Cookie Consent byPrivacyPolicies.comAvis odf//extractions temporaires - Eugenol

Avis odf//extractions temporaires

Nouveau image bitmap fz77zh - Eugenol
Sethef

28/10/2021 à 15h59

Salut à tous.
J'ai un petit cas de conscience pour un jeune patient de 10 ans.

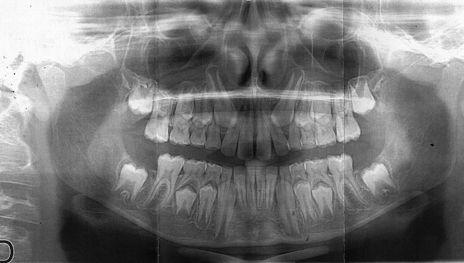
Le gamin a été envoyé il y a 2 ans chez mon odf préféré: à l'époque, classe II 1 avec interposition labiale, un activateur de croissance est actuellement en cours et doit être déposé dans 1 mois, un multibague est prévu en denture définitive.

Mon odf, cet homme si merveilleux, prend sa retraite prochainement; la suite semble assurée par une jeune consoeur que je connais peu à ce stade mais qui semble sérieuse.

La dite consoeur me demande de virer 53 63 "pour favoriser l'évolution de 13 23."


J'ai bien un avis sur la question mais j'aimerais avoir le votre.

A vot bon coeur...
--
_____________________
Dentiste décroissant.

W76gdlvunwwzjtrhnsqo - Eugenol

Je ne pense pas que cela va "favoriser l'évolution de 13 23" dans la mesure ou ça va en éventail de la 12 à la 22.
Et les ext de dt de lait demandées par l'ortho font chier tout le monde, le gamin, moi et mon banquier.
En général suffit d'attendre quelques mois et zou la souris, sauf en cas de gène vestibulaire ou linguale de la dent définitive, je fais plus chier les mômes.


Nouveau image bitmap fz77zh - Eugenol
Sethef

28/10/2021 à 16h21

Ca c'est ton avis, qui se trouve être sensiblement le même que le mien. Mais toi t'es omniprat, autant dire de la piétaille.

Ils en pensent quoi les orthos?


--
_____________________
Dentiste décroissant.


Ça pense pas un ortho, ça encaisse 😁😁

(Ouaiiiiiiis ! vais me faire de nouveaux amis)


Gabzou

28/10/2021 à 16h39

Je ne suis pas ortho, je me garderai bien de donner mon avis.
Je t'offre celui des Anglais:
https://www.nature.com/articles/sj.bdj.2012.726.pdf

Ils disent que c'est parfois intéressant, ils insistent sur l'intérêt de maintenir l'espace. Je te colle leur image, elle est sympa, est quasi similaire à la tienne!
La cochrane dit par contre qu'aucun essai clinique n'est convaincant, on a juste des études de pas super qualité.
L'un dans l'autre, çà ne me parait ni aberrant, ni menant à un succès garanti.

Capture d écran 2021 10 28 163724 yj5zms - Eugenol

mla3

28/10/2021 à 17h49

https://www.sop.asso.fr/uploads/annexe/pdf/5b8926d24a541_Rev_Odont_Stomat_2018_47_p291-315.pdf


Nouveau image bitmap fz77zh - Eugenol
Sethef

28/10/2021 à 19h06


Et comme un sketch, je reçois la même demande, d'une autre correspondante habituelle, dans la même journée, avec la même (absence d') indication à mes yeux.

Y'a eu une formation sur le sujet récemment en Rhône Alpes?
--
_____________________
Dentiste décroissant.


Nouveau image bitmap fz77zh - Eugenol
Sethef

28/10/2021 à 19h19

Mais je regarde un peu plus proprement la biblio ce we.


--
_____________________
Dentiste décroissant.


sexmo

28/10/2021 à 22h16

Bijour,

juste une avis d'ortho ... Suis les reco des omni ...
juste une petite plaque pal à vérin médian ou un simple QH et le tour est joué, puis du fonctionnel genre gouttière fonctionnel type Multi T ou qu'importe de chez qui et çà va le faire...
Bien joué les omni !
Mais toujours penser à Mainteneur d'espace !
(j'adore pervers Pépère!)

Sexmo (mou?!) je viellis


atrax

30/10/2021 à 08h36

Bonjour,
Je suis d'accord sur le fait de ne pas extraire les canines temporaires, en regard de leur inclinaison et de leur position je n'en vois pas l'intérêt.
Mais ce serait un demarage un peu compliqué pour la consoeur qui reprend le cabinet si tu refuses frontalement de les extraire. Un petit coup de telephone confraternel pour avoir son point de vue peut-être?


