Cookie Consent byPrivacyPolicies.comOnlay inlay petit détail technique - Eugenol

Onlay inlay petit détail technique

Vw campersurfvan bmnk1q - Eugenol
enlaye

08/06/2020 à 22h53

Naaan , il a breveté un implant au scotch double face pour ses poupées gonflables .


Vw campersurfvan bmnk1q - Eugenol
enlaye

09/06/2020 à 19h51

Sethef écrivait:
------
" Par contre, quand tu dis gencives violettes, tu parles du métal ou de l'inflammation? "
comme ça .
cas n° 3 : dit le coup à la ouane eugaine more
à l américaine si tu préfères . sais plus dans quel état il a fait ça peut être dans un état proche de l Ohio .
alors on lui a fait des facettes en haut et bas et plein de couronnes derriere . si je te dis le tarif , tu te pends la corde accrochée au scialytique en sautant par la fenêtre .
a force de lui recoller ses facettes du bas en urgence , je lui ai conseillé de retourner voir son ricain qui lui a couronné de 33 à 43 .
t as vu comme c est moche ? ses dents du bas sont petitounes en forme de bonbon acidulé en sur occ , trop en arriere , et pour chercher de la rétention ça a été taillé trop profond .
la sur occ + le taillage profond = paro
alors que si il avait commencé par le travail ou l etude les incisives du bas :
- soit il aurait décidé de couronner les incisives du haut en tapant dans les cingulums ,
- soit il aurait augmenté la dvo pour pouvoir passer un guidage ant correct .
là ils est dans une impasse .

donc les incisives du bas determinent la dvo lors d une grande reconstitution .
tu rates les incisives du bas , tout l occluso est pipée et tout part en vrille

 mg 1939 aubyul - Eugenol
 mg 1937 xxvong - Eugenol
 mg 1940 n7bpqq - Eugenol

Vw campersurfvan bmnk1q - Eugenol
enlaye

09/06/2020 à 20h07

alors que si tu tailles d abord devant , en fonction de tous les paramètres dont tu as besoin , tu peux faire tes cales de derrière .

 mg 0736 prtmyz - Eugenol

blaise2583

09/06/2020 à 20h11

Et bien en pointe pour te liberer dans tes choix fonctionnels et esthétique
Tu vois j ai bien retenu la lecon...


Vw campersurfvan bmnk1q - Eugenol
enlaye

09/06/2020 à 20h15

et déterminer l arc cingulaire des incisives du haut , à savoir le positionnement des dents du haut .

P1177365 sgxxws - Eugenol
P1177359 qjtqmu - Eugenol

blaise2583

09/06/2020 à 21h16

enlaye écrivait:
------
> Sethef écrivait:
> ------
> " Par contre, quand tu dis gencives violettes, tu parles du métal ou de
> l'inflammation? "
> comme ça .
> cas n° 3 : dit le coup à la ouane eugaine more
> à l américaine si tu préfères . sais plus dans quel état il a fait ça peut être
> dans un état proche de l Ohio .
> alors on lui a fait des facettes en haut et bas et plein de couronnes derriere
> . si je te dis le tarif , tu te pends la corde accrochée au scialytique en
> sautant par la fenêtre .
> a force de lui recoller ses facettes du bas en urgence , je lui ai conseillé de
> retourner voir son ricain qui lui a couronné de 33 à 43 .
> t as vu comme c est moche ? ses dents du bas sont petitounes en forme de bonbon
> acidulé en sur occ , trop en arriere , et pour chercher de la rétention ça a
> été taillé trop profond .
> la sur occ + le taillage profond = paro
> alors que si il avait commencé par le travail ou l etude les incisives du bas
> :
> - soit il aurait décidé de couronner les incisives du haut en tapant dans les
> cingulums ,
> - soit il aurait augmenté la dvo pour pouvoir passer un guidage ant correct .
> là ils est dans une impasse .
>
> donc les incisives du bas determinent la dvo lors d une grande reconstitution .
> tu rates les incisives du bas , tout l occluso est pipée et tout part en
> vrille
>
J imagine même pas... un patient il y a 10 ans avait fait un éclaircissement aux us pour 10000 dollars même pas top le résultat avec encore des anciecouronnes en or jaune sur des premol, mais il etait content de setre fait enfler la bas alors quand on voit notre rac0 et que certains en sont content...


