Cookie Consent byPrivacyPolicies.comRetour en France? - Eugenol

Retour en France?

Carls

14/02/2020 à 03h08

casa écrivait:
----
> Non mais mon cher confrère , tu me fais penser à un grand chef qui dresse ses
> assiettes avec des chichis pendant une heure , alors qu'il a 100 mecs affamés
> qui attendent ! Le principe étant de les nourrir correctement , et si de temps
> en temps tu veux sortir les petits plats dans les grands ben ne te gène pas .
> Maintenant j'ai toujours pas compris ce que tu viens chercher ici , Qu'on te
> dise mais oui c'est possible .. ben , il me semble que tu as toutes les données
> du problème , maintenant il te reste l'ortho , l'implanto ... c'est largement à
> ta portée , il me semble . Bona note .

Et bien si tu ne comprends pas et que tu n'apportes que des critiques pourquoi est ce que tu viens étaler ton mépris et ton aigreur ?
Allez on ferme tous ces restaurant gastros et allons tous bouffer la même merde au macdo.
Heureusement que tout le monde n'a pas la même vision de la dentisterie que toi à vouloir entrainer les autres dans la médiocrité.
Et si dans les moments difficiles on ne peut plus se parler entre confrères la profession est quand même mal engagée.


Utilisateur banni

14/02/2020 à 05h29

Elle a une casa en moins c'est pas possible autrement !


Olieve

14/02/2020 à 05h53

T4xus, As-tu songé à une carrière d’écrivain ? Tu as un vrai don pour l’écriture , je pense que l’on sera tous d’accord là dessus.

En plus, il paraît que ça a son petit effet sur la gente féminine,


Hok 1b hgd3rj - Eugenol
Hokusai

14/02/2020 à 06h27

Remarque tu peux revenir en France... Mais faut trouver la patientèle réceptive a ce niveau de dentisterie.
Et vu les charges que ça va te coûter + faible productivité... 4j... Les 100ke ça va être chaud.
Le compo 2f en 1h... C est le même prix que l amalgame tofflemire coin de bois. 35e...
Il est a combien le compo 2f chez toi ??
Tu peux pas monter ton propre cab en ssesui ?

Nous on prend quand même le chemin du low cost en France... En Suisse le low cost se développe ??


paular

14/02/2020 à 06h49

Tu étais où exactement au Canada? Je suis du Québec
J'ai vécu la même chose que toi. Ma femme Maryse m'a quitté il y a 5 ans. Depuis ma vie n'est plus la même.


Hok 1b hgd3rj - Eugenol
Hokusai

14/02/2020 à 08h34

chicot29 écrivait:
--------
> J'aurais du faire ca sur la premiere 30 minutes pour aller au bout du
> vestibulaire. Le patient serait déjà sorti avec sa provisoire.

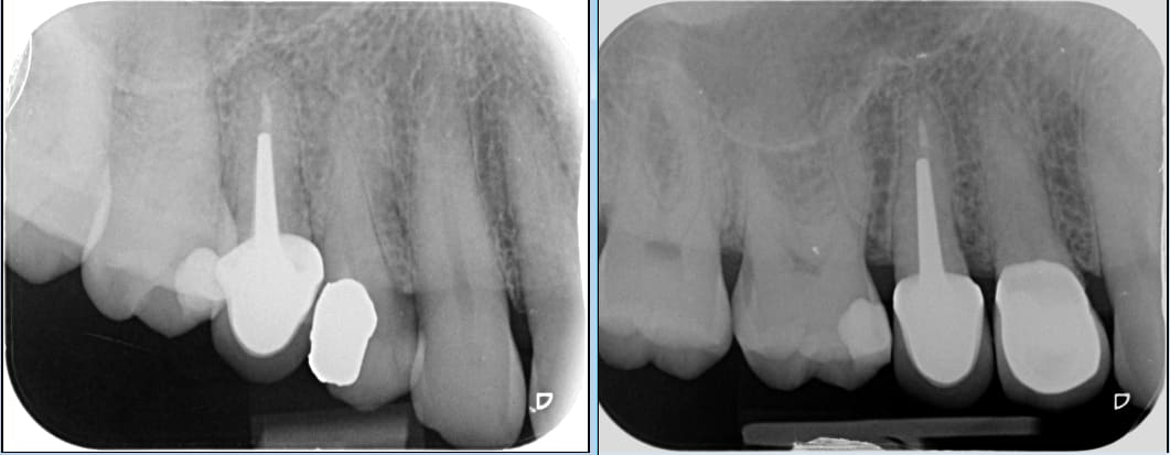
regarde la, fracture du pan vestibulaire...
J'ai fait dépose AG + compo sous digue
Taille empreinte prov sur dent vivante
le patient a choisi une CCM RAC 0 sinon j'aurais collé une Emax.

