrec

12/11/2019 à 17h08

J'ai envie de tester l'opalescence endo de chez ultradent produit prêt à l'emploi et facile d'utilisation
plutôt que faire un mélange plus ou moins aléatoire avec du perborate et de L'H2O2


elje

12/11/2019 à 18h02

zorbalegrec écrivait:
-----------
> J'ai envie de tester l'opalescence endo de chez ultradent produit prêt à
> l'emploi et facile d'utilisation
> plutôt que faire un mélange plus ou moins aléatoire avec du perborate et de
> L’H2O2
c’est ce que j'utilise


Ylfwcw979cz1jnx9gfqeaxndiuzk - Eugenol
Algi

12/11/2019 à 18h06

Perborate et H202 30 vol....

Pas changé de protocole depuis des lustres.

Ça coûte peanuts et ça marche bien.

Je demande dans les 150 € négociables selon le cas...

Plus devis pour coiffe ou coiffe ic à venir si la dent est fragilisée.


--

https://open.spotify.com/user/8iz7teu84dfphmgspeh2979o8/playlist/59Tfpt7zoHfkI27430lfNg?si=MAiYEkb2S6mMV6qNX2aFwg


On a toujours le choix mais entre quoi et quoi?
Vas-y boulégue et l'avenir te le dira!


Blue eye thumb medium dx1i0w - Eugenol
bill

12/11/2019 à 18h32

perborate + H2O2 plus efficace mais risque plus important de résorption radiculaire...


--
https://docudent.fr
Tous les documents du cabinet dentaire
& l'aide à la cotation du Reste à Charge 0
________________________________________


Vw campersurfvan bmnk1q - Eugenol
enlaye

12/11/2019 à 19h16

Sethef écrivait:
------
" Résultat parfait en général, je vous sors des photos quand j'ai deux minutes. "

ah je le crois pas , suis un cave ou quoi ?
au mieux j arrive à passer d' orange foncé à orange clair .
il te reste 1mn /2 pour envoyer :-)


Ylfwcw979cz1jnx9gfqeaxndiuzk - Eugenol
Algi

12/11/2019 à 19h33

Faut que l'endo soit top etanche, faut revoir le patient à maximum 1 semaine entre 2 seances....

Jamais eu de resorption.

Enlaye non tu peux pas faire une eri et tremper la racine dans la javel!

Et sinon faudra moi aussi que je recherche des photos....

Et sinon tout dépend de la cause de la coloration... Si c'est biologique/organique ça marche, si c'est sels metalliques tu peux toujours essayer ça fera que dalle, rien, nada.


--

https://open.spotify.com/user/8iz7teu84dfphmgspeh2979o8/playlist/59Tfpt7zoHfkI27430lfNg?si=MAiYEkb2S6mMV6qNX2aFwg


On a toujours le choix mais entre quoi et quoi?
Vas-y boulégue et l'avenir te le dira!


