Cookie Consent byPrivacyPolicies.comOnlay inlay petit détail technique - Eugenol

Onlay inlay petit détail technique

Nouveau image bitmap fz77zh - Eugenol
Sethef

05/06/2020 à 14h40

C'est pas à moi que t'as demandé, mais je réponds quand même; quand la 47 commence à faire chier, je prends une congé noire et je la passe bien à plat sur la face occlusale, c'est le plus rapide et le moins invasif pour le patient. Et si besoin je renouvelle 5 ans plus tard.
(ce qui rejoins assez ton précédent post où tu estimais que moins on en fait, mieux le patient se porte.)


Vw campersurfvan bmnk1q - Eugenol
enlaye

05/06/2020 à 16h01

Sethef écrivait:
------
" C'est splendide, mais ce blanc, my god... Il t'a forcé? "

forcé ? c est que le prénom . rien n était assez blanc pour lui , chez ivoclar . à l epoque le bleach en ceram n existait pas . m en sortais pas . alors j ai eu une idée -)) encore une idée à la con :-)
j ai appellé le labo et j y ai dit :
" tu vois les petites vielles quand elles sortent du coiffeur , elle ont les cheveux bleu violets , t'aurais pas un colorant genre paillettes bleues que tu pourrais me mettre dans le glasure ? "
et il l a fait !
et effectivement , ça lui a donné un aspect un peu nacré quand il passait au soleil ,une huitre , il etait au max . blue oyster cult que je l appelais .
le pb , ç est que quand j ai fait l arriere , le labo a tellement souffert de cette histoire , qu il m a dit zobi la nacre à plus la nacre .
ça a ete un drame pour lui qui voulait du blanc de blanc or sur l @max les molaires qu avaient dejà soit un ic soit q elles étaient marron laissaient transparaître un petit coté sombre sur l @max .
alors j ai encore eu une idée à la con :-)
j ai appelé le labo et j y ait dit :
" le trognon de l @max , c est blanc , non ? eh ben pourquoi tu ne me ferais pas une dent toute en trognon massive , bien blanche , avec un peu de brillant ?
la putain de moi j avais inventé le full @max il y a 20 ans , à part que pour lui c était à prix d or .


,

P7285761 hsstti - Eugenol

6szjws718sv1jksw54v4mpj3a6cu - Eugenol
vulpi

05/06/2020 à 16h49

Ce qui est difficilement réalisable avec un labo d'import... j'dis ça en passant... la prothèse rac0 chinoise, pas possible en violet:-))
Dis donc mon coco, j'avais évoqué une 47 chiante ;-)


Vw campersurfvan bmnk1q - Eugenol
enlaye

05/06/2020 à 16h56

ehehe , tu étais dans le vrai avec tes implants .
il a eu le droit à 17 27 ext et implant à la place .
la 47 je l ai couronné pour améliorer le plan d occlusion . elle ne m a jamais trop embêté celle là .


Vw campersurfvan bmnk1q - Eugenol
enlaye

05/06/2020 à 17h23

si vous etes tres tres sage , je vous montrerais un jour comment faire un bridge complet haut et bas là dessus et donc pourquoi il faut commencer par le bas pour les cas paro .
fait en 2010 , ç est toujours là et si tu vois les gencives , tu pleures ta race tellement ç est beau .
:-)))

P5126237   copie id8tw2 - Eugenol
P5126238 joivqc - Eugenol

Bebe 038 nf8eum - Eugenol
danteyeah

05/06/2020 à 17h47

Eh Eh le précédent avait déjà commencer par le bas :-))))))


