Cookie Consent byPrivacyPolicies.comAutours d'un cas clinique, - Eugenol

Autours d'un cas clinique,

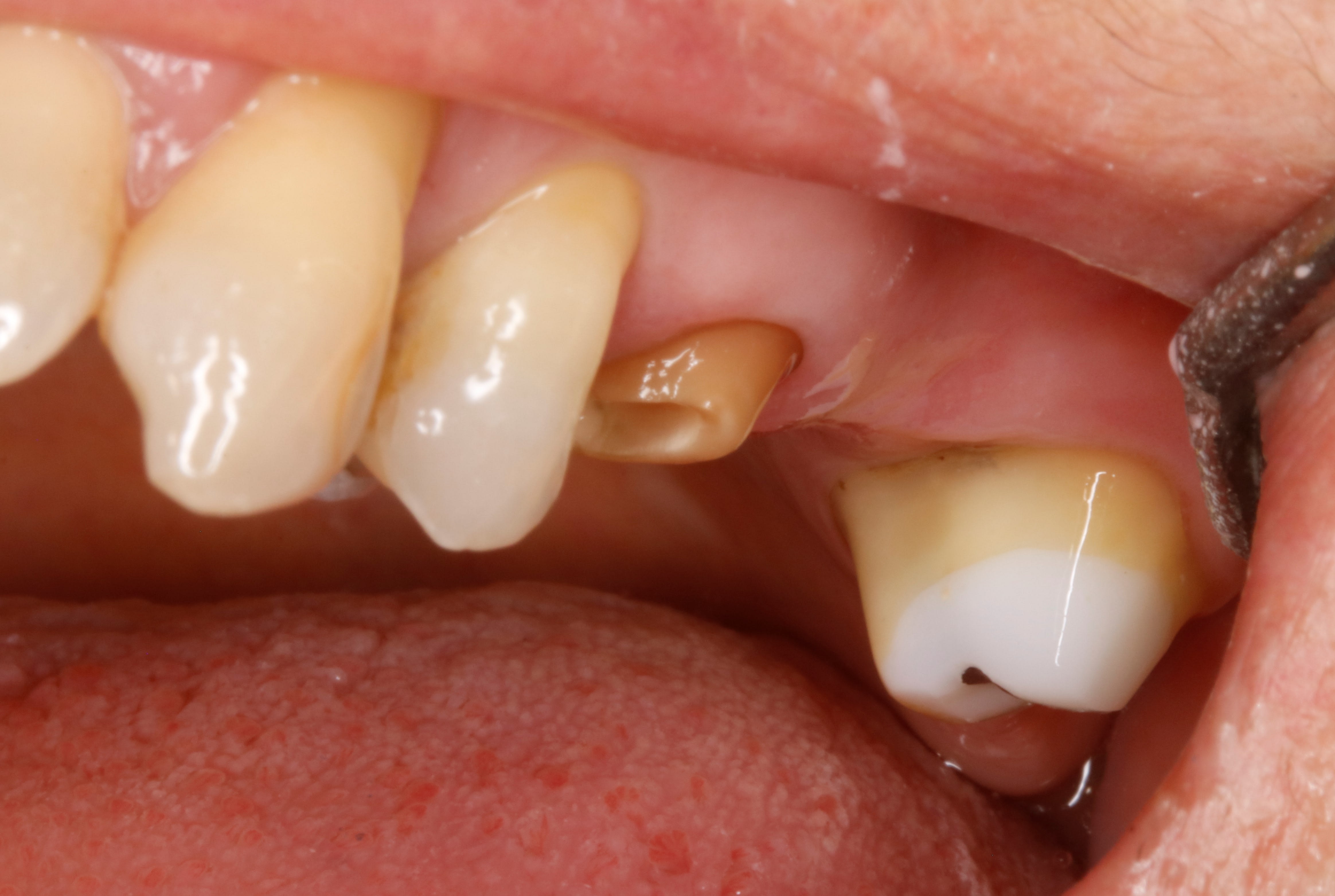
mla3

24/09/2021 à 14h15

et pas de dent provisoire, non ?


