Cookie Consent byPrivacyPolicies.competit tuto centrée . - Eugenol
Vw campersurfvan bmnk1q - Eugenol
enlaye

07/02/2022 à 19h42

bonsoir les collègues .
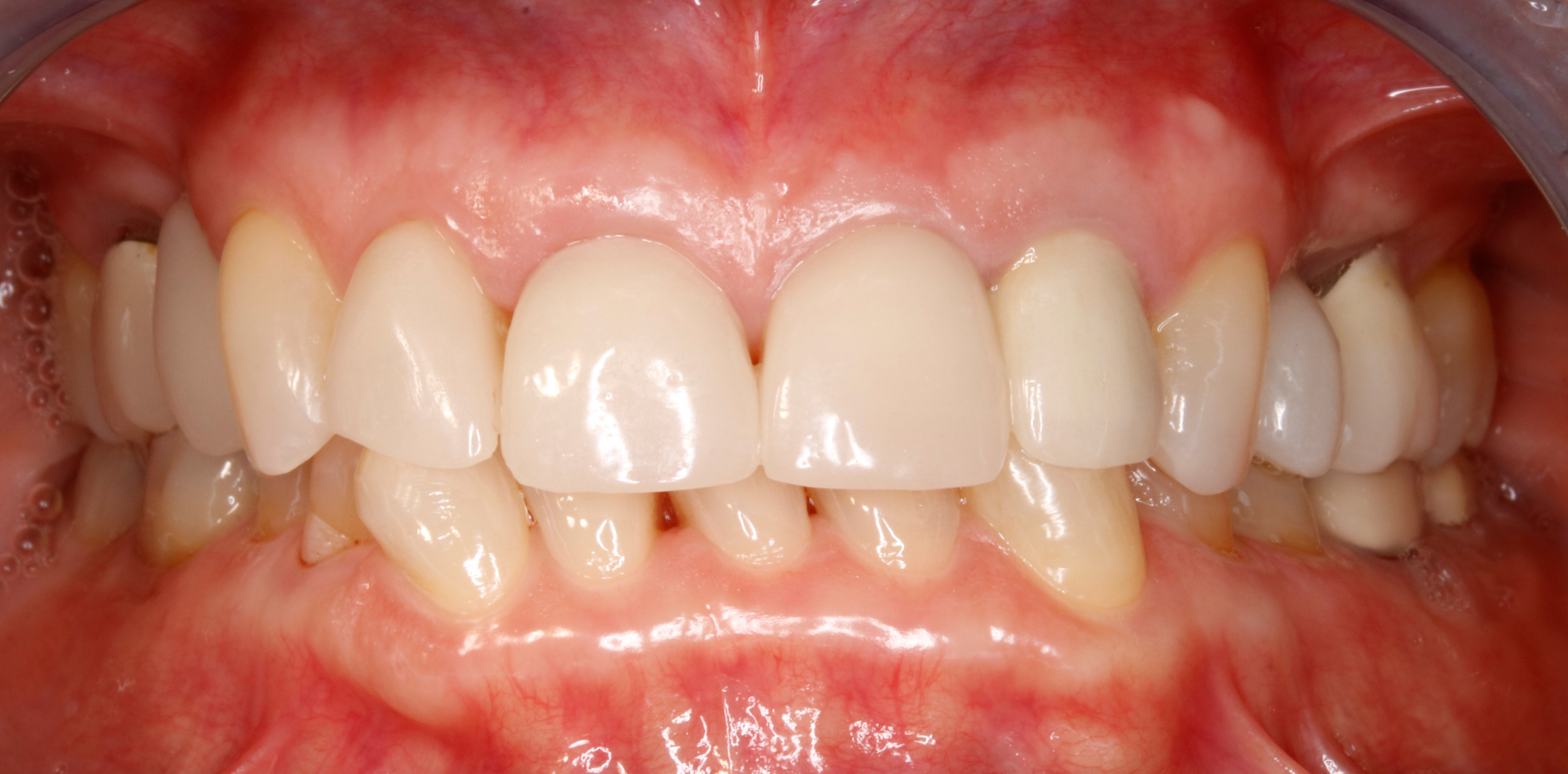
- celle là elle passe son temps à décoller sa facette 12 , qui doit avoir 5 ou 6 ans , et tu sais comme ç est , à force de coller et de recoller , dessous c est tout pourri .
- perso je ne lui ai fait que sa couronne implantaire en 24 ( la moche ) .
- elle se plaint de serrer les dents la nuit .
- elle se plaint aussi de ne pas trouver un homme assez efficace en rapport à son standing .



8rzbl286428n2xdo9s5n1kxtz8i0 - Eugenol

Vw campersurfvan bmnk1q - Eugenol
enlaye

07/02/2022 à 19h51

donc elle compte sur moi pour lui faire un truc joli et durable sur sa 12 . et c est là que les ennuis commencent .

