Cookie Consent byPrivacyPolicies.comavis sur full zircone - Eugenol

avis sur full zircone

Vw campersurfvan bmnk1q - Eugenol
enlaye

11/03/2020 à 11h32

Alibaba et les 40 virures :-)


Vw campersurfvan bmnk1q - Eugenol
enlaye

11/03/2020 à 11h32

.


Olieve

11/03/2020 à 11h51

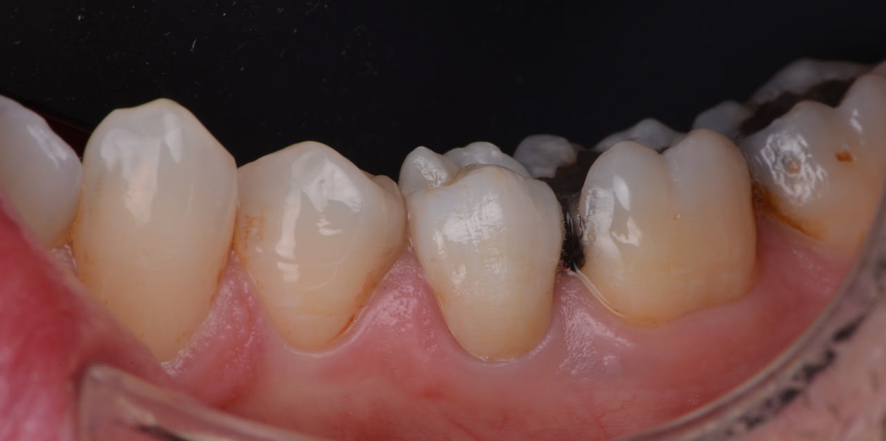
Qui d'entre vous a une full zircone en bouche ?
J'en ai une sur ma 35 depuis un an et rien à signaler.


Vw campersurfvan bmnk1q - Eugenol
enlaye

11/03/2020 à 13h14

T as pas voulu payer ?


Olieve

11/03/2020 à 13h28

enlaye écrivait:
------
> T as pas voulu payer ?
:-)
Non, je me suis sacrifié pour la science ! :-)
Envie de me faire ma propre idée au sujet de la full


Olieve

11/03/2020 à 13h30

Après je suis pas fou,
C'est pas un manchot qui l'a faite :-)))

Aaa 7356 nvii1l - Eugenol

Hok 1b hgd3rj - Eugenol
Hokusai

11/03/2020 à 13h40

Elle est très belle... T as une radio ?


Olieve écrivait:
------
> enlaye écrivait:
> ------
> > T as pas voulu payer ?
> :-)
> Non, je me suis sacrifié pour la science ! :-)
> Envie de me faire ma propre idée au sujet de la full

Et pour la totale sup t'as fait pareil ? ;-)


Vw campersurfvan bmnk1q - Eugenol
enlaye

11/03/2020 à 14h04

On dirait une occlusion inverse .
Au quel cas le réglage est + facile .


Zorba le grec 1373406512 108 lfk5ey - Eugenol
zorbalegrec

11/03/2020 à 16h54

Elle a disparue ma teub en zircone
les modos un peu d'humour dans ce monde de prudes


Olieve

11/03/2020 à 17h07

ℙ𝕖𝕣𝕧𝕖𝕣𝕤 ℙé𝕡è𝕣𝕖 écrivait:
--------------
> Olieve écrivait:
> ------
> > enlaye écrivait:
> > ------
> > > T as pas voulu payer ?
> > :-)
> > Non, je me suis sacrifié pour la science ! :-)
> > Envie de me faire ma propre idée au sujet de la full
>
> Et pour la totale sup t'as fait pareil ? ;-)

F'était le feul moyen d'afuster l'occlufion :-)


Olieve

11/03/2020 à 17h08

Hokusai écrivait:
-------
> Elle est très belle... T as une radio ?

P2 20200311 001 gxzdyg - Eugenol

Olieve

11/03/2020 à 17h10

enlaye écrivait:
------
> On dirait une occlusion inverse .
> Au quel cas le réglage est + facile .

Capture mutzam - Eugenol

Ylfwcw979cz1jnx9gfqeaxndiuzk - Eugenol
Algi

12/03/2020 à 08h23

Ma 14 va très bien, zirkonzahn prettau, dureté quasi comparable à une vraie dent selon le fabricant.

