Cookie Consent byPrivacyPolicies.comBruxisme - Eugenol

Bruxisme

montmartre

27/01/2020 à 14h13

enlaye écrivait:
------
> - pcq avec le raco et le full ce n est plus trop d actualité tout ça .

On n'est pas obligé de faire de l'abattage et uniquement du rac o et full zircone. On peut aussi proposer de la meilleure qualité aux patients, au niveau des matériaux et tout ce qui est annexe dont l'occlusion pour éviter qu'une coiffe se déscelle 15000 fois sans savoir pourquoi.

> - et puis , comment font les autres qui ne se posent pas ces questions , est
> ce qu ils sont plus malheureux ? , suis pas sur :-) et au final , ça fonctionne
> aussi leurs ttt .

chacun fait ce qu'il veux :)

> - et pour finir , bon ,certes , je peux te dire , faut faire ceci ou cela , mais
> ç est pcq j ai fait ça pdt des années , et donc ç est que je suis vieux . je
> préférerais ne pas savoir :-))

Si jeunesse savait, si vieillesse pouvait...:)))


Vw campersurfvan bmnk1q - Eugenol
enlaye

27/01/2020 à 16h07

montmartre écrivait:
----------
" pour éviter qu'une coiffe se déscelle 15000 fois sans savoir pourquoi."

:-) j aime ce langage excessif , tu ne serais pas un peu de Marseille ? :-)


enlaye écrivait:
------

> :-) j aime ce langage excessif , tu ne serais pas un peu de Marseille ? :-)

montmartre, ça sonne un peu parisien quand même.


Vw campersurfvan bmnk1q - Eugenol
enlaye

28/01/2020 à 00h07

Sethef écrivait:
------
" Ca c'est une question intéressante. Sur une couronne unitaire, j'ai toujours tendance à aplanir les pentes cuspidiennes à peine plus que les voisines, en gros ça tape en statique, et ça décharge en fonctionnel.
Le problème, c'est quand le précédent a fait ça et que tu fais la voisine, puis la suivante...
Clairement, sur les grandes reconstructions, j'ai tendance à viser très plat. Je ne sais pas quelle est la bonne solution."

oui , ç est une tres bonne remarque .
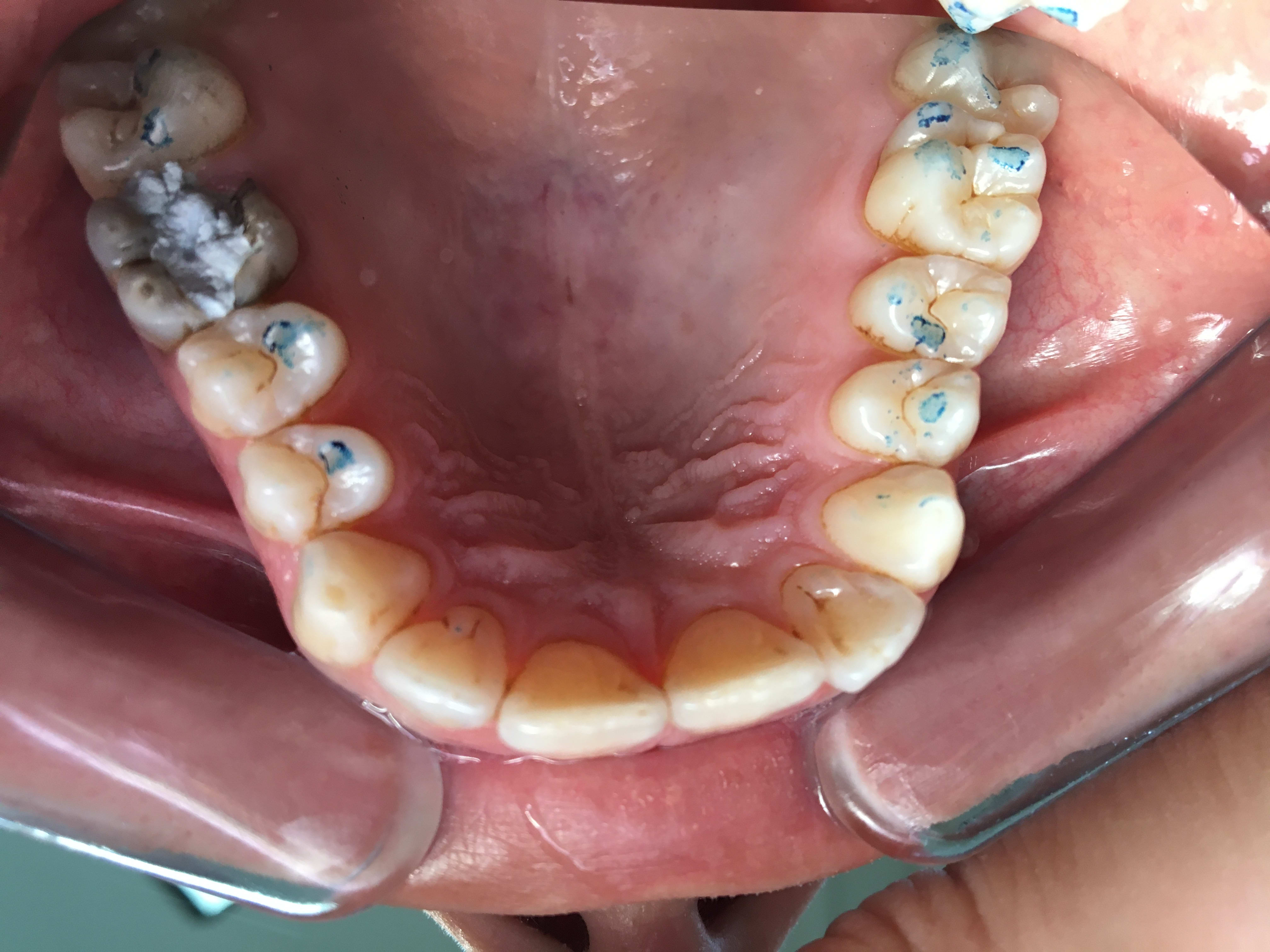
le truc que j ai constaté , ç est que lorsqu' il manque du calage , il en profite pour faire le zazou quand la nuit tombe , et meme s il n y a pas d accroche apparente , il te casse un pan marginal ( proximal ) ou meme lingual du bas ou palatin du haut .
alors comme on se cague des lateralités , et du centrage , on regarde les soit disant mvts fonctionnels , et on en néglige le calage . surtout le calage inter proximal avec ses cretes marginales .
plus t avances , plus ç est compliqué :-)


