Cookie Consent byPrivacyPolicies.comComme un doute - Eugenol

Comme un doute

enlaye écrivait:
------

> Bon , et avec une belle histoire plausible pleine de rebondissements :-)
> J attends les commentaires de Sethef .

Voui, moi veux tout savoir, maintenant que vous avez les photos des moulages ht et bas, la pano et toussatoussa, veux savoir :
ce que mange le gars,
comment il est habillé,
où il habite,
ce que font ses parents,
si par le plus grand et le plus heureux des hasards, ce serait pas une blonde ààààààààààà ..... , quoique ... avec la 22 absente ... 🤔
s'il est pour ou contre le vaccin, pour qui il va voter (facultatifs les 2 derniers, y a tout Nonol pour ça)

et fissa fissa, paksa à fout' moi, bande de feignasses 😁


Nouveau image bitmap fz77zh - Eugenol
Sethef

08/03/2022 à 22h44

enlaye écrivait:
------
> Prunelles écrivait:
> ---------
> " Ai tout bon ? Ai tout faux ? "
> Bon , et avec une belle histoire plausible pleine de rebondissements :-)
> J attends les commentaires de Sethef .



Ah ben moi je suis d'accord avec tout hein, je suis plutôt arrangeant comme mec.

Je comprends toujours pas comment la 47 a pu se retrouver dans cette position à la con, la vraie cause initiale quoi, mais pour le reste, un grand coup avec la congé noire bien à plat, bzz bzz, et roule.


Nouveau image bitmap fz77zh - Eugenol
Sethef

08/03/2022 à 22h45

ℙ𝕖𝕣𝕧𝕖𝕣𝕤 ℙé𝕡è𝕣𝕖 écrivait:
--------------

> où il habite,

Probablement à la même place que la tienne.


Vw campersurfvan bmnk1q - Eugenol
enlaye

09/03/2022 à 00h29

Prunelles écrivait:
---------
" Pour contourner cette interférence, le patient modifie sa trajectoire vers la gauche, en direction de la fameuse 22 "

une petite nuance à préciser quand meme : ce n est pas qu il modifie sa trajectoire ,en effet ce n est pas un mvt qui l amène sur la 22 . pas du tout .
c est une occlusion nouvelle ou plutôt une certaine position de calage complètement excentrée (sans mvt donc ) qui fait qu il s appuie sur la 22 .et cette position est uniquement nocturne .
d ou l intérêt d avoir les plâtres dans les mains . tu peux facilement la retrouver cette position .
tu vois bien les facettes d usures dans cette position . mais tu ne verras pas de facettes de trajets entre son oim et cette position décalée .

en clinique , si tu lui demandes d aller devant , peut être qu il ira tout seul sur ce calage pipé , (mais ce n'est pas sur ) et s' il est capable d y aller devant toi , c est qu' il y est déjà allé , et qu' il y retournera .
là c est le cas le plus facile d'une 22 ou d' une 12 c est la diagonale de Thielenman ( orthographe très approximative :-) ) mais parfois dans d autres cas si tu n as pas les moulages c est quasi impossible de trouver .
en tout cas , on comprend vite que le montage sur articulateur ne sert à rien pour trouver cette fameuse position nocturne de compensation décalée .


Nouveau image bitmap fz77zh - Eugenol
Sethef

09/03/2022 à 09h49

enlaye écrivait:
------

> en clinique , si tu lui demandes d aller devant , peut être qu il ira tout seul
> sur ce calage pipé , (mais ce n'est pas sur ) et s' il est capable d y aller
> devant toi , c est qu' il y est déjà allé , et qu' il y retournera .

Non seulement il ira tout seul devant, par contre, tu auras un mal de chien à lui trouver un contact sur 47, tellement il a pris l'habitude de l'esquiver.
Si tu veux le prouver, tu dois lui interposer un papier et lui demander de grincer les dents. Et là, tu entends crrr crr crr...


Et7jtaj0pdi18gzjlxjiamlx15gs - Eugenol
Prunelles

09/03/2022 à 11h50

enlaye écrivait:
------
> c est une occlusion nouvelle ou plutôt une certaine position de calage complètement excentrée (sans mvt donc ) qui fait qu il s appuie sur la 22 .
>et cette position est uniquement nocturne .

Pourquoi uniquement nocturne ?
Il est pas sensé être en position de repos durant la nuit ?
Est ce qu'on peut en conclure qu'il mange pas assez gras/sucrée ? Qu'il boit pas assez d'alcool ? Qu'il est en manque de sexe ?



