Cookie Consent byPrivacyPolicies.comSéquence endo - Eugenol

Séquence endo

Utilisateur banni

30/06/2020 à 09h22

Chicot tu n’as jamais pensé à te prendre un microscope qui ne sert à rien ? Tu prends un microscope bas de gamme. Tu fais genre de regarder 2-3 fois dans ton microscope pendant ta séance et tu factures plus cher tes reconstitutions tes retraitements et autres . Vu que tout est dans l’apparence en dentaire, ça pourrait être intéressant d’en utiliser un qui ne te servira strictement à rien cliniquement mais qui en contrepartie permettrait de justifier une augmentation de prix.


Lautreamont

30/06/2020 à 10h33

Depuis que t’as changé ta tapisserie c’est vraiment la dèche !


Lautreamont

30/06/2020 à 13h30

Je croyais chicot que tu avais un microscope... au temps pour moi, il est préférable de continuer aux US, c’est plus long mais moins dangereux !


Et7jtaj0pdi18gzjlxjiamlx15gs - Eugenol
Prunelles

30/06/2020 à 14h24

chicot29 écrivait:
--------
> Dans mon cabinet seul ma Charlotte est française. Je la trouve top top top top.

J'arrive en retard. C'est quoi comme masque ?


Capture d  cran 2015 03 12 12.28 - Eugenol
chicot29

30/06/2020 à 18h12

clean space halo.



--
En cas d'échec des négociations conventionnelles, seriez-vous prêt à suivre la promotion d'un déconventionnement massif de la profession par les syndicats représentatifs ? OUI - NON
Participez, anonymement, sur https://goo.gl/forms/nAO0htnsVmxotjYm1


6szjws718sv1jksw54v4mpj3a6cu - Eugenol
vulpi

02/07/2020 à 16h45

Suite à un échange avec un nonolien... protapers golds, mes pantoufles en endo.
... pour la survie de la dent, on verra...

Protap gold iku5cw - Eugenol

Nouveau image bitmap fz77zh - Eugenol
Sethef

02/07/2020 à 17h35

C'est beau. Mon expérience me dit qu'en l'absence de poche distale, ça survivra. Dans le cas inverse, ça n'a jamais marché pour moi.


Vw campersurfvan bmnk1q - Eugenol
enlaye

02/07/2020 à 18h15

ou con d ail , suis jaloux !!!


Utilisateur banni

02/07/2020 à 19h30

Belle endo :) avec un peu de chance quand tout aura cicatrisé, le patient ne sera plus là et se fera poser une jolie céramique par un confrère . :)


Lautreamont

04/07/2020 à 13h43

Ça ne guérira pas.


Bebe 038 nf8eum - Eugenol
danteyeah

04/07/2020 à 13h47

Lautreamont écrivait:
-----------
> Ça ne guérira pas.

Mais si demandes à Pelé.....il te la sauve au bâtonnet en un rien de temps celle-là :-))))


Utilisateur banni

04/07/2020 à 14h53

Donc si je comprends bien Lautreamont après avoir cassé du sucre sur le dos d’un professeur de Paris , nous apprenons que tu utilises le Bioroot , le même type de ciment que préconise ce professeur ... tiens tiens ...
Sinon la pilule est passée pour le Nocospray ?:) Ça ne fait pas trop mal les 2500 euros en sachant que pour 15 fois moins cher tu obtenais le même résultat ? Moi ça me ferait mal à l’anus quand même :)


Lautreamont

04/07/2020 à 15h35

Chassez le naturel...


masterbibop

04/07/2020 à 22h00

Sethef, le F1 de chez fkg (gamme irace) te fera le meme boulot que ton S1. C’est du 4% en 20/100. Je l’utilise à 250tours torque 0,6 ( plus bas que preconisé).


6szjws718sv1jksw54v4mpj3a6cu - Eugenol
vulpi

09/07/2020 à 15h12

bifide.

Bifide seimox - Eugenol

Nouveau image bitmap fz77zh - Eugenol
Sethef

09/07/2020 à 16h00

Joli.
Elle est réellement bifide? Sur la radio, elle donne bien l'impression de deux canaux en 8, éventuellement avec une large entrée commune.


6szjws718sv1jksw54v4mpj3a6cu - Eugenol
vulpi

09/07/2020 à 16h58

Deux canaux fusionnés avec séparation avant l'apex comme le montre la radio. C'est aux protapers golds sans instrumentation manuelle.