Photo pluton1b h9n4ea - Eugenol
pluton

30/10/2021 à 08h49

Si tu veux un avis d’omni qui fait de l’ortho depuis plus de 20ans….;-)))
Je ne touche à rien à ce stade….au plus une interception s’il y a indication (genre cauhepe et fieux et inversions articulé antérieur)
Pour le reste je laisse faire la croissance et bien souvent on a de bonnes surprises
Suis de moins en moins adepte des traitements précoces, peut être à contre courant des odf exclusifs…tiens, ça m’intéresse d’avoir leur avis sur ce point…


atrax

30/10/2021 à 09h04

Je suis qu'un étudiant en ortho, l'avis d'un généraliste qui travaille consciencieusement depuis plusieurs années aura toujours de la valeur pour moi. Je suis pas sectaire.
Pour les traitements précoces, desquels tu parles? Généralement, pour ne pas me fier uniquement à l'experience des praticiens qui varie en fonction qui on a en face de soit, je regarde sur pubmed.


Photo pluton1b h9n4ea - Eugenol
pluton

30/10/2021 à 09h15

Les précoces dont je parle ?
Du genre les grilles anti langue, les activateurs et tous ces appareils qui sont généralement très mal vécus et portés par les mômes…
Déjà 6 mois avec une plaque à vérin et ressort c’est parfois compliqué….


atrax

30/10/2021 à 09h28

Pour les class II, selon mes connaissances, il n'y pas de difference entre: 2 phases de traitements ( interceptifs + fixed appliances) Vs 1 phase: traitement ortho conventionnel. L'effect des traitements par activateur sur le long terme sont principalement Dento alvéolaire (même si certain praticiens m'affirment avoir observé d'énormes changements sur certain de leur patient, mon commentaire est donc à pondéré...). Selon une etude Cochrane, je crois qu'il est indiqué que les corrections précoces des class II sont réservés pour les patients avec haut risque de trauma ou les enfants qui souffrent de moquerie à l'école. Concernant les technique d'expansion précoces, je suis favorable aux traitements, sachant que la suture intermaxillaire s'ossifie assez tot, on ne peut pas avoir le même type de mouvement à l'adolescence, ou plus difficilement (MARPE). Si d'autres eugenoliens ont d'autres opinions, qu'ils n'hésitent pas à les partager.


Photo pluton1b h9n4ea - Eugenol
pluton

30/10/2021 à 09h46

Ça me conforte dans mes choix ce que tu dis….
Pourtant je vois trop de gamins avec des activateurs qui n’en peuvent plus, voir même des 8/9ans avec du multibagues juste équipés bagues sur les 6 et boîtiers sur les incisives….un non sens pour moi car ils plient forcément les fils
Et du coup quand ils sont aptes à recevoir un vrai multibagues, ils abandonnent car ils ont déjà de nombreux mois de ttm et ils en ont marre….


Dazic

30/10/2021 à 11h10

l'article de MLA3 confirme bonne indication d'extraction des canines de lait


atrax

30/10/2021 à 12h32

Pour aider au choix d’extraction je me referais d’avantage à cet article.
https://pubmed.ncbi.nlm.nih.gov/25700993/


Nouveau image bitmap fz77zh - Eugenol
Sethef

30/10/2021 à 12h32

Un peu en vrac à tout le monde:
-j'ai évidemment passé un coup de fil à la consoeur, espérant un argumentaire détaillé initiant une collaboration fructueuse. Je me suis heurté à "ben c'est marqué sur le courrier, c'est pour favoriser l'évolution des canines". Ah. Ben merci alors.

-Pour les interceptions, j'envoie les latéro-gnathies, et quelques cas particuliers dont ce jeune homme qui en avait marre de se bouffer la lèvre.

-Dans le cas présent, je ne vois aucun indice me laissant envisager un risque de futures canines incluses. Et il faut bien dire que la nature fait généralement bien les choses, que les dents tombent quand elles doivent tomber, et que j'en ai un peu marre du surtraitement sous toutes ses facettes.

-j'ai heureusement un contre argumentaire biblio, grâce à gabzou et mla, que je vais fouiller un peu plus mais qui ne me convainc pas à ce stade.


--
_____________________
Dentiste décroissant.


Carls

02/11/2021 à 23h09

Salut,
Je suis ortho et les indications d'extractions des canines temporaires sont indiquées dans ton cas et réduisent le risque d'inclusion des canines.
Pour les références de mémoire l'article est d'Ericson et Kurol et tu trouveras également les références dans le Profitt.
Plus tu attends et plus la superposition entre l'incisives latérale et la canine risque d'être important et plus il y a un risque d'inclusion, donc oui ton ortho a tout à fait raison.


Gabzou

03/11/2021 à 10h16

Sethef écrivait:

> -j'ai heureusement un contre argumentaire biblio, grâce à gabzou et mla, que je
> vais fouiller un peu plus mais qui ne me convainc pas à ce stade.
>
>
> --
> _____________________
> Dentiste décroissant.

