Cookie Consent byPrivacyPolicies.comAutours d'un cas clinique, - Eugenol

Autours d'un cas clinique,

Pubg2 rjl8jc - Eugenol
lemondestvaste

21/09/2021 à 10h09

Salut les collègues,

Je sèche un peu devant ce cas.
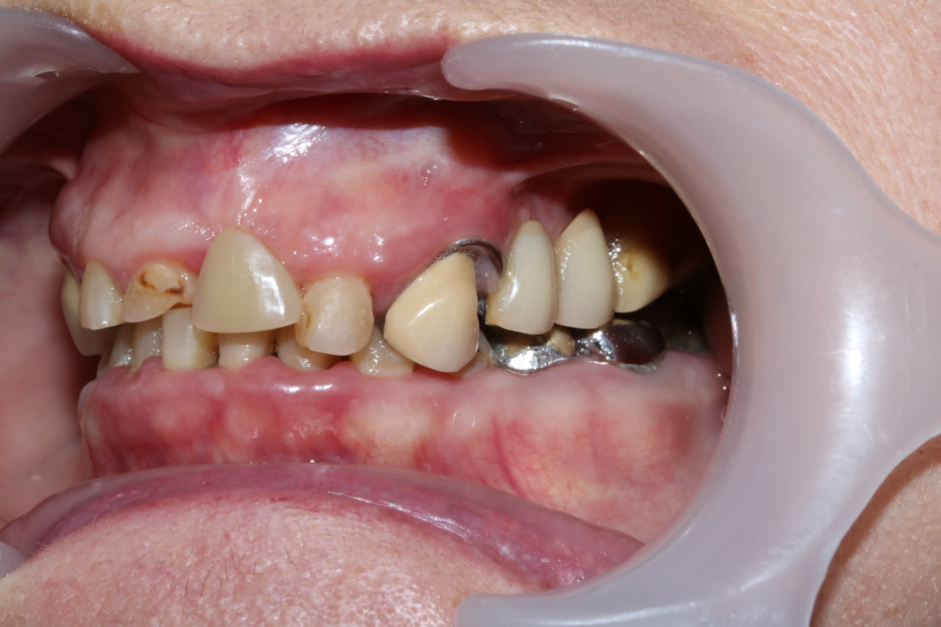
Nouvelle patiente qui vient me voir suite au départ en retraite de son ancien dentiste. Elle a conscience que c'est compliqué. Elle souhaiterait améliorer son sourire et sa mastication.

En bouche il y a un gros manque de DV, avec l’impression que tout a été reconstruit trop petit, trop bas, je ne comprend pas trop comment a été reconstruite la 23 qui semble beaucoup trop longue. Le stelite présente une particularité une selle mobile au niveau de la molaire S 2 pour "préserver la 23".

Mon ressenti quand je regarde en bouche c'est poisseux, compliqué, je n’arrive pas a voir par quoi commencer.

Si vous avez un avis, un coup de main pour élaborer le plan de traitement, il est le bienvenue !


Vant8sg5prjnmr7cyy22 - Eugenol
B5egi61hpmcvxuix9g0s - Eugenol
W7d6phna2t4gruhtt0nb - Eugenol
Hwnlry2vnnjr8cmz3ley - Eugenol
Fvuxxaucm53kaghuvqwq - Eugenol
Cah3b6zltjba2x1pxwqj - Eugenol
Tze7eoq7mqupqsbpejb9 - Eugenol

Nouveau image bitmap fz77zh - Eugenol
Sethef

21/09/2021 à 13h22

Hou ça ça me plaît, je reviens vite.

En 2 sec, je suis presque certain que la 23 est la plus ancienne des couronnes, et que tout en découle.
Genre, la patiente a 50-60, et la 23 a été réalisée dans sa vingtaine.



De toute manière, y'a qu'une seule méthode valable, c'est de tailler 28 dents et de faire 28 provisoires, t'y vois tout de suite plus clair après.





--
_____________________
Dentiste décroissant.


