Cookie Consent byPrivacyPolicies.com20 ans après ..si j avais su . - Eugenol
Vw campersurfvan bmnk1q - Eugenol
enlaye

17/03/2022 à 07h24

bonjour les collègues :-)
on nous montre souvent de jolis cas en 4 par 3 apres petit café croissant et stylo gratos , mais on ne nous montre jamais comment ça vieilli , tu m étonnes .
alors ,moi je vais vous en monter 1 de mes cas 20 ans après , que je n avais pas revu depuis longtemps , bin ça calme et ça fait mal hein .
j avais déjà montré quelques photos du depart de ce cas dans d autres post de prothese , et certains vont les reconnaitre .
bon c est vrai que c était un peu osé :-)) mais la conclusion de ce cas est que l endo , la paro , la prothèse tout ça c est du pipo , du monte seigue , le principal étant l occluso . l occluso ça ne pardonne pas , ça te fait un pan pan cul cul là où tu ne t y attendais pas
or il y a 20 ans je n avais pas encore la certitude formelle de tout ce que je vous raconte aujourd'hui , forcement il y a un debut à tout , surtout que tout ce que je vous raconte est perso et n engage que moi et il a bien fallu que je l apprenne de quelque part au fur et à mesure :-)


azerty

17/03/2022 à 07h42

J ai surtout appris qu il y a la théorie et la pratique. Que rien n est éternel. Qu une merde peut durer 20 ans et un boulot 5 étoiles 5 ans. Que l on fait ce que l on peut avec ce que l on a . Qu il est hyper facile de critiquer et que l on ne ferai peut être pas mieux si ce n est pire.


Vw campersurfvan bmnk1q - Eugenol
enlaye

17/03/2022 à 07h50

bon déjà t es gentil avec moi , tu dis " l on fait ce que l on peut avec ce que l on a " , ça m arrange :-)
je cherche les photos du départ , hein ,


Nouveau image bitmap fz77zh - Eugenol
Sethef

17/03/2022 à 07h52


Ces derniers temps, j'ai eu toute une série de merdes sur des boulots parfaits, pas vieux, 5 ans max, même pas j'avais fait de conneries et pourtant ça arrive...

J'attends de voir tes galères, ça me remontera le moral.


Vw campersurfvan bmnk1q - Eugenol
enlaye

17/03/2022 à 08h02

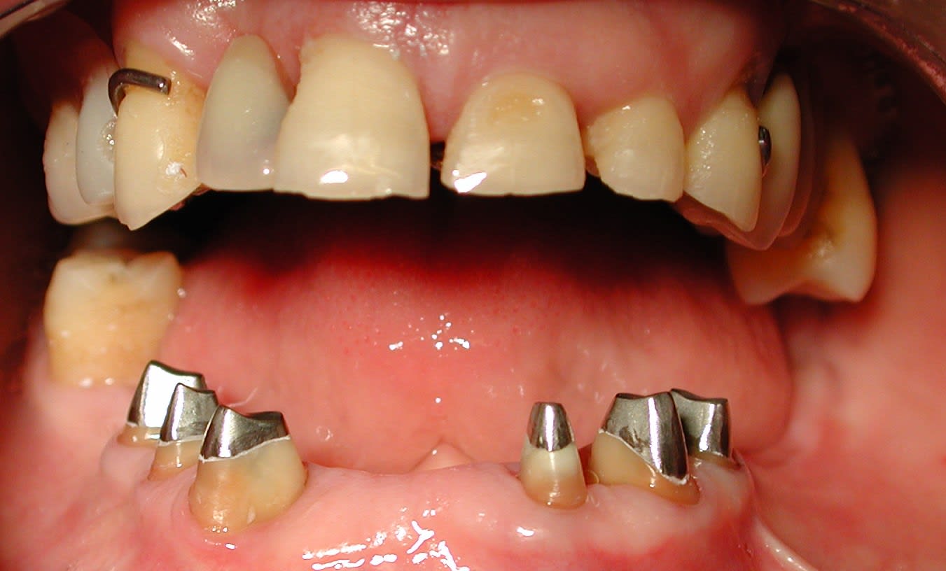
voilà le cas , du depart , c est d avant 2000 , je m en souviens bien pcq ç etait juste avant le passage à l euro :-) à l époque les saisonniers repassaient les billets tellement ils en avaient . et elle c était une repasseuse .
alors avant de la connaitre elle en avait dejà refilé quels paquets à un dentiste qui lui avait fait un bridge du bas 4 ans auparavant . apparemment , ça n avait pas tenu très longtemps .

