Cookie Consent byPrivacyPolicies.comComme un doute - Eugenol

Comme un doute

Vw campersurfvan bmnk1q - Eugenol
enlaye

04/03/2022 à 19h39

:-)))
donc on a bien compris qu il suffisait d' un tres leger mvt pour aider la lubrification mais par contre qu il fallait qu il soit presque permanent .
sachant bien entendu que lorsque je suis fermé à fond en arriere , le disque est esquiché comme une éponge ( la fameuse compression s il y a une perte de calage post ) et que lorsque j avance un poil l atm avance ET descend , et que donc il est moins comprimé .
c est tout l interet du decalage entre OIM / ORC .

bon ok , alors je pose ça là

Lqvg2gu37si66vxuwqhjvci1twwt - Eugenol

Vw campersurfvan bmnk1q - Eugenol
enlaye

04/03/2022 à 20h07

la crete marginale saillante de 47 verrouille à mort l avancée mand lors qu il y a serrage ou meme en fermeture . il y a meme une tendance à à la rétropulsion .
ce qui est d'ailleurs d autant plus gênant que c est dissymétrique droite / gauche .
alors comme je ne peux aller en avant facilement en glissant ( sauf si j ouvre la bouche , ce qui mobilise beaucoup de muscles ) je vais serrer sur ce coté pour essayer d ecraser cette gene en me calant en avant .
en effet , comme je ne peux pas aller en avant , par la deviation induite de la crete je suis obligé de me decaler en vest de 44/45 ce qui m arrange pcq ça me monte un peu la dvo , ce qui me permet ainsi de me me soulager de la butée de la crete marginale de 47 et comme ca de là , je peux aller où je veux avec le moindre effort . enfin , où je veux , c est surtout en avant , tjs pareil , quoi .
seulement à force , 44/45 ont tendance à rentrer et à avancer , et du coup ça pousse la 43 .
la 43 n aillant plus sa place , elle se vestibulise .
et du coup le pb augmente , pcq pas assez que je suis bloqué au niveau de l axe charniere par la 47 , maintenant c est la 43 qui me fait caguer en me créant un sur contact ant .
surcontact + poussée de la mand vers la gauche .
et au final l arcade du bas se cintre au niveau des pm .
le cuspide / fosse est bien niqué et l inconfort à droite devient trop important .
alors comme on dit chez nous , hé mon vier madame Olivier.... , je me casse d ici .
donc comme endroit pour eviter le plus possible ma gêne , il n y en pas 36 , c est au plus loin de la 47 , et cet endroit c est au niveau de la 22 .
voilà l histoire .:-)

8cf0igd1tde54lcllinwlpqlo50o - Eugenol

Vw campersurfvan bmnk1q - Eugenol
enlaye

05/03/2022 à 08h15

ho ho les collègues , vous dormez ou quoi ?
j ai l impression de venir vous raconter une histoire de fée le soir pour vous coucher :-)
pas un petit commentaire ? rien ? égotistes :-)


enlaye écrivait:
------
> ho ho les collègues , vous dormez ou quoi ?

Ah ben quand c'est aïoli, c'est aïoli hein
et nonol en ce moment ... ben c'est nonol en ce moment 😥

Et sinon pour résumer, quand t'as un pète sur la 12, tu checkes côté 30 et pour 22, côté 40
et la soluce c'est adoucir la crête trop haute, la niveler pour faciliter le glissement ?

J'ai bon ?
Je reviens en 2ème semaine ?
Il reste encore de l'aïoli ?


Vw campersurfvan bmnk1q - Eugenol
enlaye

05/03/2022 à 09h33

ℙ𝕖𝕣𝕧𝕖𝕣𝕤 ℙé𝕡è𝕣𝕖 écrivait:
--------------
" Et sinon pour résumer, quand t'as un pète sur la 12, tu checkes côté 30 et pour 22, côté 40 "
voila .
sans oublier toute fois que le pb final qui se voit sur une 12 ou bien 22 est tjs la conséquence de 2 pb consécutifs .jamais un seul .
- 1 / il y a une cause initiale c est le 1 er pb
-2 / qui impose une position adaptative , et cette positon adaptative crée le 2eme pb ( par usure ou déplacement dentaire etc etc ..)
- 3 / il n y a plus d adaptation possible du meme coté que la cause initiale , et on cherche alors un nouveau calage vierge du coté opposé .