Nouveau image bitmap fz77zh - Eugenol
Sethef

12/11/2019 à 20h02

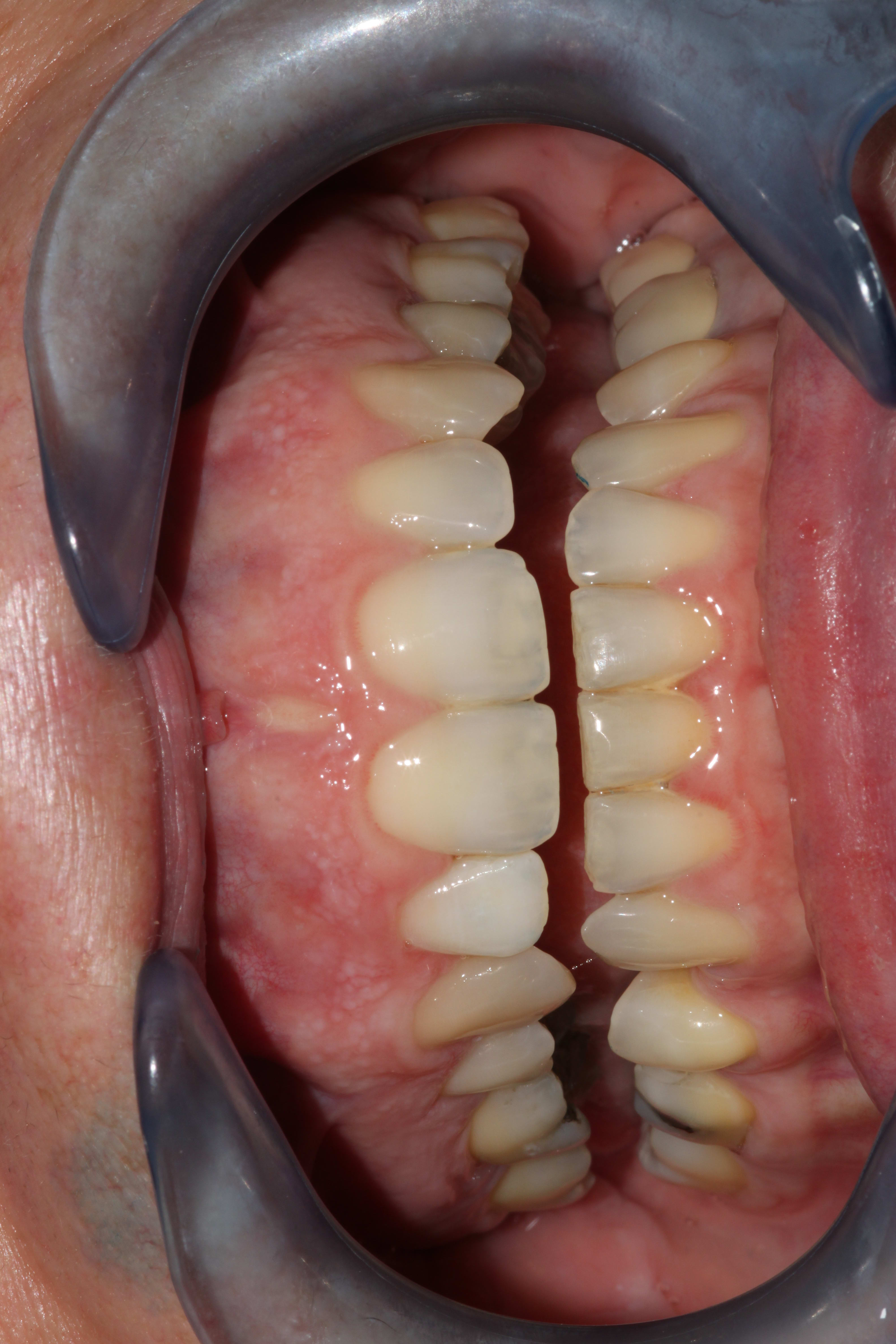
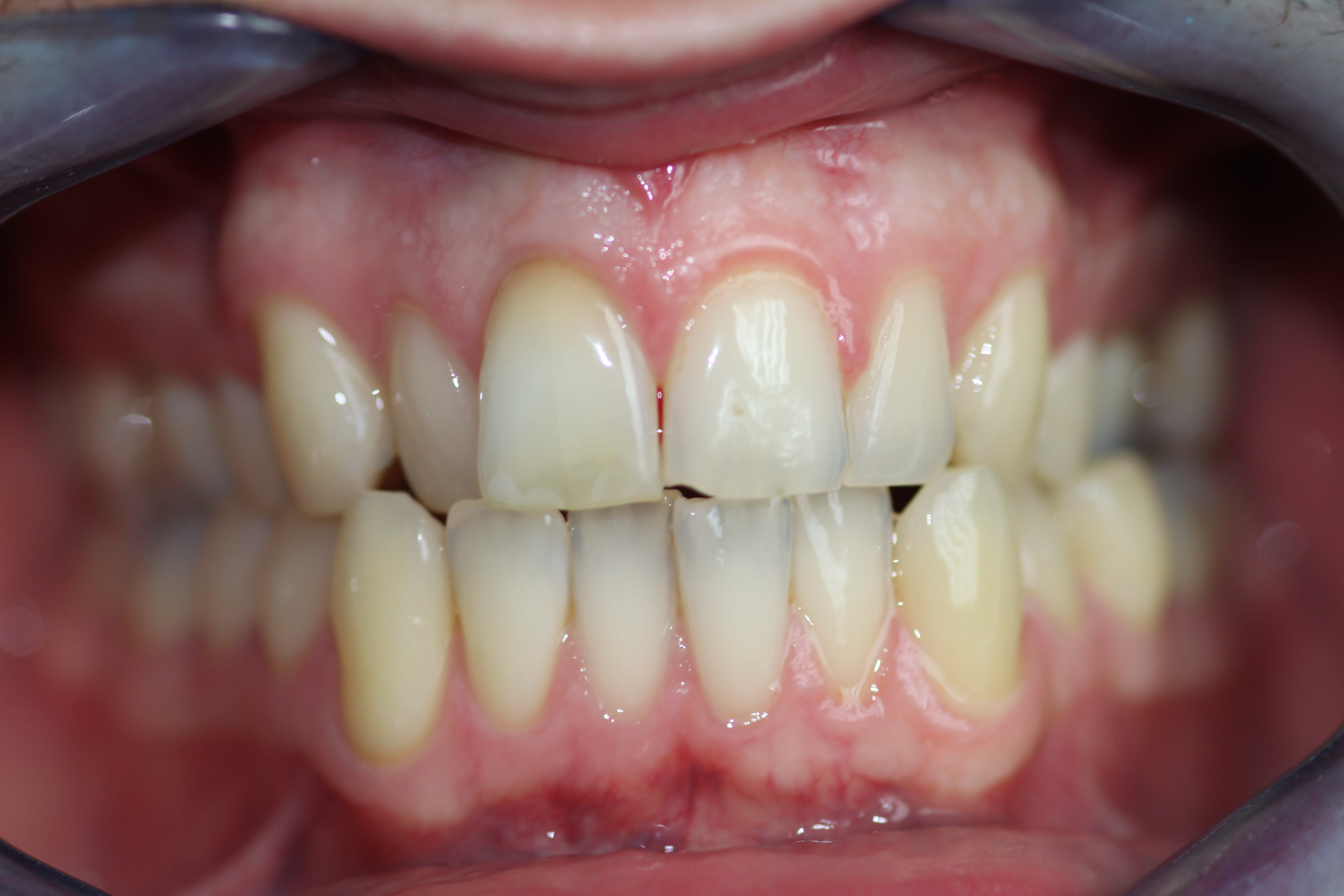
