Cookie Consent byPrivacyPolicies.comUn cas d’agénésie unilatérale - Eugenol

Un cas d’agénésie unilatérale

Loi08sjg4o1vptxpk05k1k7t9tzu - Eugenol
Sam Shippuden

04/02/2025 à 15h56

Salut, la molaire n’est pas bloquée dans la solution finale.

Et dans l’ATP V modifié également, si la base squelettique est de 0.36, l’anneau sera de 0.38 (c’est pour cela que je précise qu’il est mobile sur la barre du secteur 1 en palatin).

Je pense que cela permet d’avoir moins de fragilité que le moover commercialisé et présenté dans le premier document.


1 eugenol dmj5np - Eugenol
Dancha

04/02/2025 à 19h01

Sam Shippuden écrivait:
-------------
> Salut, la molaire n’est pas bloquée dans la solution finale.
>
> Et dans l’ATP V modifié également, si la base squelettique est de 0.36, l’anneau
> sera de 0.38 (c’est pour cela que je précise qu’il est mobile sur la barre du
> secteur 1 en palatin).
>
> Je pense que cela permet d’avoir moins de fragilité que le moover commercialisé
> et présenté dans le premier document.

Tu dis "anneau de .038". C'est bien du fourreau dont tu parles ?
Il y aura quand même un bon frottement, la molaire ne sera pas très libre...
C'est quoi, exactement un "moover?
Merci de m'éclairer.


Loi08sjg4o1vptxpk05k1k7t9tzu - Eugenol
Sam Shippuden

05/02/2025 à 02h12

Salut Dancha,

J’aimerais recentrer la question pour éviter d’écrire trop de longs messages. Même si le sujet est passionnant, cela peut parfois être un peu lourd à lire. ^^

1/ Pouvez-vous m’expliquer pourquoi vous pensez que le système présenté génère plus de frottement qu’une traction « linéaire » sur des arcs de section rectangulaire avec des bks, qui est la technique la plus courante des cabinets

2/ Que pensez-vous de la solution avec minivis illustrée dans les figures 1 et 2 ? C’est celle que je préfère parmi les différentes options, hehe.

3/ Je vous avais fait un schéma du Moover dans les premières photos (une petite partie y était consacrée).


1 eugenol dmj5np - Eugenol
Dancha

05/02/2025 à 11h38

Sam Shippuden écrivait:
-------------
> ..
> 1/ Pouvez-vous m’expliquer pourquoi vous pensez que le système présenté génère
> plus de frottement qu’une traction « linéaire » sur des arcs de section
> rectangulaire avec des bks, qui est la technique la plus courante des cabinets

J’ai souvent utilisé du fil 0,8 mm (.032) au lieu de fil 0,9 mm (.036) dans les fourreaux habituels 0,9 mm (.036). Cela tenait sans trop de problème car dès qu’il y a tension (rotation de la molaire) le fil est relativement bien maintenu dans son logement.

> 2/ Que pensez-vous de la solution avec minivis illustrée dans les figures 1 et 2
> ? C’est celle que je préfère parmi les différentes options, hehe.

Cela me paraît correct pour bloquer.

> 3/ Je vous avais fait un schéma du Moover dans les premières photos.

Oui, mais quelle est la signification du terme en français ? Je ne sais pas de quelle partie du schéma il s’agit (je ne suis qu’un pauvre béotien 😉).


Loi08sjg4o1vptxpk05k1k7t9tzu - Eugenol
Sam Shippuden

05/02/2025 à 16h24

Salut Dancha,

Si vous pensez avoir un esprit béotien, alors je crois bien être carrément un barbare ! 😂

1/ Je suis totalement d’accord avec vous ! Vous tractez sur du rond, mais quel type de Brackets avez-vous sur les autres dents, svp ? Le système ATP-V modifié reprend exactement le principe que vous venez de décrire. Comme c’est du sur-mesure, on peut adapter la taille des sections, tant que cela reste suffisamment rigide.

2/ Nickel, si au moins une est bonne ! 😂 Après tout ce que j’ai raconté, il fallait bien qu’il y en ait une de juste.

3/ Effectivement, j’ai cherché le moover sur internet, mais je ne le trouve pas. Quand je serai de retour au bureau dans quelques jours, je vérifierai. Pour l’instant, je profite un peu avec la famille haha.

4/ J’attends votre solution avec impatience, Dancha ! ^^ J’espère aussi que vous allez continuer à envoyer plein d’exos comme celui-ci, c’est vraiment amusant l’ortho ! ✌🏼😁

PS : J’ai refait le moover de façon plus lisible.

