Tous les forums
Eclaircissement dent dévitalisée
13/11/2019 à 14h43
Ah donc du coup pas prison (pas pour cette raison) , enfin pas encore donc pas les roumaines d'enlaye.
M'en fous, moi j'aime pas les roumaines.
13/11/2019 à 16h52
Sethef écrivait:
------
> http://www.pharmacovigilance-tours.fr/tl_files/Documents/PJ%20des%20alertes/PJ%20Acide%20borique%20et%20derives%2001.08.13.pdf
>
> Ah enfin, j'ai trouvé un vrai texte de l'ansm.
> Pas d'interdiction légale donc. Le produit ne doit pas être utilisé à partir de
> certaines concentrations, qui ne nous concernent pas, and that's all jusqu'à ce
> qu'on me prouve le contraire.
tu as raison mais perso, je joue la prudence et fais ça à l’opalescence
endo qui a toutes les AMM.
13/11/2019 à 18h48
elje écrivait:
> tu as raison mais perso, je joue la prudence et fais ça à l’opalescence
> endo qui a toutes les AMM.
=H2O2 pour lequel de nombreux accidents ont été rapportés
>>j’ai toujours hésité sur l’aspect médico légal du perborate en cas de mer.. et j’en ai vu.
Ca se tient. ;-)
13/11/2019 à 18h55
Sethef écrivait:
------
> elje écrivait:
>
> > tu as raison mais perso, je joue la prudence et fais ça à l’opalescence
> > endo qui a toutes les AMM.
>
> =H2O2 pour lequel de nombreux accidents ont été rapportés
Mais avec un bouchon en cvimar le risque n existe plus.
13/11/2019 à 19h16
Sethef écrivait:
------
> C'est dans les études ça ou sur le site d'ivoclar?
Mais tu crois que ton perborate de sodium décolore comment ??
13/11/2019 à 19h32
Le risque majeur associé à de fortes concentrations de produits éclaircissant réside dans le déclenchement de processus de résorption radiculaire. On différencie deux types de résorption : les résorptions internes ou bien externes. S’agissant de l’éclaircissement interne, des cas de résorptions inflammatoires ont été rapporté (Simon et coll., 2013). Le mécanisme mis en jeu est une diffusion de peroxyde d’hydrogène au travers des canalicules dentinaires atteignant le ligament alvéolo-dentinaire et générant dès lors une inflammation. Cette diffusion est également à l’origine d’une diminution de pH qui va stimuler l’activité ostéoclasique. Le diamètre plus important des canalicules dentinaires chez le patient jeune (moins de 25 ans) majore le risque d’apparition de résorption. C’est la raison pour laquelle il est préconisé d’utiliser de l’eau stérile plutôt que du peroxyde d’hydrogène pour mélanger le perborate de sodium (Know et coll., 2009)
(cf thèse de 2015 donc)
13/11/2019 à 20h07
Mais ton perborate se décomposera en eau oxygénée et borate... Y a toujours de l h202
13/11/2019 à 21h01
Question de concentration et de cinétique j'imagine. Bonne science ne saurait mentir.
13/11/2019 à 21h06
Pendant un temps perborate + eau distillée, puis la flemme de faire le mélange et de charger et répéter les séances, j’suis passé au Micerium en 1 séance au fauteuil (1 à 2 x 15 min), on voit moins le patient, ça marche pareil, mais je gagne du temps car moins de séances. Ajouter un blanchiment externe améliore nettement l’intégration globale et permet de valoriser l’acte (enfin j’en vivrai jamais). Dois aussi avoir quelques tofs, mais j’promets rien, c’est vraiment pas très excitant comme taf.
13/11/2019 à 21h27
Ce qui marche aussi c est d obturer au compo A1 après la fin du ttt éclaircissement.