Bebe 038 nf8eum - Eugenol
danteyeah

09/06/2020 à 22h13

blaise2583 écrivait:
----------

> J imagine même pas... un patient il y a 10 ans avait fait un éclaircissement aux
> us pour 10000 dollars même pas top le résultat avec encore des anciecouronnes en
> or jaune sur des premol, mais il etait content de setre fait enfler la bas
> alors quand on voit notre rac0 et que certains en sont content...

J’ai passé une bien mauvaise fin de journée avec la réalité RAC0 qui m’a bien éclaté à la gueule. Mon pote prothésiste de mon époque Alsacienne est à l’agonie, lui c’est avant tout un céramiste, un pinceau....On à retourné le problème dans tous les sens... il est dans une merde noire, Avant en faisant un effort sur le prix, tu pouvais toujours refourguer de l’Emax strat, mais maintenant ça passe en libre et c’est remboursé peau d’Zobi (on aura sa peau un jour j’espère), que t’es obligé de faire de l’Emax monolithique (pire de la full zirc). Mon pote va crever, sa plus value c’était son pinceau. Et même si on voulait lui la prendre sa strat en la faisant passer pour de la monolithique c’est nous que la CPAM crucifierait. Je suis allé décompresser au sous-marin, et si je croise le zobi j’lui fais bouffer ses maquettes de bateaux flambés au chouchen.😤


blaise2583

09/06/2020 à 23h12

C est triste ton histoire plus de place pour l artistique, la personnalisation...
C est le volume a défaut de la qualité pour rentrer dans les clous... faudra supporter ce nouveau diktat qui nous coince dans un carcan... combien de temps...
Le puriste qu il soit prothesiste ou dentiste soit il creve soit il met ses convictions, fiertes de côté pour survivre économiquement parlant. Et je doute qu on revienne en arriere quand les gens auront goûté au tout gratos...