Vw campersurfvan bmnk1q - Eugenol
enlaye

24/09/2021 à 14h21

Hokusai écrivait:
-------
" EnLaye, pourquoi ne pas valider la morphologie avant de lancer l usinage ?? Du style tu prends la main de l exocad de ton protho via TeamViewer ?? "

faut pas croire machiner l exocad , ça prend du temps .
et tu ne peux pas tjs monopoliser l ordi du labo au moment où toi tu en as le temps.
exocad , meme avec la nouvelle version , c est pas tres malin .
par exemple meme si tu peux choisir une dent dans la bibliothèque , c est bien gentil mais c est du pipo . pcq il va te presenter une dent toute rikiki qui n est pas en rapport avec les limites ni de rien en fait . et apres tu vas faire les limites et apres tu vas faire les pts de contacts , et apres tu vas lisser par là et gonfler par là et puis ceci et puis celà , ça n en fini plus ......au final t as choisi une forme comme ci , pour arriver à un truc qui n a rien à voir .
paradoxalement , c est plus interressant sur les bridges en fer ,( en faisant les cires fraisées ) pcq au moins tu n auras rien à retoucher , tellement c est l enfer de retoucher le fer en bouche .

 mg 2610 gz2win - Eugenol
 mg 2612 iosni7 - Eugenol

Vw campersurfvan bmnk1q - Eugenol
enlaye

24/09/2021 à 14h22

mla3 écrivait:
----
" et pas de dent provisoire, non ? "
non , pas obligé :-))


Nouveau image bitmap fz77zh - Eugenol
Sethef

24/09/2021 à 15h01

L'histoire d'enlaye sur les pros, ça m'a tellement changé la vie.
Dès que les limites proximales sont un peu sous gingivales, je mets un grand coup de fraise dans la barbac, je biseaute ma limite au grain fin, pas de pros, et la semaine d'après la gencive est toute rose toute jolie, et ma limite est miraculeusement juxta gingivale.

J'ai pas de fil au cabinet et mon expasyl est tout périmé. Merci!


--
_____________________
Dentiste décroissant.


Et7jtaj0pdi18gzjlxjiamlx15gs - Eugenol
Prunelles

24/09/2021 à 17h28

Sethef écrivait:
------
> Dès que les limites proximales sont un peu sous gingivales, je mets un grand coup de fraise dans la barbac.

A Pinky Gum Drilled By A Big Black Bur ?

Et le respect de l'espace biologique dans tous ca ? A la Fac tu y touchais tu passais un sale 1/4 d'heure...


Vw campersurfvan bmnk1q - Eugenol
enlaye

24/09/2021 à 18h08

Prunelles écrivait:
---------
" Et le respect de l'espace biologique dans tous ca ? "

il t a dit : J'ai pas de fil au cabinet et mon expasyl est tout périmé .
plus respectueux que ça , je vois pas .


Nouveau image bitmap fz77zh - Eugenol
Sethef

24/09/2021 à 19h32

Le truc, c'est que si c'est carié, l'os a déjà foutu le camp. Si tu as encore de la gencive au dessus, c'est de la fausse poche en fait.


Prunelles écrivait:
---------
> Sethef écrivait:
> ------
> > Dès que les limites proximales sont un peu sous gingivales, je mets un grand
> coup de fraise dans la barbac.
>
> A Pinky Gum Drilled By A Big Black Bur ?
>
> Et le respect de l'espace biologique dans tous ca ? A la Fac tu y touchais tu
> passais un sale 1/4 d'heure...


--
_____________________
Dentiste décroissant.


Nouveau image bitmap fz77zh - Eugenol
Sethef

24/09/2021 à 19h34

Et puis la fac...
Tu sais, j'en suis rendu au stade où je prends 3/4 de mes empreintes en wash. Et pas en ouache.