03/12/2019 à 18h32
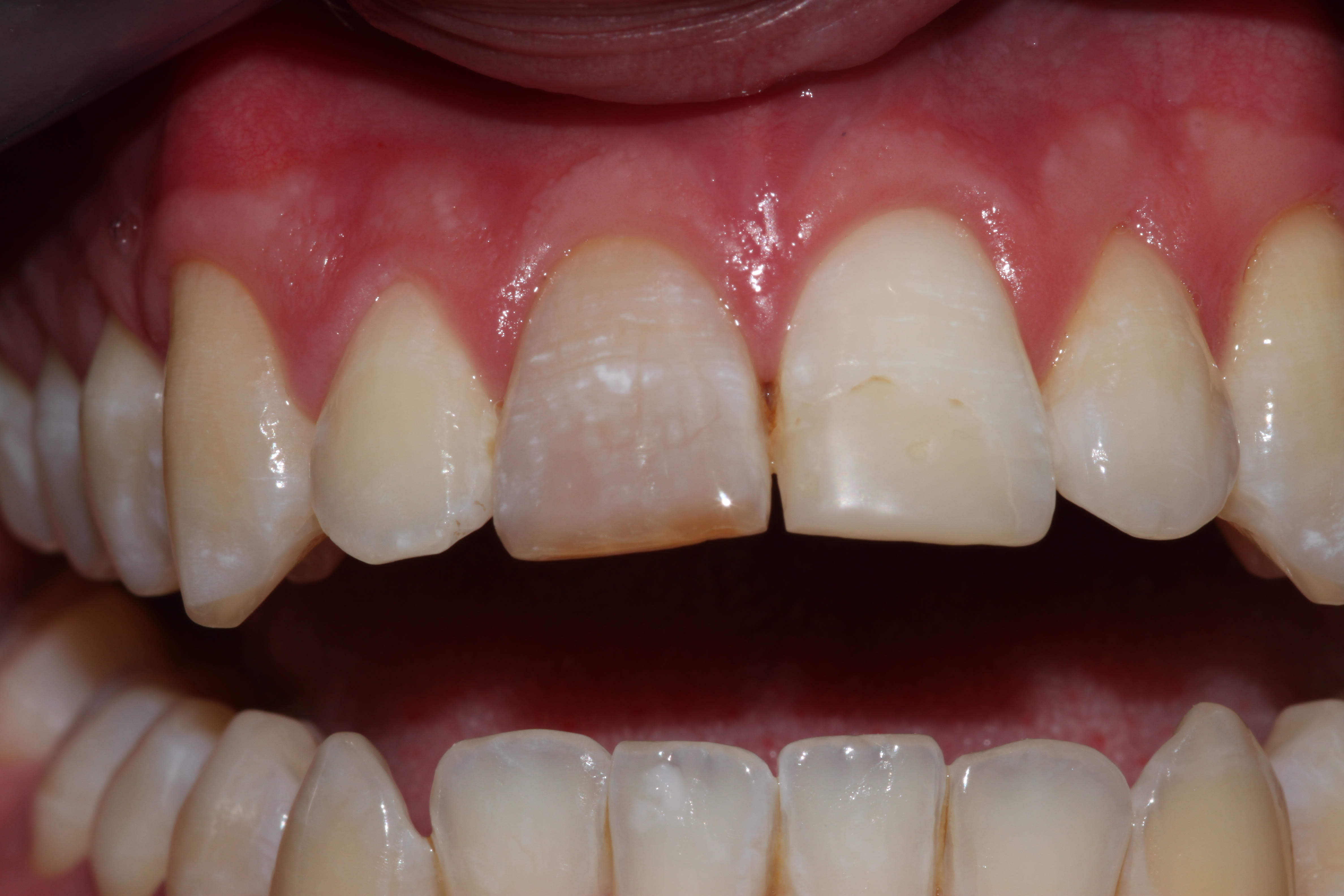
petit retour d'expérience: je viens de recevoir une patiente chez qui j'ai donc pratiqué un éclaircissement avec la méthode sus citée, en l’occurrence perborate + eau distillée, bouchon de CVI, etc.
Résultat très concluant, on est passé de A5 à A3 depuis vendredi ( dent nécrosée "spontanément+ tt endo)
Reste à voir la stabilité.
19/12/2020 à 16h38
C'est rigolo de relire des vieux sujets.
Dernier vrai travail de l'année aujourd'hui, lundi mardi j'enchaîne des contrôles.
La prochaine fois que je le fais venir au cab je retravaillerai les bords libres.