Cookie Consent byPrivacyPolicies.comSéquence endo - Eugenol

Séquence endo

Capture d  cran 2015 03 12 12.28 - Eugenol
chicot29

28/06/2020 à 13h04

Sethef écrivait:
------
> Note que si je dois le prouver, je serais bien en peine de le faire, je ne
> prends presque jamais de per-op, et post op après dépose du champ.
> Si j'ai une per-op dans le dossier, y'a des chances que quelque chose ait merdé
> en cours de route.
C’est pourtant recommandé par la HAS. Comme la pose de la digue. Le localisateur d’Apex ne fait que réduire le nombre de clichés per op. t’as cône en place, cône scellé cone condensé.

--
En cas d'échec des négociations conventionnelles, seriez-vous prêt à suivre la promotion d'un déconventionnement massif de la profession par les syndicats représentatifs ? OUI - NON
Participez, anonymement, sur https://goo.gl/forms/nAO0htnsVmxotjYm1


Vw campersurfvan bmnk1q - Eugenol
enlaye

28/06/2020 à 13h05

Hokusai écrivait:
-------
" Quand je me suis installé, le CDC est venu me rendre visite. "
Moi aussi :) et j y ai cassé une lime dedans :-)))


Bebe 038 nf8eum - Eugenol
danteyeah

28/06/2020 à 13h06

Sethef écrivait:
------
> 5% des traitements réalisés sous digue, y'a même pas à discuter plus loin.

Formation endo chez Diaz (un pote à Yobi apparement, mais ça l'empêche pas être bon....parait que les contraires s'attirent :-))): 1ere question: "qui pose la digue"....20 péquins dans l'assistance (ils sont là pour se former, donc ils sont motivés, non?), le seul con à lever la main! on m'a regardé comme un lépreux, un farfelu, limite j'avais honte.
Je réitère DU esthétique : pareil 20 péquins (un peu moins), 2 lèvent la main à la fameuse question (me sens moins seul du coup), et là Serfati en rajoute une couche et demande qui pose pour collage et composite......et là encore une fois j'avais honte car c'était rarissime, c'était en 2005. 15 ans à laver l'affront contre vent et marrée. Depuis 6 mois, plein le cul, je suis devenu un fidèle de la philosophie du Junior . Y'a bien quelque relent, c'est pas facile tout les jours, mais le bike me soigne :-)))))


Bebe 038 nf8eum - Eugenol
danteyeah

28/06/2020 à 13h07

enlaye écrivait:
------
" Quand je me suis installé, le CDC est venu me rendre visite. "
> Moi aussi :) et j y ai cassé une lime dedans :-)))

C'est une gonzesse le CDC à Toulon ??


Capture d  cran 2015 03 12 12.28 - Eugenol
chicot29

28/06/2020 à 13h08

Dans mon cabinet seul ma Charlotte est française. Je la trouve top top top top.

--
En cas d'échec des négociations conventionnelles, seriez-vous prêt à suivre la promotion d'un déconventionnement massif de la profession par les syndicats représentatifs ? OUI - NON
Participez, anonymement, sur https://goo.gl/forms/nAO0htnsVmxotjYm1

21423bbd 70a0 4f51 bc37 c692c1d8268e aplmzx - Eugenol

Bebe 038 nf8eum - Eugenol
danteyeah

28/06/2020 à 13h33

chicot29 écrivait:
--------
> Dans mon cabinet seul ma Charlotte est française. Je la trouve top top top top.
>
Pas de bol, le seul truc français......et ça attire les cailloux ;-))))


blaise2583

28/06/2020 à 17h27

danteyeah écrivait:
---------
> Sethef écrivait:
> ------
> > 5% des traitements réalisés sous digue, y'a même pas à discuter plus loin.
>
> Formation endo chez Diaz (un pote à Yobi apparement, mais ça l'empêche pas être
> bon....parait que les contraires s'attirent :-))): 1ere question: "qui pose la
> digue"....20 péquins dans l'assistance (ils sont là pour se former, donc ils
> sont motivés, non?), le seul con à lever la main! on m'a regardé comme un
> lépreux, un farfelu, limite j'avais honte.
> Je réitère DU esthétique : pareil 20 péquins (un peu moins), 2 lèvent la main à
> la fameuse question (me sens moins seul du coup), et là Serfati en rajoute une
> couche et demande qui pose pour collage et composite......et là encore une fois
> j'avais honte car c'était rarissime, c'était en 2005. 15 ans à laver l'affront
> contre vent et marrée. Depuis 6 mois, plein le cul, je suis devenu un fidèle de
> la philosophie du Junior . Y'a bien quelque relent, c'est pas facile tout les
> jours, mais le bike me soigne :-)))))
T as perdu la gnac quoi... et tu la gardes pour tes belles escapades en velo... ce qui fait chier c est qui reste qq années à faire comme ca ou ... pire


Bebe 038 nf8eum - Eugenol
danteyeah

28/06/2020 à 22h48

blaise2583 écrivait:

T as perdu la gnac quoi.........