Zorba le grec 1373406512 108 lfk5ey - Eugenol
zorbalegrec

06/06/2020 à 08h25

Et enlace tu nous fais saliver, envoies les tofs de ce cas


Orezza gazeuse verre litre ocoxey - Eugenol
casa

06/06/2020 à 09h05

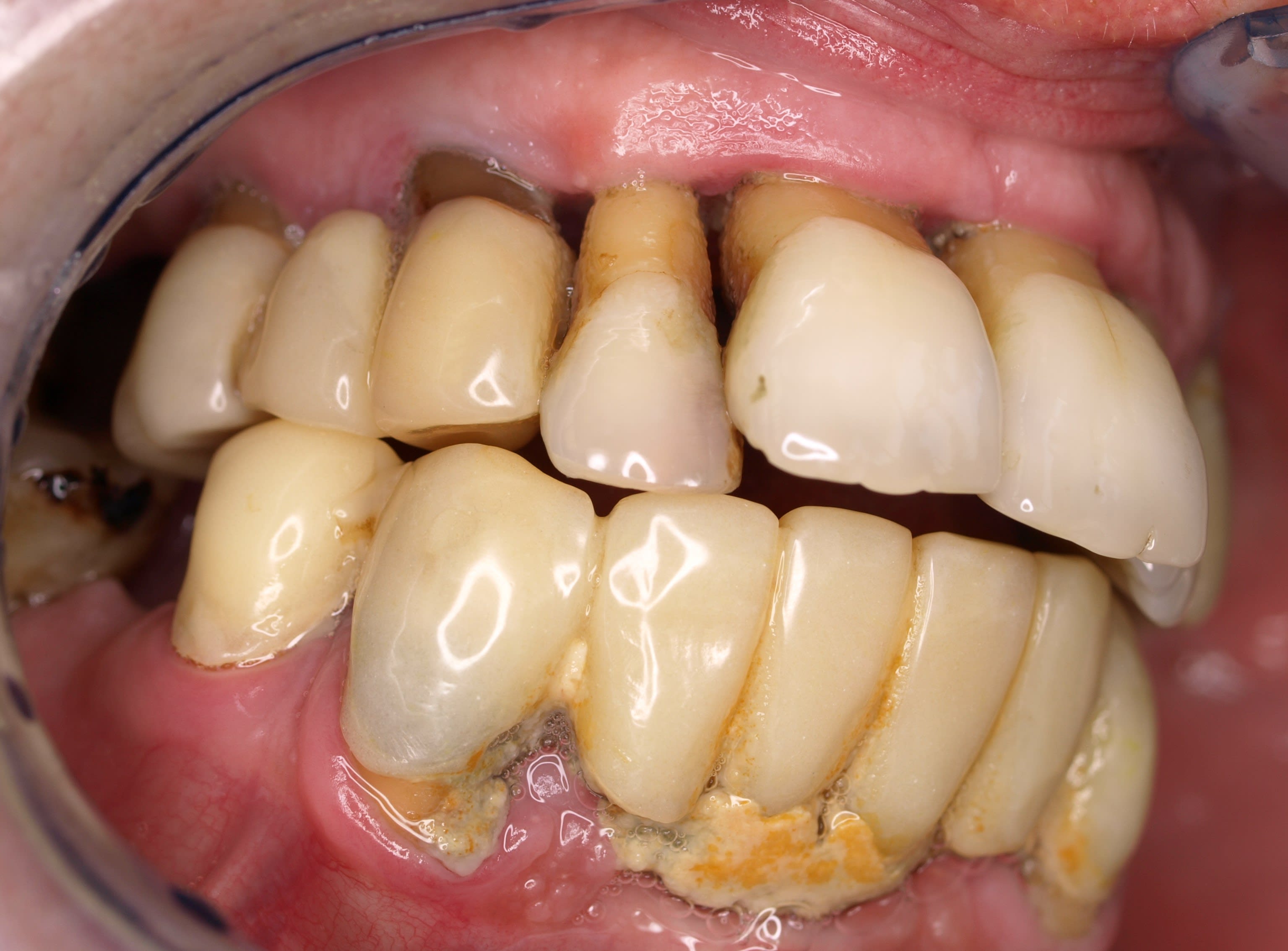
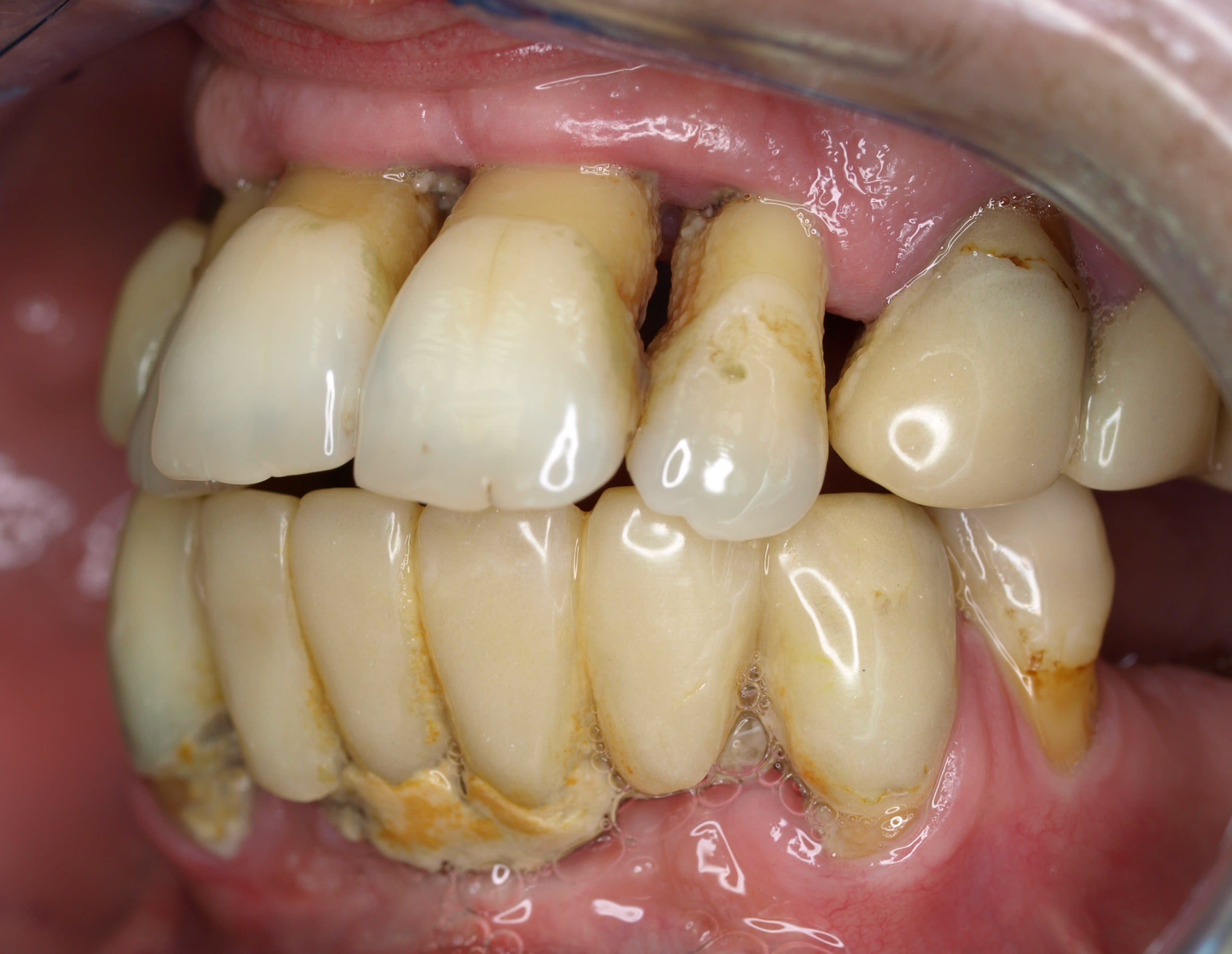
Saliver ??? heu oui , c'est pas ce qui me vient au premier regard mais bon ... effectivement , on attend le résultat ... première question: dents vivantes ?