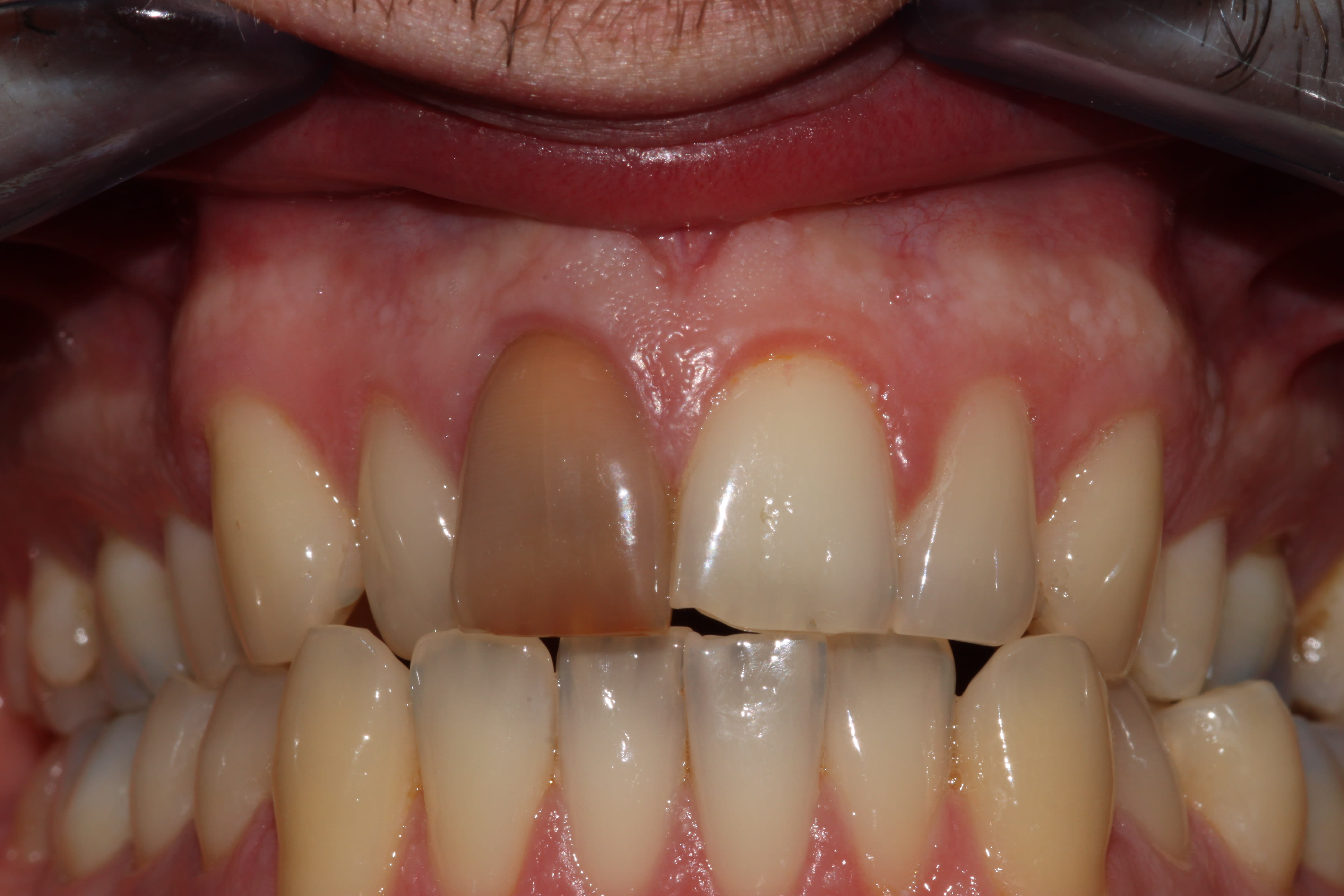
Que des trucs qui datent d'avant 2014, la qualité des photos est pas top mais maintenant j'ai la flemme de les prendre.

