Cookie Consent byPrivacyPolicies.comAutours d'un cas clinique, - Eugenol

Autours d'un cas clinique,

Gabzou

23/09/2021 à 10h55

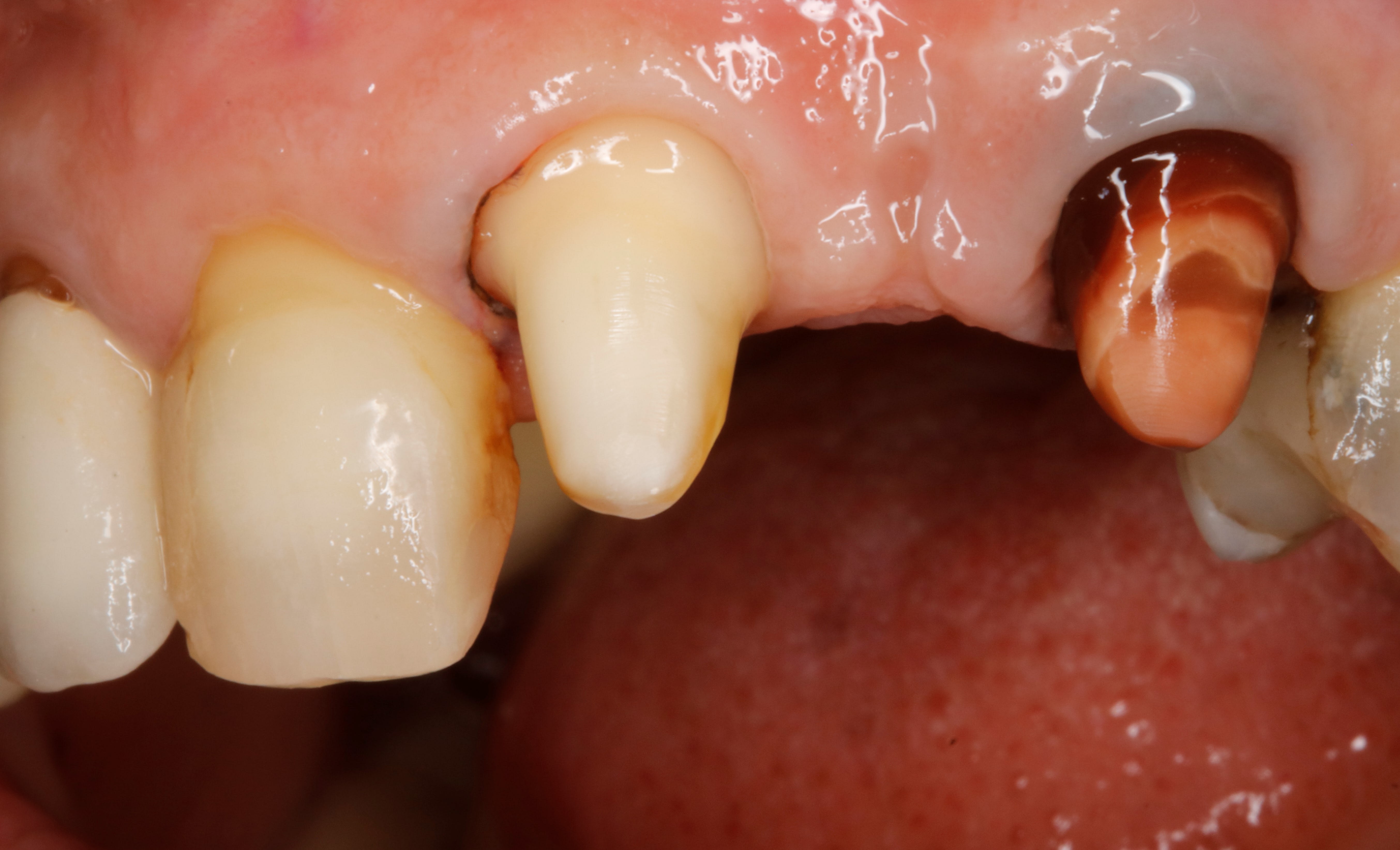
A vue de nez, les cuspides vestibulaires sont trop en palatin? D'où des rapports cuspides-fosses pas idéals? Probablement à risque de causer une légère déviation à la fermeture?


