Cookie Consent byPrivacyPolicies.com"pas d'oeufs félés chez Lustucru" - Eugenol

"pas d'oeufs félés chez Lustucru"

sosdébouche

07/10/2021 à 11h31

Bonjour à tous,
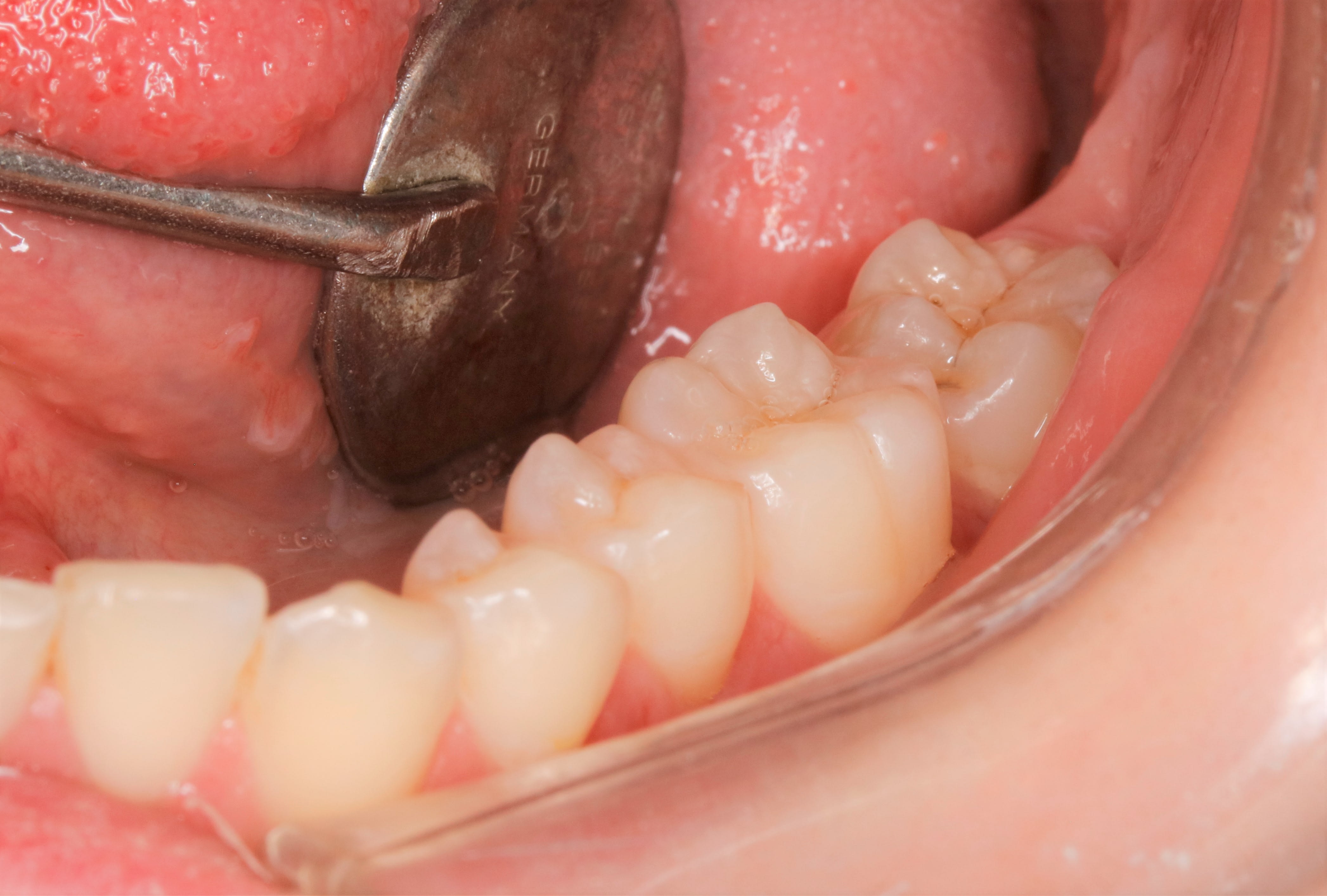
Pas d'oeufs félés chez Lustucru (pub connue chez les + de 50 ans !) mais chez mes patients , en ce moment, ça n'arrête pas !
En général la 1ere Molaire mandibulaire, avec ou sans ancienne restauration amalgame ou compo de super petit volume. Ou carrément indemne de toute restauration.
J'en ai min 1 par semaine depuis cet été.
Belles felures MD en général, direct davier pour certaines ou IRM en attente ou bio + coiffe .
Bizarre , non ?
Ce qui m'ennuie c'est la CAT quand l'extraction immédiate n,est pas décidée..
Votre expérience?


moritooth

07/10/2021 à 13h06

Et pourtant Docteur, je ne mangeais pas quelques chose de dur, c'était du fromage blanc !