--
_____________________
Dentiste décroissant.


blaise2583

24/09/2021 à 21h16

Sethef écrivait:
------
> L'histoire d'enlaye sur les pros, ça m'a tellement changé la vie.
> Dès que les limites proximales sont un peu sous gingivales, je mets un grand
> coup de fraise dans la barbac, je biseaute ma limite au grain fin, pas de pros,
> et la semaine d'après la gencive est toute rose toute jolie, et ma limite est
> miraculeusement juxta gingivale.
>
> J'ai pas de fil au cabinet et mon expasyl est tout périmé. Merci!

Ni de temp bond ni voco.... et pas de gestion de ta prov pour 60 euros... ton empreinte est nickel car tu ne retouches quasiment pas ta taille, tu as aussi un nouvel oeil une semaine apres si ta taille n etait pas extraordinaire...
Je ne fais que des prov de 3 à 3 ou si vraiment besoin de calage
Et le max d unitaires plus envie de me gondoler le cerveau avec ces codes ou ces tarifs iniques
En fait ce rac 0 m a simplifie mon exercice, m a anesthesie mes neurones m a enlevé mon desir de dépassement de soi ca fait chier mais le plaisir faudra le trouver ailleurs.... velo pour certains...

>
>
> --
> _____________________
> Dentiste décroissant.


Vw campersurfvan bmnk1q - Eugenol
enlaye

24/09/2021 à 21h58

blaise2583 écrivait:
----------
" tu as aussi un nouvel oeil une semaine apres si ta taille n etait pas extraordinaire... "

+1
même en pleine dépression raco tu as gardé de bons restes .:-)


Nouveau image bitmap fz77zh - Eugenol
Sethef

24/09/2021 à 22h24


Alors un détail tout de même: une fois prise l'empreinte, je fais une pro; les rares fois où j'ai tenté sans, ça a été retouches sans fin, et même une armature de bridge qui ne rentrait pas, ce qui n'arrive strictement jamais en temps normal.

--
_____________________
Dentiste décroissant.


Nouveau image bitmap fz77zh - Eugenol
Sethef

24/09/2021 à 22h35

Je rajoute une mini astuce sur la gestion des limites; en fait, le jour où tu fais l'endo, tu fais ta rcr dans le même temps.
En fin de séance, tu mets tes faces délabrées de dépouille comme dit plus haut, moi en plus à ce moment là je vire le bout de digue liquide ou d'irm qui faisait l'étanchéité de la digue.

Et puis dans le même temps, tu mets ta congé bien à plat sur la face occlusale, et bim, 2mm de moins.
Ce faisant, et pour peu que tu laisses mariner le patient quelques semaines parce que t'as pas trop de place, tu favorises une sympathique égression qui va remettre la limite cervicale de ta RCR en supra gingival.
Quand t'es nul en chir, faut bien trouver un moyen pour esquiver les élongations coronaires hein.
--
_____________________
Dentiste décroissant.

L art dentaire xiz7oc - Eugenol

Vw campersurfvan bmnk1q - Eugenol
enlaye

24/09/2021 à 22h36

Bizarre ça . Alors qu avec pro après l empreinte , c est mieux ? . Ah ouais .
Tes retouches sans pro , ce sont les pts de contacts ? , en occlusal ?


Nouveau image bitmap fz77zh - Eugenol
Sethef

24/09/2021 à 22h44


Occlusal systématique, et au moins en une occasion, un bridge qui rentrait pas. Je l'interprète comme une migration des dents non calées après l'empreinte.
Mais j'ai pas essayé 1000 fois non plus, 4-5 fois au cours des années peut-être?

--
_____________________
Dentiste décroissant.


Vw campersurfvan bmnk1q - Eugenol
enlaye

24/09/2021 à 22h48

Sehef écrivait:
------
"....... tu favorises une sympathique égression qui va remettre la limite cervicale de ta RCR en supra "

