Cookie Consent byPrivacyPolicies.comGouttière : performance et RC - Eugenol

Gouttière : performance et RC

21 copia rsxzpu - Eugenol
Mc Trufax

14/01/2020 à 08h15

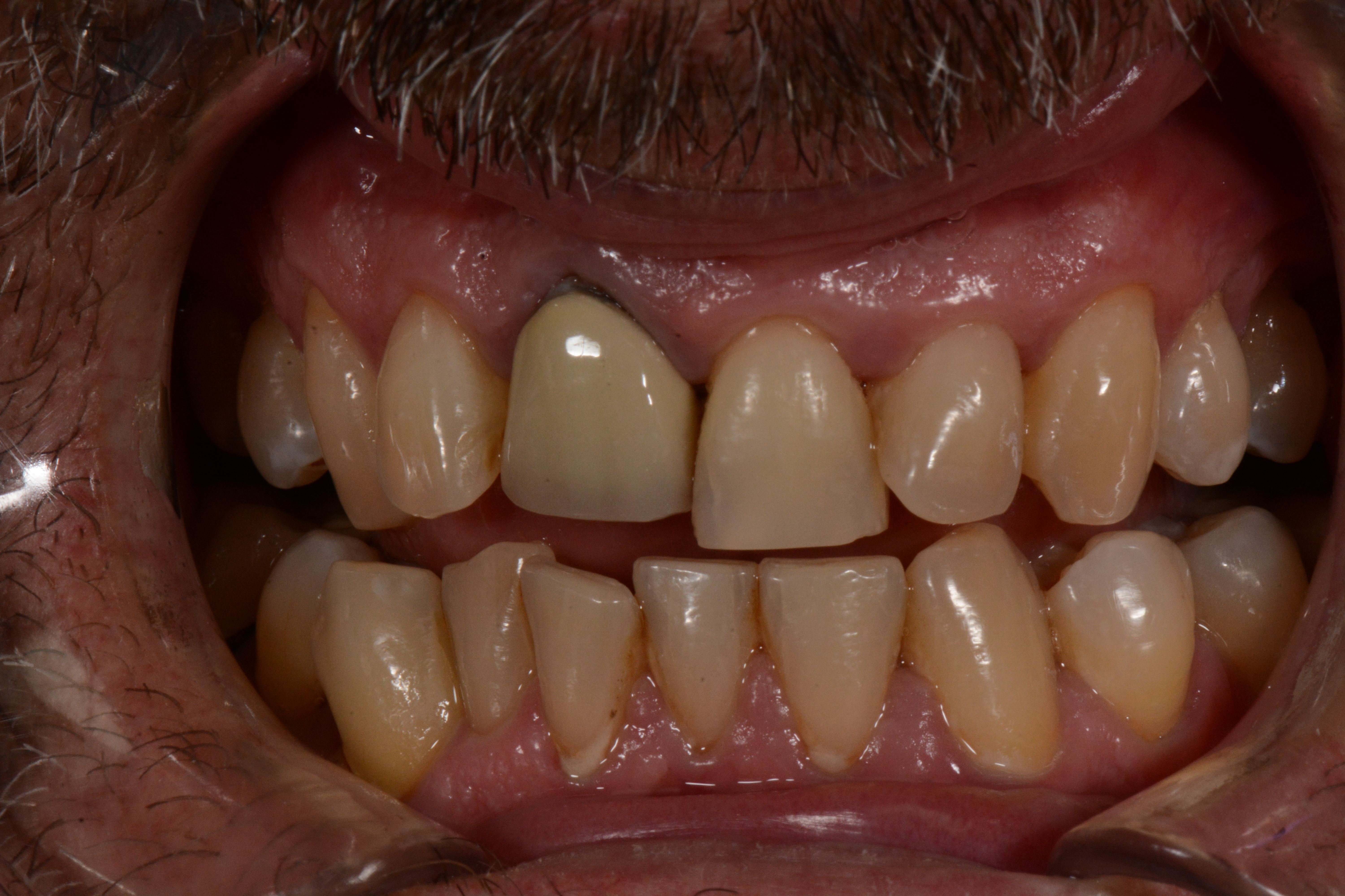
Bonjour, je poste ici pour partager un cas rencontré au cabinet, malheureusement une seule photo succinte.

