Cookie Consent byPrivacyPolicies.comQuand y’a de la gêne… - Eugenol

Quand y’a de la gêne…

Dentarue

26/11/2024 à 12h16

ELGY écrivait:
----
> Dentarue écrivait:
> --------
> > Une attaque personnelle pour finir, agressive, hors sujet, quand on n’a rien à
> > dire ☝️
>
> L'hôpital qui se moque de la charité...

On ne partira pas en vacances ensemble, rien de grave, respire 🤣🤣🤣


Capture d  cran 2015 03 12 12.28 - Eugenol
chicot29

26/11/2024 à 12h17

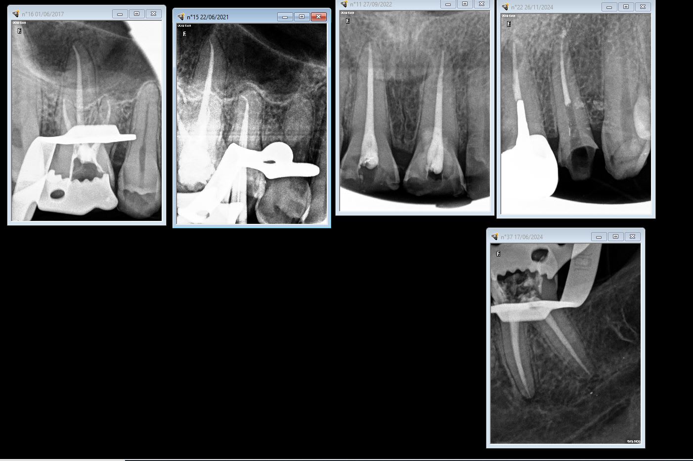
patient pris au hasard toutes les endos que j'ai faites sur ce patient.


--
Dentiste qui en a plein le cul.

Waq2r1cn047i3iuczyvdc1vd8ndi - Eugenol

Dentarue

26/11/2024 à 12h19

Des endos radiologiquement satisfaisantes, ça mérite une médaille ☝️


Capture d  cran 2015 03 12 12.28 - Eugenol
chicot29

26/11/2024 à 12h43

c'est vrai qu'il n'y a aucun rapport entre la qualité radiographique du traitement et son efficacité.


--
Dentiste qui en a plein le cul.

U12yoz2it6wucbb04ksyjmt31x8s - Eugenol

Dentarue

26/11/2024 à 13h13

C’est pas très confraternel cet article que tu remets sans cesse…
Nous dirons que la Nature est bonne mère.
Tu noteras que je n’ai jamais critiqué ton travail, la seule remarque que je ferais est qu’avec un localisateur d’apex bon nombre de radios per opératoires sont inutiles, rien de grave !
Pour ce qui est de la médaille, tu n’es pas allergique au nickel ?


Hok 1b hgd3rj - Eugenol
Hokusai

26/11/2024 à 14h22

Dentarue écrivait:
--------
> Tu noteras que je n’ai jamais critiqué ton travail

c est peu de le dire ☝️


Hok 1b hgd3rj - Eugenol
Hokusai

26/11/2024 à 14h24

chicot29 écrivait:
--------
> patient pris au hasard toutes les endos que j'ai faites sur ce patient.

t es meme pas spe... en plus t es conventionné... tu ne "joues pas le jeu "

c est une honte ces omni qui enlevent le pain de la bouche des spe non conventionnés... en plus ils profitent de la convention :)))))

c est une full zircone sur la 21 ? de chez labocast ?
une monozir ultra ?
c est esthétique en secteur anterieur ?


Capture d  cran 2015 03 12 12.28 - Eugenol
chicot29

26/11/2024 à 14h36

Dentarue écrivait:
--------
> Des endos radiologiquement satisfaisantes, ça mérite une médaille ☝️

Au tarif sécu certainement.

--
Dentiste qui en a plein le cul.


Capture d  cran 2015 03 12 12.28 - Eugenol
chicot29

26/11/2024 à 14h38

Hokusai écrivait:
-------
> chicot29 écrivait:
> --------
> > patient pris au hasard toutes les endos que j'ai faites sur ce patient.
>
> t es meme pas spe... en plus t es conventionné... tu ne "joues pas le jeu "
>
> c est une honte ces omni qui enlevent le pain de la bouche des spe non
> conventionnés... en plus ils profitent de la convention :)))))
>
> c est une full zircone sur la 21 ? de chez labocast ?
> une monozir ultra ?
> c est esthétique en secteur anterieur ?

Oui monozir UT aucun souci.
--
Dentiste qui en a plein le cul.


