Cookie Consent byPrivacyPolicies.comConduite a tenir pour une usure occlusale molaire - Eugenol

Conduite a tenir pour une usure occlusale molaire

Squirell g6yuwa - Eugenol
La_noisette

19/01/2022 à 14h39

Bonjour à tous,
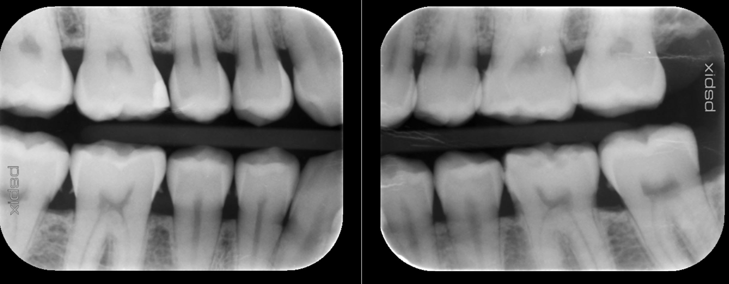
Que proposer à mon patient de 31 ans, pratique sportive régulière (juste de l'eau, rarement du sucre), non fumeur, avec une usure assez marquée des molaires (a priori je dirai des usures d'origine chimique associée à du bruxisme) dont je vous joins ici les photos.
Les molaires étaient sensibles il y a quelques mois à l'alimentation, mais depuis la fluoration et l'utilisation de dentifrice adapté (Mirasensitive HAP+), les sensibilités apparaissent uniquement lorsque j'utilise une sonde exploratrice sur la face occlusale.
Les usures évoluent sensiblement d'année en année (suivi photo).

Il a consulté un gastro entérologue, qui n'a trouvé aucune anomalie provoquée par une RGO.

Je pense continuer avec une gouttière occlusale, car il me rapporte avoir des contractures musculaires au réveil.

Bien Cordialement


Squirell g6yuwa - Eugenol
La_noisette

19/01/2022 à 14h40

Je vous joins les photos

E54p4knzmywn8aecjy3wyqhw9li4 - Eugenol
Qjxjux4tko2u5l0i8oz2k3nvxsiz - Eugenol

Ylfwcw979cz1jnx9gfqeaxndiuzk - Eugenol
Algi

19/01/2022 à 14h45

Travail de fond sur l'origine des serrements..... 15 écoles contradictoires.... ou gouttière "pare choc" thermoformée toute conne histoire qu'il bouffe icelle et plus ses dents.....


--

On a toujours le choix mais entre quoi et quoi?
Vas-y boulégue et l'avenir te le dira!


Et7jtaj0pdi18gzjlxjiamlx15gs - Eugenol
Prunelles

19/01/2022 à 14h46

Je crois que tu as fait le maximum en terme de prévention.
Si il fallait aller plus loin, on pourrait envisager la restauration des tissus perdus par usure, mais faudrait faire une étude occlusale avant.


Ylfwcw979cz1jnx9gfqeaxndiuzk - Eugenol
Algi

19/01/2022 à 15h20

Restau des usures voudrait dire rehausser toute les faces oclusales ou bousiller les dents déjà usées pour faire de la place...

Une photo en occlusion?


--

On a toujours le choix mais entre quoi et quoi?
Vas-y boulégue et l'avenir te le dira!


Et7jtaj0pdi18gzjlxjiamlx15gs - Eugenol
Prunelles

19/01/2022 à 15h46

Je viens de voir les photos. A ce stade d'usure, je resterais sur du préventif pur.


eugeneol

19/01/2022 à 15h57

La_noisette écrivait:
31 ans, pratique sportive régulière (juste de l'eau, rarement du sucre), non fumeur....

et tu t'étonnes qu'il bruxe ...


Squirell g6yuwa - Eugenol
La_noisette

19/01/2022 à 17h08

J'ai modifié les photos, j'avais posté 2x la machoire supérieure, mais pas l'inférieure qui est plus usée, nott sur 36. J'en rajoute un peu en voila dautres.
Pour moi j'étais certain du diagno de RGO, vu les faces occlusales, et vu les faces incisales des 42 à 32.

5q5v8b24cr57atsjjew3air0pddf - Eugenol
Aggjijbhizclk2g8un6efqjpq8xb - Eugenol

Squirell g6yuwa - Eugenol
La_noisette

19/01/2022 à 17h09

Désolé Algi, je vous ai donné tout ce que j'ai d'intéressant


Vw campersurfvan bmnk1q - Eugenol
enlaye

19/01/2022 à 18h07

Files lui une bombasse de 16/20 , pas vaccinée comme ça ça lui coûtera pas un franc , et terminé le bruxisme .