Patient 50 ans sportif +++ va dans un centre de posturologie pour analyse et prise en charge de lésions musculo-tendineuses chroniques (tendinites).

Depuis 2 ans il porte à la mandibule une gouttière partielle 18h/24 (des cales amovibles postérieures reliées par une barre linguale en résine), je n'ai pas la photo. Cela a soulagé ses douleurs chroniques. Cependant à l'examen je constate des contacts en PIM uniquement sur les 7.

Les photos antérieures que m'a présenté le patient semblent indiquer qu'il était en classe II.2.

Je n'ai pas encore réalisé d'analyse occlusale mais à la lumière de ce que j'ai pu modestement appréhender en lisant Orthlieb, Duminil, Laplanche, je pense que l'orthèse a agit tel un JIG et permis de rétablir une position articulaire de repos.

Mon problème est qu'aujourd'hui il ne peut plus manger, qu'aucune question de réhabilitation globale (ortho-prothèse) ne lui a été présenté en amont par le confrère ayant réalisé et contrôle cette orthèse.

J'entends pour ma part commencer par une analyse occlusale (arc facial, cires de RC et de latéralité, montage en double base engrénée et analyse)

Quelle est votre démarche dans un cas comme celui-ci : management du patient ; démarche diagnostic ; thérapeutique (hormis retour à l'envoyeur...) ?

Merci

C796kbdrjzuwcgzkhhh8 - Eugenol
Uloyawndvzgnrfuqg38c - Eugenol

Vw campersurfvan bmnk1q - Eugenol
enlaye

14/01/2020 à 08h43

:-) un truc comme ça , je voudrais pas faire la bouche , mais ça se resoud en 2 secondes :-)


Vw campersurfvan bmnk1q - Eugenol
enlaye

14/01/2020 à 08h50

deja ce n est certainement pas un jig qu il a eu .
ensuite plus que la cl2.2 c est l occlusion croisée qui est genante .
mais surtout c est iatrogene cette affaire :-))
sur la 27 il y un kyste sur une sur occ qui a tendance à faire descendre la 7 à tous les coups .
et le pompon , c est la face palatine de la 11 qui interfere sur celle du bas .
il est gêné devant , il est gêné derriere , où veux tu qu il aille ?
ben sur le côté pas le choix .
alors comme c est fatiguant il se cale un coup devant , un coup derrière .


Vw campersurfvan bmnk1q - Eugenol
enlaye

14/01/2020 à 08h55

et a mon avis il se sert de sa langue comme gouttière pcq il n a pas de mylolyses . regardes sa langue si elle n est pas crantée sur les côtés. avec une respiration buccale associée .


Vw campersurfvan bmnk1q - Eugenol
enlaye

14/01/2020 à 09h01

faire une gouttiere la dessus , c etait une erreur


Vw campersurfvan bmnk1q - Eugenol
enlaye

14/01/2020 à 09h50

edit : j ai dit "et le pompon , c est la face palatine de la 11 qui interfere sur celle du bas "
p'tre meme pas , plutot le bord libre .

peu importe ç est un pb de decalage lateral ,
donc le ttt ç est depose de 26+27 et prov sur uniquement 26 ( puisque la 27 est niquée pour le moment ) ,
limage de canine 13/43 pour donner de l aisance et du guidage plus souple à la fermeture .
pcq tu remarqueras que sont atm gauche est frit bouilli ,


Vw campersurfvan bmnk1q - Eugenol
enlaye

14/01/2020 à 09h51

mais si tu veux t amuser avec l articu , tu peux aussi . on est en hiver , les soirées sont longues :-))