Dent vivante xqxqel - Eugenol

paular

14/02/2020 à 08h58

En plus avec ma femme , ce qui était bien , c'est qu'elle aimait aller à la chasse avec moi. On chassait ensemble du caribou , du dindon sauvage, de la bécasse d'Amérique , et des outardes. On ramenait tout ça à la maison, et elle nous préparait tout ça. Un sacré festin!


DELAF

14/02/2020 à 09h02

Tu poses une question chacun te répond et je trouve qu’aucune réponse n’est mauvaise.
Comme déjà exprimé, en France le compo 2 faces en une heure n’est pas possible.
Il faudra parfois faire des compromis entre ta satisfaction et celle de tes patients.
Le français est difficile, il veut tout au meilleur prix ...voir gratis ! ( et je ne parle pas des RDV manqués ou décommandés au dernier moment).
Oui tu peux te faire plaisir en travaillant mais
ce ne sera pas toujours facile !


Utilisateur banni

14/02/2020 à 09h17

Paular installe toi avec T4xus,
A vous 2 vous feriez des "gosses" au Québec


doagui

14/02/2020 à 09h23

Je l'ai déjà dit mille fois sur ce forum mais je le répète : ton exercice dépendra très très très majoritairement de ton lieu d'installation. J'ai bossé dans une dizaine de cab en omni, j'ai eu tout autant de type d'exercice, de type de patientèle et de chiffre d'affaire, alors que bah moi j'étais pareil !

Exemple parfait ici-même : casa travaille manifestement avec une patientèle abondante et assez pauvre, elle doit donc y faire des soins rapides, simples et pas chers... et elle n'a pas tort, elle répond à la demande ! Par contre elle a le tort de ne plus réussir à imaginer que ce soit différent ailleurs, mais ca c'est autre chose.

Ne juge pas l'exercice en France sur ce que tu lis sur eugenol. C'est comme partout, les mécontents font toujours plus de bruit que les satisfaits, ce forum contient donc logiquement beaucoup de malheureux (qui ne se l'avouent pas toujours d'ailleurs), sans que ça soit forcément représentatif de la proportion nationale réelle...

Ne juge pas non plus sur ce que tu en as connu si tu n'as fait que quelques cabinets. Vraiment, tout peut être très différent dans une autre région.


Avatar transparent iqadnc - Eugenol
adhoc

14/02/2020 à 09h27

Ecroulé, hokusai, ca va vachement l'avancer dans ses choix de vie, du bricolo de dentiste qu'il connait, :-)))))
En plus ca va foirer dans un an 197 jours et 3 heures !!!!! Mamie Nécrose va venir avec ses gros sabots. Les paris sont ouverts!


paular

14/02/2020 à 09h28

Quand ma femme n' était pas là , j'avais pour habitude d'aller dans les salons de massage érotique que vous appelez en France bar à putes... Jusqu'au jour où elle est rentrée plus tôt du travail. Je suis rentré , mes habits sentaient le parfum. Et elle a tout deviné


Capture d  cran 2015 03 12 12.28 - Eugenol
chicot29

14/02/2020 à 09h29

Hokusai écrivait:
-------
> chicot29 écrivait:
> --------
> > J'aurais du faire ca sur la premiere 30 minutes pour aller au bout du
> > vestibulaire. Le patient serait déjà sorti avec sa provisoire.
>
> regarde la, fracture du pan vestibulaire...
> J'ai fait dépose AG + compo sous digue
> Taille empreinte prov sur dent vivante
> le patient a choisi une CCM RAC 0 sinon j'aurais collé une Emax.
>
Pas de soucis de sensibilités . Ciment prov OZN eugenol . ?


--
En cas d'échec des négociations conventionnelles, seriez-vous prêt à suivre la promotion d'un déconventionnement massif de la profession par les syndicats représentatifs ? OUI - NON
Participez, anonymement, sur https://goo.gl/forms/nAO0htnsVmxotjYm1


Avatar transparent iqadnc - Eugenol
adhoc

14/02/2020 à 09h42

>Quand ma femme n' était pas là , j'avais pour habitude d'aller dans les salons de massage érotique que vous appelez en France bar à putes...<


Bizarre , jr, tu changes tes habitudes, j'aurais pensé qu'elle avait plutot découvert ta collection de poupées gonflables qui séchaient dans le grenier :-)

Bon, ok, tea4xus, c'est vraiment parti en c.... comme tu le dis, mais on est le 14!!!!



Capture d  cran 2015 03 12 12.28 - Eugenol
chicot29

14/02/2020 à 09h43

Suis bête c'est à moitié nécrosé. Meme pas besoin. -)))


--
En cas d'échec des négociations conventionnelles, seriez-vous prêt à suivre la promotion d'un déconventionnement massif de la profession par les syndicats représentatifs ? OUI - NON
Participez, anonymement, sur https://goo.gl/forms/nAO0htnsVmxotjYm1


adhoc écrivait:
-----

> Bon, ok, tea4xus, c'est vraiment parti en c.... comme tu le dis, mais on est le
> 14!!!!


