Cookie Consent byPrivacyPolicies.comL’extraction implantation temporisée® - Eugenol

L’extraction implantation temporisée®

Vw campersurfvan bmnk1q - Eugenol
enlaye

09/06/2020 à 08h45

J aurais du etre implanto :-))
C est quoi ce SSA composite ?
Tu me donnes envie avec ces conneries :-)


Utilisateur banni

09/06/2020 à 08h55

C’est ça , une sorte de pilier/vis de cicatrisation enduite de compo qui épouse la forme de ton ancienne dent dans sa portion cervicale

D14f782f 468d 4113 8603 2dae1a4d52be nc36sz - Eugenol

Fond net de dent 1270 86 cyav5h - Eugenol
Dr_EG

09/06/2020 à 09h08

enlaye écrivait:
------
> Oui oui j avais bien compris c est bien ça .
> C est dans le post 1ere fois que ça m arrive .
> Bon enfin peu importe suis content que ça te plaise et ça puisse etre validé .
> À ce propos j avais présenté l histoire ERI / IMPLANTATION immédiate en conf
> devant les haut dignitaires de la HAS , de la CCAM , du CO etc , ils seraient
> bien parti pour me creuver , mais malchance pour eux , y en a de ce groupe qu
> on essayé , et y z ont pas eu de pb :-))

Enlaye ... le Raoult de l'odontologie !!!
;-)))

PS : on t'a moins em...dé, non ?!?!
--
Le RAC pour les nuls ;-) : sur https://docs.google.com/spreadsheets/d/1uS3lJkkXLeSiN0adPR5I0aY1bJXvCK7-KAhe3UVpJAo/edit?usp=sharing

Suite à l'échec des négociations conventionnelles et la mise en place d'un règlement arbitral, seriez-vous prêt à suivre la promotion d'un déconventionnement massif de la profession par les syndicats représentatifs ? OUI - NON
Participez, anonymement, sur https://goo.gl/forms/nAO0htnsVmxotjYm1


Vw campersurfvan bmnk1q - Eugenol
enlaye

09/06/2020 à 09h15

Dr_EG écrivait:
-----
" Enlaye ... le Raoult de l'odontologie !!! ;-)))
PS : on t'a moins em...dé, non ?!?! "
oui :-) m en suis bien sorti :-)
je l avais presenté sous forme de sketch rigolo , et le rire fait passer plein de choses .


Vw campersurfvan bmnk1q - Eugenol
enlaye

09/06/2020 à 09h19

je reviens sur le SSA d Olieve .
dans le cas de la poudre à Junior , il faudrait le mettre sous le lambeau , et mieux on pourrait s en servir pour stabiliser l implant en l accrochant avec l os , par des clous ou des vis ou autre , non ?


Fond net de dent 1270 86 cyav5h - Eugenol
Dr_EG

09/06/2020 à 09h42

enlaye écrivait:
------
> Dr_EG écrivait:
> -----
> " Enlaye ... le Raoult de l'odontologie !!! ;-)))
> PS : on t'a moins em...dé, non ?!?! "
> oui :-) m en suis bien sorti :-)
> je l avais presenté sous forme de sketch rigolo , et le rire fait passer plein
> de choses .

oui, je sais ... j'ai vu ! ... excellent !!!
--
Le RAC pour les nuls ;-) : sur https://docs.google.com/spreadsheets/d/1uS3lJkkXLeSiN0adPR5I0aY1bJXvCK7-KAhe3UVpJAo/edit?usp=sharing

Suite à l'échec des négociations conventionnelles et la mise en place d'un règlement arbitral, seriez-vous prêt à suivre la promotion d'un déconventionnement massif de la profession par les syndicats représentatifs ? OUI - NON
Participez, anonymement, sur https://goo.gl/forms/nAO0htnsVmxotjYm1


Zorba le grec 1373406512 108 lfk5ey - Eugenol
zorbalegrec

09/06/2020 à 10h08

poignée de porte écrivait:
----------------
> C’est ça , une sorte de pilier/vis de cicatrisation enduite de compo qui épouse
> la forme de ton ancienne dent dans sa portion cervicale

tu laisses ça combien de temps parce que compo sur gencive bonjour la prolifération bactérienne


Hok 1b hgd3rj - Eugenol
Hokusai

09/06/2020 à 10h26

https://www.idweblogs.com/produits-et-partenaires/pilier-de-cicatrisation-anatomique-cfao-implantation-immediate/


Utilisateur banni

09/06/2020 à 10h35

@zorba 3 mois.
à mon avis ce système ne sert à rien. Autant mettre une petite vis de cicatrisation qui maximise l’apposition de gencive kératinisée plutôt que de mettre un gros bidule comme ça qui prend tout l’espace. Quitte à mettre ensuite une provisoire pour façonner la gencive aux formes d’une future couronne au profil concave sous la gencive. C’est beaucoup moins prise de tête.

