Cookie Consent byPrivacyPolicies.compas trop cool comme carie... - Eugenol
Vw campersurfvan bmnk1q - Eugenol
enlaye

22/02/2020 à 09h27

:-)))


Tout ce teasing pour un vulgaire amalgame ;-)


Vw campersurfvan bmnk1q - Eugenol
enlaye

22/02/2020 à 10h14

Moi je sais ce qui s'est passé.
Il est allé au resto il a mangé Egyptien c'est-à-dire tout en canon il était frit boullit , et quand on lui a amené la kemia au thon il s est dit cette petite c'est ma sirène. M en va lui greffer une cellule souche de thon , et elle sera une vrai sirène , mi thon mi femme . Et comme ça si ça marche elle va me manger mon petit gobi direct .
Du coup c est pas Pxav Bruel , c est Pxav Souchon .


S2y2o1v7q53ws4r5wy6ou8czrpom - Eugenol
pxav

22/02/2020 à 11h25


voilà c'est terminé

--
xbk
La connaissance s'acquiert par l'expérience, tout le reste n'est que de l'information." ALBERT EINSTEIN

029 wszwho - Eugenol

S2y2o1v7q53ws4r5wy6ou8czrpom - Eugenol
pxav

22/02/2020 à 11h27


enlaye le poet poet...

--
xbk
La connaissance s'acquiert par l'expérience, tout le reste n'est que de l'information." ALBERT EINSTEIN


S2y2o1v7q53ws4r5wy6ou8czrpom - Eugenol
pxav

22/02/2020 à 12h21

nettoyage et obturation

Img 8485 ticrpb - Eugenol
Img 8491 gftzys - Eugenol
Img 8493 tub34g - Eugenol
Img 8494 k3mgl2 - Eugenol
Img 8498 mn8iax - Eugenol
Img 8500 pizp6b - Eugenol
Img 8502 bblva6 - Eugenol
Img 8502r z3vzzo - Eugenol

Hok 1b hgd3rj - Eugenol
Hokusai

22/02/2020 à 13h03

merci pour les photos... bon finalement c'est vrai que ça semble pas si mal barré que ça...
Et du coup, la résorption est obturée a quoi ??? J'en peux plus de ce teasing de malade.


montmartre

22/02/2020 à 13h14

.


Vw campersurfvan bmnk1q - Eugenol
enlaye

22/02/2020 à 13h29

Oui on dirait bien . Ceci en esperant que de l os invagine la dent ?
Ç est pas con .


Hok 1b hgd3rj - Eugenol
Hokusai

22/02/2020 à 13h46

oui comme ca quand ca fracturera ce sera plus difficile a sortir...


montmartre

22/02/2020 à 13h51

.


S2y2o1v7q53ws4r5wy6ou8czrpom - Eugenol
pxav

22/02/2020 à 13h54

montmartre écrivait:
----------
> On dirait du matériau de subsitution osseux genre beta tcp, ou me trompe je?

bien vu
--
xbk
La connaissance s'acquiert par l'expérience, tout le reste n'est que de l'information." ALBERT EINSTEIN


S2y2o1v7q53ws4r5wy6ou8czrpom - Eugenol
pxav

22/02/2020 à 13h55

enlaye écrivait:
------
> Oui on dirait bien . ?
> Ç est pas con .

merci Docteur :-))

--
xbk
La connaissance s'acquiert par l'expérience, tout le reste n'est que de l'information." ALBERT EINSTEIN


S2y2o1v7q53ws4r5wy6ou8czrpom - Eugenol
pxav

22/02/2020 à 13h55

Hokusai écrivait:
-------
> oui comme ca quand ca fracturera ce sera plus difficile a sortir...

faut
--
xbk
La connaissance s'acquiert par l'expérience, tout le reste n'est que de l'information." ALBERT EINSTEIN


S2y2o1v7q53ws4r5wy6ou8czrpom - Eugenol
pxav

22/02/2020 à 14h08

enlaye écrivait:
------
> mais à mon avis la photo du départ date déjà de + de 10ans :-)

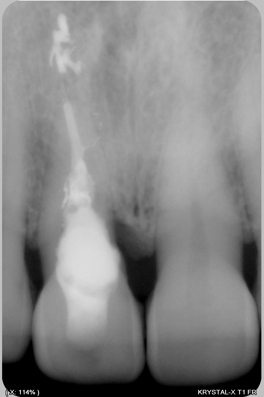
adhoc écrivait:
-----
> 10 ans -2727 jours!!! :-))))