Avant ouwrh4 - Eugenol
Fin jv4njr - Eugenol
Img 2633 ukk7mz - Eugenol
Img 2663 jos0un - Eugenol
Img 2920 lchhxz - Eugenol
Img 2950 fjbuol - Eugenol

Ylfwcw979cz1jnx9gfqeaxndiuzk - Eugenol
Algi

12/11/2019 à 20h12

Cool comme ça le varois a ses photos et moi je me casse pas le cul à en chercher.


--

https://open.spotify.com/user/8iz7teu84dfphmgspeh2979o8/playlist/59Tfpt7zoHfkI27430lfNg?si=MAiYEkb2S6mMV6qNX2aFwg


On a toujours le choix mais entre quoi et quoi?
Vas-y boulégue et l'avenir te le dira!


Ylfwcw979cz1jnx9gfqeaxndiuzk - Eugenol
Algi

12/11/2019 à 20h14

Par contre t'aurais pas du trop élargir le champ il va te sortir 2 3 trucs pas cool sur l'occlusion des patients....

Genre hé be bien sur la 12 s'est necrosee à cause de la cuspide mesioclusale de la 36....


--

https://open.spotify.com/user/8iz7teu84dfphmgspeh2979o8/playlist/59Tfpt7zoHfkI27430lfNg?si=MAiYEkb2S6mMV6qNX2aFwg


On a toujours le choix mais entre quoi et quoi?
Vas-y boulégue et l'avenir te le dira!


Vw campersurfvan bmnk1q - Eugenol
enlaye

12/11/2019 à 20h47

t ain qué beau .
et encore je suis au resto sans mes lunettes et sur le telephone .
suis degue , j ai envie de me cacher sous la table pour pleurer :-))
respects .
comment c est possible ?


Ylfwcw979cz1jnx9gfqeaxndiuzk - Eugenol
Algi

12/11/2019 à 21h18

Le secret c'est de pas y croire.... Comme ça t'es jamais déçu...


--

https://open.spotify.com/user/8iz7teu84dfphmgspeh2979o8/playlist/59Tfpt7zoHfkI27430lfNg?si=MAiYEkb2S6mMV6qNX2aFwg


On a toujours le choix mais entre quoi et quoi?
Vas-y boulégue et l'avenir te le dira!


Nouveau image bitmap fz77zh - Eugenol
Sethef

12/11/2019 à 21h29

Ben c'est vachement plus simple qu'une céram; mais c'est peut-être pour ça que je suis pauvre haha.
Et en plus là dedans t'as mon tout premier cas (2009 je crois), mon cas le plus foiré, et le troisième qu'est un chouille trop blanc, mais du diable si je me rappelle qui est la patiente. Ca sent le truc où j'ai voulu surcompenser en mettant du A1 dans la cavité d'accès, oku alors la dessication de la digue, que sais-je.


Vw campersurfvan bmnk1q - Eugenol
enlaye

12/11/2019 à 22h58

et tu y as mis quoi dans le trou ?
j ai essayé le Perborate + H202 ( 10vol ), les produits de blanchiment à 30% , la javel , la peinture Valentine , le bleach xxxxxl , enfin tout a part l acide à batterie et le vitriol .
Algi écrivait: " Le secret c'est de pas y croire.... Comme ça t'es jamais déçu…"
a ça , pour ne pas être déçu , je n'suis pas déçu :-) jusqu a ce que je voie vos photos