Es4oe1erqjsagd48ybg4kbf5dk1u - Eugenol
67vrvmn0zb9b7njkqckwb3s5aggc - Eugenol

Vw campersurfvan bmnk1q - Eugenol
enlaye

07/02/2022 à 19h55

obligé de couper la photo , pcq je l ai trop grosse soit disant
photo inversée par le miroir

Nwq0yczd1jm6t4sdxhyioaqfprzq - Eugenol
Fjmwx4zjc611clvtwi0aoxut7bky - Eugenol

Vw campersurfvan bmnk1q - Eugenol
enlaye

07/02/2022 à 20h05

celui ou celle qui aurait quelque chose à dire serait le bienvenu , plus on est plus on rigole .


Orezza gazeuse verre litre ocoxey - Eugenol
casa

07/02/2022 à 20h49

Ben , elle penche à droite mais use à gauche ....34 35 usées , 24 implant pcq la 24 a lachée . Pourquoi ? ben j'en sais rien . Elle a la tronche en biais ?


blaise2583

07/02/2022 à 20h56

enlaye écrivait:
------
> celui ou celle qui aurait quelque chose à dire serait le bienvenu , plus on est
> plus on rigole .
La 43 sort d une courbe ideale je lui ferais une prov avec taille complete sur 12 et reproduire l usure cervicale comme sur 11 et 21 et ce qui a ete deja retouché en pal de 22...
Et je lui ferais ruminer comme une vache en digestion a gauche a droite en avant ... pour éliminer les interférences et valider la tenue de ta prov
Si c est ok tu demandes au labo exactement la même forme
mais si tu ne retouches pas la 43 et qu elle balade sa mâchoire en bruxisme lateral tu n auras surement pas trop le choix de la forme de la definive de 12... peut etre pas top
c est un compromis entre esthétique et fonction parafonction enfin c est ce que je ferais


6szjws718sv1jksw54v4mpj3a6cu - Eugenol
vulpi

07/02/2022 à 21h07

Quel âge a ta patiente ?
Pourquoi on lui a volé des PM sup ?
Il faut lui dire d'arrêter de décapsuler les canettes avec les incisives.


casa écrivait:
----
> Ben , elle penche à droite mais use à gauche ....34 35 usées , 24 implant pcq la
> 24 a lachée . Pourquoi ? ben j'en sais rien . Elle a la tronche en biais ?

Elle penche à droite car il manque la 42

Sinon elle est vaccinée ou pas ?

Naaaaaaaaaan j'déconne !


Orezza gazeuse verre litre ocoxey - Eugenol
casa

07/02/2022 à 21h26

hahaha bien vu ... ou 41 ....Alors pitetre qu'elle a pris l'habitude d'utiliser son coté gauche parce que justement elle économisait son incisive branlante .... de toute façon , c'est souvent comme ça , les patients protègent toujours le coté défaillant . je sens que,le patron va nous raconter encore une belle histoire !


Vw campersurfvan bmnk1q - Eugenol
enlaye

07/02/2022 à 21h45

Sympas d être venu causer :-)
Comme d hab , chacun a donné un élément du puzzle , j aime .
Il manque un petit peu , alors on va attendre une autre une âme inspirée qui pourrait se mêler .


Les prémo inf sont trop lingualées,
encore une victime de l'ortho ... ou alors a pas eu sa 3ème dose 😁😁



Jf35

07/02/2022 à 22h44

Refaire le bloc 12 à 22 en solidarisant 2/2.
Retoucher le bloc bas pour avoir de l’épaisseur sur les céramiques.
Je suis prêt à parier que les canaux sont loin et donc il faudrait travailler sur dent vivante .
+ gouttière contre bruxisme statique
pour protéger l’implant.
Et inscription à Tinder.


Photo pluton1b h9n4ea - Eugenol
pluton

07/02/2022 à 23h14

Le calage post est merdique en particulier secteurs 2 et 3 donc 26/27 et 36/37
Ça forme une marche quelle veut virer donc mode meule avant arrière sur ce côté et dans le mouvement la 12 dégage
Bilan, tu refais comme il faut ces 4 couronnes pour remettre comme il faut les courbes et le problème est grandement géré

J’ai bon chef?


Orezza gazeuse verre litre ocoxey - Eugenol
casa

07/02/2022 à 23h17

A bâbord , toute !


Vw campersurfvan bmnk1q - Eugenol
enlaye

08/02/2022 à 00h04

vulpi écrivait:
-----
" Quel âge a ta patiente ? "
ah ca , c est une bonne question pour débuter .
à première vue comme ça c est dur à dire : un 36 avec un bon coup de hache , nichonnée hydrocarbure , tirée de partout , bouche à pipe de synthèse et quand elle te tend la carte vitale et que tu vois les mains , heuuu un poulet . tu vois des pattes de poulet ? pareil .
avec la carte , ç est tueur , 70 , ça pardonne pas .
donc pour résumer , demandeuse d esthétique .