5j1m03jprxhrlvzt7h1s25kpke3k - Eugenol

Loi08sjg4o1vptxpk05k1k7t9tzu - Eugenol
Sam Shippuden

06/02/2025 à 06h40

Salut,
Je viens de tomber sur ce cas partagé sur Instagram. L’appareil ressemble beaucoup à celui dont j’ai parlé, avec quelques différences.

Sphvqnotc98g5be5q77ycygxjc85 - Eugenol

1 eugenol dmj5np - Eugenol
Dancha

06/02/2025 à 10h48

Merci Sam.

Voici ce que je propose.
Deux microvis corticales placées en fond de vestibule et une potence agissant en cantilever pour mésialer.
La traction est mécaniquement plus simple puisque l'ancrage est à la fois antérieur et fixe.
La pose des microvis au travers d'une petite incision horizontale en fond de vestibule est à la portée de tout praticien et peut être faite quasiment en aveugle puisqu'il n'y aucune structure anatomique à risque.
Elle est rapide car elle se réalise sous anesthésie locale légère, et ne nécessite ni lambeau ni suture.
La pression des joues et de lèvres suffit pour réaliser une bonne coaptation des berges de la plaie et la cicatrisation est rapide.

Yqkjn0z0plrtxrewfkpaach96w0y - Eugenol

1 eugenol dmj5np - Eugenol
Dancha

06/02/2025 à 11h58

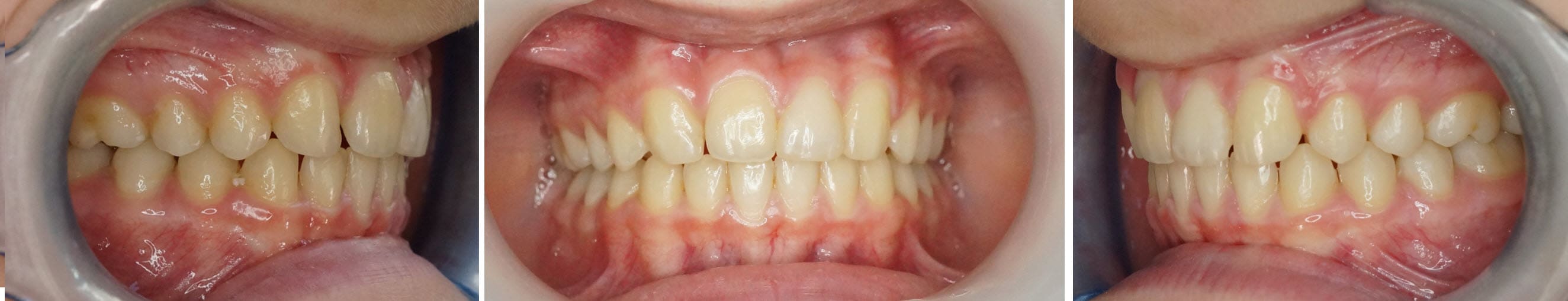
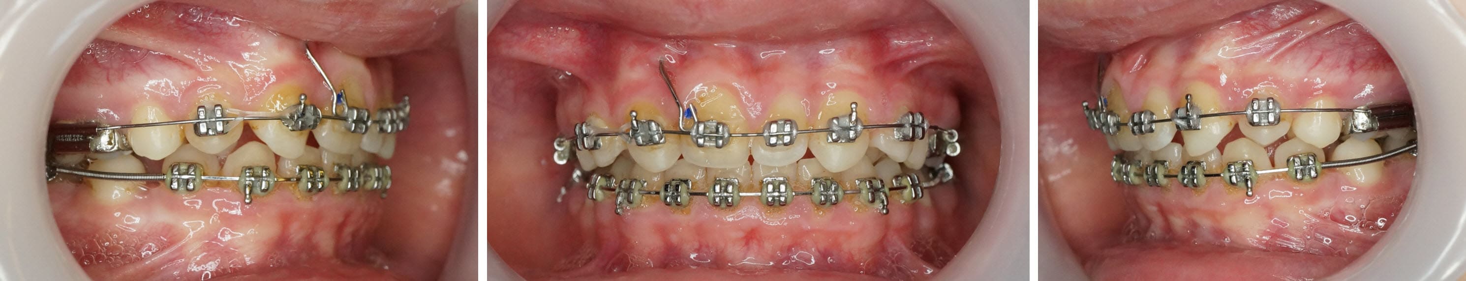
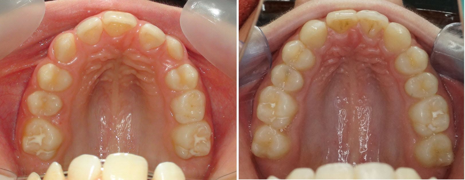
Résultat :