Pas de soucis de retouches avec fraises dédiées.

Bref content et cohérent puisque c'est ce que je propose à mes patients.


--

https://open.spotify.com/user/8iz7teu84dfphmgspeh2979o8/playlist/59Tfpt7zoHfkI27430lfNg?si=MAiYEkb2S6mMV6qNX2aFwg


On a toujours le choix mais entre quoi et quoi?
Vas-y boulégue et l'avenir te le dira!


Utilisateur banni

12/03/2020 à 08h26

On te la facture combien ta zirkonzahn ? Le prix de pose c’est 440 , c’est bien ça ?


Ylfwcw979cz1jnx9gfqeaxndiuzk - Eugenol
Algi

12/03/2020 à 09h28

Si je dis que c'est de la monobloc c'est 440 mais ça n'en est pas puisque il y a un revêtement cosmétique ceram en vestibulaire.

Facturée dans les 110 de mémoire...

Donc soit c'est du hors panier si le patient peut payer soit c'est du rac 0 et je fais un effort....


--

https://open.spotify.com/user/8iz7teu84dfphmgspeh2979o8/playlist/59Tfpt7zoHfkI27430lfNg?si=MAiYEkb2S6mMV6qNX2aFwg


On a toujours le choix mais entre quoi et quoi?
Vas-y boulégue et l'avenir te le dira!


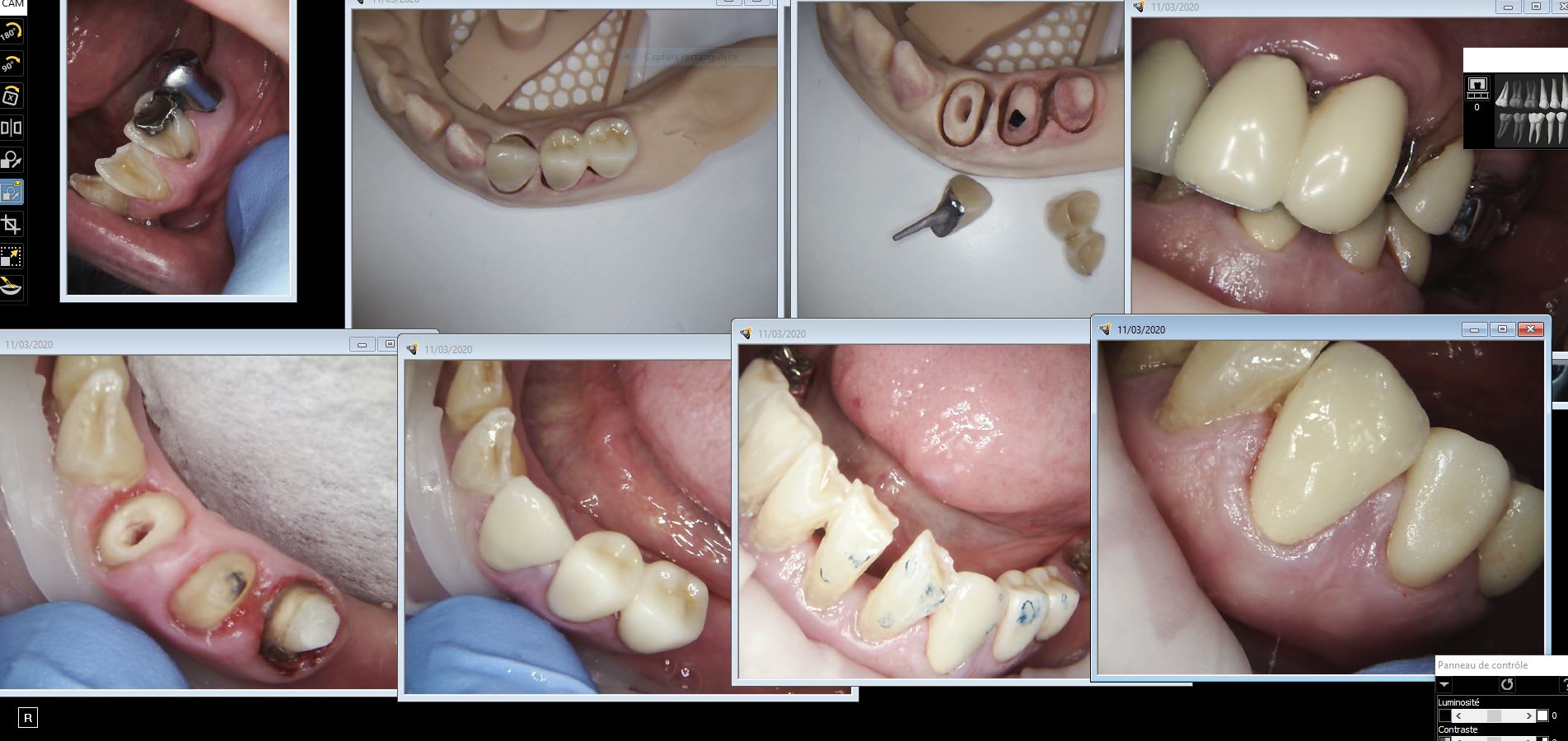
Capture d  cran 2015 03 12 12.28 - Eugenol
chicot29