Bon il faut une petite mis au point...
je n'avais encore pas de biodentine donc le produit c'est du Vitalos (utilisé en implanto, bitube qui durcissait) qui n'est plus commercialisé depuis 8 ans je crois donc la radio initiale ne date pas de plus de 10 ans mais ça fera 10 ans dans 485 jours... intervention 07/2011) la dernière radio est de la semaine dernière... je n'avais pas revu la patient (qui a donc 48 ans maintenant) depuis 7 ans et honnêtement je pensais qu'elle avait migré ailleurs, et bien non comme tout allait bien, donc pas de contrôle.
le Vitalos n’était pas destiné à cet usage mais j'ai fait une transposition des résultats que j'avais dans d'autres usage.
L’avantage c'est qu'il collait aux parois séchées à la compresse et était biocompatible mais je ne désirait que l'os prenne sa place
Le seul petit défaut sur la dernière radio, c’est la perte osseuse en mésial, par contre la gencive à toujours la bonne hauteur (je n’avais pas fait de décharge latérale, papilles en ½ épaisseur…) et un aspect sympa, dent solide patiente avec un joli sourire
Je ne me la pète pas mais quel plaisir d’avoir eu un succès à 9 ans avec une utilisation "borderline" d'un produit... mon avocat tremble tout les jours :-))



--
xbk
La connaissance s'acquiert par l'expérience, tout le reste n'est que de l'information." ALBERT EINSTEIN


Vw campersurfvan bmnk1q - Eugenol
enlaye

22/02/2020 à 14h22

"Je ne me la pète pas"
Si quand même, mais en même temps si tu n avais pas essayé , on aurait jamais su .
un peu comme l' ERI , c est décalé .


Hok 1b hgd3rj - Eugenol
Hokusai

22/02/2020 à 14h44

remarque ca aussi ca a 10 ans...

Bridge bvt2ae - Eugenol

Vw campersurfvan bmnk1q - Eugenol
enlaye

22/02/2020 à 15h05

T es un vilain , Hoku. :-)


S2y2o1v7q53ws4r5wy6ou8czrpom - Eugenol
pxav

22/02/2020 à 15h20

enlaye écrivait:
------
> T es un vilain , Hoku. :-)

Ben non lui aussi il a 10 ans... 😁😁😁😱
--
xbk
La connaissance s'acquiert par l'expérience, tout le reste n'est que de l'information." ALBERT EINSTEIN


Hok 1b hgd3rj - Eugenol
Hokusai

22/02/2020 à 15h27

pxav écrivait:
----
> enlaye écrivait:
> ------
> > T es un vilain , Hoku. :-)
>
> Ben non lui aussi il a 10 ans... 
> --

Si seulement... C était le bon temps.

En tout cas super travail pxav... C est juste dommage qu avec ton gros instrument tu lui aies cassé le c...

ône de Kuttler.


Utilisateur banni

23/02/2020 à 07h07

Tu nous rappelleras quel produit canalaire tu as acheté ? Car ça n’a pas l’air de disparaître à l’apex. Septodont qui t’a vendu ça ?

Imaginons que ça casse à 15/20 ans , n’aurait-il pas été préférable de poser un implant dès le départ ? Puisque la probabilité que cette dent casse est tout de même plus élevée que pour une dent normale.
En tout cas, cas très intéressant Pxav , merci d’avoir posté ça.


--
Le soleil vient de se lever, un copain est venu partager, l'ami ricoré! L'ami du petit déjeuner, l'ami ricoré. Il suffit une fois d'y goûter, après on est sûr de l'aimer! L'ami du petit déjeuner, L'ami ricoré ...


S2y2o1v7q53ws4r5wy6ou8czrpom - Eugenol
pxav

23/02/2020 à 08h01


Dans 5 ou 10 ans si ça casse je ne vois pas pourquoi il faudrait s'inquiéter un implant ou un système qui existera alors.
C'est un peu comme si tu me disais puisque l'on doit mourir un jour pourquoi ne pas le faire de suite.
Pour l endo je ne sais plus quel etait le produit avec certitude.

--
xbk
La connaissance s'acquiert par l'expérience, tout le reste n'est que de l'information." ALBERT EINSTEIN


vernal

24/02/2020 à 11h37

J'aime bien l'argument "Puisque l'on doit mourir un jour pourquoi ne pas le faire tout de suite ?"
Je n'ai pas un moral terrible aujourd'hui. Pervers pépère au secours !!


vernal écrivait:
------
> J'aime bien l'argument "Puisque l'on doit mourir un jour pourquoi ne pas le faire tout de suite ?"

Mais tout à fait, c'est exactement ce que j'ai dit à ma voisine, celle qui a des g... , bref, ben elle a pas aimé, une varoise sans doute.


Utilisateur banni

24/02/2020 à 12h22

vernal écrivait:
------
> J'aime bien l'argument "Puisque l'on doit mourir un jour pourquoi ne pas le
> faire tout de suite ?"
> Je n'ai pas un moral terrible aujourd'hui. Pervers pépère au secours !!

T’as le choix entre par exemple une caméra française et une Trios . Vu que la caméra est française, la probabilité que ça merde est plus élevée , donc autant acheter directement une Trios :)


--
Le soleil vient de se lever, un copain est venu partager, l'ami ricoré! L'ami du petit déjeuner, l'ami ricoré. Il suffit une fois d'y goûter, après on est sûr de l'aimer! L'ami du petit déjeuner, L'ami ricoré ...


1...678