Qixzztx1i2zwjm4wu52pdg7f1moy - Eugenol
Y9i2sh8gnyhwrk4ke4538jaqe474 - Eugenol
C6tgazf0cf06gpbrnolglmqi3ozt - Eugenol
Ofrc4j2svy1ddgzqjtnjtn106xs8 - Eugenol

Vw campersurfvan bmnk1q - Eugenol
enlaye

17/03/2022 à 08h17

il y a 20 ans , pour moi le challenge venait du bas et comme ç etait un cas pourri moi ça m' a séduit , et en craint dégun , j ai dit aller zou , pas peur .
aujourd'hui , j aurais commencé par regarder là ! en haut .

F0ht1ui50iatald2ilkeirmrb1h6 - Eugenol

Et7jtaj0pdi18gzjlxjiamlx15gs - Eugenol
Prunelles

17/03/2022 à 08h43

Ce suspense... Pire que GoT...


mla3

17/03/2022 à 09h01

😉

Wycuu7v2ohgowhg4t8riv5ab9m6p - Eugenol

mla3

17/03/2022 à 09h04

oups... bon à tirer hâtif.... iconographiée.


Avatar transparent iqadnc - Eugenol
adhoc

17/03/2022 à 09h31

J'adore les enquetes d'enlaye. Compétence, humour et humilité!!!


moritooth

17/03/2022 à 09h38

Le teaser est alléchant, hâte de voir la suite.


Evident2 euit5k - Eugenol
C-evident

17/03/2022 à 10h04

C'est la vie.. Même sur des bouches parfaites, donc sans rien faire, des fois, ça merde grave. ;-)