6szjws718sv1jksw54v4mpj3a6cu - Eugenol
vulpi

23/09/2021 à 11h24

non alignement des cusp V avec pointe canine et cusp V de la 7, sillons principaux idem. Impression bizarre pour la cusp P de la 5.
Occlusion auto-verrouillante, ce qui n'est pas souhaitable.


Et7jtaj0pdi18gzjlxjiamlx15gs - Eugenol
Prunelles

23/09/2021 à 11h31

J'arrive après la bataille... Bon bah la même chose que les autres pour les cuspides V et sinon je trouve que les crètes sont bien trapues surtout si on compare avec le sect. 10.


Vw campersurfvan bmnk1q - Eugenol
enlaye

23/09/2021 à 12h10

ouiii , vous etes bons les coullègues .
et j ai l impression qu a force de vous casser les burnes avec mes conneries , ça a servi à quelque chose , suis content , en fait :-)
alors , effectivement , les cuspides vest sont trop verouillantes ,
alors que je suis sur qu en fermeture à tout les coups , il n y a n y a pas forcement de sur occ , hein.
auquel cas ce ne serait pas grave , s il n y avait que ça , comme l a dit Algi , à la fraise cela se corrige tres bien .
bien entendu tout ce que je raconte n engage que moi , mais vous vous doutez bien que si je demande de le refaire , c est que je suis convaincu .
je suis convaincu que si je le pose , ce cas finira , en exagérant , comme le cas de ce post ,
en tout cas , convaincu qu il va tout me casser .

alors , rentrons , ou plutot rentrez un peu plus en detail , sur le pb dynamique que cela pose un verrouillage pareil .
indice 1 : regardez le bloc ant , qui a été usé ou tordu et qui est la trace d un pb posterieur que je pense avoir resolu bien avant d avoir attaqué ce bridge .
ce pb avait ete probablement fait par bruxisme en lateralite , mvt centrifuge donc .
Mais ici on va gerer , non pas les mvts centrifuges , mais les mvts centripètes , la fermeture .
quel est le rapport entre les 2 , aujourd'hui ??


enlaye écrivait:
------
> je le mets en occlusion , et effectivement , ça se confirme je suis contrarié
> :-)

Pôv' enlaye, ça va chier ...


Bebe 038 nf8eum - Eugenol
danteyeah

23/09/2021 à 13h41

enlaye écrivait:
------
> Mais ici on va gerer , non pas les mvts centrifuges , mais les mvts centripètes
> , la fermeture .
> quel est le rapport entre les 2 , aujourd'hui ??

Les 2 sites occlusales principaux sur ce bridge sont le pont d'émail et la face mesiale de la 4. T'as réglé en postérieur avant bridge donc pont d'émail peu marqué, et pas sur le bridge ? Y'a pas de rail de guidage entre 3 et 4, au final y va être sur-guidé en 6 et bloqué en 4-3.
Et surtout pourquoi en full ?? c'est pas RAC0 mais libre, de la CCM serait plus simple à corriger et tarif modéré comme y disent !


Vw campersurfvan bmnk1q - Eugenol
enlaye

23/09/2021 à 13h50

je pose ça là .

Inkedinked mg 2614 li ukkek6 - Eugenol
Inkedinked mg 2616 li ygqbch - Eugenol

Pubg2 rjl8jc - Eugenol
lemondestvaste

23/09/2021 à 14h12

Et pourquoi de la full dans ce cas là ?