Vw campersurfvan bmnk1q - Eugenol
enlaye

08/02/2022 à 00h30

bon , comme vous avez tous un peu raison , j en suis impressionné et content , mais d un point de vue didactique pour les autres , on va commencer par le début , et l ' on va considérer à l heure qu il est que l' on ne sait pas encore quoi faire , ce qui est un peu vrai .
j y vois une supraclusion , de l usure , un passif orthodontique par l absence de PM , une asymétrie des incisives du bas , un sur guidage ant , bref que cette occlusion d aujourd'hui , n est certainement pas celle d'hier et qu il y a bien eu une dérive latérale .
ce qui ne m arrange pas , pcq je n ai pas de place pour faire une couronne sur 12 , la facette n étant plus possible .
donc il va me falloir soit reculer la mand ce qui est impossible ici , soit augmenter la hauteur .
la ceram de molaire ( tres récente ) est déjà percée , la 22 est déjà sur le métal , on va donc partir sur un diagnostic de surélévation pour remettre à l initial .


Vw campersurfvan bmnk1q - Eugenol
enlaye

08/02/2022 à 00h42

la moindre des choses , ce serait d enregistrer la fermeture , mais à une hauteur plus haute , pour voir comme ce serait , si c était plus ouvert . cad de faire un enregistrement sans contact dento- dentaire .
comme ça , si les dents venaient à causer une latero deviation , là au moins on en aurait le cœur net .
eh bien , cette enregistrement , ce n est ni plus ni moins que la centrée . une RIM sans les dents en quelque sorte .


Vw campersurfvan bmnk1q - Eugenol
enlaye

08/02/2022 à 07h59

donc pour pouvoir faire cela il y a 2 étapes distinctes :
1- pouvoir lui remuer le menton afin que le mouvement d ouverture /fermeture soit le plus souple possible et que ce mvt soit réitérable
2- pouvoir enregistrer une des positions mandibulaire de ce mouvement . si possible au plus près de la fermeture . et bien sur sans aucun contact dentaire .


Et7jtaj0pdi18gzjlxjiamlx15gs - Eugenol
Prunelles

08/02/2022 à 08h01

Elle a 70 ans ou elle est née en 1970 ?

enlaye écrivait:
------
> elle se plaint aussi de ne pas trouver un homme assez efficace en rapport à son standing.

Je me pose la question parce que suivant la réponse, je suis pas certain qu’elle trouve son bonheur sur Tinder. Faudrait plus lui conseiller une agence matrimoniale pour trouver un Prince Arabe ou un Oligarque Russe.


Vw campersurfvan bmnk1q - Eugenol
enlaye

08/02/2022 à 08h21

elle a 70 ans et elle rêve d aller de se faire tentater sur l' ile pcq elle le vaut bien .
Pour ça qu elle ne veut plus perdre sa latérale , trop peur de s attirer le capitaine crochet .


bouboule

08/02/2022 à 08h55

Elle vient pour une 12…. Ça va être compliqué de la faire ressortir avec autre chose que la totale… ou alors faut qu’elle signe pour une 12 en Contrat court


Avatar transparent iqadnc - Eugenol
adhoc

08/02/2022 à 09h26

70 ans... A trop vouloir....bref...
"Gouttiere de nuit type Invisalign pour protéger le matos et zou, au revoir madame, revenez si la gouttiere vous blesse , on en refera une autre dans 2 ans car il y aura de l'usure. Au revoir madame."


6szjws718sv1jksw54v4mpj3a6cu - Eugenol
vulpi

08/02/2022 à 10h02

adhoc écrivait:
-----
> 70 ans... A trop vouloir....bref...
> "Gouttiere de nuit type Invisalign pour protéger le matos et zou, au revoir
> madame, revenez si la gouttiere vous blesse , on en refera une autre dans 2 ans
> car il y aura de l'usure. Au revoir madame."

Même avis.


Bah non, le varois tient Mamie Botox Pleindefric et va pas lacher l'affaire et se contenter d'une gouttière, l'est même cap' de refaire la devanture de Kiki, le yorkshire.


Pubg2 rjl8jc - Eugenol
lemondestvaste

08/02/2022 à 10h40

Pour moi le problème de la 12 vient aussi de l absence d une incisive mandibulaire. Cela induit une distance inter canine plus petite. Donc la pointe canine se retrouve mesialée par rapport à sa position idéale. Donc elle use a bloc les angle D de son bord libre des incisives latérales maxillaires. Pas de bol c est moche. Su coup elle veut des dents plus longues / plus belles/ mais sans tenir compte de son schéma global de mastication. Du coup ça pète.

Pk7fisy8n4f10egx5izn0mychafe - Eugenol
Ig3avjuas9b9a2rskawn55nkel5z - Eugenol