Hok 1b hgd3rj - Eugenol
Hokusai

06/06/2020 à 10h44

enlaye écrivait:
------
> si vous etes tres tres sage , je vous montrerais un jour comment faire un bridge
> complet haut et bas là dessus

et moi si vous etes tres tres tres tres sage , je vous montrerais un jour comment faire un
complet haut et bas là dessus


6szjws718sv1jksw54v4mpj3a6cu - Eugenol
vulpi

06/06/2020 à 11h11

Hokusai écrivait:
-------
> enlaye écrivait:
> ------
> > si vous etes tres tres sage , je vous montrerais un jour comment faire un
> bridge
> > complet haut et bas là dessus
>
> et moi si vous etes tres tres tres tres sage , je vous montrerais un jour
> comment faire un
> complet haut et bas là dessus
Avec empreintes numériques et réalisation des provisoires one shot, ça pourrait être intéressant effectivement.


Vw campersurfvan bmnk1q - Eugenol
enlaye

06/06/2020 à 14h15

Hokusai écrivait:
--" et moi si vous etes tres tres tres tres sage , je vous montrerais un jour comment faire un complet haut et bas là dessus "

Pardi , c est un cas ou il aurait fallu tout enlever bien sur .Bon apres faire un complet la dessus ça doit etre mariole :Belle Classe 2 avec béance et sourire gingival .

Mais quand j ai dit qu il fallait etre tres tres sage , je voulais dire etre tres tres gentil , avec moi :-))
Pcq , vous risquez de le prendre mal , tres mal :-)) pour ça que j hésite :-)
Pas le cas en lui même , hein , les conclusions .
Les cas extrêmes , amenant des conclusions , heuuu comment dire ? , disons dérangeantes .


Nouveau image bitmap fz77zh - Eugenol
Sethef

06/06/2020 à 14h20

Si vous êtes sages, demain j'enlève le bas.
Quelle allumeuse... Allez envoie.


Vw campersurfvan bmnk1q - Eugenol
enlaye

06/06/2020 à 14h25

Le pb c est que j ai revu le cas ,pas au fauteuil et je n ai pas les photos 10 ans apres . Donc il faudrait me croire sur parole quand je vous dit que les gencives aux limites sont belles à tomber par terre .
En attendant que je la revoie pour les prendre , bien sur .


6szjws718sv1jksw54v4mpj3a6cu - Eugenol
vulpi

06/06/2020 à 15h25

.


6szjws718sv1jksw54v4mpj3a6cu - Eugenol
vulpi

06/06/2020 à 15h26

vulpi écrivait:
-----
>😂😂😂 C'est comme pour les "aventures", souvent t'as pas envie de monter les
> photos de 10 ans plus tard 😱... faut croire sur parole 🤥 filou !!!


Hok 1b hgd3rj - Eugenol
Hokusai

06/06/2020 à 16h02

y'a ca et ca...

Complet c8qsiz - Eugenol
Complet 2 wyrh6f - Eugenol

Vw campersurfvan bmnk1q - Eugenol
enlaye

07/06/2020 à 08h30

casa écrivait:
----
"... première question: dents vivantes ? "
Aille , ça démarre fort , bon , ok , on va commencer par les conclusions .
Dans un cas paro avec mobilité il faut tout dévitaliser . Tu devitalises , t as fait 50% du ttt paro .
Non pire , je vais le dire différemment :
Tu peux faire ce que tu veux si tu n as pas dévitalisé , tu n as rien fait :-)
À méditer :-)
Je sens que ça va etre la fête , venez venez par ici :-)))


blaise2583

07/06/2020 à 09h24

enlaye écrivait:
------
> casa écrivait:
> ----
> "... première question: dents vivantes ? "
> Aille , ça démarre fort , bon , ok , on va commencer par les conclusions .
> Dans un cas paro avec mobilité il faut tout dévitaliser . Tu devitalises , t as
> fait 50% du ttt paro .
> Non pire , je vais le dire différemment :
> Tu peux faire ce que tu veux si tu n as pas dévitalisé , tu n as rien fait :-)
> À méditer :-)
> Je sens que ça va etre la fête , venez venez par ici :-)))