Bebe 038 nf8eum - Eugenol
danteyeah

21/09/2021 à 13h45

Sethef écrivait:
------

> De toute manière, y'a qu'une seule méthode valable, c'est de tailler 28 dents et
> de faire 28 provisoires, t'y vois tout de suite plus clair après.
>

Si seulement elle en avait 28 ;-))
Elle a une copine jap. non ?
Pour la DVO c'est simple, si photo de profil nickel, pas de lesion aux commissures tous ça alors DVO OK (quasi sûr que c'est OK)
>
>
>
>
> --
> _____________________
> Dentiste descendant :-)))))))))


Vw campersurfvan bmnk1q - Eugenol
enlaye

21/09/2021 à 13h45

voilà , cela montre bien les limites du numérique + raco .
pas de montage sur articulateur , tu ne peux rien faire , rien .
ahh tu peux te les tourner dans tous les sens les images de la cam , et apres ? c est sympa mais ça n avance pas :-)
aller , soyons fous , tu montes sur articulateur , tu trouves le pb , tu te fais toi meme les wax grosso modo , et apres ? , ben apres rien :-)))
zou , encore un cas a adresser à un de mes voisins qui pose des implants , pcq lui , il est fort , tres fort :-))
à force , ils vont couler :-)


Pubg2 rjl8jc - Eugenol
lemondestvaste

21/09/2021 à 13h53

J'étais sur que ca allait-te plaire Sethef !

Bon Enlaye tu me déprimes complet ... je comptais bien lui rendre service à cette patiente ... le pire c'est que sa fille qui était soignée par le même dentiste a été voir un confrère ... qui lui la dit ... "trop compliqué, allez voir mon voisin ... "

On a une mobilité 1 sur la 23.

J'ai zappé les photos de profil ... c'est déjà la 2 eme fois que je la vois. Je la reconvoque pour les photos de profil !

Après en ce moment j'ai plutôt des cas qui roulent, donc un cas merdique et complexe ... c'est plutôt un challenge. Mais le truc ... C'est qu'à part raboter la 23 et à peu près tout couronner .... j'ai pas trop d’idée du plan de traitement.


Et7jtaj0pdi18gzjlxjiamlx15gs - Eugenol
Prunelles

21/09/2021 à 13h54

J'ai le droit de jouer aussi ?
C'est quoi les règles du jeux ?
On a tous une carte "à adresser au spécialiste" et une carte "complet à tous va" pour débuter la partie ?


Pubg2 rjl8jc - Eugenol
lemondestvaste

21/09/2021 à 13h55

attend y'a une autre carte : la patiente à une limite à 2000 € de sa poche.


lemondestvaste écrivait:
--------------
> attend y'a une autre carte : la patiente à une limite à 2000 € de sa poche.


Mouahhhhhhhhhhhhhhhhhh !

Pardon, c'est les nerrrrrrrrrrrrrrrrrrrrrrfs !


Vw campersurfvan bmnk1q - Eugenol
enlaye

21/09/2021 à 14h28

Bon , si tu ne regardes que la photo du bas :
tu as l impression que c est pas trop mal , hein?
et pourtant quand tu emboîtes le haut , ça s emboîte bien , mais tu vois bien que c est tout tordu qu il y a un truc qui ne va pas .
C est donc que le bas ne va pas non plus .donc faut couronner TOUTES les dents .


Pubg2 rjl8jc - Eugenol
lemondestvaste

21/09/2021 à 14h29

Non c'est pas les nerfs ... c'est les petits retraités en milieu rural ...


Pubg2 rjl8jc - Eugenol
lemondestvaste

21/09/2021 à 14h31

Pour le bas : à part de 33 à 43 tous le reste est sculpté de main de dentiste et prothésiste à la truelle. Donc .... j'ai pas confiance.


mla3

21/09/2021 à 14h31

carte limite 2000€... un jeu truqué!



après un décroissant, un descendant.... manque le dérapant(ah non! il y a PP)


Vw campersurfvan bmnk1q - Eugenol
enlaye

21/09/2021 à 14h33

Il faut que mentalement tu le vois sans dents , genre complet h+b .
un complet haut et bas , tu sais faire , bien tu fais le raisonnement comme pour un complet haut et bas , sauf qu il y a des dents .
Le plus dur c est de l expliquer au labo qui a le doigt sur le bouton de la fraiseuse :-) gné :-)


Et7jtaj0pdi18gzjlxjiamlx15gs - Eugenol
Prunelles

21/09/2021 à 14h39

enlaye écrivait:
------
> Il faut que mentalement tu le vois sans dents , genre complet h+b .

Toothless gaqzro - Eugenol

Vw campersurfvan bmnk1q - Eugenol
enlaye

21/09/2021 à 14h44

lemondestvaste écrivait:
--------------
" a été voir un confrère ... qui lui la dit ... "trop compliqué, allez voir mon voisin ... "
On dirait moi depuis le raco :-) , tu poses des implants ? :-))


Et7jtaj0pdi18gzjlxjiamlx15gs - Eugenol
Prunelles

21/09/2021 à 14h44

Je me lance. Je commence par le bas. On réhausse le tout avec de belles courbes et on se laisse guider par le bas pour refaire le ht. Et on évite le style halloween !