Vw campersurfvan bmnk1q - Eugenol
enlaye

17/03/2022 à 10h21

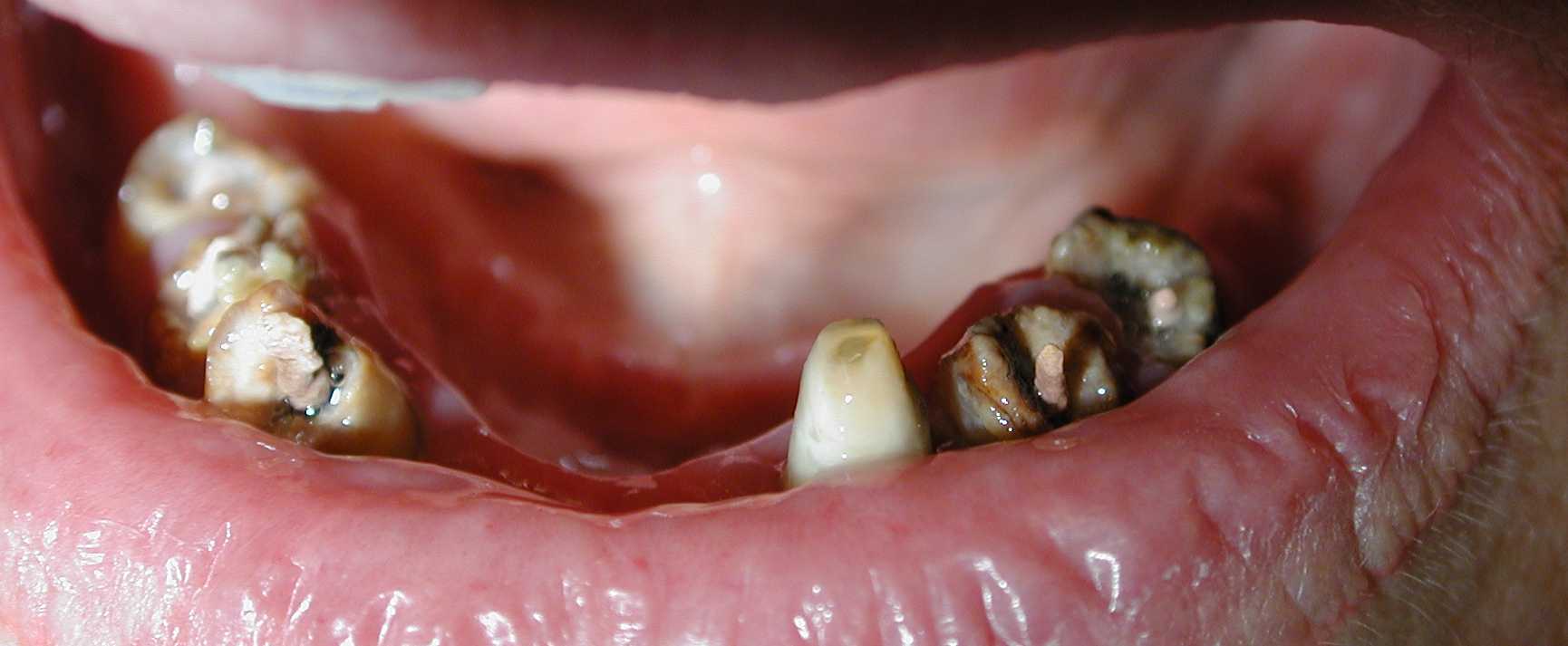
donc apparemment il y a un petit pb paro , mais je te le dis de suite ça ne sert çà rien de l envoyer à un paro .
tu sais comme c est un paro , quand il voit ça , il commence à remuer les bras , il leve les yeux au ciel et y se met à pousser des petits cris comme un dingue fou .
un poulpe . un poulpe que tu sors de l eau et que tu n oses pas le bastonner pour l attendrir , et pourtant que c est ce qu il faudrait faire .:-)
" tyéfoufotoutarhacher ,tyéfoufotoutarhacher ,tyéfoufotoutarhacher "
"" he qué arracher , vas arracher ta mere va , tu vois pas que tu sers à rien ? jobard !! ""
du coup ça m a réconforté de n avoir jamais fait de formation de paro puisque ça sert à rien , pas pour rien qu ils sont devenus paro-implantos :-)
puis j aime pas les paro , c est surtout ça :-)))


Vw campersurfvan bmnk1q - Eugenol
enlaye

17/03/2022 à 12h27

après l avis paro , un grand moment de solitude s installe , puis finalement , perdu pour perdu , au moins on va pouvoir s amuser un peu .
alors pour la 1ere séance , comme je ne sais rien faire d autre que de tailler les dents , bin taillons .
alors on va donc tailler les dents à la longue fraise grain fin , et on va tailler ces dents jusqu au contact l osseux .
l idal c est de le faire à la tubine , pcq le contre angle a tellement de couple / à la turbine , que le risque c est de voir de voir les dents tourner autour de la fraise tellement elles bougent !!
et voilà la photo la séance d après , soit 15 js après .
et pas de provisoire , bien sur , c est le secret :-)
mais ça on le dit à dégun hein , et si ça sort d ici , je saurais que c est vous qu auriez bavé :-)

H9cbqn955egfqxge6z0liw3ynpsm - Eugenol

Avatar transparent iqadnc - Eugenol
adhoc

17/03/2022 à 13h03

  


