Cookie Consent byPrivacyPolicies.com20 ans après ..si j avais su . - Eugenol
Hok 1b hgd3rj - Eugenol
Hokusai

17/03/2022 à 17h17

enlaye écrivait:
------
>moi je vais vous en monter 1 de mes cas 20 ans après

Qt7o1yv2rxlwgoshv4z407o4if3o - Eugenol

mla3

17/03/2022 à 17h54

Enlaye le magicien....

Al7ahro17joz5bt4t1td03jstzhs - Eugenol

Vw campersurfvan bmnk1q - Eugenol
enlaye

17/03/2022 à 19h15

Prunelles écrivait:
---------
" Ça sent le : « je porte plus mes appareils » "

trop fort le Prunelles :-))
eh oui , tout allait tres bien , meme trop bien , du coup tout de suite elle s est vue rajeunir , elle a repris gout à la vie de jeune fifille , s est faite lifter , gonfler de partout mais surtout elle est aller revoir figure de poulpe en flag la coquine .
c est que le poulpe lui , même s il y raconte des conneries , il les raconte bien .
enfin , c est surtout que , renseignement pris par son staf , il avait vite compris que c etait une repasseuse .
la 1ere fois il lui avait joué le chant des sirènes à la flute , et elle en avait gardé l air dans la tète .
alors il lui a posé des implants , peu de temps apres la fin de mes travaux , mais il n a fait que le haut !!
du coup j ai du lui faire les bridge implantaires du haut .

et voilà :-) les années sont passées , plus de nouvelles , et je vivais heureux jusqu à la semaine passée :-)
c est pour un contrôle det qu elle avait dit :-)


Vw campersurfvan bmnk1q - Eugenol
enlaye

17/03/2022 à 19h26

pas de pb , ma gâtée , asseyez vous là .
ah oui pcq les mamies ce sont toutes mes gâtées , pcq elles le valent bien .
je regarde le bas , vite fait , " ah ben c est pas trop mal , ça a vieilli mais c est pas trop mal je m attendais à pire "
"" ç est en haut que ça me gêne Dr ""


Vw campersurfvan bmnk1q - Eugenol
enlaye

17/03/2022 à 19h27

photo du bas 20 ans apres sans stellite

1242vxwq0s7cmmovsfzti9eoa1v9 - Eugenol

Vw campersurfvan bmnk1q - Eugenol
enlaye

17/03/2022 à 19h33

et avec stellite .

78mpxutyh0uyzque94mwvvwtkhrv - Eugenol

Vw campersurfvan bmnk1q - Eugenol
enlaye

17/03/2022 à 19h35

et moi naïf j étais fier du bas , seulement après j ai vu le haut :-))


Capture d écran 2018 05 16 à 21.30 - Eugenol
Daryl

17/03/2022 à 19h35

Quel suspens !! Et quelle délicatesse dans la taille, mon vier !!

Edit : "vier" j'ai pas tout retenu mais je crois que ça a un rapport avec Mme Olivier..


mla3

17/03/2022 à 19h51

le retour du poulpe....