Vw campersurfvan bmnk1q - Eugenol
enlaye

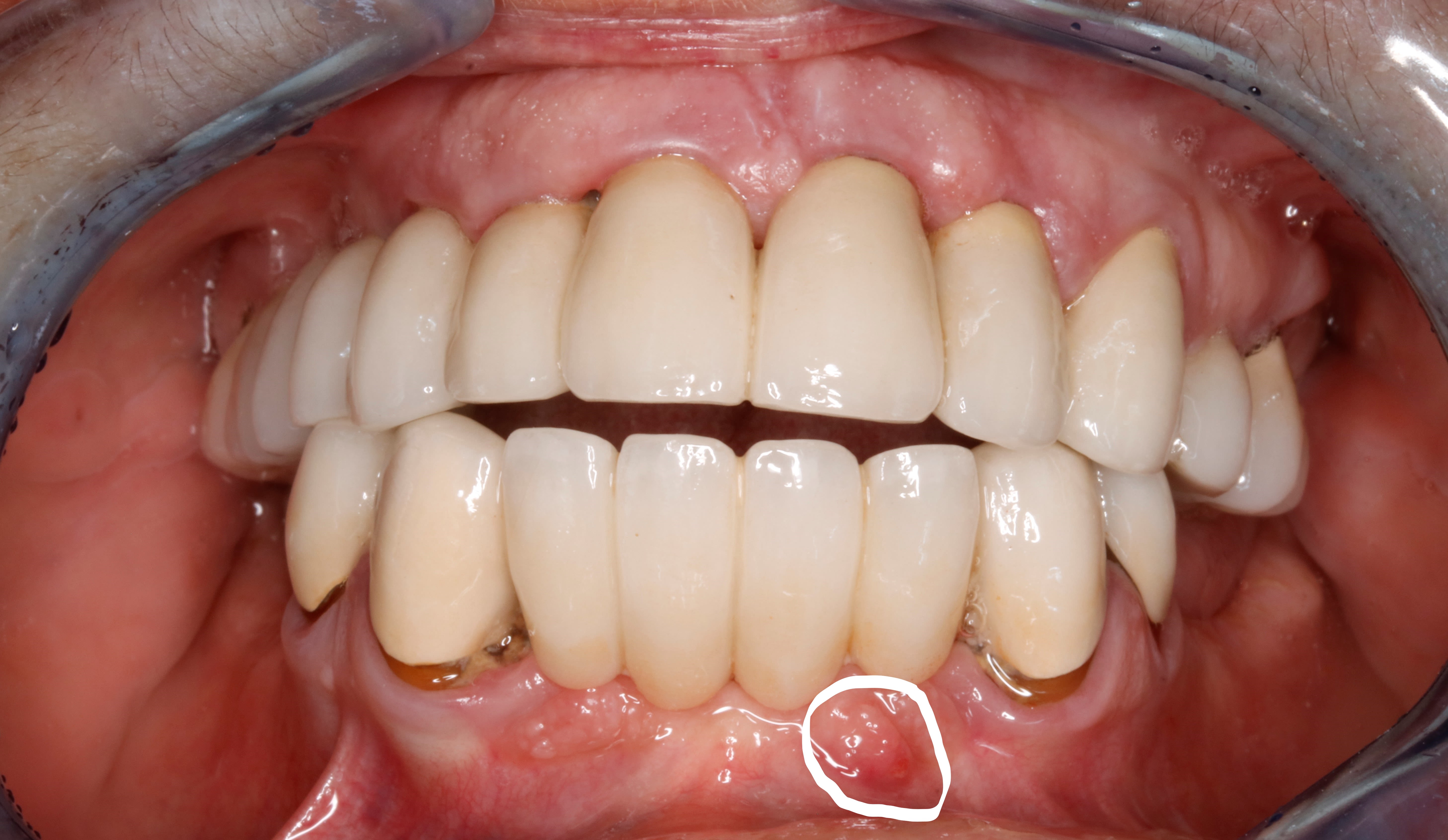
12/06/2020 à 16h18

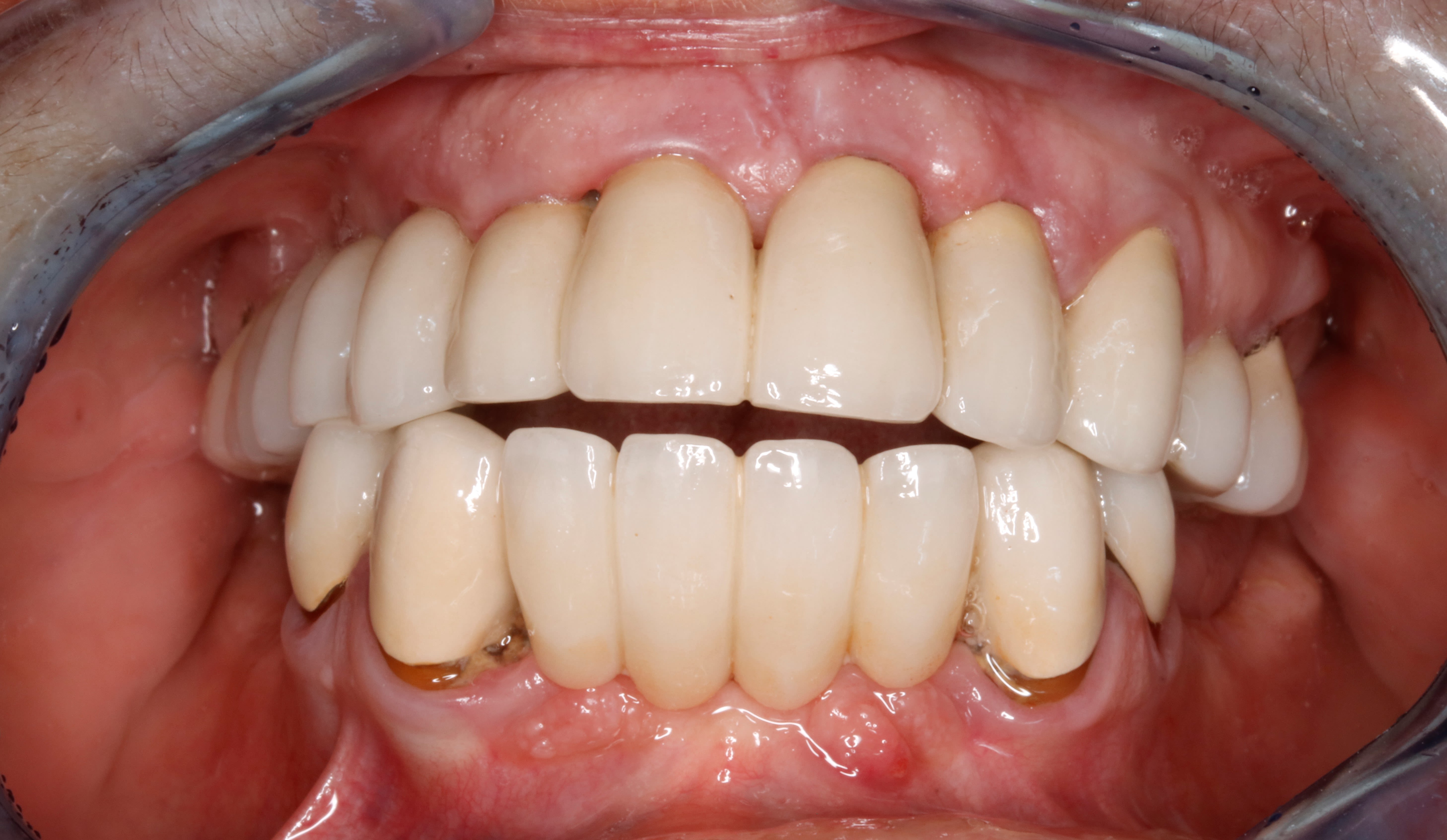
comme vous avez étés tres sage , j ai convoqué le cas de la béance
donc 10 ans après on en est là .
vises un peu les masséters puissants .
on s en sort bien .

