Cookie Consent byPrivacyPolicies.comque faire ? - Eugenol

que faire ?

vernal

27/11/2019 à 15h37

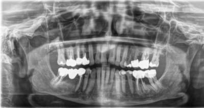
Patiente 97 ans. en pleine forme. Pas de problèmes ressenties au niveau buccale.
Que faites-vous de la 36 ?

Jqx5bdzbqeukqplqmdod - Eugenol

Carie Grant

27/11/2019 à 15h43

.

Poubelle cinrvx - Eugenol

Ben si mémé 97 ne se plaint de rien , pourquoi tu vas t'em et l'embêter.


vernal

27/11/2019 à 15h49

Elle est supergentille. Le sujet n'est pas l'euthanasie, mais un gestion simple de la 36.


P2eqdh3csim6s7nb09ktdq3e7ev8 - Eugenol
barbabapat

27/11/2019 à 15h55

Abcès en apical de 36, dent qui va casser à terme et suspicion en distal de la 35. Extrait tant que ca fait pas mal en fonction de l’état de santé.

Après pour le remplacement de la dent, c'est une autre question.


Avatar transparent iqadnc - Eugenol
adhoc

27/11/2019 à 15h56

Tu n'as pas répondu a ppere, vernal?
Sinon, 36 et 37 sont solidarisées?


P2eqdh3csim6s7nb09ktdq3e7ev8 - Eugenol
barbabapat

27/11/2019 à 16h03

adhoc écrivait:
-----
> Tu n'as pas répondu a ppere, vernal?
> 36 et 37 sont solidarisées?

Les deux traitements endos sont très différents et la couronne sur 37 ressemble à une couronne bague plus ancienne à la radio.


Bebe 038 nf8eum - Eugenol
danteyeah

27/11/2019 à 16h07

35, 36, 37, 26, 27 ça merde à tous les étages: soit on reprend tout (paro/occluso ici ça craint), soit on pallie à la symptomatologie au fur et à mesure et au plus simple: d'abord carie 35, puis si symptomatique avulsion 36 (pas de bricolage avec récupération de racine), puis on gère au fur et à mesure des symptômes.
Perso si on me demande quoi choisir, je reprends tout.


Morgan ztbb1b - Eugenol
BONNET jc

27/11/2019 à 16h15

Soin sur 35 et tu attends que la 36 casse. Elle part pas à l'étranger? Bon, laisse la patiente tranquille pour la 36.


lachmar

27/11/2019 à 16h27


d'où l'interet de ne pas faire de pano de contrôle qui ne se plaint de rien et qui vient juste pour s'entendre dire :
"madame tout va bien "


Avatar transparent iqadnc - Eugenol
adhoc

27/11/2019 à 16h31

>35, 36, 37, 26, 27 ça merde à tous les étages: soit on reprend tout (paro/occluso ici ça craint), soit on pallie à la symptomatologie au fur et à mesure et au plus simple: d'abord carie 35, puis si symptomatique avulsion 36 (pas de bricolage avec récupération de racine), puis on gère au fur et à mesure des symptômes.
Perso si on me demande quoi choisir, je reprends tout.<


Le Mieux peut etre parfois l'ennemi du Bien.


6szjws718sv1jksw54v4mpj3a6cu - Eugenol
vulpi

27/11/2019 à 16h41

Je signale que 36 est perdue à terme. Avec la possibilité d'exo de suite.
J'explique qu'il y aura extraction si complications au niveau de la dent, MAIS AUSSI ET SURTOUT en cas de pathologies générales.


Bebe 038 nf8eum - Eugenol
danteyeah

27/11/2019 à 16h47

adhoc écrivait:
-----


> Perso si on me demande quoi choisir, je reprends tout.<
>
>
> Le Mieux peut etre parfois l'ennemi du Bien.

Me suis fais contaminer par quelques gars du coté d'chez moi.......Crains dégun comme y disent


Avatar transparent iqadnc - Eugenol
adhoc

27/11/2019 à 16h47

:-))))


vernal

27/11/2019 à 16h51

Je n'ai pas vu la question de PPère (je ne la vois toujours pas !) Non pas solidarisées
35 grosse mylolyse donc Flow fait.
J'ai dégagé la gencive en périphérie de la racine D de 36 et j'ai mis un Fuji type rustine pour surtout pour accéder à la racine lors de la casse probable ultérieure. Voila ! J'ai fait comme cela, mais dans le doute quand même (comme avec à peu près tous mes patients).
Pour danteyeah : A 97 ans, c'est pas mal quand même. Les patientes de cet âge sont loin la plupart du temps d'avoir ce type de bouche.


6szjws718sv1jksw54v4mpj3a6cu - Eugenol
vulpi

27/11/2019 à 16h52

97 ans, tu peux te lâcher 😆 le risque de sav à moyen terme est modéré.


Bebe 038 nf8eum - Eugenol
danteyeah

27/11/2019 à 16h55

vernal écrivait:
------
> Pour danteyeah : A 97 ans, c'est pas mal quand même. Les patientes de cet âge
> sont loin la plupart du temps d'avoir ce type de bouche.

Justement c'est pour cela qu'il est motivant de remettre à niveau....y'a encore du potentiel. Alors que si on choisie d'attendre la dégénérescence on condamne.....C'est juste un opinion pas un jugement de valeur et ça dépend aussi du ressenti avec la patiente.


6szjws718sv1jksw54v4mpj3a6cu - Eugenol
vulpi

27/11/2019 à 17h00

C'est encore plus vrai en PAC et adjointe de grande étendue. Il y a un âge où c'est possible et après... plus d'adaptabilité, c'est ballot, hein!!


vernal

27/11/2019 à 17h14

Oui Vulpi. Mais elle est super gentille. Pour une Carmen Cru, je dis pas mais pas là. C'est quand même
dans l'éthique que nous grandissons (vieillissons ?)


6szjws718sv1jksw54v4mpj3a6cu - Eugenol
vulpi

27/11/2019 à 17h16

Perso j'accompagne paisiblement en accord avec la patiente 😉


vernal

27/11/2019 à 17h18

Pour Lachmar : Dans les années 1987-88, j'avais été voir par proximité un cabinet dentaire à Oakland en Californie.
Le dentiste n'avait pas de radio. Il adressait à un radiologue. Comme cela il ne risquait pas de procès, m'a-t-il dit.


Avatar transparent iqadnc - Eugenol
adhoc

27/11/2019 à 17h20

La questuion de ppere est sous jacente : "se plaint elle de quelque chose?" :-))


vernal

27/11/2019 à 17h40

Non elle ne se plaint de rien. Elle est supergentille !


Avatar transparent iqadnc - Eugenol
adhoc

27/11/2019 à 18h24

J'ai bien aimé la reponse de vulpi, professionnelle et sympa
"Perso j'accompagne paisiblement en accord avec la patiente ".
Admiration pour ta patiente qui a tres bien entrenu ses dents et aux prats qui ont fait du bon boulot.
Jeter de temps en temps un coup d'oeil bienveillant a sa 36 et avertir tan patiente .
Par contre contrairement a vulpi, si la 36 lache ou fait un petit abces chronique interradiculaire , je serais pour (esssayer) extraction racine distale couronnes racine mesiale 36 et 37 solidarisées. Rester simple, a l'ancienne :-))))


6szjws718sv1jksw54v4mpj3a6cu - Eugenol
vulpi

27/11/2019 à 18h36

J'suis trop jeune 😭 je connais que l'implant.


12