Capture d  cran 2015 03 12 12.28 - Eugenol
chicot29

09/07/2020 à 17h33

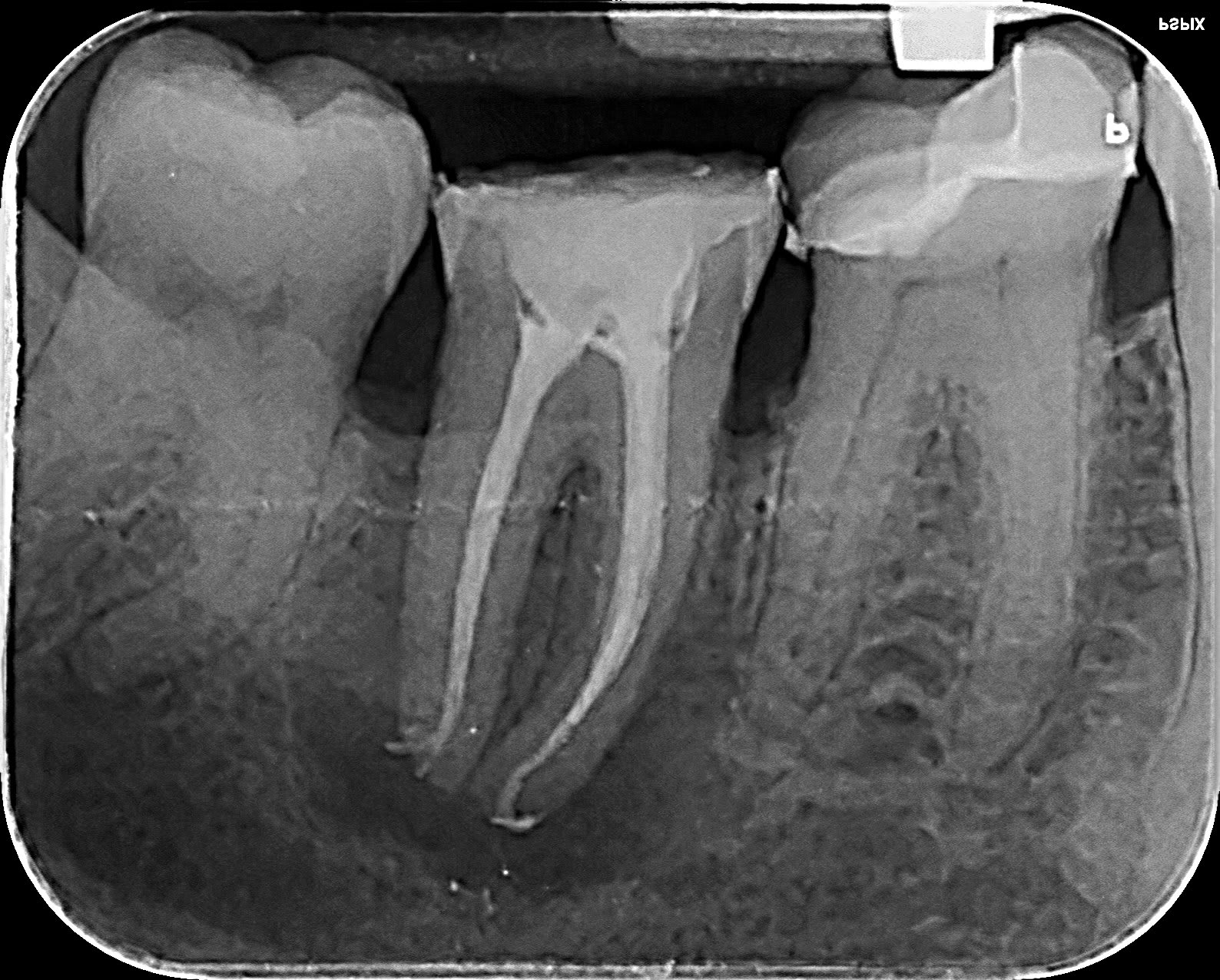
Tiens tu le crois ça ? Une 26 bifide. Du jamais vu.


--
En cas d'échec des négociations conventionnelles, seriez-vous prêt à suivre la promotion d'un déconventionnement massif de la profession par les syndicats représentatifs ? OUI - NON
Participez, anonymement, sur https://goo.gl/forms/nAO0htnsVmxotjYm1

Endo 26 5 sstrsn - Eugenol

blaise2583

09/07/2020 à 21h23

chicot29 écrivait:
--------
> Tiens tu le crois ça ? Une 26 bifide. Du jamais vu.
>
>
> --
> En cas d'échec des négociations conventionnelles, seriez-vous prêt à suivre la
> promotion d'un déconventionnement massif de la profession par les syndicats
> représentatifs ? OUI - NON
> Participez, anonymement, sur https://goo.gl/forms/nAO0htnsVmxotjYm1

Chicot c est dingue tu bouffes combien d endos par jour... t es a cote d une usine haribo ou il y aune penurie de brosse a dent aussi en bretagne
Sinon toujours aussi belles tes endos


Bebe 038 nf8eum - Eugenol
danteyeah

10/07/2020 à 11h33

chicot29 écrivait:
--------
> Tiens tu le crois ça ? Une 26 bifide. Du jamais vu.

Eh eh!!!! 12 radios contrôles..........toi t'as plus confiance dans tes localisateurs ;-))))


6szjws718sv1jksw54v4mpj3a6cu - Eugenol
vulpi

18/07/2020 à 09h47

danteyeah écrivait:
---------
> chicot29 écrivait:
> --------
> > Tiens tu le crois ça ? Une 26 bifide. Du jamais vu.
>
> Eh eh!!!! 12 radios contrôles..........toi t'as plus confiance dans tes
> localisateurs ;-))))
je pense que c'est plus malin que ça...


John gp55mb - Eugenol
Faivre-rampant

01/09/2020 à 17h07

@chicot29
Impressionnant la qualité de tes endos.


1...78