sosdébouche

07/10/2021 à 13h32

Que dire de la durée de vie d’une couronne la dessus? Echec garanti ou pas ?
De même, début juillet patienté avec petites douleurs ,pas de fêlure visible . Je revois aujourd'hui la patiente qui a maintenant une belle nécrose,dent mobile mais pas fracturée. Vous faites l’endo + couronne ou extraction directe pour ne pas avoir dans 2 ans un os flingué pour la pose d’un implant?


moritooth

07/10/2021 à 14h02

Plus sérieusement, je constate aussi un recrudescence de ce genre de problème. J'ai l'impression d'en voir beaucoup sous des onlays céramique récents qui ne recouvrent pas les cuspides. C'est délicat, petite douleur larvée, le patient qui ne veut plus retourner chez le confrère qui lui a déjà dit 3 fois que ça allait passer, et toi qui n'a que la solution de tout dégager pour faire l'endo... la CAT c'est un peu du cas par cas...


Ylfwcw979cz1jnx9gfqeaxndiuzk - Eugenol
Algi

07/10/2021 à 14h48

Petit un la période est propice à ce genre de mésaventures.....
Vous avez remarqué que les gens sont pas très cool au menthol ces temps ci?

Du coup ils serrent les dents en attendant que ça passe et.... ça casse.

Çàt....

Fêlure... on peut se dire que si la coiffe fait le job du cerclage ça tiendra peut être.

Sinon.... sinon on extrait et implant et coiffe sur implant...

Qui sera aussi malmenée par le bruxisme ou le clenching.

Et en plus en ces temps de rac 0 ou modéré on peut imaginer que l'investissement est pas le même.

Du coup si une chance que ça tienne la route quelques années pour pas cher pourquoi ne pas tenter de conserver la dent?
Si le patient est prévenu et qu'on surveille régulièrement que ça parte pas en sucette....


--

On a toujours le choix mais entre quoi et quoi?
Vas-y boulégue et l'avenir te le dira!


rat

09/10/2021 à 18h52

comme Algi


Vw campersurfvan bmnk1q - Eugenol
enlaye

10/10/2021 à 10h55

moritooth écrivait:
---------
" J'ai l'impression d'en voir beaucoup sous des onlays céramique récents qui ne recouvrent pas les cuspides. "

Oui c est normal . Pcq l inlay ceram c est de la merde :-)
On peut détailler si tu veux .


mla3

10/10/2021 à 11h11

...On peut détailler si tu veux .... allez, 1) t'en meurs d 'envie 2) dans tes analyses y a toujours matière à remettre en question les dogmes, ça fait frétiller les neurones .


Ylfwcw979cz1jnx9gfqeaxndiuzk - Eugenol
Algi

10/10/2021 à 11h16


Pas mieux que le bon vieil or selon moi mais moche et cher.....

--

On a toujours le choix mais entre quoi et quoi?
Vas-y boulégue et l'avenir te le dira!


Oui
on a hâte qu'enlay(e)
nous conte
les comptes
des inlays
et onlays.

Et avant moins le 1/4 steuplé,
après on a un truc à faire.


mla3

10/10/2021 à 12h51

kestucroa PP..... ça prend du temps de debiter un gourdin -arguments

Gourdin nr5rcy - Eugenol

Ylfwcw979cz1jnx9gfqeaxndiuzk - Eugenol
Algi

10/10/2021 à 14h04



+1 avec j comme jambon.

Bonne soluce aussi et moins complexe à coller comilfo que la céram.

Oublions les onlays zircone.... ça casse comme la ceram et ça peut pas se coller... (et pourtant j'aime bien la zircone).
--

On a toujours le choix mais entre quoi et quoi?
Vas-y boulégue et l'avenir te le dira!


Ylfwcw979cz1jnx9gfqeaxndiuzk - Eugenol
Algi

10/10/2021 à 14h06

De toutes façons les labos qui bossent avec le bon vieil or yen a quasi plus....


--

On a toujours le choix mais entre quoi et quoi?
Vas-y boulégue et l'avenir te le dira!


mla3

10/10/2021 à 15h36

escagassé l'Enlaye ? té il nous calcule même plus!

Vexé kehcoe - Eugenol

Vw campersurfvan bmnk1q - Eugenol
enlaye

10/10/2021 à 22h45

voilà voilà j arrive les coullègues :-)
bon , d abord , je ne sais pas si vous avez remarqué , mais ç est souvent l avant dernière dent qui morfle .
c est rarement la 7 , c est la 6 , et s il n y a pas de 7 , c est plus souvent la 4 ou la 5 mais du haut .
ç est bizarre , non ? ben pas tellement , et ça ça veut dire une chose , qui confirme ce que je dis tout le temps , c est que très souvent le serrage n est pas centré mais excentré .
ce qui expliquerait pourquoi c est l avant dernière dent qui explose .
et c est ce qui est important pour pouvoir expliquer que l inlay ceram est un choix pipé dans la plupart des cas .