Gbfo08o2ecy6sxsnqko0n3imhewv - Eugenol
Palpatine

01/07/2022 à 14h04

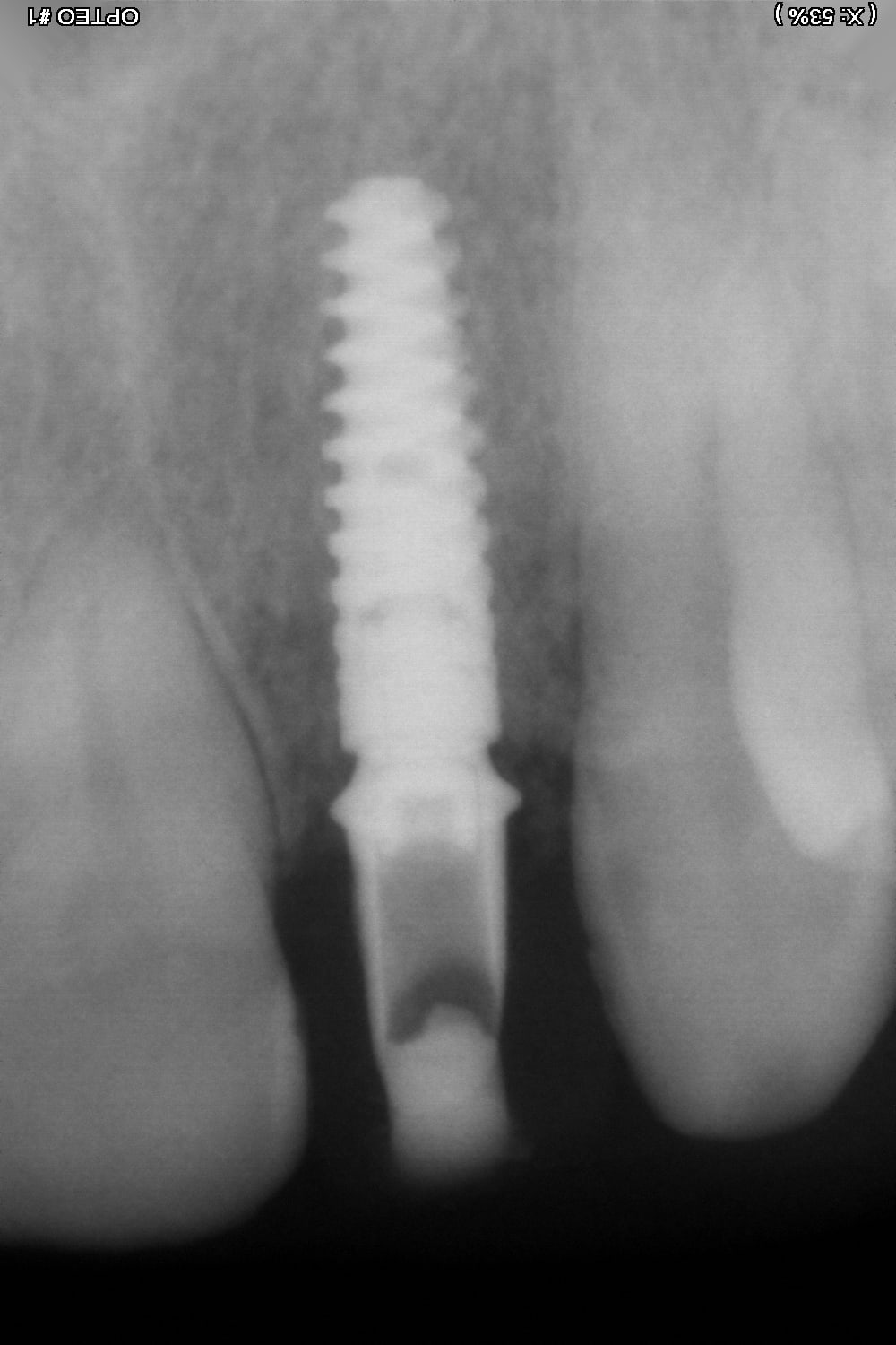
Je n'avais que 6 mm mais pourtant ca passe!

Jvmf8n52yr6nebj7opyxif7tv0q9 - Eugenol
Nfu1m5tjrsro3xaok6a51ojap6o4 - Eugenol