Vw campersurfvan bmnk1q - Eugenol
enlaye

17/03/2022 à 14h56

:-) t en restes muet Adhoc ?
donc , jusque là ça va , plutot bien meme puisque les dents ne bougent plus , et on va pouvoir attaquer les endo .
vaut mieux qu elles ne bougent plus pcq chez moi ça commençait tjs par un coup de largo n°2 , et s agirait pas que là non plus , qu ' elles tournent avec .
endo , tranquille , tres tranquille meme ,hein , pas de chichi , cad pas de digue , pas de radio comme ci ou comme ça , on descend au giro puis mecasonic et quand ça fait toc toc au fond c est que c est bon . ça c est l avantage du mecasonic , la sensation est bien plus precise qu une radio ou qu un localisateur .
ah ben y a 20 ans hein , j avais un capteur radio dur qui fait putain de mal et que donc tu n enfonces jamais assez , puis comme ça y a pas de radio de controle , et t'y as la tete fraiche , et surtout que pdt un long moment , il ne marchait plus :-)
puis un coup de lentulo et zou cone esquiché et basta .

à faire des conneries ......autant les faire .:-)
puis on fait les ic , que l on scelle en attendant la cicatrisation paro .
bien sur ils sont tout tordus alors on les parallélise grosso modo ... ce qui permet de poser un bridge prov NON collé juste à porter pour aller acheter le pain .
on reprendra apres les tailles .

10e3mwjgojmlfmxij2xcjxfjqk8x - Eugenol
Hjqplr7vavo5qhhz2xop8oi7v4re - Eugenol

Ylfwcw979cz1jnx9gfqeaxndiuzk - Eugenol
Algi

17/03/2022 à 15h28

A ce stade là putain c'est magnifique le avant après....

Bon... on sait que ça a merdé mais on va attendre la suite.


--

On a toujours le choix mais entre quoi et quoi?
Vas-y boulégue et l'avenir te le dira!


mla3

17/03/2022 à 15h49

résumé en BD....paro out , fraisage, endo, iron man

H6v641riqqatyipasnujhnp243cb - Eugenol
Sqrq4lov6umjnhu50zii5ni3zx3m - Eugenol
8dp7y38l2fovrwzvda3iapx29nec - Eugenol
Iqkh5rhl0mlhank35h2qm82cnir5 - Eugenol

Vw campersurfvan bmnk1q - Eugenol
enlaye

17/03/2022 à 16h12

voui , jusque là ca va , bon en meme temps il ne se sera passé que 20 jours entre le debut et les ic et pas 20 ans :-)
tant et si bien que j y ai fait le bridge prov dernière génération ( scellé celui là )qui me servira de gabarit pour la suite
et que dans l allégresse j ai commencé à dévitaliser toutes les dents du haut pour mieux les reconstruire :-)

Qs2n545mnlhbt1hfqi4iz4eoxfej - Eugenol

Vw campersurfvan bmnk1q - Eugenol
enlaye

17/03/2022 à 16h20

pour obtenir ceci

N2zgyn05wlzpa2to4twuqdl8vof9 - Eugenol

Blue eye thumb medium dx1i0w - Eugenol
bill

17/03/2022 à 16h21

J'adore ! ;-)


--
https://docudent.fr
Tous les documents du cabinet dentaire
& l'aide à la cotation du Reste à Charge 0
________________________________________


Vw campersurfvan bmnk1q - Eugenol
enlaye

17/03/2022 à 16h26

et vite fait je lui fini le bridge du haut , du bas et 2 stellites

513hue6yyydv0zf39mx9hytiup7o - Eugenol
Ubcizfrpglovmo61hb03x57urld4 - Eugenol

moritooth

17/03/2022 à 16h44

...jusqu'ici tout va bien...


azerty

17/03/2022 à 17h05

Ça sent le bruxomane…


Et7jtaj0pdi18gzjlxjiamlx15gs - Eugenol
Prunelles

17/03/2022 à 17h15

Ça sent le : « je porte plus mes appareils »


12...