Vw campersurfvan bmnk1q - Eugenol
enlaye

10/10/2021 à 22h56

la 1ere chose , deja quand on dit inlay ceram , c est une escroc y a pas de ceram :-) enfin pas comme on l entend sur une ccc ou une ccm . c est du full . du full bien raide , du disilicate de patin coufin
qui sera très dur à régler en bouche .
la 2 eme chose , c est que donc l indication de l inlay full ne va pas .


Vw campersurfvan bmnk1q - Eugenol
enlaye

10/10/2021 à 23h12

la 6 ou la 7 sur laquelle on veut faire un inlay c est souvent la vieille dent dejà plombée ou compositée , qui ne fait pas mal , mais qui a un bord qui s est cassé , la plupart du temps en lingual en bas , ou alors il y a une reprise de carie proximale .
et comme elle est machinée depuis longtemps , la reconstitution est toute usée , plate , la dent antagoniste a égressé , et on y retrouve sur ces dents essentiellement des points de contacts vestibulaires . tellement vest , que la dent s est un peu couché en lingual . et sur la face occlusale , comme c est plat y a plus de calage à part un peut sur la pente de la cuspide linguale qui est devenue étroite et fine .


Vw campersurfvan bmnk1q - Eugenol
enlaye

10/10/2021 à 23h28

donc tu fais un inlay en full et il y a 2 possibilités :
* il est en sous occ et c est con , pcqu il va chercher le calage sur la 6 de l autre coté et serrer fort pour essayer de retrouver son calage des 2 cotés ( droite gauche ) y compris sur ton full
or les contacts vest sont tjs là et la cuspide palatine fine aussi et c est pas très bon pour le futur
ça sent l éclatement :-) .
* il est en sur occ , ou plutot avec un pt de conctact occlusal descentré , et tu ne le sais meme pas .
tu grattes un peu , mouais c est mieux mais tu t aperçois ( ou pas ) que ce point est très près de la limite de ta préparation et du coup tu n oses plus trop gratter . c etait l indication de l onlay . à deux doigts de la couronne :-)
et ça sent encore l éclatement :-)


Vw campersurfvan bmnk1q - Eugenol
enlaye

11/10/2021 à 10h01

sosdébouche écrivait:
-----------
" En général la 1ere Molaire mandibulaire,..... Bizarre , non ? "

non , normal si tu bosses vers chez moi , chez moi les d' jeunes sont tous comme ça :-)
on en parle de l ortho ou pas ? :-))
soit ils te l éclatent neuve , soit il y aura une carie distale trèèèès profonde , et dans ce cas on y fait un inlay ceram sur la crête distale ? :-)))

 mg 2657 maoyrk - Eugenol

mla3

11/10/2021 à 10h34

Enlaye "on en parle de l ortho ou pas ? :-))"

ouch... la trêve bientôt rompue ?

Ortho sym9jt - Eugenol

Bebe 038 nf8eum - Eugenol
danteyeah

11/10/2021 à 11h18

enlaye écrivait:
------
> sosdébouche écrivait:
> -----------
> " En général la 1ere Molaire mandibulaire,..... Bizarre , non ? "
>
> non , normal si tu bosses vers chez moi , chez moi les d' jeunes sont tous
> comme ça :-)
> on en parle de l ortho ou pas ? :-))
+10000....j'en peux plus des ortho du Sud, tous dans le même moule. Bon pour pas être emmerder par les 7 en rotation/version la solution est simple....avulsion ;-))))


Bebe 038 nf8eum - Eugenol
danteyeah

11/10/2021 à 11h27

Je radote, mais le RAC 0 est venu régler le problème: Inlay/Onlay compo pour tout le monde.
Un Inlay c'est comme une maison, il lui faut un toit ! Soit la dent résiduelle est assez costaud pour jouer ce rôle et une restauration directe devrait suffire, soit la dent résiduelle ne l'est pas et donc on remplace le dit toit, et donc cela ne peut plus être un Inlay, mais un Onlay, un Overlay ou bien souvent une CCC sur dent vitale, mais avec le RAC 0 et les dérives mutuelles "responsables" on ne réfléchi plus (Yobi l'a fait pour nous), et c'est plastoc pour tous et pis c'est tout !


mla3

11/10/2021 à 11h40

(Yobi l'a fait pour nous),
Enfin l'occasion de plaçer ça : attaque ad hominem.

c'est pas "yobi", c'est un syndicat avec donc une ligne approuvée par des adhérents,

maintenant la profession "individualissime "porte aussi une part de responsabilité dans ce glissement (avis perso)


Bebe 038 nf8eum - Eugenol
danteyeah

11/10/2021 à 11h52

Ouais je sais mais c'est plus marrant écrit comme ça ;-))


Zorba le grec 1373406512 108 lfk5ey - Eugenol
zorbalegrec

11/10/2021 à 13h16

Le point Godwin c'est quand toute discussion ramène vers le III reich
chez la plupart des nonoliens (le correcteur d'orthographe me corrige en mongoliens) ce point Godwin ramène vers les CDF
Vous avez 4 heures pour disserter


12