Sinon dans le cas de la technique de l’enveloppe osseuse. Pour répondre à Enlaye , il existe un système qui se positionne sur le dessus de l’implant , et qui se visse en V , et qui stabilise l’implant.
Mais bon dans le cas de cratère, la pose d’un implant + vis de couverture + substitut osseux qui se solidifie, ça fonctionne très bien.


Rape p0as4f - Eugenol
rapelapente

09/06/2020 à 10h57

Intervention. tardive pour cause de décalage horaire.
Pour ta gouverne, jeune Poignée, le Rape faisait déjà des extractions / ré-implantations de canines en 1977 à la fac à Montpellier.
Avec néo-alvéole à la fraise boule...
L'idée de faire ça au niveau molaire pour préserver l'os apical n'est pas sotte quoique capillotractee.
Ça ne m'étonne pas qu'Enlaye l'ait inventée.
Ça présuppose d'extraire la dent intacte.
Ça ne doit pas être facile à remettre en place, même en ayant coupé les apex.
Je déteste l'idée du composite pour la cicatrisation.

En 77 j'avais inventé le concept de l'implant sur silent Block.
Je vous en parlerai peut-être un jour :-))



--
Schooner For Ever


Vw campersurfvan bmnk1q - Eugenol
enlaye

09/06/2020 à 11h17

la Poignée , je résume :.
j enlève la dent je curette bien etc etc
je bourre de poudre dans le sang , et je remue la bouillasse ( ? )
je trouve au fond du tiroir un implant qui traîne , trop petit donc
et quand je veux le mettre je le visse dans la bouillase ? et jusqu a quelle profondeur ? à la hauteur du niveau osseux le plus bas ou non , plutot le plus haut ?
si je le mets au niveau osseux le plus bas , je casse l os qui dépasse et je l esquiche dans la bouillasse , et on referme tout simplement .
et si je le mets à la hauteur la plus haute , il faut que je tire un lambeau pour refermer ?
ç est ça ?


Utilisateur banni

09/06/2020 à 11h27

Moi je l’ai mis avec mon contre angle , et j’ai mis la vis ensuite. Je pense même qu’il est possible de mettre une vis de couverture directement sur l’implant en dehors de la bouche et de le positionner tranquillement avec une pince.
Oui il faut que la longueur de l’implant soit 2 mm plus petit que la profondeur de ton cratère. Donc 2mm sous le rebord osseux le plus bas.


TA2

09/06/2020 à 11h33

rapelapente écrivait:
-----------
> Je déteste l'idée du composite pour la cicatrisation.
>


Faut pas . Rappelles toi dans les memes années ont rebasait les PAC immédiates apres les extractions pour avoir un cone de résine dans chaque alvéole pour garder de la hauteur d'os ;o)


Rape p0as4f - Eugenol
rapelapente

09/06/2020 à 11h37

Si je comprend bien les deux zigotos sont en train de mélanger Bouillabaisse et Osso buco...
C'est vrai TA2 j'avais oublié ça :-))


--
Schooner For Ever


Vw campersurfvan bmnk1q - Eugenol
enlaye

09/06/2020 à 12h26

poignée de porte écrivait:
----------------
" Oui il faut que la longueur de l’implant soit 2 mm plus petit que la profondeur de ton cratère. Donc 2mm sous le rebord osseux le plus bas."

donc même pas de lambeau :-) . t'ain ,tu vas me les rendre fous les implantos .
tu veux dire que meme un cafalo en implanto comme moi pourrait mettre ?


Utilisateur banni

09/06/2020 à 12h39

Si! j’ai fait un lambeau !
Ça c’est dans le cas d’une extraction qui a mal cicatrisé. Tu ouvres 3 mois après l’extraction , lèves un lambeau et tu vois un énorme cratère . Tu fais un curetage, tu fais bien saigner , tu fous ton os qui se solidifie, l’implant et tu refermes. Et là il ne faut pas mettre de vis de cicatrisation car l’implant n’est pas solidement ancré. Avec sa langue ou avec la nourriture, on ne sait jamais le patient peut solliciter la vis de cicatrisation et donc l’implant. Donc tu refermes complètement.