Cquenotte

14/01/2020 à 10h29

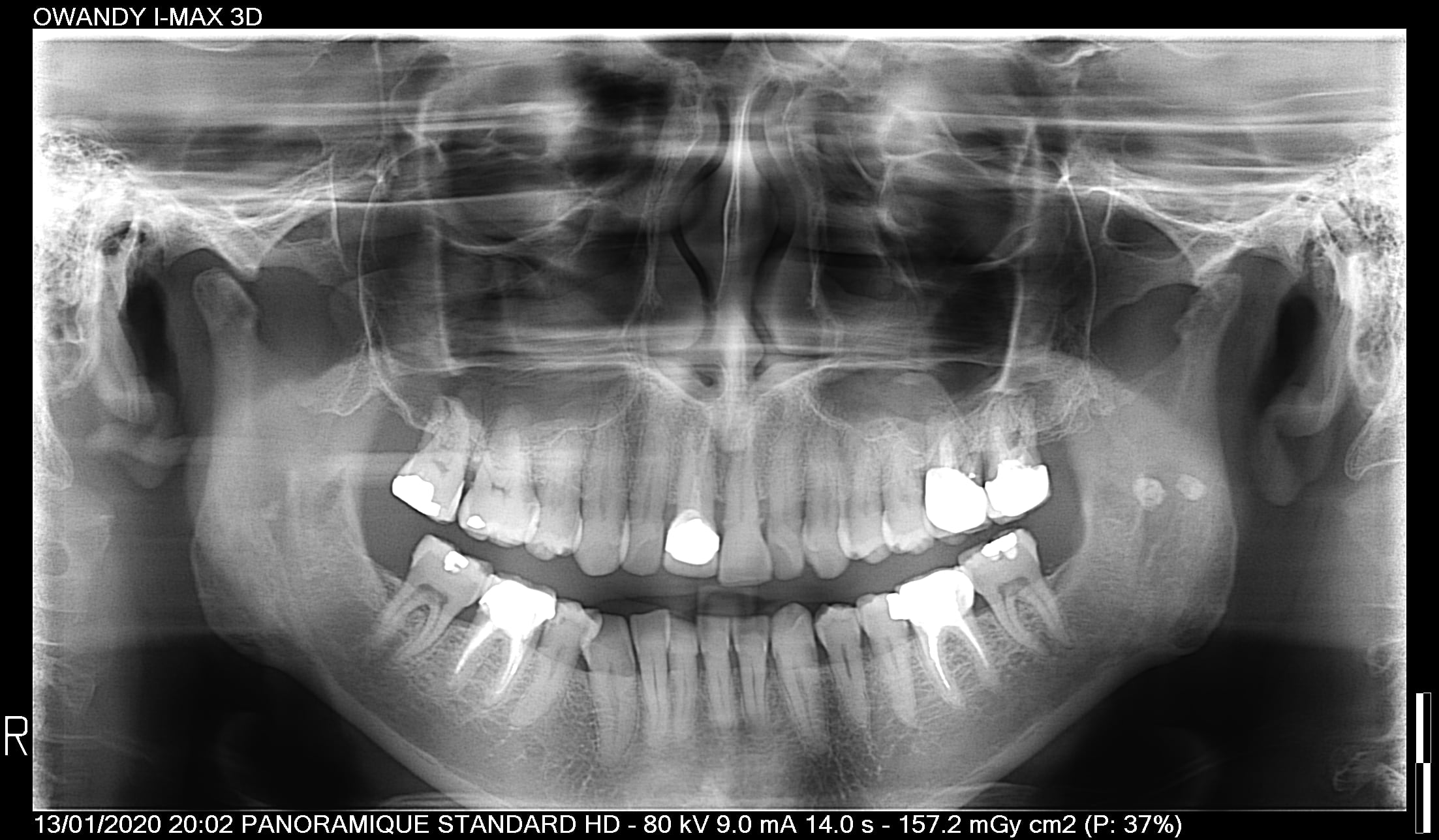
Heu ... c'est quoi les 2 petites "boulettes " blanches dans la branche montante gauche ??


Nouveau image bitmap fz77zh - Eugenol
Sethef

14/01/2020 à 10h30

Juste un élément vite fait:
La mandibule garde une croissance résiduelle tout au cours de la vie, ce qui signifie que si il pousse toute la journée avec sa langue, on peut en quelques années se retrouver en béance complète, et que le problème se trouve bien compliqué à régler.