8rl0jbckr2ra6yk2f1wbcdbtyaxo - Eugenol

Loi08sjg4o1vptxpk05k1k7t9tzu - Eugenol
Sam Shippuden

06/02/2025 à 13h40

Très joli cas, comme d’habitude !! ^^

J’aimerais en apprendre un peu plus, s’il vous plaît :

1/ Pourquoi réaliser une incision avant de poser la minivis ?
2/ Quel est le type de bagues utilisé pour le Mx ?
3/ Est ce un arc rond ? Quelle est la dimension ?
4/ Par quel mécanisme avez-vous réalisé la traction de tout le secteur 1 svp ?
5/ Comment avez-vous bloqué la 11 + le secteur 2 ? Ou bien, grâce à la traction directe sur la minivis, n’avez-vous observé aucun mouvement parasite du secteur 2 ?

Merci à vous pour le partage de votre savoir, Dancha !


Loi08sjg4o1vptxpk05k1k7t9tzu - Eugenol
Sam Shippuden

06/02/2025 à 13h40

Très joli cas, comme d’habitude !! ^^

J’aimerais en apprendre un peu plus, s’il vous plaît :

1/ Pourquoi réaliser une incision avant de poser la minivis ?
2/ Quel est le type de brackets utilisé pour le Mx ?
3/ Est ce un arc rond ? Quelle est la dimension ?
4/ Par quel mécanisme avez-vous réalisé la traction de tout le secteur 1 svp ?
5/ Comment avez-vous bloqué la 11 + le secteur 2 ? Ou bien, grâce à la traction directe sur la minivis, n’avez-vous observé aucun mouvement parasite du secteur 2 et de la 11 ?

Merci à vous pour le partage de votre savoir, Dancha !


1 eugenol dmj5np - Eugenol
Dancha

06/02/2025 à 16h39

Sam Shippuden écrivait:
-------------

> 1/ Pourquoi réaliser une incision avant de poser la minivis ?
> 2/ Quel est le type de brackets... ?
> 3/ Est ce un arc rond ... ?
> 4/ Par quel mécanisme ... ?
> 5/ Comment avez-vous bloqué la 11 + le secteur 2 ... ?
>

Que de questions intéressantes !
Quelqu'un peut-il m'aider à répondre, au moins à la première qui porte sur l'incision ?


1 eugenol dmj5np - Eugenol
Dancha

06/02/2025 à 21h16

Réponse à la question 2 :

Ce sont des braquets de Begg (j’écris « braquets » et non « brackets » car c’est la véritable orthographe ! C’est bien un mot français que les anglo-saxons ont osé nous piquer pour le renvoyer avec une orthographe frelatée !).
Ils ne sont plus commercialisés mais avaient pour principe de déplacer d’abord les couronne des dents avant de réaliser leur redressement radiculaire.
La facilité avec laquelle les couronnes se déplaçaient avec des arcs NiTi était étonnante.
Il était souvent possible de bénéficier ensuite d’un calage par l’occlusion pour éviter une éventuelle dérive pendant leur redressement radiculaire qui pouvait alors être réalisé sans difficulté à l’aide des accessoires préfabriqués.
D’où leur utilisation ici.

On déplace d’abord les couronnes, puis on redresse les racines qui le nécessitent avec un petit ressort unitaire. Pourquoi faire compliqué quand on peut faire plus simple ?
Le seul défaut que je leur trouvais était parfois la difficulté de réaliser de bonnes finitions.
C’est pour cela que je les ai remplacés ici un peu plus tard par des braquets plus classiques. J’aurais pu encore améliorer le torque de la 13, mais la jeune fille venait de très loin et on a décidé de s’en tenir là.

Lorsque la commercialisation de ces attaches été abandonnée pour cause d’évolution en « TipEdge », je n’ai pas suivi… Je les ai remplacés par les attaches manufacturées en résine, encore plus simple qu’on appelle « Danchimons ». Si ça vous intéresse, je pourrai vous monter des cas paraissant complexes traités exclusivement avec ces attaches en composites.


1 eugenol dmj5np - Eugenol
Dancha

06/02/2025 à 21h19

Ressort pour mésialer l'apex après mise en place (rapide) de la couronne.

Hxoygj7ntsc3h8iscyamvfv2je40 - Eugenol

1 eugenol dmj5np - Eugenol
Dancha

06/02/2025 à 21h26

Fin du traitement orthodontique et après les premières coronoplasties.
La suite sera réalisée par son praticien traitant.
Je n'ai pas d'images finales, cette jeune fille venait de très loin et j'ai pas voulu la forcer à revenir uniquement pour le plaisir de faire des photos.

Lj78c2m54qe88q3blojnw69o5q7b - Eugenol
D9ynk66x1m5copwf7rte3x8by0jf - Eugenol

1 eugenol dmj5np - Eugenol
Dancha

07/02/2025 à 10h28

Sam Shippuden écrivait:
-------------
> ...
> 1/ Pourquoi réaliser une incision avant de poser la minivis ?
> ...