Rape p0as4f - Eugenol
rapelapente

09/06/2020 à 12h46

l'est folle la Poignée .
C'est tout.


--
Schooner For Ever


Vw campersurfvan bmnk1q - Eugenol
enlaye

09/06/2020 à 12h52

rapelapente écrivait:
-----------
" l'est folle la Poignée .
C'est tout."

on le perd ? :-)))


Photo pluton1b h9n4ea - Eugenol
pluton

09/06/2020 à 13h29

non, çà marche bien son truc...
j'ai déjà fait çà un paquet de fois...je compte même plus les implants que j'ai stabilisé sur une spire avant de refermer...
le SSA çà marche super bien pour les EII sur les PM et molaires, à condition de ne pas avoir de défaut osseux, en plus pour la prothèse finale c'est top car tu conserves l'architecture gingivale de la dent initiale...
pour les molaires faut un bon septum quand même, même en y faisant de l'expansion, et c'est conseillé de garder les racines pour guider le forage (ensuite tu les vires, comblement des alvéoles et tu visses l'implant...;-)...)

je dois peut être même avoir çà en image quelque part...si vous êtes sages...;-)


Vw campersurfvan bmnk1q - Eugenol
enlaye

09/06/2020 à 14h48

des images :-)


Vw campersurfvan bmnk1q - Eugenol
enlaye

09/06/2020 à 14h48

des images :-)


Rape p0as4f - Eugenol
rapelapente

09/06/2020 à 16h25

Des images ! :-))


--
Schooner For Ever


Utilisateur banni

09/06/2020 à 17h24

Je savais que vous alliez aimer les images :) j’ai toujours pensé que les cours en dentaire seraient plus suivis à la fac , si les profs nous faisaient faire de jolies bd niveau maternelle à colorier.
Regardez avec quel succès les recommandations pour le covid19 ont été suivies après que l’ADF nous ait pondu de jolies images explicatives ! La preuve : personne ne suit à la lettre leurs recommandations :))))


TA2

09/06/2020 à 18h04

poignée de porte écrivait:
----------------
> Regardez avec quel succès les recommandations pour le covid19 ont été suivies
> après que l’ADF nous ait pondu de jolies images explicatives ! La preuve :
> personne ne suit à la lettre leurs recommandations :))))

L'ADF !!!! , c'est bien cette compagnie a but lucratif qui se produit dans un palais des congrès ???? P'etre que je confond avec le truc à Cannes , ou bien la bouffe de moules de Lille ...


Photo pluton1b h9n4ea - Eugenol
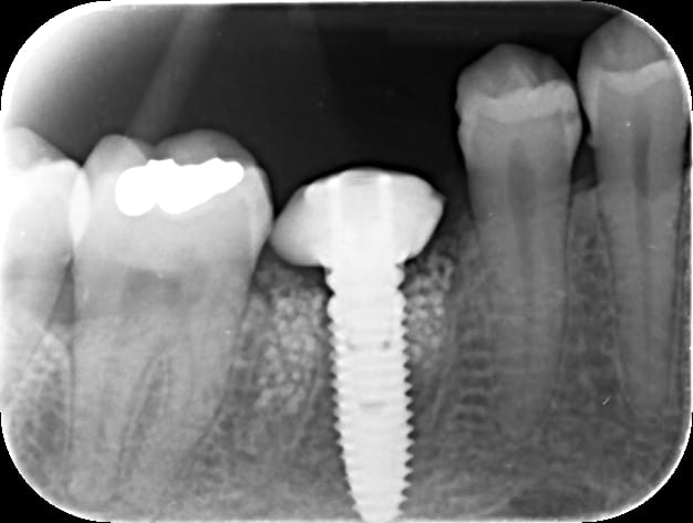
pluton

10/06/2020 à 00h26

bon bein vu que vous avez été sage, une p'tite vidéo...;-)



et la radio cicat à 3 mois...
il reste des granules de kasios tcp, mais je vais faire bientôt la prothèse, l'implant est ostéointégré...

Cicat 3 mois h5k9nx - Eugenol