Pour l instant complètement d accord avec les devitalisations des dents j attend la suite avec impatience...
>


Et7jtaj0pdi18gzjlxjiamlx15gs - Eugenol
Prunelles

07/06/2020 à 09h30

C’est pas le fait de dévitaliser pour traiter la Paro qui me bloquerait. C’est plutôt comment justifier cela auprès du patient du part, et auprès du CDC d’autre part ? D’un certain point de vue c’est du surtraitement...


Orezza gazeuse verre litre ocoxey - Eugenol
casa

07/06/2020 à 09h32

Bah pourquoi ? ça change quoi ?, une dent vivante se défend mieux non ? a part si la taille est importante bien sur ....

(je suis payée comme animatrice )


blaise2583

07/06/2020 à 10h20

Alors moi je coupe à ras de gencive pour degager ce qui est pourri et il y en a... vu les photos donc pas de soucis pour cdc a mon avis
Je retombe sur du tissus dur et je fais des belles endos si possible à la chicot...
Je les ferme temporairement en coping pour ne plus qu elles soient étanches et plus sollicitées par des forces.
Je nettoie tout bien au mieux et motivation hbd pendant phase de transition
Puis viens l analyse prothetique du cas dvo oim ...
Avec une periode en complets provisoires pour valider dvo, angulation du bas du haut... beance... teinte...
Si réaction paro bonne et validation du projet fonctionnel et esthétique ainsi qu une bonne reaction paro alors passage en fixe sinon on reste en complets sur overdenture en gardant de l os
On a pas perdu de temps


Et7jtaj0pdi18gzjlxjiamlx15gs - Eugenol
Prunelles

07/06/2020 à 10h27

Intéressant comme approche, mais faut vraiment que le patient soit motivé pour supporter des complets provisoires vu le niveau de la situation initiale.


blaise2583

07/06/2020 à 11h04

De toutes facons vu l etat il est aux bords des complets donc soit il se prend en main et il a un peu de chance et et il aura ses complets que quelques mois soit il les aura toute sa vie...
Il y a des cas on ne sait pas pourquoi ca passe nickel et d autres ca merde et tu fais les complets
Mais si tu le préviens des le depart qu il est tout proche des complets soit il se bouge et si tu fais de la fixe il te sera encore plus reconnaissant de lui éviter cela soit il aura des complets def mieux ajustés mais surtout il sera prévenu des le debut dans le consentement éclairé


Vw campersurfvan bmnk1q - Eugenol
enlaye

07/06/2020 à 11h09

Prunelles écrivait:
---------
" D’un certain point de vue c’est du surtraitement..."
Tiens ? C est bizarre comme remarque .
Tu m aurais dis ça pour le cas n°1 à la limite , ce serait plus logique .
Si je considère que l endo fait partie du ttt paro , il n y a pas de sur ttt , il y a ttt tout court .


Vw campersurfvan bmnk1q - Eugenol
enlaye

07/06/2020 à 11h19

casa écrivait:
----
"Bah pourquoi ? ça change quoi ?, une dent vivante se défend mieux non ? "
Et vivante elle se défend de quoi , chou chou ? Du davier ? :-))
La dent vivante , elle cause , elle communique . Le pb c est que dans certains cas ( paro ou occluso ) elle ne raconte que des conneries .
Alors , il faut lui fermer le claquet .
Au moins le gps de fermeture ne sera plus pollué par les conneries qu elle raconte .


1...456...