Vw campersurfvan bmnk1q - Eugenol
enlaye

23/09/2021 à 14h19

danteyeah écrivait:
---------
" Y'a pas de rail de guidage entre 3 et 4, au final y va être sur-guidé en 6 et bloqué en 4-3. "

:-) ha toi t as pas le droit de parler , t es trop fort , t es tombé dedans tout petit avec Legal Lauret :-)
bien sur , mais je suis arrivé à de nouvelles conclusions qui m ont fait changer un peu la façon d aborder la fermeture .
un petit plus que j ai remarqué .
ç est que oui comme tu dis lors de la fermeture avec tonicité en debut de fermeture , ce sont les secteurs post qui amènent à l emboitage max a savoir l oim .

cependant , la mand peut arriver aussi de devant , elle a bien le droit , non ? surtout si au depart du mvt de la fermeture il n y a pas force ou de vitesse excessive .
et bien , ( je pense ) qu entre debut de la fermeture , lorsque la mand est en l air et donc guidée que par l ATM et les tissus mous : levres , langue , etc , et la fermeture , il y a recherche d une proprioception sur un contact dentaire pour preciser la position de la mand / à l arcade dentaire sur le gps . et peu importe ce contact .du moment que ce soit le premier sur le trajet .
il peut donc etre variable suivant d où arrive la mand .

or ici , des dents devant , c est le pan distal de la canine , 23 est est le plus externe .
et pour cause , lorsqu il bruxait , il y allait de longue . ç est donc un repere qu il connait bien .
lors du bruxime sur une dent il y a baisse de la proprioception ( sinon il aurait mal à force ) .
avec la reduction du bruxisme , la proprioception revient , mais SURTOUT , il a gardé en memoire cet endroit magique pour lui . s il y est allé , il y reviendra . c est ça l engramme . d autant plus que son ATM est usée dans ce sens .

donc tu montes et tu descends , tu peux faire ce que tu veux , il faut s y adapter lors des chemins d entrée .
donc gourdin et pimm .:-))
PS : tu n as pas remarqué , lorsque tu fais un mordu , il y en a qui vont tjs devant ? ...


Vw campersurfvan bmnk1q - Eugenol
enlaye

23/09/2021 à 14h24

lemondestvaste écrivait:
--------------
" Et pourquoi de la full dans ce cas là ? "
pcq il ne comprend rien en ceram , et comme de toute facon je suis devenu ferrailleur , lui au moins , il me laisse la main sur son exocad sauf quand j ai le dos tourné .
puis faut pas rever , les ceramistes vont disparaitre petit à petit . le full , c est trop beau , bien plus que l emax .


Ylfwcw979cz1jnx9gfqeaxndiuzk - Eugenol
Algi

23/09/2021 à 14h42

enlaye écrivait:
------
> Algi écrivait:
> ----
> " Faut arrêter avec la zircone qui peut pas se retoucher....
> Fraises dédiées et roule...."
>
> mais non , eh qué fraise ? on ne parle pas de la meme chose , je ne te parle
> parle pas de gratter une sur occ ou quoi .
> ici on parle de reconstruction , de formes , de volumes à recréer , de courbes ,
> de guidages , bref , si la forme ne va pas , c est mort , tu ne peux faire
> modifier et faire rajouter pour redresser par ci ou par là .
> le full c est one shot , et si ça ne va pas c est poubelle direct . le dernier
> bridge qui n allait pas ça a été ça , je m en souviens comme si c était hier , d
> ailleurs c était hier :-))
> demain j envoies les photos .

OK mec....du coup fait comme moi, un try in avant d'usiner le definitif...

Le try in il est en plastoc facile à modifier si nécessaire
--

On a toujours le choix mais entre quoi et quoi?
Vas-y boulégue et l'avenir te le dira!


Bebe 038 nf8eum - Eugenol
danteyeah

23/09/2021 à 14h43

enlaye écrivait:
------

> PS : tu n as pas remarqué , lorsque tu fais un mordu , il y en a qui vont tjs
> devant ? ...