Je ne le dirais pas comme ça.......je pense plutôt qu'on cherche à nous la voler.

et tu la gardes pour tes belles escapades en velo...
> ce qui fait chier c est qui reste qq années à faire comme ca ou ... pire

Il y a fort à parier que je raccroche bien avant la fin, les dentistes ça fait pas de vieux os, mieux vaut en profiter avant!


Utilisateur banni

29/06/2020 à 06h46

Et la résection apicale à 50 euros ? Qui va la faire pour 50 euros ?!?
Personne . Des dents qui sont conservables vont être giclées . Ça encourage à extraire. Faudra pas s’étonner si le nombre de résections apicales diminue fortement au profit d’extractions et d’implants.


Hok 1b hgd3rj - Eugenol
Hokusai

29/06/2020 à 07h08

poignée de porte écrivait:
----------------
> Faudra pas s’étonner si le nombre de résections apicales diminue
> fortement au profit d’extractions et d’implants.

Extraction et stellite plutôt...
De 15 a 25 couronnes et stellite pour les molaires... C est écrit dans la convention. C est comme ça avec la NHS aux UK. Mêmes causes mêmes conséquences.


Lautreamont

29/06/2020 à 08h43

poignée de porte écrivait:
----------------
> Et la résection apicale à 50 euros ? Qui va la faire pour 50 euros ?!?

L’ami endodontiste conventionné de Yobi pardi !


Vw campersurfvan bmnk1q - Eugenol
enlaye

29/06/2020 à 09h36


poignée de porte écrivait:
Et la résection apicale à 50 euros ? Qui va la faire pour 50 euros ?!?
Lautreamont écrivait:
L’ami endodontiste conventionné de Yobi pardi !

peut etre qu il va se mettre à l ERI en HN :-)))


Capture d  cran 2015 03 12 12.28 - Eugenol
chicot29

29/06/2020 à 10h02

Hokusai écrivait:
-------
> poignée de porte écrivait:
> ----------------
> > Faudra pas s’étonner si le nombre de résections apicales diminue
> > fortement au profit d’extractions et d’implants.
>
> Extraction et stellite plutôt...
> De 15 a 25 couronnes et stellite pour les molaires... C est écrit dans la
> convention. C est comme ça avec la NHS aux UK. Mêmes causes mêmes conséquences.

Sauf qu'en NHS c'est extraction et mobile direct pour toutes les dents. Vu que t'as un budget rikiki par patient autant aller au plus court dans le ptt. Mais vu la merde que c'est de faire une endo molaire tout ca pour y poser une CC acier à 2 balles ...... Ca mérite réflexion. -)))
--
En cas d'échec des négociations conventionnelles, seriez-vous prêt à suivre la promotion d'un déconventionnement massif de la profession par les syndicats représentatifs ? OUI - NON
Participez, anonymement, sur https://goo.gl/forms/nAO0htnsVmxotjYm1


Capture d  cran 2015 03 12 12.28 - Eugenol
chicot29

29/06/2020 à 10h06

Manque plus que les stellites rac 0 pour que la fête du slip soit complète. J'espère que ça sera signé avant que d'autres syndicalistes plus évolués n'héritent du stylo.


--
En cas d'échec des négociations conventionnelles, seriez-vous prêt à suivre la promotion d'un déconventionnement massif de la profession par les syndicats représentatifs ? OUI - NON
Participez, anonymement, sur https://goo.gl/forms/nAO0htnsVmxotjYm1


Utilisateur banni

29/06/2020 à 12h25

Bonjour j’ai mal sous mon bridge cassos0 . Je me suis dit on va l’enlever et la remettre :) d’habitude ça se remet en forçant un peu. Sauf que là c’est pas possible donc implantation immédiate

Cfd21672 5d20 4fc6 b40e c6996b0fa213 yzxnfl - Eugenol
7542a592 3167 4239 8594 5b85176acea1 dhatlb - Eugenol
9b1b0ebd 661a 45d0 9c25 ee990d3a5d22 shn1nk - Eugenol
C856216d b7ec 418d bd0f d01690571bd3 l92lbk - Eugenol

vernal

29/06/2020 à 15h36

Au départ, on parlait d'endo ?


Avatar transparent iqadnc - Eugenol
adhoc

29/06/2020 à 16h14

Ptet ben que c'est pas le bridge qui lui faisait mal, mais la carie sur 27, qui nécessite.... une endo!!!!


Capture d  cran 2015 03 12 12.28 - Eugenol
chicot29

29/06/2020 à 17h36

vernal écrivait:
------
> Au départ, on parlait d'endo ?

Oui toujours pas trouvé le moyen de trouver le mv2 et d'obturer les 4 canaux en 15 minutes. Caramba que 3 encore raté. Des solutions ?