L'article d'Atrax a l'air bien, il précise vraiment les situations potentiellement utiles; par contre il faut s'amuser à faire des mesures.


Nouveau image bitmap fz77zh - Eugenol
Sethef

18/03/2022 à 15h27

Deux retours amusants:
-premièrement, j'ai bien fait de faire trainer, la prat sus-évoquée a montré le cas à son associé, et m'a mis un petit mail pour me suggérer qu'il serait bon de sursoir, vu que finalement, ça évoluait pas si pire. Toujours ça de gagné.

-seconde histoire, je vois une petite de 8 ans en 2018, latérognathie/cauhepe-fieux, je l'envoie chez l'odf pour un coup de disjoncteur, ça se passe bien, ras.
18 mois plus tard, demande de l'odf de virer 53 63, je fais traîner, je dis que j'ai pas bien envie, et puis même avec le covid ça a tellement traîné que je la revois hier.
Surprise (non), tout a évolué comme il se doit, la gamine a 12 ans et un sourire parfait, l'odf veut y coller un multibague pour régler on ne sait quoi exactement.
Il s'est payé le luxe de culpabiliser un peu la mère, que quand même elle avait vachement de chance que les dents aient fini par pousser ailleurs que sur le front. Business is business...


Doagui

18/03/2022 à 18h20

J'interviens parce que ça m'ennuie franchement de lire ces sousentendus vaseux sans contradiction.

Le fait d'avoir eu de la chance et que la nature soit bonne fille sur ces coups-là ne veut pas dire que la décision de ne rien faire était la bonne. Des patients qui refusent d'extraire 53-63 quand je le leur demande et qui reviennent 2 ans plus tard avec des canines n'importe où, j'en ai aussi au cab et c'est pas joli joli à tous les coups. Ca fait aussi parfois des cas rendus inutilement plus compliqués, qui vont durer 1 an de plus et donc coûter bien plus cher aux parents et à la Sécu, sans parler des enfants qui vont subir de dégagement chirurgical bien désagréable puis de multiples séances de tractions souvent douloureuses.

Tout ça peut être évité dans une bonne partie des cas en faisant extraire 53 et 63, ce qui ne coûte rien ou presque et ne représente qu'une intervention très légère, sans commune mesure avec les emmerdes du traitement des éventuelles canines incluses.

Alors oui, parfois ça se passe bien sans rien faire. Mais la balance bénéfice/risque pour l'enfant et les parents penche CLAIREMENT vers l'avulsion de 53-63 dans ces cas-là, ne serait-ce que si ça permet d'éviter toutes ces emmerdes à 1 patient sur 5 ou même sur 10.

La vérité c'est que l'ortho a tout intérêt à laisser 13 et 23 s'inclure : ça lui fera un traitement bien plus cher et hyper facile à "vendre" aux parents. il ne gagne rien du tout sur l'extraction de 53-63 qui va probablement raccourcir le traitement futur voire l'éviter complètement.

Ca me fait donc assez chier de lire ces sousentendus du type 'business is business", parce que franchement c'est juste con et basé sur rien du tout.

Si vous ne voulez pas extraire (et c'est bien votre droit après tout), bah vous prévenez juste l'ortho de ne plus vous adresser ces cas-là et de les envoyer vers le stomato du coin.


Nouveau image bitmap fz77zh - Eugenol
Sethef

18/03/2022 à 20h00

Je te réponds un peu plus complètement après. Néanmoins, ton avis m'intéresse: tu as besoin de quoi comme docs pour déterminer si le bénéfice/risque de l'extraction des temporaires est valable?
Téléradio, modèles, pano, autres?


Avatar transparent iqadnc - Eugenol
adhoc

19/03/2022 à 12h23

Il faut reconnaitre, doagui, que les extractions sont tres tres mal payées, qu'on n'a plus aucune motivation et c'est tout. Et qu'en plus les stomatos commencent a refuser aussi ce genre d'acte.
Pour le cas p^lus haut, il est sur que l'axe des 4 canines est defavorable, qu'on ne sait pas s'il y a une ddm et que toute facon il faut intervenir orthondiquement.
Il va vraiment falloir que les orthos fassent ces extractions eux meme pour equilibrer un peu les chiffres d'affaire.
Les socialos nous ont bloqué les tarifs , la prothese a été terriblement baissée, il faut faire de l'abattage a la zircone pour s'en sortir si le praticien ne faity pas implanto/parO/ortho.
Ca va mal, soyons realistes


Hok 1b hgd3rj - Eugenol
Hokusai

19/03/2022 à 12h36

Sethef écrivait:
------
> . Business is business...

L odf business school.
Vivement le rac0 odf ;)