Ijvs1i0gptffddljraskliqqva7e - Eugenol

Vw campersurfvan bmnk1q - Eugenol
enlaye

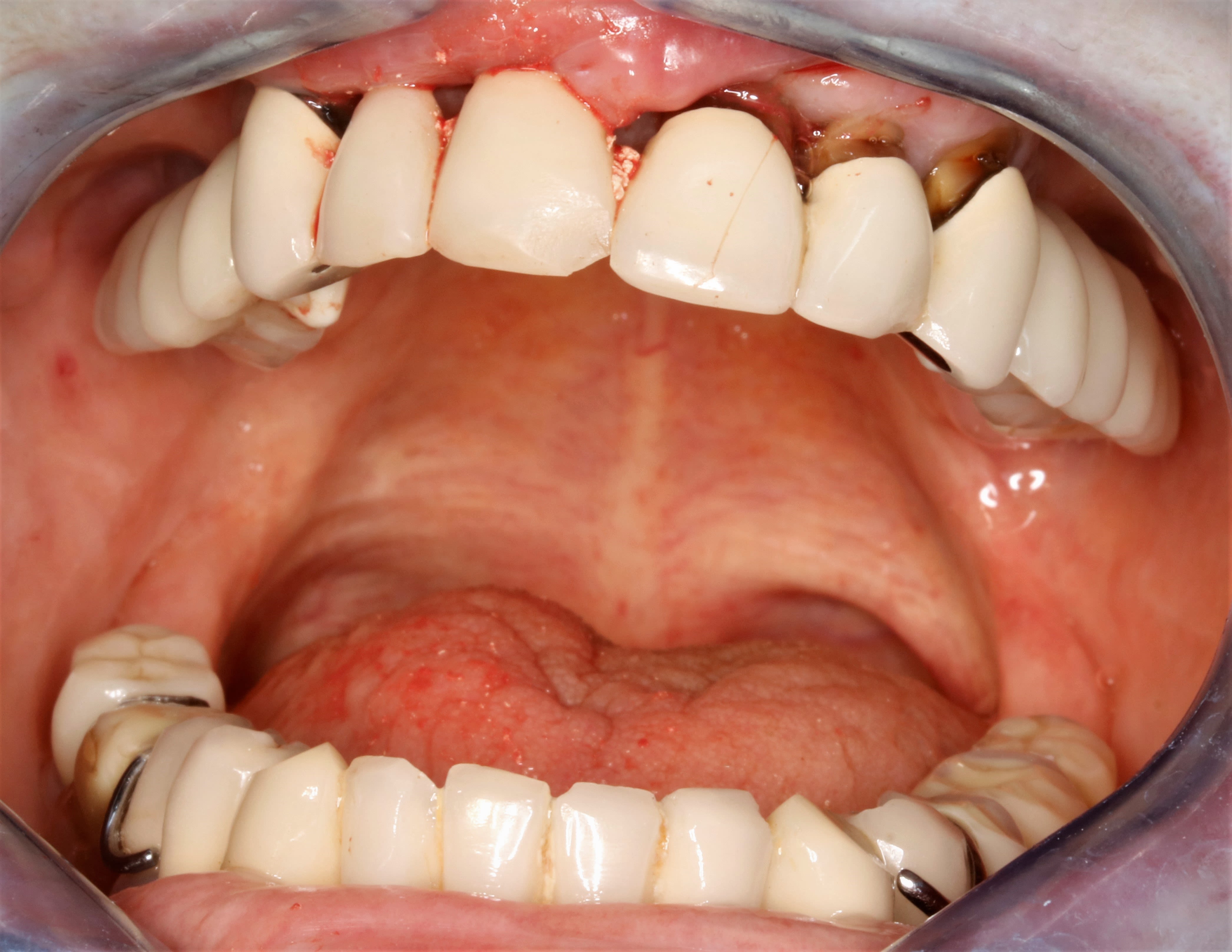
17/03/2022 à 19h56

:-)) c est bien ça :-)
arrêtons le suspens , voilà le haut .
j ai du extraire la racine de 11 qui se faisait la malle , cela faisait un moment qu elle n etait plus sous la couronne , la levre s etait invaginée dans le trou sous la couronne .
pas mal , probablement du à de grandes doses de botox .
en tout cas le bridge du haut est mort ça c est factuel .
de là on va pouvoir causer , du haut , et non pas du bas comme vous l espériez tous , bande de saligauds :-)))

Uo95tqxbesggak8c4kb6m0iw2p9p - Eugenol

bouboule

17/03/2022 à 20h26

Ben en fait c’est pas un foirage… c’est juste l’effet amovible. Heureusement que maintenant c’est gratos!


6szjws718sv1jksw54v4mpj3a6cu - Eugenol
vulpi

17/03/2022 à 23h16

c'est pas nouveau ton truc

R5dxhbno45o1ho1xd6760iodoewr - Eugenol

Vw campersurfvan bmnk1q - Eugenol
enlaye

17/03/2022 à 23h26

Quoi donc Maître Vulpi ?
Édit : :-))) tes photos sont apparues .


Vw campersurfvan bmnk1q - Eugenol
enlaye

18/03/2022 à 00h41

bouboule écrivait:
--------
" Ben en fait c’est pas un foirage… c’est juste l’effet amovible."

hummm ....effectivement ça y fait , d autant plus que je n avais pas prévu du full fixe du haut au départ .
mais il n y a pas que ça . avec le recul , ç était prévisible , et j ai fait connerie sur connerie , d un point de vue occlusal s entend .
on va revoir ça point par point . il y a plein de conclusions à en tirer .
au fait , la seule dent que j ai perdu , c est celle qui n avait pas d ic , rigolo non ? :-)