--
En cas d'échec des négociations conventionnelles, seriez-vous prêt à suivre la promotion d'un déconventionnement massif de la profession par les syndicats représentatifs ? OUI - NON
Participez, anonymement, sur https://goo.gl/forms/nAO0htnsVmxotjYm1

Endo 26 1 ptjeks - Eugenol

dent2669

29/06/2020 à 18h02

chicot29 écrivait:
--------
> vernal écrivait:
> ------
> > Au départ, on parlait d'endo ?
>
> Oui toujours pas trouvé le moyen de trouver le mv2 et d'obturer les 4 canaux en
> 15 minutes. Caramba que 3 encore raté. Des solutions ?
>
Là, la solution c'était un microscope opératoire, un insert US multilames style CAP3 de chez satelec, une lime 8 et du temps... surtout du temps ! Mais au vu de ta photo, je suis presque sûr qu'il y en a un qui se cache !


Capture d  cran 2015 03 12 12.28 - Eugenol
chicot29

29/06/2020 à 18h07

dent2669 écrivait:
--------
> chicot29 écrivait:
> --------
> > vernal écrivait:
> > ------
> > > Au départ, on parlait d'endo ?
> >
> > Oui toujours pas trouvé le moyen de trouver le mv2 et d'obturer les 4 canaux
> en
> > 15 minutes. Caramba que 3 encore raté. Des solutions ?
> >
> Là, la solution c'était un microscope opératoire, un insert US multilames style
> CAP3 de chez satelec, une lime 8 et du temps... surtout du temps ! Mais au vu de
> ta photo, je suis presque sûr qu'il y en a un qui se cache !

Il y en a toujours un mais pas au tarif sécu de merde.
--
En cas d'échec des négociations conventionnelles, seriez-vous prêt à suivre la promotion d'un déconventionnement massif de la profession par les syndicats représentatifs ? OUI - NON
Participez, anonymement, sur https://goo.gl/forms/nAO0htnsVmxotjYm1


Capture d  cran 2015 03 12 12.28 - Eugenol
chicot29

29/06/2020 à 18h08

dent2669 écrivait:
--------
> chicot29 écrivait:
> --------
> > vernal écrivait:
> > ------
> > > Au départ, on parlait d'endo ?
> >
> > Oui toujours pas trouvé le moyen de trouver le mv2 et d'obturer les 4 canaux
> en
> > 15 minutes. Caramba que 3 encore raté. Des solutions ?
> >
> Là, la solution c'était un microscope opératoire, un insert US multilames style
> CAP3 de chez satelec, une lime 8 et du temps... surtout du temps ! Mais au vu de
> ta photo, je suis presque sûr qu'il y en a un qui se cache !

P4D EMS. En loupes fois 5 que dalle. Solution cone beam pour éviter de friter toute la chambre en mésio vestibulaire.

--
En cas d'échec des négociations conventionnelles, seriez-vous prêt à suivre la promotion d'un déconventionnement massif de la profession par les syndicats représentatifs ? OUI - NON
Participez, anonymement, sur https://goo.gl/forms/nAO0htnsVmxotjYm1


Lautreamont

29/06/2020 à 18h13

Une fraise boule multilames long col sur bague bleue est bien plus rapide et efficace. Komet a une super série.


Utilisateur banni

29/06/2020 à 19h13

adhoc écrivait:
-----
> Ptet ben que c'est pas le bridge qui lui faisait mal, mais la carie sur 27, qui
> nécessite.... une endo!!!!

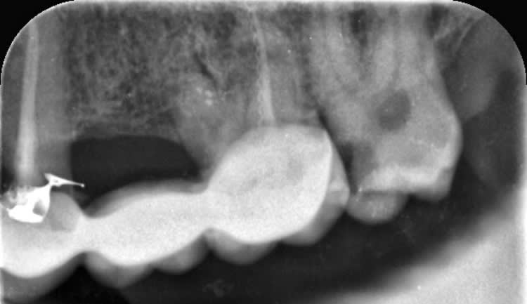
Non la 27 j’ai fourré un compo . Il avait une pêche sous chaque pilier, ou alors un instrument cassé. De la dentisterie française. En l’occurrence ici t’avais un joli lentilo planté dans l’os. Ça aurait pu être traité éventuellement par résection. Mais bon les tarifs ne paient même pas un insert endo. Je ne travaille pas à perte.


Capture d  cran 2015 03 12 12.28 - Eugenol
chicot29

29/06/2020 à 19h56

Lautreamont écrivait:
-----------
> Une fraise boule multilames long col sur bague bleue est bien plus rapide et
> efficace. Komet a une super série.

Non. Beaucoup moins de visibilité que les us . A moins d'avoir un col trèèèèèès long et un CA avec une tete trèèèèèès étroite. Accroches toi avec ta Komet sur ce cas. LT 25 mm entrées à 12 mm cote à cote.

--
En cas d'échec des négociations conventionnelles, seriez-vous prêt à suivre la promotion d'un déconventionnement massif de la profession par les syndicats représentatifs ? OUI - NON
Participez, anonymement, sur https://goo.gl/forms/nAO0htnsVmxotjYm1

Endo 44 2 canaux sonmvr - Eugenol

Lautreamont

29/06/2020 à 22h20

Va voir chez komet


1...678