 mg 1950 jggak3 - Eugenol

Vw campersurfvan bmnk1q - Eugenol
enlaye

12/06/2020 à 16h20

le bridge du haut vue occlusale

 mg 1947 kffz5n - Eugenol

Vw campersurfvan bmnk1q - Eugenol
enlaye

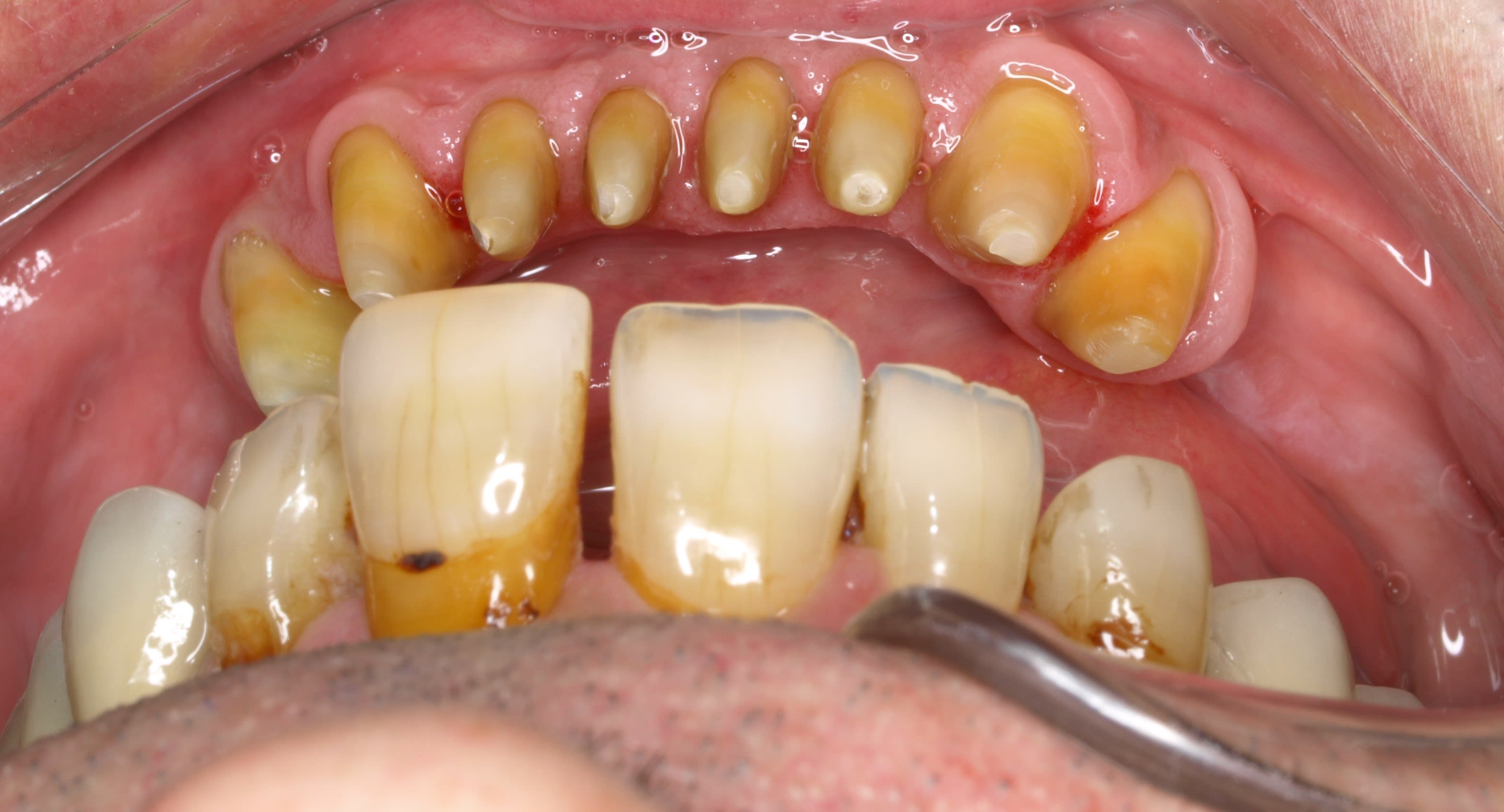
12/06/2020 à 17h12

bridge du bas vue occlusale

 mg 1948 ey7kzp - Eugenol

Vw campersurfvan bmnk1q - Eugenol