Capture d  cran 2015 03 12 12.28 - Eugenol
chicot29

26/11/2024 à 17h23

Dentarue écrivait:
--------
> C’est pas très confraternel cet article que tu remets sans cesse…
> Nous dirons que la Nature est bonne mère.
> Tu noteras que je n’ai jamais critiqué ton travail, la seule remarque que je
> ferais est qu’avec un localisateur d’apex bon nombre de radios per opératoires
> sont inutiles, rien de grave !
> Pour ce qui est de la médaille, tu n’es pas allergique au nickel ?
C'est pas un article c'est le rapport HAS endo. Sinon un localisateur d'apex ne te renseigne pas sur les courbures des canaux.

--
Dentiste qui en a plein le cul.

Xybdebciymg6bx1jny0xgsf4a0kv - Eugenol

Dentarue

26/11/2024 à 20h37

Bien trop besogneux pour moi, je n’aurais pas la patience.


Capture d  cran 2015 03 12 12.28 - Eugenol
chicot29

26/11/2024 à 23h01

Dentarue écrivait:
--------
> Bien trop besogneux pour moi, je n’aurais pas la patience.
Remarques comme t'es endo exclu t'as aucun mal a virer les instruments pétés. C'est comme les RTE c'est plus facile.

--
Dentiste qui en a plein le cul.


Dentarue

27/11/2024 à 05h32

Ne me fais pas dire ce que je n’ai pas dit.
En rte l’anesthésie, notamment pour les molaires mandibulaires c’est pas un souci, on peut commencer de suite.
Pas besoin de chercher une chambre calcifiée, pas de soucis d’hémorragie, et les obturations du dentiste français sont la plupart du temps quasi inexistantes. Aussi c’est pas un problème (en règle générale, il y a toujours des cas particuliers 😉).
Bios ou rte les rdv ont la même durée, 1h30 tout compris pour molaire, avec préparation du plateau technique et tout et tout, une heure pour prémos.
D’ailleurs Rte ou bios , mes tarifs sont les mêmes.
Pour les déposes de très gros IC clavetés molaires je rajoute 15 minutes.
Les déposes de couronnes, screen post, tenons fibre de verre, de carbone, avec l’habitude, sous microscope avec une assistante expérimentée , c’est rien pour moi, c’est la maison qui offre ☝️
25 ans que je ne fais que de l’endo, que je n’ai pas posé une couronne, 25 ans qu’il y a des cons qui me font confiance, je sais un peu de quoi je parle ☝️
Tu m’en veux pour un histoire de radios totalement inutiles, comme si tu avais peur que ton trou du cul mange ta chemise, y’a plus grave.
T’es vexé parce que je ne me tape pas le cul par terre devant ton boulot qui est juste ce qui devrait être la normalité , tu t’en remettras 🤞
Et puis je te livre un scoop : je vois très très peu d’instruments fracturés, même pas un par mois, c’est le dahu cette histoire 😱
Un autre scoop, les 6 et 7 maxillaires ont quasi toujours 4 canaux et les mv2 sont de très loin les plus compliqués à perméabiliser, bien plus que de la peinture canalaire ☝️
N’aie crainte, ça viendra avec l’expérience, ou pas 😘


Hok 1b hgd3rj - Eugenol
Hokusai

27/11/2024 à 07h25

Dentarue écrivait:
--------
> , 25 ans
> qu’il y a des cons qui me font confiance

la je suis d accord avec toi ☝️


Vw campersurfvan bmnk1q - Eugenol
enlaye

27/11/2024 à 07h55

Dentarue écrivait:
--------
" N’aie crainte, ça viendra avec l’expérience, ou pas 😘"

T imagines si en plus tu avais la dextérité du tactacbadaboum ? Tu serais au top , le roi des animaux .🤑


Vw campersurfvan bmnk1q - Eugenol
enlaye

27/11/2024 à 08h22

Eh oui chouchou , 2 ans que tu nous fait gaguer , surtout moi , on ne va pas te lâcher comme ça , la y a plus de gêne, si on pouvait on te passerait à la gégène .👎


Dentarue

27/11/2024 à 08h45

Je suis ici depuis plus de 20 ans, j’en ai vu passer d’autres ⚰️
La dernière comme toi s’appelait annie, le sosie de casa, giromatic, rispi, irrigation à la salive, l’élite ☝️