Je ne me prononcerais pas sur le fond du problème, mais j'ai déjà vu le cas, comme cité plus haut par enlaye, du fait d'une interférence postérieure. Reste à la retrouver... Regarde tout de même du côté de la dernière couronne réalisée.

Si tu regardes tes modèles sur l'articu, tu verras qu'ils s'emboîtent probablement parfaitement une fois meulé ce surcontact sur le plâtre.


rice and carie

14/01/2020 à 11h00


C'est quoi un centre de posturologie?
un podologue qui s'est "spécialisé"?


Nouveau image bitmap fz77zh - Eugenol
Sethef

14/01/2020 à 11h14

Cquenotte écrivait:
---------
> Heu ... c'est quoi les 2 petites "boulettes " blanches dans la branche montante
> gauche ??

Spontanément, j'aurais dit calcifications parotide.


Vw campersurfvan bmnk1q - Eugenol
enlaye

14/01/2020 à 11h57

rice and carie écrivait:
--------------
" C'est quoi un centre de posturologie? "
une confrérie mystérieuse


enlaye écrivait:
------
> :-) un truc comme ça , je voudrais pas faire la bouche , mais ça se resoud en 2
> secondes :-)0

Ah y m'énerve, y m'énerve mais il est fort le bestiau.


Fourre tout 05 12 08 017 apc4pu - Eugenol
Pier

14/01/2020 à 13h55

Comme enlaye mais il faudrait peut-être vérifier la présence de contacts non travaillants dans les latéralités notamment au niveau des éléments prophétiques 36 et 46.
Par ailleurs on note un espace entre les 17 et 16 ce qui pourrait être la résultante d'un appui trop marqué au moment de la fermeture, d'où décalage de la mandibule dans la fermeture.
Ce cas se résoud plus par une analyse des conditions existantes en bouche afin de comprendre la genèse des problèmes existants que par des tranferts sur articulateur qui serviront dans un deuxième temps pour le traitement.
Vérifier aussi la présence de facettes d'abrasion sur les dents ainsi que leur localisation précise .
Bon courage


Utilisateur banni

14/01/2020 à 14h39

Le pompon de la pomponnette c’est l’histoire de la gouttière partielle portée 18h/24 pendant 2 ans . Ça a du mettre un beau bordel : )


--
La forme de ma coupe de cheveux futuriste me permet une meilleure pénétration dans l'air et d' avoir moins de résistance face au vent lorsque je me déplace.


6szjws718sv1jksw54v4mpj3a6cu - Eugenol
vulpi

14/01/2020 à 14h51

enlaye écrivait:
------
> faire une gouttiere la dessus , c etait une erreur
c'est une gouttière pour sportifs, c'est différent comme philosophie:-)) en fait c'est des cales pour l'effort, pas 18h sur 24.


Utilisateur banni

14/01/2020 à 15h12

Même avec la dépose des fameuses couronnes , si le patient a vraiment porté une gouttière partielle pendant 2 ans , je suis prêt à mettre un petit billet pour dire qu’il va falloir retoucher plus que 2 / 3 dents : )

J’utilise ce même type de gouttière quand je vais aux toilettes, ça me permet de pousser plus fort , surtout en cas de constipation


--
La forme de ma coupe de cheveux futuriste me permet une meilleure pénétration dans l'air et d' avoir moins de résistance face au vent lorsque je me déplace.


6szjws718sv1jksw54v4mpj3a6cu - Eugenol
vulpi

14/01/2020 à 15h22

Mireille-Mathieu écrivait:
----------------

> J’utilise ce même type de gouttière quand je vais aux toilettes, ça me permet de
> pousser plus fort , surtout en cas de constipation
>
très joli effet placebo, tu prendrais n'importe quoi d'autre en bouche ça te ferait le même effet.
Il n'y a guère que pour le sportif de haut niveau, avec un geste répétitif millimétré, qu'éventuellement ça pourrait éviter des blessures.
Les trucs farfelus que l'on expérimente sur les sportif:-))... ;-)


6szjws718sv1jksw54v4mpj3a6cu - Eugenol
vulpi

14/01/2020 à 15h24

il y a une chose à faire, si ce n'est déjà le cas, c'est arrêter la gouttière et revoir à 3 semaines, des fois le patient libéré de ses contrainte se met dans une position plus acceptable, ça simplifie la suite.