enlaye

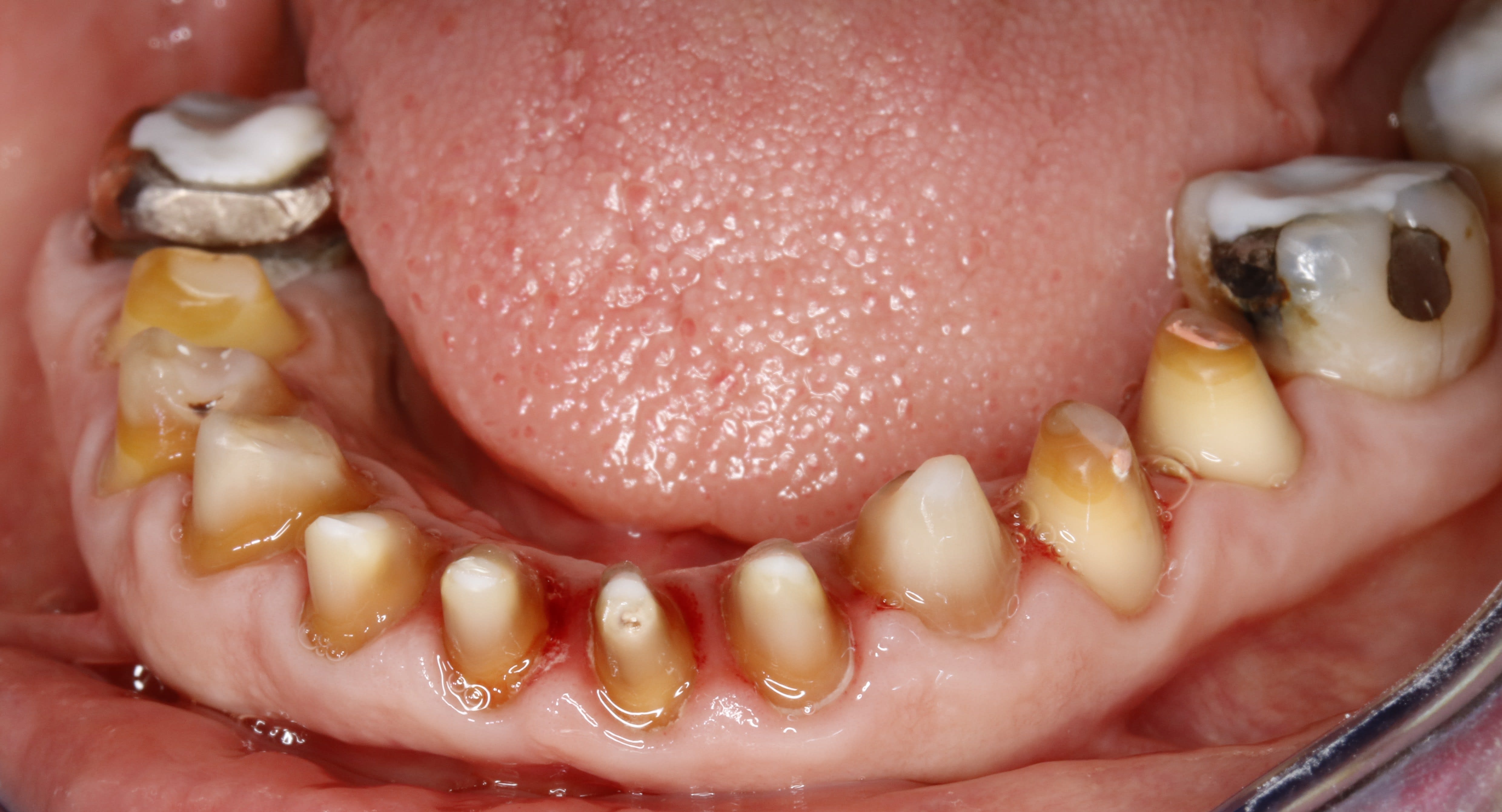
12/06/2020 à 17h21

de face .
hummmm d un point de vue paro , j aurais peut etre du extraire la 12
mais sinon , globalement , vu d ou on est parti , et vu l hygiène de vie et hygiène tout court ,
10 ans apres on s en sort bien !
petites caries sous 33 et 43 à machiner