Hok 1b hgd3rj - Eugenol
Hokusai

27/11/2024 à 08h58

Dentarue écrivait:
--------
> Ne me fais pas dire ce que je n’ai pas dit.
> En rte l’anesthésie, notamment pour les molaires mandibulaires c’est pas un
> souci, on peut commencer de suite.
> Pas besoin de chercher une chambre calcifiée, pas de soucis d’hémorragie, et les
> obturations du dentiste français sont la plupart du temps quasi inexistantes.
> Aussi c’est pas un problème (en règle générale, il y a toujours des cas
> particuliers 😉).
> Bios ou rte les rdv ont la même durée, 1h30 tout compris pour molaire, avec
> préparation du plateau technique et tout et tout, une heure pour prémos.
> D’ailleurs Rte ou bios , mes tarifs sont les mêmes.
> Pour les déposes de très gros IC clavetés molaires je rajoute 15 minutes.
> Les déposes de couronnes, screen post, tenons fibre de verre, de carbone, avec
> l’habitude, sous microscope avec une assistante expérimentée , c’est rien pour
> moi, c’est la maison qui offre ☝️
> 25 ans que je ne fais que de l’endo, que je n’ai pas posé une couronne, 25 ans
> qu’il y a des cons qui me font confiance, je sais un peu de quoi je parle ☝️
> Tu m’en veux pour un histoire de radios totalement inutiles, comme si tu avais
> peur que ton trou du cul mange ta chemise, y’a plus grave.
> T’es vexé parce que je ne me tape pas le cul par terre devant ton boulot qui est
> juste ce qui devrait être la normalité , tu t’en remettras 🤞
> Et puis je te livre un scoop : je vois très très peu d’instruments fracturés,
> même pas un par mois, c’est le dahu cette histoire 😱
> Un autre scoop, les 6 et 7 maxillaires ont quasi toujours 4 canaux et les mv2
> sont de très loin les plus compliqués à perméabiliser, bien plus que de la
> peinture canalaire ☝️
> N’aie crainte, ça viendra avec l’expérience, ou pas 😘

heureusement que personne ne t a demandé comment tu travaillais... j imagine pas le roman auquel on aurait eu droit sinon...

du coup, tu vas te conventionner ???


Bkrn47s83sbteqas8ocnwc4tsmqu - Eugenol
éponge magique

27/11/2024 à 09h02

Dentarue écrivait:
--------
> Je suis ici depuis plus de 20 ans, j’en ai vu passer d’autres ⚰️

Et tu étais déjà aussi désagréable, imbu de ta personne et anti confraternel ?


Dentarue

27/11/2024 à 09h02

Non, pas de faux pour moi, et pas de consult à 23 ☝️


Hok 1b hgd3rj - Eugenol
Hokusai

27/11/2024 à 09h06

Dentarue écrivait:
--------
> Non, pas de faux pour moi, mais je me répète ☝️

mais des faux quoi ?? les codes npc rcpe et desobturation existent pour ca... c est aucunement de la fraude.


Dentarue

27/11/2024 à 09h11

éponge magique écrivait:
--------------
> Dentarue écrivait:
> --------
> > Je suis ici depuis plus de 20 ans, j’en ai vu passer d’autres ⚰️
>
> Et tu étais déjà aussi désagréable, imbu de ta personne et anti confraternel ?

Ça ne change pas un homme 🎶🎶🎶


Vw campersurfvan bmnk1q - Eugenol
enlaye

27/11/2024 à 09h15

éponge magique écrivait:
--------------
"Et tu étais déjà aussi désagréable, imbu de ta personne et anti confraternel ?"

Pas autant, il n était pas encore déconventionné:-)


Dentarue

27/11/2024 à 09h20

Hokusai écrivait:
-------
> Dentarue écrivait:
> --------
> > Non, pas de faux pour moi, mais je me répète ☝️
>
> mais des faux quoi ?? les codes npc rcpe et desobturation existent pour ca... c
> est aucunement de la fraude.

Encore une fois, on m’a demandé de me déconventionner pour des assainissements parodontaux à 500 qui ne respectaient pas le tact et mesure.
Demain on me tomberait dessus pour des rcpe à 500 si on voulait ma peau.
Je ne suis pas un grand lécheurs de bottes, elgy veut me passer à la gégène ☝️
Et puis y’a pas de solution pour les consults. Ça me ferait chier qu’un patient se plaigne de 50 euros de dépassement en DE pour une consult comme on le lit sur le Google d’un exclusif conventionné ☝️
C’est donner le bâton et c’est petit bras 🤷‍♂️


Hok 1b hgd3rj - Eugenol
Hokusai

27/11/2024 à 09h25

Dentarue écrivait:
--------
> Encore une fois, on m’a demandé de me déconventionner pour des assainissements
> parodontaux à 500 qui ne respectaient pas le tact et mesure.

mais le tact et mesure n'a rien a voir avec la convention mais avec le code de déontologie... y'a des efforts a faire de compréhension...
Le fait d'être déconventionné ne te libère pas de ton obligation de respecter le tact et mesure.

et les consultations avec tes 98% de taux d'acceptation des devis après qu'on t'ait sélectionné les patients... ca va être dur de nous faire pleurer.

Après on a bien compris ta souffrance, mais tu es le seul a pouvoir t'aider.


1...456...

Ce sujet est verrouillé

Les réponses à ce sujet sont désactivées