Sur , et c est même plus que ça c est que libérant le stress occlusal , tu équilibres les suspensions ligamentaires , et la dent devient plus rigide . Le fait de la rendre rigide plus d avoir enlevé la nociception par l endo , la gencive s organise d une façon optimale .
Pour ça aussi que je dévitalise les dents paro mobiles déclarées perdues par les paro


blaise2583

25/09/2021 à 09h43

enlaye écrivait:
------
> Sehef écrivait:
> ------
> "....... tu favorises une sympathique égression qui va remettre la limite
> cervicale de ta RCR en supra "
>
> Sur , et c est même plus que ça c est que libérant le stress occlusal , tu
> équilibres les suspensions ligamentaires , et la dent devient plus rigide . Le
> fait de la rendre rigide plus d avoir enlevé la nociception par l endo , la
> gencive s organise d une façon optimale .
> Pour ça aussi que je dévitalise les dents paro mobiles déclarées perdues par les
> paro
>
On m avait appris ca exactement en arrivant au cabinet je n y croyais pas et pourtant ça marche bien, de plus le nettoyage est optimal jusqu'à cicatrisation du parodonte, c etait pour moi jeune installé un concept presque incompréhensible car jamais étudié à la fac

Et même à l époque ceux qui utilisaient du ticore pour faire tes rcr il y avait blanc ou rose et un commercial m avait dit de prendre du rose ( il n y avait pas d emax ni ceramo céramiques à l epoque) et il me disait comme ca il reviendra faire ça ccm... bon la c etait l intérêt commercial

Derniere chose t es sur que pendant la temporisation il ne te descelle pas ta pro ou la casse donc moins d urgence également


Et7jtaj0pdi18gzjlxjiamlx15gs - Eugenol
Prunelles

25/09/2021 à 09h57

A la Fac, le patient aurait été adressé au service de Paro pour prendre rendez-vous avec un MCU, un Assistant ou un Stagiaire du DU, pour lui faire bénéficier d'une élongation coronaire sous lambeau faite dans les règles de l'Art. Comptez grosso modo 1/2 mois de délais pour ça.

Au Cab, une locale et une fraise chir. suffisent...


Vw campersurfvan bmnk1q - Eugenol
enlaye

25/09/2021 à 10h49

Ah mais non , surtout pas d anesthésie sinon tu ne sais pas où t arrêter :-)
La gencive pourrie est insensible et tu t arrêtes quand il fait aille .


6szjws718sv1jksw54v4mpj3a6cu - Eugenol
vulpi

25/09/2021 à 11h14

C'est surtout qu'avec l'age on travaille beaucoup à l'oreille.


6szjws718sv1jksw54v4mpj3a6cu - Eugenol
vulpi

25/09/2021 à 11h37

Sethef écrivait:
------
> Je rajoute une mini astuce sur la gestion des limites; en fait, le jour où tu
> fais l'endo, tu fais ta rcr dans le même temps.
> En fin de séance, tu mets tes faces délabrées de dépouille comme dit plus haut,
> moi en plus à ce moment là je vire le bout de digue liquide ou d'irm qui faisait
> l'étanchéité de la digue.
>
> Et puis dans le même temps, tu mets ta congé bien à plat sur la face occlusale,
> et bim, 2mm de moins.
> Ce faisant, et pour peu que tu laisses mariner le patient quelques semaines
> parce que t'as pas trop de place, tu favorises une sympathique égression qui va
> remettre la limite cervicale de ta RCR en supra gingival.
> Quand t'es nul en chir, faut bien trouver un moyen pour esquiver les élongations
> coronaires hein.
> --
Tu obtures les racines avec quel ciment ? Normalement eugenol frais et adhésifs à compos ça va pas bien ensemble, sauf éventuellement si mordançage rinçage... Je fais ma rcr d'un bloc, injection de la résine dans la racine+moignon et tenon passif noyé dedans + sam 2.
J'attends 15 jours entre l'endo et la rcr.


Gabzou

25/09/2021 à 14h59

C'est la question que j'allais poser, tu obtures avec quoi et tu fores avec quoi, parce que personnellement j'ai toujours un peu peur d'embarquer mes cônes de gutta en forant le jour même.

Pour la mise en sous occ sans provisoire moi je trouve çà bien. Mais pas tout à fait la même indication que l'élongation quand même. Vous arrivez à récupérer plus d'un mm avec çà?