 mg 1946 eby4ki - Eugenol

6szjws718sv1jksw54v4mpj3a6cu - Eugenol
vulpi

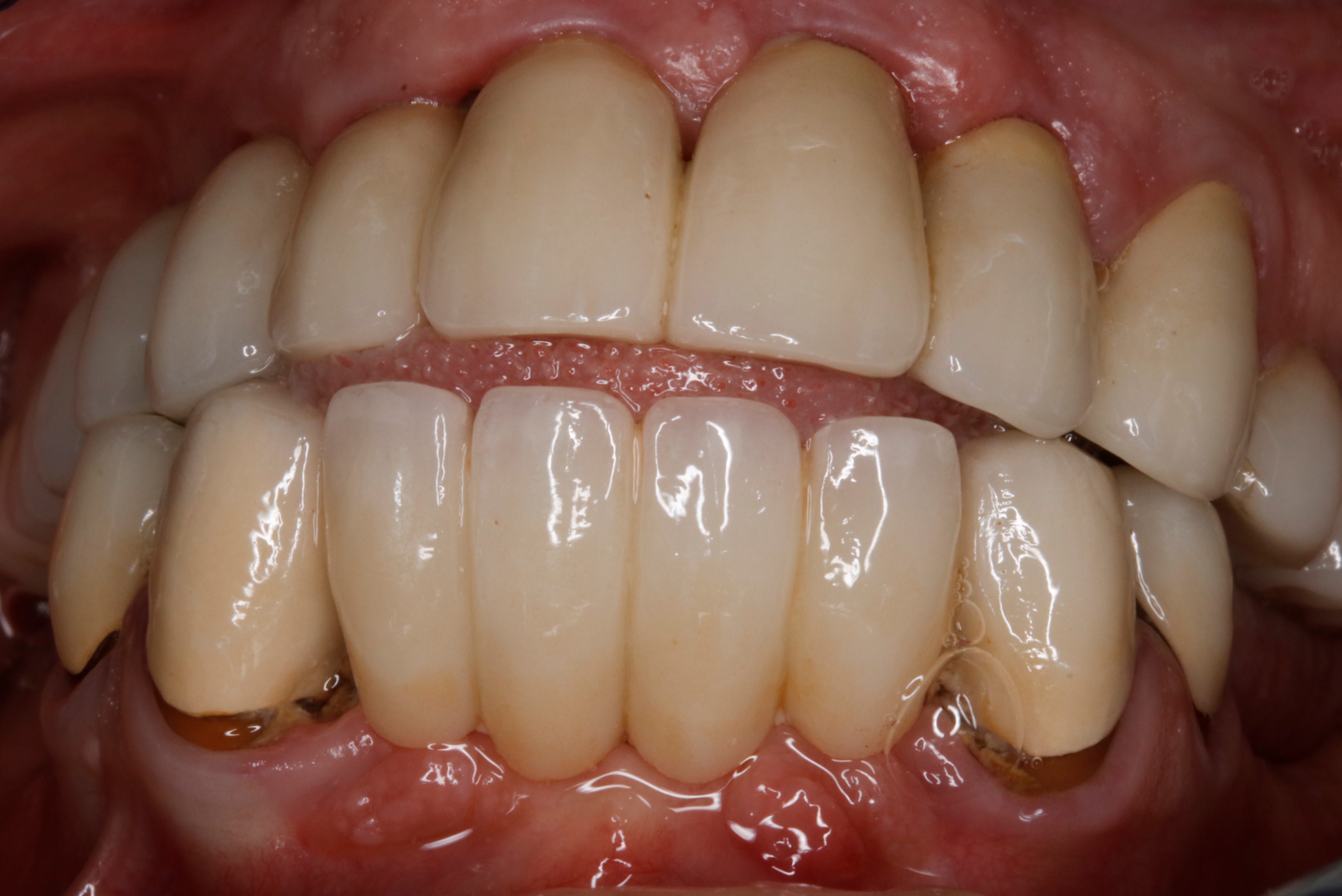
12/06/2020 à 17h32

Tu as regardé là? C'est pas homogène.

Enlaye li fuqy2f - Eugenol

Vw campersurfvan bmnk1q - Eugenol
enlaye

12/06/2020 à 17h59

oui et de l autre coté , aussi . tu penses à quoi ?


6szjws718sv1jksw54v4mpj3a6cu - Eugenol
vulpi

12/06/2020 à 18h02

Je sais pas... l'autre côté c'est rien je pense.
Là il y a peut être un truc, ou eu un truc.


6szjws718sv1jksw54v4mpj3a6cu - Eugenol
vulpi

12/06/2020 à 18h04

De ce que l'on voit 🤔 il y avait pas il y a 10 ans.


Vw campersurfvan bmnk1q - Eugenol
enlaye

12/06/2020 à 18h20

un pb endo venant de la canine ? peut être . possible , si tu vois la pano d avant les reprises ç est affolant .


Vw campersurfvan bmnk1q - Eugenol
enlaye

12/06/2020 à 19h02

vulpi écrivait:
-----
Je sais pas... l'autre côté c'est rien je pense.

ç est pas mieux de l autre coté finalement , là j ai une autre photo , ç est symétrique