J'ai que ça. On leur a tellement péter les dents derrière: "ça s'voit pas on s'en fout doc !" qui finissent tous en Goat style ;-)


Et7jtaj0pdi18gzjlxjiamlx15gs - Eugenol
Prunelles

23/09/2021 à 15h45

enlaye écrivait:
------
> puis faut pas rever , les ceramistes vont disparaitre petit à petit . le full , c est trop beau , bien plus que l emax .

Faudrait que j'en parle à mon protho parce que ces Full sont vraiment moches en comparaison avec ses Emax. C'est quoi comme "Marque" de Zircones que ton protho te fournit ?


Vw campersurfvan bmnk1q - Eugenol
enlaye

23/09/2021 à 20h23

bon , elles sont maquillées hein , c est de l orodent , ou aurodent orthographe a verifier .
l inconvénient de l emax c est trop transparent alors IC + couronne c est moche
l inconvénient du zircon , c était que c était opaque , trop opaque , blanc . c est sur que sur l ic c etait mieux mais ...
mais depuis qu ils ont sorti le zircon , translucide et dégradé en couleur et en dureté , alors là ce n est plus pareil , on rigole plus .
j ai essayé l ivoclar , degradé aussi mais c est moyen à mon gout , bon apres ca va certainement evoluer .aujourd'hui il y a la noritaké qui vient de sortir et il parait que ce serait top , surtout pour les dents de vieux de 40 ans :-) tu vois le genre A3 un peu grisée avec les bords libres transparents en D2/ D3 ?
pas encore essayé .


Et7jtaj0pdi18gzjlxjiamlx15gs - Eugenol
Prunelles

24/09/2021 à 08h00

La bonne orthographe c’est Aurident. J’en parlerai à mon protho.
Sinon pour moi le maquillage sur des zircones c’est aussi du one shot. La moindre petite correction, le moindre petit polissage est c’est tout pas beau….
Mes IC sous Emax je les céramise sinon c’est tout gris.
Y’en a même qui mettent un opaquer dans l’intrados pour cacher ce qu’il y a en dessous.


Vw campersurfvan bmnk1q - Eugenol
enlaye

24/09/2021 à 08h07

Non il y a mieux que ça , il faut qu il te mette un opaque à l intérieur de la chappe emax .
Pcq il n' y a pas que l IC que tu vois en transparence , il y a aussi la racine foncée .
Donc tu vois , s il faut commencer à bricoler avant de commencer pour que ce soit beau , c est que c est moyen comme système .
T as du rajouter la dernière phrase ou je ne l avais pas vu , on dit la même chose


Vw campersurfvan bmnk1q - Eugenol
enlaye

24/09/2021 à 08h18

Le pb de l emax c est que c est comme un aquarium .
Un aquarium quand il fait sombre et qu il est éclairé de l intérieur , tu ne vois pas la vitre , tu ne vois que le poisson .
C est le but .
Eh ben une emax dans l' ombre c est pareil , tu ne vois que l IC céramisé :-))


Nouveau image bitmap fz77zh - Eugenol
Sethef

24/09/2021 à 08h44

Tenons fibrés pour tout le monde, et 2 problèmes de moins.
Et par-dessus, comme les emax c'est chiant à coller, zircone quand même, mais pas full, n'exagérons rien.


--
_____________________
Dentiste décroissant.


Vw campersurfvan bmnk1q - Eugenol
enlaye

24/09/2021 à 08h53

Le tenon fibré ne t éclairci pas la racine noire .


Vw campersurfvan bmnk1q - Eugenol
enlaye

24/09/2021 à 08h57

Et puis sur des incisives du haut je lui fais mettre de la ceram uniquement en palatin :-) de la couleur qu il veut et si possible pas de la même couleur pour que je puisse suivre l usure .