12/03/2020 à 12h34

Qui est qui ?


--
En cas d'échec des négociations conventionnelles, seriez-vous prêt à suivre la promotion d'un déconventionnement massif de la profession par les syndicats représentatifs ? OUI - NON
Participez, anonymement, sur https://goo.gl/forms/nAO0htnsVmxotjYm1

Capture d écran 2020 03 12 12.31 - Eugenol

Hok 1b hgd3rj - Eugenol
Hokusai

12/03/2020 à 12h43

La 5 est la zircone... La 3 et 4 ccm


Capture d  cran 2015 03 12 12.28 - Eugenol
chicot29

12/03/2020 à 12h51


3 CCM 4-5 zircones.


--
En cas d'échec des négociations conventionnelles, seriez-vous prêt à suivre la promotion d'un déconventionnement massif de la profession par les syndicats représentatifs ? OUI - NON
Participez, anonymement, sur https://goo.gl/forms/nAO0htnsVmxotjYm1


Capture d  cran 2015 03 12 12.28 - Eugenol
chicot29

12/03/2020 à 12h53

Vu le peu de place c'est mieux de solidariser.



--
En cas d'échec des négociations conventionnelles, seriez-vous prêt à suivre la promotion d'un déconventionnement massif de la profession par les syndicats représentatifs ? OUI - NON
Participez, anonymement, sur https://goo.gl/forms/nAO0htnsVmxotjYm1

Labocast pose 33 34 35 rdggkr - Eugenol

moritooth

12/03/2020 à 14h33

Algi écrivait:
----
> Si je dis que c'est de la monobloc c'est 440 mais ça n'en est pas puisque il y a
> un revêtement cosmétique ceram en vestibulaire.

Un revêtement cosmetique ceram en vestibulaire !... malheureux tu files du mauvais coton ! Du coup de pinceau en surface jusqu'à la Cutback c'est tout du plafonné !!


moritooth

12/03/2020 à 14h46

Olieve écrivait:
------
> Hokusai écrivait:
> -------
> > Elle est très belle... T as une radio ?

Avec ces images, on comprend bien pourquoi le zircone est plus un métal qu'une céramique.


Dentalgcam3D

30/04/2020 à 16h28

Aujourd'hui on arrive à trouver des zircones de qualité, pré-teintées, avec une dureté graduelle (cf la zircone Ivoclar) dans lesquelles les prothésistes compétents pourront vous la vendre pas cher selon vos souhaits et tous les réglages nécessaires.
Je suis inquiet depuis quelques temps sur la non remise en question de certains prothésistes qui refusent l'évolution de leur métier en proférant un discours à côté de la plaque et montrant ainsi une mauvaise image de la profession. Ca doit être les mêmes qui voient défiler leur personnel, le payent mal, et qui ne veulent et peuvent pas investir ou sous-traiter. Heureusement il existe des laboratoires de proximité fabricant en France et aussi d'importation qui sont largement en avance sur la question des nouveaux matériaux, à des prix très corrects . De plus, question aspect, pour ceux qui maîtrisent le matériaux, certaines zircones pleines et dégradées sont tellement bien travaillées que l'on ne sait plus si c'est de la céramique, une Emax, ou une Zircone pleine. Les résultats parodontaux sont là aussi surprenants avec la zircone grâce à une meilleur intégration.
Mais voilà, la réaction de votre prothésiste est peut-être exagérée, mais on peut comprendre la relative confiance que vous lui accorder. Toutefois, je vous invite à essayer, d'autant plus si vous avez une caméra 3D pour l'empreinte.


12