Cookie Consent byPrivacyPolicies.comun truc un peu compliqué... - Eugenol
S2y2o1v7q53ws4r5wy6ou8czrpom - Eugenol
pxav

13/12/2024 à 08h45

enlaye écrivait:
------
> Dentarue écrivait:
> --------
> "On ne voit que la partie émergée ☝️"
>
> Plus le PB paro est important plus l endo est facile .
> eh oui :-)

Évidemment, à la pose (2h30) je ne m'occupe pas du reste, mais ça viendra, pas de soucis
--
xbk
La connaissance s'acquiert par l'expérience, tout le reste n'est que de l'information." ALBERT EINSTEIN


Vw campersurfvan bmnk1q - Eugenol
enlaye

13/12/2024 à 09h02

?? Enfin lui il parlait de l endo , qui est plus facile a s en occuper avant la pose :-)


S2y2o1v7q53ws4r5wy6ou8czrpom - Eugenol
pxav

13/12/2024 à 09h12

enlaye écrivait:
------
> ?? Enfin lui il parlait de l endo , qui est plus facile a s en occuper avant la
> pose :-)

L'endo c'était la priorité avec le meulage sélectif, donc évidemment fait des les premiers soins.
Sur tes conseils éclairé d'ailleurs.
--
xbk
La connaissance s'acquiert par l'expérience, tout le reste n'est que de l'information." ALBERT EINSTEIN


S2y2o1v7q53ws4r5wy6ou8czrpom - Eugenol
pxav

13/12/2024 à 10h13


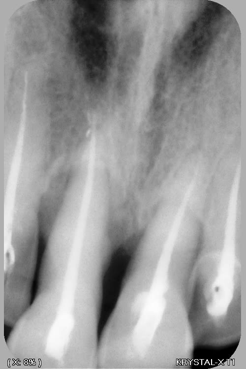
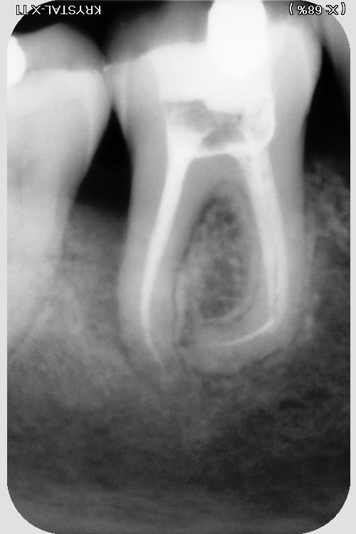
j'ai trouvé ça...rien de parfait malgré l'utilisation de broches manuelle, en alternance avec les rotatives sur certaines racine "légèrement coudées"....
pano et scan plus tard
--
xbk
La connaissance s'acquiert par l'expérience, tout le reste n'est que de l'information." ALBERT EINSTEIN

Iwb5bzy2rsac4y6dhlqv6i3wsxhr - Eugenol
Zni4h7mybjbdb0topykch4n5a6ti - Eugenol
U2h4u89tuaxj83f7xvvx4tmpgk41 - Eugenol
834alzg2bue0t1j664ezuki9b9oi - Eugenol
Jna15n958y4amlj7sgs5rvt2dv9r - Eugenol
Fgakxwv5jf6ji8k76n1o5a4uodnf - Eugenol
Cogvr9c0jkjr3cld6jywp9hmaoyp - Eugenol
Gjg5vlomxc9mkr36rc5arplijt8p - Eugenol
Ir929a999kumd2jb9t7pl91qfirp - Eugenol
Wehhiywk7g2v5jkrasdo5gb102k5 - Eugenol

S2y2o1v7q53ws4r5wy6ou8czrpom - Eugenol
pxav

13/12/2024 à 10h16

la suite


--
xbk
La connaissance s'acquiert par l'expérience, tout le reste n'est que de l'information." ALBERT EINSTEIN

Yrtocsdpl88yglr1vg84jgn0i0p1 - Eugenol
Kxm73p1wjfsrzl20dge5k0cpfprp - Eugenol
Kkh77im7ulpl1n23jzp8ipu7105r - Eugenol
Tznkm04q51om1flntly04eqlpdzw - Eugenol
Z7j2ogow1vjjsiguxga1j7bj8ex7 - Eugenol

Vw campersurfvan bmnk1q - Eugenol
enlaye

13/12/2024 à 22h59

pxav écrivait:
----" Sur tes conseils éclairé d'ailleurs. "

N exagères pas :-) je veux bien que tu sois gentil avec moi , mais quand même , tu avais déjà ton plan dans la tête bien avant mon avis :-)

Ceci dit tu avais repéré ce qui clochait dans son occlusion qui aurait entraîné sa parafonction ?
C est surtout ça qui est rigolo et qui te donne l envie de faire ce genre de boulot sans être stressé.
Et puis c est sympa de le transmettre.
De transmettre comment simplifier un cas compliqué en un cas abordable .