 mg 1949 mwqxr7 - Eugenol

Vw campersurfvan bmnk1q - Eugenol
enlaye

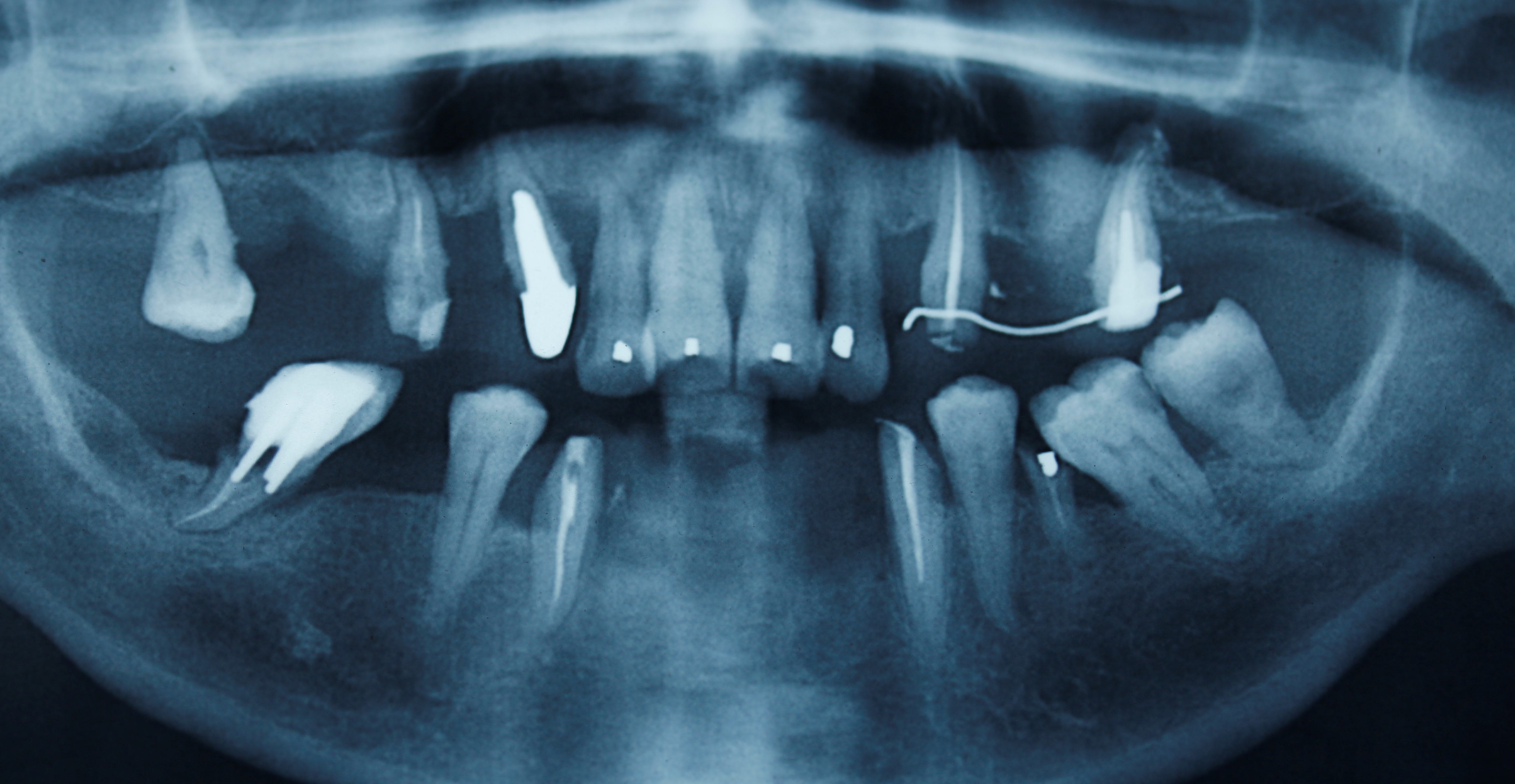
12/06/2020 à 19h15

et la pano , de 2008 2 ans avant le debut du chantier , des reprises de ttt , et extractions

 mg 1953 nnmy5t - Eugenol

6szjws718sv1jksw54v4mpj3a6cu - Eugenol
vulpi

12/06/2020 à 19h20

😁T'es un grand malade!
Allez, une pièce sur un léger basculement de ton bridge en avant et en bas, du fait des faiblesses des piliers et une muqueuse comprimé+ un manque d'entretien, pas de passage de fil ou brossette.


Vw campersurfvan bmnk1q - Eugenol
enlaye

12/06/2020 à 19h31

vulpi écrivait:
-----
😁T'es un grand malade!

y a un peu de ça :-))
je lui avait donné 1 an avant de tout enlever .
mais en même temps , si j avais tout enlevé , on aurait jamais su :-)


enlaye écrivait:
------

> je lui avait donné 1 an avant de tout enlever .


Grand timide ?
Jamais avant le mariage ?
Si moche que ça ?


blaise2583

12/06/2020 à 21h30

C est clair c etait gonflé... t es fada toi ;-)
Au fait elle a pas de calage en postérieur ?


Vw campersurfvan bmnk1q - Eugenol
enlaye

12/06/2020 à 21h52

Non non rien , tout à la langue , la coquine :-)) une piezzo fixe comme tu as dit :-)


Vw campersurfvan bmnk1q - Eugenol
enlaye

13/06/2020 à 01h43

Ça m a amené à plusieurs conclusions :
L atm se remanie à l occlusion !
En effet la béance a diminué .
Un peu qu avec l usure et le rodage des dents il y a eu un tres légère baisse de hauteur prothétique , mais je pense que :
- la mand a fait une rotation vers l avant en prenant appuis sur ses contacts pm et qu au fur et a mesure.
- langue c est tres bien adaptée au guidage mand . Il faut donc arrêter de dire que la dent est causale , elle est adaptative à l occlusion .
Dire qu elle est causale d une facon generale , c est pratique de lui donner tous les tords pcq qu on a pas su évaluer la mal occlusion . Certes meme si ça arrange certains :-) ...


1...789