Bebe 038 nf8eum - Eugenol
danteyeah

18/03/2022 à 08h24

20 ans plus tard et finalement elle est toujours en meilleur état que la première fois que tu l'as vu......c'est un large succès!!!!
Pour ma part ce sont les cas qu'on pose depuis 2 ans que je ne veux surtout pas revoir dans 10 ou 15 ans ;-(

Bon t'as un peu de temps apparemment.......viens rouler ;-))))


Vw campersurfvan bmnk1q - Eugenol
enlaye

18/03/2022 à 10h27

ce post est un défouloir sur tous les dogmes pipés qui nous ont amené dans des situations à la con , donc n hésitez pas une seconde si vous avez le moindre avis critique sur cette étude de cas ou même à une assimilation de vos propres cas , de vos astuces personnelles , ce sera avec plaisir d en discuter .
par exemple , un des nouveaux dogmes pipés , c est le raco zircon :
ahhh c est sur que ça rentre comme un doigt au cul mais quand on voit les traces d usures sur la ceram d un cas comme le mien, t imagines si c etait du zircon ou du fer ? . ils nous ont transformé en dealer des marchands du temple ces fifrelins !!!


bouboule

18/03/2022 à 11h43

De toute façon le truc était bancale depuis le début… 20 ans c’est beau! T’es parti avec bridge antérieur sur des supports bien attaqués + amovible postérieur + bruxisme + pas de port de l’amovible… c’est miraculeux que ce soit toujours là 20 ans plus tard. Elle doit pas croquer des pommes tous les jours ta nana.
Et si elle avait porté son amovible ce serait sans doute les supports de crochet qui danseraient aujourd’hui.
Merci pour le partage, je rajoute ça à la photothèque du pourquoi j amovible plus!
C’est con c’est gratos pourtant.
Même chose pour le full zircon, t’as 1000 fois raison…. Je fais pas non plus


6szjws718sv1jksw54v4mpj3a6cu - Eugenol
vulpi

18/03/2022 à 13h59

Puisque tu ne fais pas de provisoire, comment valides tu et règles tu l'occlusion dans des cas complexes ?
L'adjointe on peut en discuter des heures, c'est pas si tranché que cela... enfin c'était. L'utilisation actuelle quasi systématique de dents résines est une catastrophe. Comme les gros composites occlusaux postérieurs où 10 ans après on voit l'antago s'être enfoncé dans l'obturation.


Et7jtaj0pdi18gzjlxjiamlx15gs - Eugenol
Prunelles

18/03/2022 à 16h40

Pour être clair, elle portait ou pas son stellite du bas ?
Me semble quand même bien usé pour ne pas avoir été porté.


Avatar transparent iqadnc - Eugenol
adhoc

18/03/2022 à 17h20

Si la patiente avait refusé les implants, enlaye, tu as travaillé parfaitement dans la limite du possible, je ne vois pas ce qui pouvait etre amélioré. Le temps a juste fait son oeuvre, et encore que, en effet, ca a bien duré!!!! Mertci pour vette histoire vécue et bien racontée.


Vw campersurfvan bmnk1q - Eugenol
enlaye

18/03/2022 à 17h21

Si si bien sûr qu elle le portait son stellite du bas . C est bien le pb :-))


Vw campersurfvan bmnk1q - Eugenol
enlaye

18/03/2022 à 17h27

Vulpi , j en rêvais de ta question :-))
D abord , c est quoi pour toi ce que tu appelles un cas complexe ?


6szjws718sv1jksw54v4mpj3a6cu - Eugenol
vulpi

18/03/2022 à 17h51

Un cas où le rapport inter maxillaire n'est pas (du tout) certain, évident... genre edentement postr avec propulsion de la mandibule et usure du bloc antérieure. Plus de repère post et une boussole ant modifiée, par exemple.
Ou des courbes d'occlusion à recréer. C'est encore mieux ça, plein de dents, mais en désordre, versées, egressées.
En gros les cas où tu te dis, "pourquoi moi ?"😁


Vw campersurfvan bmnk1q - Eugenol
enlaye

18/03/2022 à 18h21

Oui voilà on parle donc bien de la même pour ce qui est des cas complexes .
Eh bien , si je te disais que pour ces cas , ( comme pour les autres ) en exagérant un peu , je te dirais que la validation occlusale par les prov , est une escroc intellectuelle du suffisant paranoïaque , tu me crois ???
:-)))


6szjws718sv1jksw54v4mpj3a6cu - Eugenol
vulpi

18/03/2022 à 18h23

J'ai mon idée la dessus...


123...