montmartre

28/01/2020 à 09h15

enlaye écrivait:
------
un peu de Marseille ?

même pas, mais j'aimerai bien finir le travail à midi pour me prélasser sous les oliviers au chant de cigale :))
Bon j'avais confectionné un petit jig de lucia pour qu'il le porte les moments où les douleurs s'exacerbaient, ca l'a calmé un peu. Il vient de péter sa 16, et là il n'a plus du tout de douleurs et crispations et je n'ai pas encore retouché les interférences 17 et 18.


Vw campersurfvan bmnk1q - Eugenol
enlaye

28/01/2020 à 11h18

La 26 ? Et tout va mieux ?
comme c est étrange .


Nouveau image bitmap fz77zh - Eugenol
Sethef

28/01/2020 à 11h54

Ah, la 26? Tu veux dire, comme celle en face de la 36? C'est la palatine qui a pété du coup? ;-)


montmartre

28/01/2020 à 12h15

rectification c'est la 16 qui a fracturée


Nouveau image bitmap fz77zh - Eugenol
Sethef

28/01/2020 à 12h23

Ach, je l'aurais un jour, je l'aurais.


Vw campersurfvan bmnk1q - Eugenol
enlaye

28/01/2020 à 12h36

:-))) un jour peut etre :-)


Vw campersurfvan bmnk1q - Eugenol
enlaye

28/01/2020 à 12h39

ça m étonnait aussi '-). mais peu importe , donc tu grattes la 16 sur le plâtre , bien sur .


Vw campersurfvan bmnk1q - Eugenol
enlaye

28/01/2020 à 13h10

je te rassures Sethef , ce n est pas pcq ce n est pas la 26 qui a cassé que la 36 n est pas aussi en cause .


Vw campersurfvan bmnk1q - Eugenol
enlaye

28/01/2020 à 13h19

et ptetre meme que la 36 est en sous occ


montmartre

28/01/2020 à 16h18

Photos vites faites Contacts en oim
On dirait bien une grosse surocclusion sur la coiffe 36

E245411f affa 4954 a6ca bae21946c786 uuje4w - Eugenol
6bf1204c 5bde 491d ac05 5192b317dea2 rj4vio - Eugenol

Mm goodteeth2 ex0rr1 - Eugenol
Jules

28/01/2020 à 16h28

enlaye écrivait:
------
> Montmartre ( et les autres aussi ) , je peux te poser une question indiscrète ?
> pourquoi tu veux savoir tout ça , finalement ?
> - pcq avec le raco et le full ce n est plus trop d actualité tout ça .

Bah ça dépend du point de vue de l'oeuf ou de la poule !

Si on imagine que le stress seul peut amener le bruxisme, et que ce dernier va augmenter les contacts en intensité et en durée jusqu'à un effet goutte d'eau où les capacités d'adaptation du patient sont dépassées ...je suis pas sûr que le stress soit en voie de disparition...

Carrément d'actualité l'occluso !