Vw campersurfvan bmnk1q - Eugenol
enlaye

05/03/2022 à 09h38

ℙ𝕖𝕣𝕧𝕖𝕣𝕤 ℙé𝕡è𝕣𝕖 écrivait:
--------------
" et la soluce c'est adoucir la crête trop haute, la niveler pour faciliter le glissement ?
J'ai bon ? "

bien sur . sans oublier de machiner la ou les conséquences adaptatives , à savoir ici la canine qui empêche aussi le glissement vers l avant .
ce meme pro glissement qui te permet de déclencher l initialisation de l ouverture si besoin .


Gbfo08o2ecy6sxsnqko0n3imhewv - Eugenol
Palpatine

05/03/2022 à 11h02

J'ADORE
Merci les confrères et en particulier Enlaye


Et7jtaj0pdi18gzjlxjiamlx15gs - Eugenol
Prunelles

05/03/2022 à 12h10

Pour quelle raison la crête mesiale de la 47 est elle aussi saillante ?


Nouveau image bitmap fz77zh - Eugenol
Sethef

05/03/2022 à 12h32


Dur d'être certain du fait des autres soins présents, mais ce serait pas une 8 en place de 7?
A voir sur la radio.


Prunelles écrivait:
---------
> Pour quelle raison la crête mesiale de la 47 est elle aussi saillante ?

Une couronne ou une restau ?



Gbfo08o2ecy6sxsnqko0n3imhewv - Eugenol
Palpatine

05/03/2022 à 16h38

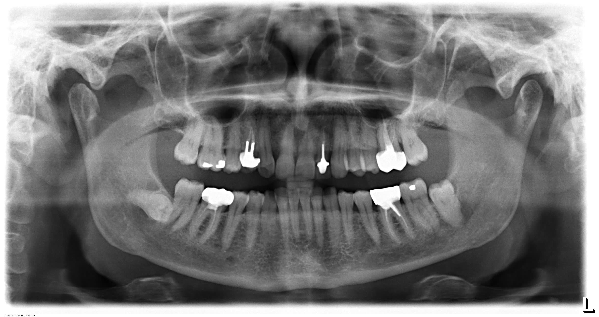
Voila la panoramique!

O4kjrv0gsizq2daosufjavu36kbr - Eugenol

Nouveau image bitmap fz77zh - Eugenol
Sethef

05/03/2022 à 16h55

Ah ben dans ce cas je sais pas comment elle s'est retrouvée dans cette position.
Faut quand même lui mettre un coup de bzzbzz sur la crête,pour qu'elle n'accroche plus en incision/propulsion.

(Quitte à spéculer, personne pourra jamais vérifier, j'imaginerais bien la ferraille ajustée insérée en force il y a fort fort longtemps, au point de distaler légèrement la 7, avec la ligne de plus grand contour bien basse passant en dessous du point de contact.)


--
_____________________
Dentiste décroissant.


Et7jtaj0pdi18gzjlxjiamlx15gs - Eugenol
Prunelles

05/03/2022 à 16h57

Sur la pano, on a plus l’impression que c’est la crête distale de la 46 qui est absente.


Nouveau image bitmap fz77zh - Eugenol
Sethef

05/03/2022 à 17h00

Ben clairement, c'est une casserole toute plate, mais en général les crêtes s'alignent quand même toute seules.

(une coiffe réalisée avant 12 ans, qui aurait guidé la 7 dans cette drôle de position lors de son évolution?)

(d'ailleurs elle est même pas si plate sur le modèle. )


Gbfo08o2ecy6sxsnqko0n3imhewv - Eugenol
Palpatine

05/03/2022 à 17h27

C’est pas la 48 qui la pousserait ?


Vw campersurfvan bmnk1q - Eugenol
enlaye

05/03/2022 à 20h10

Prunelles écrivait:
---------
" Sur la pano, on a plus l’impression que c’est la crête distale de la 46 qui est absente."
oui on dirait . peut etre tout simplement une cc pipée en sous occ .