Vampire nbubcs - Eugenol

Nouveau image bitmap fz77zh - Eugenol
Sethef

21/09/2021 à 15h08

Ben oui, mais comment tu veux faire le bas sans toucher le haut?
D'ailleurs, si il n'y avait pas le haut, il irait bien le bas. C'est comme le dahut, c'est les pattes de gauche qui sont trop courtes, ou celles de droite qui sont trop longues?


--
_____________________
Dentiste décroissant.

Dahu3110 nuzsj2 - Eugenol

Nouveau image bitmap fz77zh - Eugenol
Sethef

21/09/2021 à 15h10

Allez, je veux bien faire un plan de tt, mais je veux d'abord savoir de quand date la 23. Le plaisir du jeu.


--
_____________________
Dentiste décroissant.


Et7jtaj0pdi18gzjlxjiamlx15gs - Eugenol
Prunelles

21/09/2021 à 15h21

Sethef écrivait:
------
> Ben oui, mais comment tu veux faire le bas sans toucher le haut?

Flocons de purée mousline txmo8x - Eugenol

Pubg2 rjl8jc - Eugenol
lemondestvaste

21/09/2021 à 15h28

Pour la 23, des que j'ai la patiente je te donne toutes ces infos.

Non je ne pose pas, juste la prothèse sur implant.

Remarque je devrais peut être l'envoyer à mon ortho ... (c'est une pure planatienne, elle risquerait de faire une attaque en voyant la 23).




Vw campersurfvan bmnk1q - Eugenol
enlaye

21/09/2021 à 16h02

je pense que tout le monde a un peu raison .
Sethef a raison , la canine fait partie du debut du pb
Dant attend la photo de profil , ok aussi , il dit qu il n y a pas de baisse de dv , on va voir
Prunelle dit qu il refait d abord le bas qui va lui guider le haut , et c est pas con du tout .
et moi je pense à un truc qui peut réunir tout ça .
en regardant cette photo .

Inkedw7d6phna2t4gruhtt0nb li smple6 - Eugenol

Pubg2 rjl8jc - Eugenol
lemondestvaste

21/09/2021 à 16h09

Tu veux une télé de profil en plus ?? L'implantation de ton bloc IC dans la symphyse ?


Vw campersurfvan bmnk1q - Eugenol
enlaye

21/09/2021 à 16h14

quand on voit cette ligne osseuse de plus grand contour , on se dit qu il y a eu une résorption osseuse horizontale du à un pb occluso paro .
mais si on y regarde mieux , on a l impression que cette crête est plus en avant que le surplomb des dents ant .
j ai comme l impression que c'était une classe 2 avec legere beance , qui par perte de calage post , que ce soit par perte des dents ou des protheses en sous occ ou meme la latero deviation de la canine ,aurait lingualé les incisives du bas et elles auraient reculé .
d où le recul des dents / à la crete osseuse .
ce qui voudrait dire que :
p'tre que la canine n etait pas trop grosse à l epoque , que le dentiste avait juste cherché à obtenir un contact palatin à l époque , et qu entre temps elle aurait eu une perte de dv par de multiples limages d équilibrations et par la vie tumultueuse .
donc du coup je ne suis plus en accord avec Dant ( t'ain à la prochaine sortie en velo je vais morfler :-) )


Vw campersurfvan bmnk1q - Eugenol
enlaye

21/09/2021 à 16h15

lemondestvaste écrivait:
--------------
" Tu veux une télé de profil en plus ?? L'implantation de ton bloc IC dans la symphyse ? "
oui et vérifier si elle n est pas hyper divergente


Bebe 038 nf8eum - Eugenol
danteyeah

21/09/2021 à 18h05

enlaye écrivait:
----- elle
> aurait eu une perte de dv par de multiples limages d équilibrations et par la
> vie tumultueuse .
> donc du coup je ne suis plus en accord avec Dant ( t'ain à la prochaine sortie
> en velo je vais morfler :-) )

Photos occlusales, commissures nickel = pas d'affaissement de l'étage inf....je reste sur pas de perte de DV, glissement antérieure (comme la jap.) et vérin latéral.
Et en étant pas trop gourmand RAC0 + 2000 ça doit passer quitte à ferrailler le fond, le berlingot c'est pas pour toute suite, et c'est même plus simple que la Jap.


12...