Et7jtaj0pdi18gzjlxjiamlx15gs - Eugenol
Prunelles

24/09/2021 à 09h01

Je suis désolé, je vais salir le fil. Clairement la Zircone Aurident de Enlaye doit être beaucoup plus cher qu'une Emax pressée classique (sans cut back; ce qui la ferai basculer du RACO en antérieur vers une RACLibre). Hors l'une est facturable à 500€ (Emax) et l'autre à 440 (Zircone). Y'a comme une dilemme pour moi...


Hok 1b hgd3rj - Eugenol
Hokusai

24/09/2021 à 09h03

Et la chape zircone des CCC elle n est pas si opaque que ça...
Sur un IC ou une racine bien dyschromiee sans possibilité d éclaircissement, la CCM avec joint céramique dent est une bonne solution.

EnLaye, pourquoi ne pas valider la morphologie avant de lancer l usinage ?? Du style tu prends la main de l exocad de ton protho via TeamViewer ??

Et pourquoi pas acheter une cam et exocad et faire le design de toutes tes couronnes ? (Surtout si tu fais beaucoup de full zircone).


Vw campersurfvan bmnk1q - Eugenol
enlaye

24/09/2021 à 09h13

Je la paye dans les 90 je crois , c est pas énorme non plus .
Avant j avais un diamantaire .
Une fois je lui demande une Richmond A3.5 CCM pour un cmu . Je lui demande de me mettre un peu de marron pour maquiller pcq c est pas du A3.5 qu il m a donné mais du A3 .
Y me dit que c est une CMU , et alors , c est une CMU A3.5 il n' a pas le droit ?
Facturation : maquillage + tenon = 220
220 ? Conno , le tenon calibré calcinable c est moi qui te le fourni , aller vas te faire tâter .


Et7jtaj0pdi18gzjlxjiamlx15gs - Eugenol
Prunelles

24/09/2021 à 10h01

Sapristi... La zircone mutlicouches avec maquillage à 90€... C'est pô cher
J'ai quasiment abandonné le céramo-métal, sauf exception pour des bridges de 4 éléments ou plus. Ce qui est rare.


Vw campersurfvan bmnk1q - Eugenol
enlaye

24/09/2021 à 13h57

Hokusai écrivait:
-------
" Et la chape zircone des CCC elle n est pas si opaque que ça...
Sur un IC ou une racine bien dyschromiee sans possibilité d éclaircissement, la CCM avec joint céramique dent est une bonne solution."

suis pas d accord avec toi .
la ccm avec joint ceram ce n est plus trop d actualité .
tu es quand meme obligé de tailler infra,
l adaptation n est pas formidable donc il y aura un gencive pas belle
ensuite si tu n es pas infra tu vas apercevoir les limites en proximal

et puis surtout surtout le sertissage sur la dent est pourri :
il te fait une chappe de ccm comme d hab , cad qu il y a qu un sertissage périphérique et jusque là tout va bien
mais au moment de te bâtir la ceram , il va te niquer toute la limite vest + un peu les retours proxymaux . et ç est là que ça part en couilles , pcq la couronne commence à faire cling clong sur le modele .
comment veux tu , avec ce manque de stabilité que la ceram pas encore cuite sertisse ?
comment veux tu qu une fois la 1ere cuisson faite , cette ceram ne bouge plus (à la cuisson suivante ou meme au glaçage) puisqu' elle n est pas soutenue ?

donc à tailler infra pour pouvoir cacher la racine noire surtout si la gencive est transparente , le zircon est laaaargement assez opaque et au moins il a une precision de folie donc la cicatrisation sera parfaite .
et puis y a un truc aussi , ç est que la transparence de la galette du zircon n est pas homogène , il y a un gradient de translucidité , alors c est à toi de déterminer où tu vas positionner le fraisage de tes limites pour etre plus ou moins opaque .

donc pour résumer : comme la racine est noire , t es infra , comme t es infra tu mets le fil , et tant qu a faire à aider la cicatrisation et eviter la retraction gingivale apres la pose ben tant qu a faire tu mets du zircon .comme là par exemple .



 mg 2592 kb5tjz - Eugenol