Squirell g6yuwa - Eugenol
La_noisette

20/01/2022 à 10h55

Autant enlaye poste depuis pas mal de temps, je cerne un peu le personnage, et j'encaisse son humour graveleux.
Autant M. Propre tu as créé ton profil il y a 10minutes pour écrire de la merde littéralement. Vas y présente toi qu'on te connaisse un peu plus.

Inscription : 20/01/2022 à 10h43
Dernière connexion : 20/01/2022 à 10h44
Messages postés : 1


Et7jtaj0pdi18gzjlxjiamlx15gs - Eugenol
Prunelles

20/01/2022 à 11h00

La_noisette écrivait:
-----------
> Autant M. Propre tu as créé ton profil il y a 10minutes pour écrire de la merde littéralement. Vas y présente toi qu'on te connaisse un peu plus.

C'est notre ami Junior. L'éternel banni comme ils disent ici. Faut pas trop en parler sinon tu risques de te faire modérer...


Vw campersurfvan bmnk1q - Eugenol
enlaye

20/01/2022 à 11h24

La_noisette écrivait:
-----------
" Autant enlaye poste depuis pas mal de temps, je cerne un peu le personnage, et j'encaisse son humour graveleux. "

:-)) tu m étonnes , je fréquente PP depuis la 1ere année , ç est à cause de lui , ce petit salopard , ...ou le contraire :-)
sinon pour revenir à ton cas , je maintiens mon diag , regardes :
- 30 ans , les dents sont WW , donc ce n est pas iatrogène
- y boit que de l eau , fume pas ,et y fait un max de sport y a rien là ? manifestement il a peur de la mort et il a tout à prouver pour essayer de trouver la sérénité qui met du temps à arriver .
et à 30ans , c est quoi ton souci ? c est le pognon et les gonzesses et ce qui est la meme chose , l un amenant l autre . autrement dit , c est ce qu on appelle le stress .


eugeneol

20/01/2022 à 12h17

c'est ce que j'avais dit...moins scientifiquement peut être mais les diag se rejoignent( sauf pour le pognon et les gonzesses)...quant au traitement...dès qu'il y a une composante psy je fuis.


Bebe 038 nf8eum - Eugenol
danteyeah

20/01/2022 à 12h43

Pas de composante acide sur ces images, ton patient n'a pas de reflux gastrique. C'est juste une "Grande Bouche" comme y'en beaucoup dans mon coin...grand diseur petit faiseur, ces types là serrent les dents toute la sainte journées de peur que l'on découvre qu'ils n'ont rien d'exceptionnel.....La gouttière ??? sert à rien ! Fais lui un devis de 3 Step bien salé ça lui ouvrira peut être les yeux ou le stressera encore plus qui sait. Quoiqu'il en soit un jour il y aura des frais !!!


La_noisette écrivait:
-----------
> Autant enlaye poste depuis pas mal de temps, je cerne un peu le personnage, et
> j'encaisse son humour graveleux.

C'est vrai qu'il est gras l'Enlaye, mais pas trop veleux quand même.


Orezza gazeuse verre litre ocoxey - Eugenol
casa

20/01/2022 à 13h06

Marrant j'ai eu le même cas ce matin , jeune fille 22 ans par contre traitement ortho impec ,sauf l'occlusion , la cata . C'est joli , bien aligné mais par contre les 6 et 7 vont bcp souffrir ....Et on dit quoi ?


Bebe 038 nf8eum - Eugenol
danteyeah

20/01/2022 à 13h11

casa écrivait:
----
> Marrant j'ai eu le même cas ce matin , jeune fille 22 ans par contre traitement
> ortho impec ,sauf l'occlusion , la cata . C'est joli , bien aligné mais par
> contre les 6 et 7 vont bcp souffrir ....Et on dit quoi ?

On dit rien tant qu'on a pas l'anamnèse otho complète : classe d'angle, âge du traitement , type d'expansion, rapidité du traitement etc... Et seulement après on avise et on adresse si nécessaire (composante non dentaire).
D'ailleurs si t'as bien lu la genèse selon Enlaye, t'aura compris qu'on y touche surtout si y'a de l'iatrogène.......et l'ORTHO c'est souvent iatrogène. donc c'est là qu'on cherche en premier!



On dit qu'on connait un sportif sucroalcoolotabaccophobe hydrophile et ça matcherait bien entre eux.


Orezza gazeuse verre litre ocoxey - Eugenol
casa

20/01/2022 à 13h19

traitement très jeune , ça je sais .. sinon j'ai rien dit mais les 6 étaient déjà bien usées .. grande bouche aussi donc oui PP ça peut matcher ....


Tabacophobe

20/01/2022 à 18h51

Bonjour à tous,

Pas besoin de me présenter, vous trouverez un joli portrait de moi un peu plus haut dressé par quelques baufs à blouse blanche.

Moi qui pensais qu'un Bac +6 permettait d'élever les consciences... on en apprend chaque jour me direz vous!