Tout simplement parce que les microvis sont sous-muqueuses, au fond du vestibule !
La mis en place se fait sous anesthésie locale légère de part et d'autre du site d'intervention.
La procédure est la même que celle qu'on réalise pour une traction de canine incluse dont voici une simulation :



Seules différences pour notre cas : les microvis ont été placée plus en avant d'une part, à côté de l'orifice piriforme, l'une au dessus de l'autre d'autre part et non à l'horizontale.




Loi08sjg4o1vptxpk05k1k7t9tzu - Eugenol
Sam Shippuden

08/02/2025 à 03h23

Salut Dancha,

Très intéressant comme cas, et merci pour la petite culture générale sur les braquets !

1/ J’ai regardé les braquets de Begg, et, ils ont un slot rond, c’est ça ?
2/ Pourriez-vous me montrer le mécanisme permettant de déplacer les racines dans un second temps ? Si vous avez un article ou des cas cliniques, ce serait encore mieux !
3/ J’aimerais bien en voir + sur les Danchimons si vous le proposez, j’aime bien le nom, ça sonne un peu comme quelque chose issu de la culture japonaise 😁
4/ Super résultat, avec une belle mécanique ! Comment avez-vous géré la déviation au niv maxillaire svp ?
5/ Travaillez-vous également avec les aligneurs ? Je suis sûr que vous devez bien vous amuser avec la mécanique et l’individualisation des traitements !

6/ Ce système est vraiment intéressant ! Je l’avais découvert lors de mon premier congrès d’orthodontie il y a environ deux ans, et c’était intéressant. Je comprends mieux maintenant l’incision. Pensez-vous que ce soit réalisable au laser diode si je teste à l’avenir ?

Je fais souvent des « cannes à pêche » avec boucles sur un disjoncteur ou sur une plaque de Hawley, par exemple, afin d’obtenir un ancrage. Mais je trouve le système en vidéo plus optimisé, notamment en combinaison avec les aligneurs. Actuellement, nous ne pouvons pas effectuer de traction des canines avec ces derniers. Une traction indépendante sur mini-vis permettrait d’optimiser le traitement par aligneurs lorsqu’une traction importante de la canine est nécessaire.

Avez-vous plus d’informations sur ce système ? Notamment les indications, son coût, le temps moyen de traction, et les éventuels risques de mobiliser les dents adjacentes à la canine. Si celles-ci sont immobilisées par l’aligneur, cela pourrait potentiellement poser problème pour les dents adjacentes, qu’en pensez vous 🤔 ?

PS : Si vous avez d’autres exercices sur des cas cliniques et un peu de temps, ce serait avec plaisir ! D’habitude, je n’ai pas grand-chose à faire à part ça. 😂


1 eugenol dmj5np - Eugenol
Dancha

11/02/2025 à 19h02

Sam Shippuden écrivait:
-------------

> 2/ Pourriez-vous me montrer le mécanisme permettant de déplacer les racines dans
> un second temps ?

Regarde bien les avant-dernières images que j’ai postées et tu en verras un exemple. Je montrerai un peu plus tard un cas complet.

> Pensez-vous que ce soit réalisable au laser diode si je teste à l’avenir ?

Je pense personnellement que c’est mieux contrôlé à la lame froide, car on pousse jusqu’au contact osseux.

> 3/ J’aimerais bien en voir + sur les Danchimons si vous le proposez, j’aime bien…
> …
> 6/ Ce système est vraiment intéressant ! Je l’avais découvert…(…)
> Avez-vous plus d’informations sur ce système ? Notamment les indications…

Il s’appelle « système CT8 ». C'est un ancrage universel qui peut être utilisé seul (dans les cas de canines incluses par exemple) ou avec d’autres appareils.

Cela a été plusieurs fois présenté cela sur ce forum. Nous avons publié pas mal d’articles par ailleurs.
Ceux qui sont intéressés peuvent me contacter en message privé avec leurs coordonnées et leur lieu d'exercice, afin que je puisse leur en envoyer en PDF.


Loi08sjg4o1vptxpk05k1k7t9tzu - Eugenol
Sam Shippuden

25/02/2025 à 21h11

Salut Dancha,
Très intéressant ! J’ai effectivement trouvé des informations sur le principe permettant de déplacer la racine par la suite. Si vous avez d’autres cas cliniques intéressants ou des approches ludiques comme celles que vous proposez, n’hésitez pas à les partager, c’est super enrichissant !

Nickel, merci ! Je vais checker les autres posts pour en apprendre davantage sur le "système CT8".


1...45