Vw campersurfvan bmnk1q - Eugenol
enlaye

05/03/2022 à 20h30

on sent bien qu il a envie d aller se décontracter vers la gauche , dès qu il ouvre il en profite :-)

Bvywxeem7ret22bo9yicei3cwj6z - Eugenol

Nouveau image bitmap fz77zh - Eugenol
Sethef

07/03/2022 à 22h26

Même, elle a 30 ans cette coiffe, elle aurait fini par égresser.



enlaye écrivait:
------
> Prunelles écrivait:
> ---------
> " Sur la pano, on a plus l’impression que c’est la crête distale de la 46 qui
> est absente."
> oui on dirait . peut etre tout simplement une cc pipée en sous occ .
>


Vw campersurfvan bmnk1q - Eugenol
enlaye

07/03/2022 à 23h02

oui c est vrai
sauf si les 2 pm se sont usées pour se mettre à niveau , elle n était plus trop pressée .


Vw campersurfvan bmnk1q - Eugenol
enlaye

07/03/2022 à 23h07

apres, ce que tu as dit sur le fait que la cc a pu etre mise avec un point de contact trop fort en distal ce n' est pas bête . ça aurait très bien pu déclencher une interférence sur 47 .
il peut aussi y avoir ça + une sous occ initiale .
tu ne le sens pas un plan comme ça ?


Vw campersurfvan bmnk1q - Eugenol
enlaye

07/03/2022 à 23h21

le plus surprenant , c est que malgré le chaos que l on a prédit du au visuel des usures , , l os ne semble pas avoir morflé . l endo n est pas top et pourtant il n y a pas de granulome non plus ... pour ça que je pensais à la sous occ initiale


Nouveau image bitmap fz77zh - Eugenol
Sethef

08/03/2022 à 11h04

Ben c'est ça, à l'insertion ça décale la 47 à peine en distal et en occlusal, le point de contact est hyper bombé donc elle ne peut plus se remettre en place, et le temps fait le reste.
Je l'ai déjà vu sur une 27, mais y avait un peu de paro à la base, là c'est clairement pas le cas.

Tu noteras la facette d'usure monstrueuse en mésial de 47, j'étais persuadé qu'il y aurait une restauration à la radio, vu la différence en comparaison des sillons conservés en distal.

enlaye écrivait:
------
> apres, ce que tu as dit sur le fait que la cc a pu etre mise avec un point de
> contact trop fort en distal ce n' est pas bête . ça aurait très bien pu
> déclencher une interférence sur 47 .
> il peut aussi y avoir ça + une sous occ initiale .
> tu ne le sens pas un plan comme ça ?


--
_____________________
Dentiste décroissant.


Et7jtaj0pdi18gzjlxjiamlx15gs - Eugenol
Prunelles

08/03/2022 à 17h51

Dsl. Je voulais faire un point ce weekend, mais j'ai pas eu le temps. Donc si je dois faire un résumé "avec mes mots".
Le point de départ hypothétique c'est la couronne sur 46 qui aurait entrainé une distoversion de la 47.
Ce qui a projeter dans le plan de l'occlusion la crète mésiale de la 47 créant une interférence.
Pour contourner cette interférence, le patient modifie sa trajectoire vers la gauche, en direction de la fameuse 22.
En parallèle de tout ca, si j'ai bien compris, il y a un délestage de l'occlusion secteur 40, qui induit un réagencement de 44 et 45, poussant 43 vers l'avant.
La 43 boxant la 12 en dehors de l'arcade.
Et si j'ai bien décodé Enlaye souligne également l'usure des entrées de cycle du secteur 30 en réponse à ce qu'on a décrit plus haut.

Ai tout bon ? Ai tout faux ?
Me faudra les modèles en main pour mieux comprendre...


Vw campersurfvan bmnk1q - Eugenol
enlaye

08/03/2022 à 19h26

Prunelles écrivait:
---------
" Me faudra les modèles en main pour mieux comprendre..."

ouiiii excellent .
prendre les modèles en main , c est le début à tout pour comprendre l occluso .
en fait , nous, en voyant les photos , on ne fait que faire des assimilations de souvenirs à des cas que l on a eu et résolu , ...en ayant eu les modèles à la main :-) enfin pour moi c est le cas .
et avec l habitude il n y a pas des millions de cas différents et petit à petit tu deviens très performant .
dommage que cette gymnastique ne s apprenne pas à la fac ou dans des séminaires .




Vw campersurfvan bmnk1q - Eugenol
enlaye

08/03/2022 à 20h02

Prunelles écrivait:
---------
" Ai tout bon ? Ai tout faux ? "
Bon , et avec une belle histoire plausible pleine de rebondissements :-)
J attends les commentaires de Sethef .