Vw campersurfvan bmnk1q - Eugenol
enlaye

28/01/2020 à 20h28

mais c est quoi ce bordel ??
putain Sethef toutes mes plus plates excuses :-)))
mais Montmartre , pourquoi tu ne nous as pas montré cette photo avant ????
je ne comprends pas , tu as fais un gig et tu n avais pas vu ces points de fou avant ??
et tu me fais tout un vier sur la taille du papier , des faux positifs et tout le con de manon que oui que non , et que la vie est complexe ? alors que ç est gros comme un nez au milieu de la figure !
j'sais plus quoi dire , tu me coupes les jambes .
bon , ç est pas grave , on va reprendre au début comme chez les flics :-) :nom prenon adresse ….



Vw campersurfvan bmnk1q - Eugenol
enlaye

28/01/2020 à 21h22

enlaye écrivait:
------
" alors comme on se cague des lateralités , et du centrage , on regarde les soit disant mvts fonctionnels , et on en néglige le calage . surtout le calage inter proximal avec ses cretes marginales . "

2 zpa9ex - Eugenol
Inked1 li uqhuiy - Eugenol

montmartre

29/01/2020 à 02h22

enlaye écrivait:
------
> mais c est quoi ce bordel ??

C'est fou, j'avais pas remarqué çà. En même il doit avoir plusieurs OIM différentes, çà doit être une qu'il ne m'avait pas encore montré :)
Bon je vais allé lui retoucher un peu çà, attendre que çà se tasse un peu, j'ai pas envie de lui couronner la 16 sans savoir où je met les pieds.


Vw campersurfvan bmnk1q - Eugenol
enlaye

29/01/2020 à 08h08

" En même il doit avoir plusieurs OIM différentes "

eh oui , n ayant pas de stabilité , en etant dent sur dent , on ne peut meme pas vraiment parler d oim .
d ou l interet de prendre les platres dans les mains de les frotter et d imaginer ses mouvements possible .
le top serait de faire monter le modele du bas avec la molaire couronnee montee sur die ou acutrak . comme ca tu peux les frotter avec et sans et tu vous la différence .
sinon , tu limes un peu la ccm sur le platre , c est pareil mais tu n auras le droit qu a 1 fois sauf si tu a plusieurs modeles .
refaire la ccm n est pas utile en effet .
la retoucher , ca oui


Vw campersurfvan bmnk1q - Eugenol
enlaye

29/01/2020 à 09h43

edit :
tu parlais de la 16 pour la couronne .
si si tu peux faire au moins un prov .tu ne risques rien .
le pb c est la ccam et ses prov a la con . tu vois Jules , la ccam ne va pas dans le sens de l occluso :-)


Nouveau image bitmap fz77zh - Eugenol
Sethef

29/01/2020 à 15h23

J'ai le droit de faire le kéké maintenant ;-)

En fait, un amalgame, c'est jamais iatrogène en occluso. Parce qu'un amalgame en surroc, ça casse dans l'heure qui suit la réalisation. Par contre, je me dis que ce qui est possible, c'est que le patient se soit adapté à sa coiffe en mordant de trav, puis que la réalisation de l'amalgame aie fini de le verrouiller en l'empêchant de se décaler comme il pouvait: dépassement de l'adaptabilité, pathologie.


Vw campersurfvan bmnk1q - Eugenol
enlaye

30/01/2020 à 10h12

Sethef écrivait:
------
" J'ai le droit de faire le kéké maintenant ;-) "

hehe , je crois bien que oui , faut que je me méfie de toi , tu montes , tu montes :-))
comme quoi les coups de bâtons n ont pas étés perdus pour tout le monde , suis content :-)


montmartre

30/01/2020 à 11h31

Je pense avoir reconstitué la petite histoire.
Le gars est allé il y a 12 ans chez son dentiste qui lui a fait une coiffe sur 36 en sur-occlusion. Il s’y adapte tant bien que mal, comme l’a dit sethef, sauf à des périodes de stress de sa vie où il a des crispations musculaires. Il retourne chez lui qui lui fait une gouttière de bruxisme. 36 étant en sur occlusion et 16 a un amalgame mis au pouce en sous occlusion, il y a eu égression de la 16 occasionnant une interférence en latéralité.


Vw campersurfvan bmnk1q - Eugenol
enlaye

30/01/2020 à 12h54

oui ç est presque ça , mais je préfère quand même l histoire de Sethef .
lui il préconise la sur occ
et toi la sous occ
et moi je dis que c est plus un pb de crête marginale .
on en avait déjà parlé : https://www.eugenol.com/sujets/421787-4eme-p-tit-tuto-occluso-proximo .



Vw campersurfvan bmnk1q - Eugenol
enlaye

30/01/2020 à 13h12

montmartre écrivait:
----------
" 36 étant en sur occlusion "
non non pas forcement :-)
lors d une classe2 avec beance , les peu de contacts posterieur sont ils en sur occ ? non .
là ç est pire que ça , ç est une dent verrouillante en position decalée .
et si tu y enleves les interferences , il y a de fortes chances qu elle se retrouve presqu en sous occ .
ç est ce dont on parlait avec Vulpi .

Inked2 zpa9ex li x42szk - Eugenol