Dentiste playmobil dwolng - Eugenol
PlaieMobile

25/09/2021 à 20h36

Super intéressant ce fil de discussion. Je profite qu'il dérive un peu sur les provisoires car j'aimerai comprendre quelque chose qui m'intrigue. Les miennes sont toujours en sur occ. Pourtant je pars d'une dent ou d'une couronne en occlusion de convenance, j'en fais un isomoulage avant de commencer (avec un silicone à prise rapide). Puis je taille, j'empreinte, je vaseline un poil, j'injecte la résine (coolsin), je démoule, je polis et paf méga sur occ. Mais vraiment de beaucoup. Alors évidemment c'est pas bien grave c'est facile à retoucher mais quelque chose m'échappe. Je ne comprends pourquoi j'ai autant de différence par rapport à la situation initiale. C'est sûrement évident mais pas pour moi. Merci


Nouveau image bitmap fz77zh - Eugenol
Sethef

25/09/2021 à 20h40



Gabzou écrivait:
------
> C'est la question que j'allais poser, tu obtures avec quoi et tu fores avec
> quoi, parce que personnellement j'ai toujours un peu peur d'embarquer mes cônes
> de gutta en forant le jour même.

Obturation mcspadden.
Forage directement au foret terminal. (mais j'ai presque toujours passé un largo 3 en cours d'endo)
Mordançage, rinçage, séchage, excite DSC, polymérisation, multicore flow et tenon fibré.

Le tenon est mordancé, silanisé, et adhésé.


>
> Pour la mise en sous occ sans provisoire moi je trouve çà bien. Mais pas tout à
> fait la même indication que l'élongation quand même. Vous arrivez à récupérer
> plus d'un mm avec çà?

Je ne crois pas, mais pourtant le problème ne se pose jamais. Une histoire d'indications, de temps opératoires?
En fait, hors fracture récente, ton os est quand même déjà peu ou prou à la bonne hauteur, c'est la gencive qu'il faut gérer. Cette méthode n'est finalement qu'une gingivectomie sauvage.
--
_____________________
Dentiste décroissant.


Nouveau image bitmap fz77zh - Eugenol
Sethef

25/09/2021 à 20h41

Je ne connais pas cette résine, mais pour l'unifast, tu as une expansion de prise importante.

PlaieMobile écrivait:
-----------
> Super intéressant ce fil de discussion. Je profite qu'il dérive un peu sur les
> provisoires car j'aimerai comprendre quelque chose qui m'intrigue. Les miennes
> sont toujours en sur occ. Pourtant je pars d'une dent ou d'une couronne en
> occlusion de convenance, j'en fais un isomoulage avant de commencer (avec un
> silicone à prise rapide). Puis je taille, j'empreinte, je vaseline un poil,
> j'injecte la résine (coolsin), je démoule, je polis et paf méga sur occ. Mais
> vraiment de beaucoup. Alors évidemment c'est pas bien grave c'est facile à
> retoucher mais quelque chose m'échappe. Je ne comprends pourquoi j'ai autant de
> différence par rapport à la situation initiale. C'est sûrement évident mais pas
> pour moi. Merci


--
_____________________
Dentiste décroissant.


6szjws718sv1jksw54v4mpj3a6cu - Eugenol
vulpi

25/09/2021 à 21h11

PlaieMobile écrivait:
-----------
> Super intéressant ce fil de discussion. Je profite qu'il dérive un peu sur les
> provisoires car j'aimerai comprendre quelque chose qui m'intrigue. Les miennes
> sont toujours en sur occ. Pourtant je pars d'une dent ou d'une couronne en
> occlusion de convenance, j'en fais un isomoulage avant de commencer (avec un
> silicone à prise rapide). Puis je taille, j'empreinte, je vaseline un poil,
> j'injecte la résine (coolsin), je démoule, je polis et paf méga sur occ. Mais
> vraiment de beaucoup. Alors évidemment c'est pas bien grave c'est facile à
> retoucher mais quelque chose m'échappe. Je ne comprends pourquoi j'ai autant de
> différence par rapport à la situation initiale. C'est sûrement évident mais pas
> pour moi. Merci
Repositionnement du moule.