S2y2o1v7q53ws4r5wy6ou8czrpom - Eugenol
pxav

13/12/2024 à 23h11

enlaye écrivait:
------

> N exagères pas :-) je veux bien que tu sois gentil avec moi , mais quand même ,
> tu avais déjà ton plan dans la tête bien avant mon avis :-)

tu m'as convaincu pour l'endo, j'ai tendance à vouloir garder vivant et là ça aurait été une erreur.
>
> Ceci dit tu avais repéré ce qui clochait dans son occlusion qui aurait entraîné
> sa parafonction ?

le foutoir était partout, sur quasiment toutes les dents, j'avais un peu ignoré 37 et 47 et lors de la fabrication de l'armature il était évident sur les empreintes que le meulage était très insuffisant.

> C est surtout ça qui est rigolo et qui te donne l envie de faire ce genre de
> boulot sans être stressé.

détrompes toi, beaucoup de tension (l’âge?) car absolument pas persuadé de n'avoir pas tord.

> Et puis c est sympa de le transmettre. *

> De transmettre comment simplifier un cas compliqué en un cas abordable .
>
là je suis tout à fait d'accord, même si c'est moins passionnant que "la chute des marchés" ou les problèmes de syndicat, je kiffe de transmettre et de rappeler que les sciences exactes ça n'existe pas.
>
--
xbk
La connaissance s'acquiert par l'expérience, tout le reste n'est que de l'information." ALBERT EINSTEIN


Olieve

14/12/2024 à 07h15

Sur un cas paro comme celui-là, j’aurai choisi un bridge en zircone, la gencive adore.


Dentarue

14/12/2024 à 08h04

Il y a beaucoup de dents que je n’aurais pas conservées.


S2y2o1v7q53ws4r5wy6ou8czrpom - Eugenol
pxav

14/12/2024 à 08h31

Olieve écrivait:
------
> Sur un cas paro comme celui-là, j’aurai choisi un bridge en zircone, la gencive
> adore.

Je n'ai aucune affinité pour le zircone
Trop raide. Incassable (?) Et pas réparable en cas de problème.

Et je crois l Emax aussi cool pour la gencive.
--
xbk
La connaissance s'acquiert par l'expérience, tout le reste n'est que de l'information." ALBERT EINSTEIN


S2y2o1v7q53ws4r5wy6ou8czrpom - Eugenol
pxav

14/12/2024 à 08h36

Dentarue écrivait:
--------
> Il y a beaucoup de dents que je n’aurais pas conservées.

C'est une évidence, au départ, mais en cas de problème, rien n'interdit de déposer une racine ou 2 sans changer l'armature ni les céramiques.
Ça deviendrai un bridge...



--
xbk
La connaissance s'acquiert par l'expérience, tout le reste n'est que de l'information." ALBERT EINSTEIN


En tout cas, et suis d'ac avec Cul d'Oursin 83 (comme souvent, mais faut pas lui dire, va s'la péter c't enc'), bravo de transmettre, t'es encore un des seuls à exposer des cas dont perso suis pas cap' de traiter et de t'exposer à la vindicte nonolienne.


S2y2o1v7q53ws4r5wy6ou8czrpom - Eugenol
pxav

14/12/2024 à 15h45

ℙ𝕖𝕣𝕧𝕖𝕣𝕤 ℙé𝕡è𝕣𝕖 écrivait:
--------------
> bravo de transmettre, t'es encore un des seuls à exposer des cas et de t'exposer à la vindicte nonolienne.

Effectivement les cas sont rare sur nonol mais côté vindicte, franchement c'est devenu très calme, beaucoup moins de critiques stérile cachée derrière des pseudos effet Modos ou ? En tout cas c'est plus cool
--
xbk
La connaissance s'acquiert par l'expérience, tout le reste n'est que de l'information." ALBERT EINSTEIN


Dentarue

14/12/2024 à 16h30

Tout à fait, et tant qu’il n’y a pas de recherche de foyers infectieux, roule ma poule ☝️


RépondreCiter

Dentarue écrivait:
--------
> Tout à fait, et tant qu’il n’y a pas de recherche de foyers infectieux, roule ma
> poule ☝️

Tiens, puisqu'on en parle, v'la M'ssieur Plus dans sa config' des mauvais jours.
Mal dormi Pimpin ?


Dentarue

14/12/2024 à 17h01

Tu as le droit de ne pas être d’accord ☝️


S2y2o1v7q53ws4r5wy6ou8czrpom - Eugenol
pxav

14/12/2024 à 17h48

Dentarue écrivait:
--------
> Tout à fait, et tant qu’il n’y a pas de recherche de foyers infectieux, roule ma
> poule ☝️


--
xbk
La connaissance s'acquiert par l'expérience, tout le reste n'est que de l'information." ALBERT EINSTEIN

Les foyers infectieux, nombreux, on été traités avec l endo ,rinçages betadine sous gingivale, hypocalorique dans les poches, et pour finir (au bout de 2 mois) antibio Birodogyl 1 matin et soir 20 jours, et enfin plus aucune suppuration. Ouf, sinon c'était mort.