Ben c'est surtout qu'on est à la 4ème page et que tout a été dit quasiment.

En plus tout ça c'est la faute à Casa, pis moi j'aime pas les corses (m'en fous je cours vite)


Hok 1b hgd3rj - Eugenol
Hokusai

14/02/2020 à 10h01

chicot29 écrivait:
--------
> Pas de soucis de sensibilités . Ciment prov OZN eugenol . ?

Oui tempbond a l eugenol.
Test froid positif...
Pas de carie... Percussion ok et radio ok.
Le plomb qui a 20 ans...
Pour être sûr j ai déposé l AG sans anesthésie... Bon la dent était bien vivante :)))

Après les précautions sur dent vivante... Fraise neuve turbine spray abondant et toilette des surfaces dentinaires au dakin.


Utilisateur banni

14/02/2020 à 10h04

Doagui, comment ça se fait que tu aies changé autant de fois de cabinet ? On t'a viré ? Trop de mécontents ? Donne nous des détails 💞


paular

14/02/2020 à 10h28

Est-ce que tu es déjà allée dans le parc Jaques Cartier au Québec Poulette? on peut y voir des castors et des chevreuils dans la forêt


Capture d écran 2018 05 16 à 21.30 - Eugenol
Daryl

14/02/2020 à 10h31

.


Utilisateur banni

14/02/2020 à 11h01

Je connais que le château Frontenac moi !
Les castors sont comme toi, ils ne travaillent qu'avec leurs queues 💞


Utilisateur banni

14/02/2020 à 11h01

Je connais que le château Frontenac moi !
Les castors sont comme toi, ils ne travaillent qu'avec leurs queues 💞


Orezza gazeuse verre litre ocoxey - Eugenol
casa

14/02/2020 à 11h22

Ha ha ha ! heureusement qu'on peut un peu secouer de temps en temps le cocotier des vanités diverses de ce forum ! Pervers moi j'aime bien L'ôMe même si le SCB est dans mon cœur . Ben oui les gars qui se pal.... devant leur endo et compo sous digue fait en une heure , Haaaa prendre du plaisir dans le travail , un mythe d'artiste de la dent . C'est pas le job qui est pénible ce sont les langues , joues et cerveaux qui entourent le site ! quand ça gigotte , râle , te pose des questions sorties de nulle part , tu oublies vite le plaisir .... mais bon l'espoir fait vivre . Je crains que notre ami T4 for 2 soit un perpétuel insatisfait à la recherche d'un graal un peu comme un enfant ... mais bon Je dis ça comme ça au comptoir du café du commerce , pour alimenter votre journée . La bise les gars z'et la fille ! ENJOY


paular

14/02/2020 à 11h40

Sinon tu pourrais t'installer en Corse. C'est comme la Suisse en plus petit et en plus pauvre. Parait qu'il faut offrir de la coppa aux responsables du conseil de l'ordre pour pouvoir pratiquer là bas. Puis tous les trois mois, filer du fiadone et des canistrelli aux femmes de ces responsables


doagui

14/02/2020 à 11h41

Poulette31 écrivait:
----------
> Doagui, comment ça se fait que tu aies changé autant de fois de cabinet ? On t'a
> viré ? Trop de mécontents ? Donne nous des détails 

Jamais viré non, je suis parti pour plusieurs raisons. 1er cab par exemple tout marchait bien mais le titulaire etait en burn out, rien n'evoluait plus et j'etais en banlieue plutôt moyenne donc je voulais voir autre chose. 2eme cab dans un coin aisé de Paris, bon CA mais peu de patients, agenda plein de trous... pas intéressant, je m'ennuyais, et les caprices des gens me faisaient suer, les gens "simples et normaux" de mon précédent cab me manquaient. 3eme cab en banlieue assez éloignée mais étonnamment les patients avaient les moyens de suivre tous les devis. Patientele abondante, cab au top, mais titulaire et sa femme (qui ne bossait pourtant pas au cab) intrusifs et maniaques du contrôle. Je suis parti quand il m'a piqué des gros patients et a réagi comme si c'etait son bon droit (je me fichais des 2 patients, lui m'en envoyait d'autres, il aurait suffi qu'il m'en parle et je les lui aurais donné, ou juste qu'il s'excuse, au lieu de me prendre de haut et s'en foutre).

J'ai aussi bossé en centre en banlieue moche, en centre de quartier très aisé, j'ai remplacé en belle campagne normande (très sympa, mais je veux vivre à Paris), j'ai retenté la banlieue éloignée dans un gros cab avec plusieurs associés (et j'y serais bien resté mais le prat que je devais remplacer est tombé gravement malade du coup au lieu de me laisser la place paradoxalement il s'y est accroché comme si ca le maintenait en vie, je me suis donc éclipsé à regret), etc etc. Ca plus les 3 cabs où j'ai bossé en ortho avant de m'installer. J'en oublie certainement.