Merci Docteur Danteyeah, de m'ouvrir les yeux sur une minorité (j'espère) de dentiste plus attaché à la caisse enregistreuse qu'aux soins et au bien-être de sa patientèle. Celui là est prêt à  vous refiler les threestep les plus salés de sa boutique en guise de traitement psychologique. Qu'il est drôle et surtout quel professionnalisme bravo.

Je constate par ailleurs que les bas fonds des réseaux sociaux ont infiltrés les forums de profession respectable.

Je vous rappelle que la condescendance n'a jamais fait partie du serment d'Hippocrate.

Bien à vous

Le tabacophobe


Bebe 038 nf8eum - Eugenol
danteyeah

20/01/2022 à 19h34

Tabacophobe écrivait:
-----------
> Bonjour à tous,
>
> Pas besoin de me présenter, vous trouverez un joli portrait de moi un peu plus
> haut dressé par quelques baufs à blouse blanche.
>
> Moi qui pensais qu'un Bac +6 permettait d'élever les consciences... on en
> apprend chaque jour me direz vous!
>
> Merci Docteur Danteyeah, de m'ouvrir les yeux sur une minorité (j'espère) de
> dentiste plus attaché à la caisse enregistreuse qu'aux soins et au bien-être de
> sa patientèle. Celui là est prêt à  vous refiler les threestep les plus salés de
> sa boutique en guise de traitement psychologique. Qu'il est drôle et surtout
> quel professionnalisme bravo.
>
> Je constate par ailleurs que les bas fonds des réseaux sociaux ont infiltrés les
> forums de profession respectable.
>
> Je vous rappelle que la condescendance n'a jamais fait partie du serment
> d'Hippocrate.
>
> Bien à vous
>
> Le tabacophobe

Merci de confirmer mon pré sentiment. Le plus marrant c'est le prévisible, donc non aujourd'hui vous n'êtes pas candidat au traitement du Dr Vailati. Et si vous preniez le temps de chercher à comprendre comment fonctionne le forum (on lance quelques pics pour voir qui réagi et comment) et le pourquoi de la tournure de certaine phrase ou intervention , cela vous permettrai une lecture plus apaisée de ce sujet, et pouvoir le cas échéant y trouver des réponses. Et non mon intervention n'est ni gratuite ni humoristique, elle est là pour faire réagir et voir si il y aura confrontation d'idée, le Forum étant d'une platitude clinique étonnante depuis qu'on ai tous changé de métier il y a 2 ans (Virologue), faut ça au minimum. Quoiqu'il en soit ce n'est pas vous qui êtes le sujet de ce fil mais la situation clinique, donc il est peu probable que votre intervention puisse aidé en la compréhension de la prise en charge de ce type de situation. Il y a ici des intervenants avec un bagage clinique de qualité et des idées non arrêtées sur l'évolution des traitements et la vision "Mainstream" des "influenceurs" de notre profession et certains ne vont pas apprécier les élucubrations érigées en dogme des défenseurs de la remonté de DVO à tout crain, et c'est bien vers là que va dévier le fil à tout les coups.
Alors si vous avez envie de voir où ce fil peut mener je vous conseil de ne rien prendre au 1er degré et de garder un brin d'humour.


6szjws718sv1jksw54v4mpj3a6cu - Eugenol
vulpi

20/01/2022 à 20h13

enlaye écrivait:
------
> La_noisette écrivait:
> -----------
> " Autant enlaye poste depuis pas mal de temps, je cerne un peu le personnage, et
> j'encaisse son humour graveleux. "
>
> :-)) tu m étonnes , je fréquente PP depuis la 1ere année , ç est à cause de lui
> , ce petit salopard , ...ou le contraire :-)
> sinon pour revenir à ton cas , je maintiens mon diag , regardes :
> - 30 ans , les dents sont WW , donc ce n est pas iatrogène
> - y boit que de l eau , fume pas ,et y fait un max de sport y a rien là ?
> manifestement il a peur de la mort et il a tout à prouver pour essayer de
> trouver la sérénité qui met du temps à arriver .
> et à 30ans , c est quoi ton souci ? c est le pognon et les gonzesses et ce
> qui est la meme chose , l un amenant l autre . autrement dit , c est ce qu on
> appelle le stress .

Ah... Les"gonzesses" c'est zéro stress ?


6szjws718sv1jksw54v4mpj3a6cu - Eugenol
vulpi

20/01/2022 à 20h23

Pas de courbes, pas de désocclusion molaire, + un petit terrain et zou !!!
Pratique sportive ça veut rien dire, un jogger à la bouche ouverte, un culturiste serre les dents, un cycliste se tape des gels entre autres 😁
En bon bobologue je ferai, comme Algi, une gouttière thermoformée.


6szjws718sv1jksw54v4mpj3a6cu - Eugenol
vulpi

20/01/2022 à 20h34

.


12