Ulysse90

14/12/2024 à 19h10

pxav écrivait:

> La connaissance s'acquiert par l'expérience, tout le reste n'est que de l'information

> ,rinçages betadine
> sous gingivale, hypocalorique dans les poches, et pour finir (au bout de 2
> mois) antibio Birodogyl 1 matin et soir 20 jours

100% expérience, 0% information.👌


RépondreCiter
S2y2o1v7q53ws4r5wy6ou8czrpom - Eugenol
pxav

14/12/2024 à 19h32

pxav écrivait:
----
> Dentarue écrivait:
> --------
> > Tout à fait, et tant qu’il n’y a pas de recherche de foyers infectieux, roule
> ma
> > poule ☝️
>
>
> --
> xbk
> La connaissance s'acquiert par l'expérience, tout le reste n'est que de
> l'information." ALBERT EINSTEIN
>
> Les foyers infectieux, nombreux, on été traités avec l endo ,rinçages betadine
> sous gingivale, hypochlorite dans les poches, et pour finir (au bout de 2
> mois) antibio Birodogyl 1 matin et soir 20 jours, et enfin plus aucune
> suppuration. Ouf, sinon c'était mort.


--
xbk
La connaissance s'acquiert par l'expérience, tout le reste n'est que de l'information." ALBERT EINSTEIN


S2y2o1v7q53ws4r5wy6ou8czrpom - Eugenol
pxav

14/12/2024 à 19h43

Ulysse90 écrivait:
--------

>
> 100% expérience, 0% information.👌

expérience en suivant des cours, et en lisant un peu...la bétadine utilisée en irrigation détartrage ultrason, donne d'après les "pros" d'aussi bon résultat que les traitements laser sur les problèmes paro, et sauf erreur l'hypochlorite en rinçage est utilisée dans de nombreux cas (endo, désinfection préparation avant composite ou prothèse ) certains préfèrent la Chlorhexidine ...là j'ai choisis l'hypochlorite

--
xbk
La connaissance s'acquiert par l'expérience, tout le reste n'est que de l'information." ALBERT EINSTEIN


Vw campersurfvan bmnk1q - Eugenol
enlaye

15/12/2024 à 09h41

Vu qu il y avait un pb paro majeur , ce qui serait intéressant que tu nous dises , c est quel type de préparations tu as fait pour t adapter à ce cas paro .
Par exemple est ce que tu as fait un curetage rotatif en même temps ? Comment as tu geré le positionnement des limites et en fonction de quels critères ?

Bref on veut tout savoir sur ce que tu as fait avec tes doigts :-) et du nombres de séances et de temporisations .
Et tes réflexions associées bien sûr .


zoulman

15/12/2024 à 09h57

20 jours de birodogyl c’est énorme, une ref pour ce protocole ?
Tu l’utilise sous dosé ou tu double selon les recommandations ?


Dentarue

15/12/2024 à 10h53

🤫


juninho56

15/12/2024 à 11h17

pxav écrivait:
----
> Dentarue écrivait:
> --------
> > Il y a beaucoup de dents que je n’aurais pas conservées.
>
> C'est une évidence, au départ, mais en cas de problème, rien n'interdit de
> déposer une racine ou 2 sans changer l'armature ni les céramiques.
> Ça deviendrai un bridge...
>
>
>
> --
> xbk
> La connaissance s'acquiert par l'expérience, tout le reste n'est que de
> l'information." ALBERT EINSTEIN

Je te remercie de partager un cas très intéressant. J aimerai beaucoup une précision sur la manière dont tu passerais à un bridge en cas d extraction sans refaire armature et céramique.
J ai du mal à voir comment c est possible sans rien casser


S2y2o1v7q53ws4r5wy6ou8czrpom - Eugenol
pxav

15/12/2024 à 12h04

juninho56 écrivait:
---------
> pxav écrivait:
> ----
> > Dentarue écrivait:
> > --------
> > > Il y a beaucoup de dents que je n’aurais pas conservées.
> >
> > C'est une évidence, au départ, mais en cas de problème, rien n'interdit de
> > déposer une racine ou 2 sans changer l'armature ni les céramiques.
> > Ça deviendrai un bridge...

> > xbk
> > La connaissance s'acquiert par l'expérience, tout le reste n'est que de
> > l'information." ALBERT EINSTEIN
>
> Je te remercie de partager un cas très intéressant. J aimerai beaucoup une
> précision sur la manière dont tu passerais à un bridge en cas d extraction sans
> refaire armature et céramique.
> J ai du mal à voir comment c est possible sans rien casser

vu le peu d'os, si une pm par exemple devait rendre l’âme, il suffit de couper ras l'armature , avulsion de la racine, polissage éventuel, et si besoin maquillage( fausse racine céramique faisable) si l'espace gencive/armature est trop grand.
--
xbk
La connaissance s'acquiert par l'expérience, tout le reste n'est que de l'information." ALBERT EINSTEIN


1...678...