21 copia rsxzpu - Eugenol
Mc Trufax

14/01/2020 à 15h36

enlaye écrivait:
------
> deja ce n est certainement pas un jig qu il a eu .
>>>> c'est ce que je t'explique plus haut ;)
> ensuite plus que la cl2.2 c est l occlusion croisée qui est genante .
>>>> je suis d'accord, il y a bien un problème transversal, on voit des dentelures d'usure au niveau du condyle gauche comme dit dans un commentaire. Qui de l'oeuf ou de la poule ? là c'est un mystère mon cher Enlaye.

Sur la 27 il y un kyste sur une sur occ qui a tendance à faire descendre la 7 à tous les coups .
>>>>>> Je pense que dans ces cas on parle "d'épine irritative" (bien décrit dans le livre d'Henri Lamendin) et le patient va éviter le contact au lieu d'aller taper dans sa sur-occ... Tu ne penses pas ?


21 copia rsxzpu - Eugenol
Mc Trufax

14/01/2020 à 15h44

Après en vrac :
++ les coiffes datent d'il y a 15 ans ...
++ Centre de posturologie/gouttière pour sportif : Effectivement du marketing mais dans le milieu de la course à pied/trail/triathlon il y a bcp de business qui sont assis sur du vent, c'est différent donc c'est bien... bref je suis d'accord avec vous. Les gouttières ne sont cependant pas dénuées !d'intérêt dans la pratique sportive.
++ ok pour les lithiases du Stenon
++ On arrête 3 semaines : ok
++ Pourquoi ne pas faire d'analyse occlusale via articulateur ???? En quoi vais-je perdre mon temps ?

Je bosse donc la suite au prochain interpatient


Vw campersurfvan bmnk1q - Eugenol
enlaye

14/01/2020 à 15h54

Mc Trufax écrivait:
---------
" Je pense que dans ces cas on parle "d'épine irritative" (bien décrit dans le livre d'Henri Lamendin) et le patient va éviter le contact au lieu d'aller taper dans sa sur-occ... Tu ne penses pas ? "

non , même si je ne connais pas Lamendin et ce qu il a écrit


Vw campersurfvan bmnk1q - Eugenol
enlaye

14/01/2020 à 17h33

Mc Trufax écrivait:
---------
"++ Pourquoi ne pas faire d'analyse occlusale via articulateur ???? En quoi vais-je perdre mon temps ?"

pcqu il ne ferme que sur les 7:-)
tu avoueras que ce n est pas naturel :-)
donc ç est que :
- soit les 7 sont egressées et tu n as pas besoin d articu pour le savoir
-soit il est en luxation , et dans ce cas quelle centrée tu vas enregistrer ? :-) s il est luxé il n y a pas de centrée par définition .

à la limite tu le manipules AVEC sa plaque , et tu le manipules pareil sans la plaque et tu regardes ce qui se passe


Utilisateur banni

14/01/2020 à 19h11

pfffffoui !!
c'est un autre monde ici !
alors voilà ce que je fais!
étape un je joue au docteur :
empreinte, je regarde les faces d'usure sur le platre.
Je sable les faces prometteuse en bouche (ça doit être interdit ça non ? ) et je le revois deux semaines plus tard pour voir où c'est de nouveau bien brillant. Je reproduit les mouvement avec les plâtre. Je commence à réfléchir.
De là, vu que j'y comprend rien du tout, je lui ratiboise les 7 et je lui prépare un devis pour stellite de 13 à 23 pour dans deux ans.
hop hop ! elle est pas belle la vie.



Oh putain ! me sens moins seul !

Index dc2o1q - Eugenol

12