Cookie Consent byPrivacyPolicies.comUn cas d’agénésie unilatérale - Eugenol

Un cas d’agénésie unilatérale

Jack 2 wm3tqs - Eugenol
Treponem

22/01/2025 à 16h39

ELGY écrivait:
----
> Non pas moi.
> Cl II overjet inc.
>
> Utiliser la croissance mandibulaire dans un premier temps ?
> Mais pas de suite.

Pas mieux


Et7jtaj0pdi18gzjlxjiamlx15gs - Eugenol
Prunelles

22/01/2025 à 17h33

Pour que je comprenne mon erreur, dans une classe II, les canines mandibulaires ne devaient-elles pas être derrières les maxillaires ?

A4u3md41hb0vuqjdf1s7v3bjnod4 - Eugenol

Y3rgx68nbpv7tqitq86azx8sf72v - Eugenol
ELGY

22/01/2025 à 17h38

Oui, mais pour une full Cl II


1 eugenol dmj5np - Eugenol
Dancha

22/01/2025 à 20h38

ELGY écrivait:
----
> ...
> Utiliser la croissance mandibulaire dans un premier temps ?
> Mais pas de suite. Et si incompétence mandibulaire.
> Sans Rx difficile de dire.

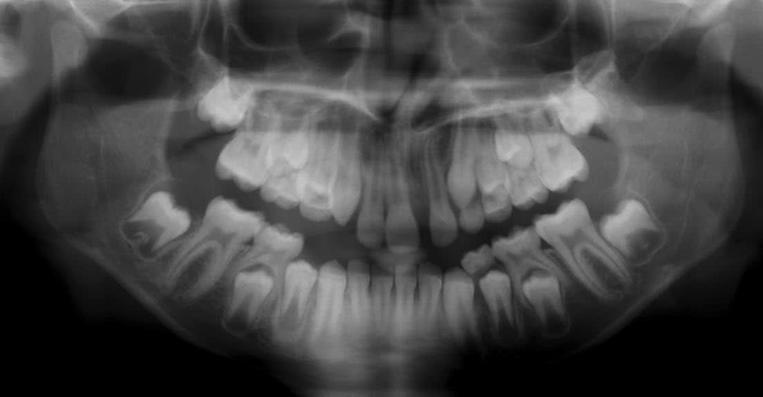
Voici les clichés radios demandés. Cette jeune fille a 7 ans.
Qu'est-ce que tu proposes ?

X5gkhlescrcwf6f4lkstxosoh96y - Eugenol
Xy9mfbwjthm1x5f9nmix80t1v2ng - Eugenol

Picture1111 zburnd - Eugenol
saidkholoki

23/01/2025 à 14h32

Bonjour,
Je crois que la décision orthodontique peut attendre car les racines des incisives n'ont pas fini leur formation. Il reste deux problèmes: le cote esthétique et la classe II!
Un EF classe II pourrait être utile dans un premier temps. Reste le problème esthétique? il faut improviser!

--
A suivre...
Said


1 eugenol dmj5np - Eugenol
Dancha

23/01/2025 à 18h43

Bonsoir Said,
Merci pour ta réponse d'expert, cependant je ne suis pas sûr que le monde sache ce qu'est un "EF classe II".
Pourrais-tu nous expliquer ce que c'est, à quoi ça sert, comment ça marche, comment l'utiliser etc... ?
Merci tout plein.


Et7jtaj0pdi18gzjlxjiamlx15gs - Eugenol
Prunelles

23/01/2025 à 21h01

Je pose ça là : https://orthoplus.fr/wp-content/uploads/2023/11/CatalogueEF_2023.pdf

Serais personnellement intéressé par une brève explication !


1 eugenol dmj5np - Eugenol
Dancha

24/01/2025 à 18h23

Prunelles écrivait:
---------
> Je pose ça là :
> https://orthoplus.fr/wp-content/uploads/2023/11/CatalogueEF_2023.pdf
>
> Serais personnellement intéressé par une brève explication !

Said, es-tu toujours là 😊?
On a besoin de toi !


1 eugenol dmj5np - Eugenol
Dancha

25/01/2025 à 19h26

Said n'est pas là pour expliquer l'EF classe II, on verra ça un peu plus tard.
Pour l'instant on va laisser évoluer.
Et voici le cas de cette jeune fille deux ans plus tard, elle a alors 9 ans. On va encore attendre.

W5bpblf3c0p3fwsj9j8qs3lght5t - Eugenol
K0j0o6wppsfqwrxdio0nc4f1x6o0 - Eugenol
2gmz6xusq6jdhv3n9l959g7ynf6b - Eugenol

1 eugenol dmj5np - Eugenol
Dancha

25/01/2025 à 19h30

Cette fois elle a 10, on va démarrer quelque chose, mais quoi ?
On ouvre pour remplacer à terme la 21 ou est-ce qu'on ferme l'espace ?
Votre avis ?

Lh0rj2u3t7it6cqnryvpy7r6v58m - Eugenol
S07e2bs16854l4ieud6nrjssod66 - Eugenol
8ut2l5xxfxvkxits19q0b5zh1ami - Eugenol

sexmo

26/01/2025 à 22h11

Bonjour,

pour la solution de Saïd,
j'aurai prescrit la même chose en première intention, avec un Multi T de chez Rocky Mountain Orthodontic par habitude
(et par préférence aux EF de chez Orthoplus mais cela reste la même chose, Innovapharm propose aussi des produits de qualité)
Après connaissance des photos EB/IB/Radios de Maître Dancha, je note la Classe II Dentaire FULL Supra, avec déviation +++ des milieux ... Un indice ?
A ajouter axes 11/23, reste 65/75/85...

Cordialement.

Sexmo.


1 eugenol dmj5np - Eugenol
Dancha

27/01/2025 à 09h54

sexmo écrivait:
-----
> Bonjour,
>
> pour la solution de Saïd,
> j'aurai prescrit la même chose en première intention, avec un Multi T de chez
> Rocky Mountain Orthodontic par habitude
> (et par préférence aux EF de chez Orthoplus mais cela reste la même chose,
> Innovapharm propose aussi des produits de qualité)
>...

C'est intéressant, cela appelle à discussion mais ce serait gentil d'y intégrer ceux qui ne connaissent pas encore ces appareils.
Peux-tu donc expliquer ce qu'est un "EF" ou un "Multi T" ?
Plus précisément, pourquoi en utiliser un ici ?

Merci d'avance.


1 eugenol dmj5np - Eugenol
Dancha

30/01/2025 à 11h56

Il s'agit de gouttières de rééducation préfabriquées (GRP). On pourra éventuellement en discuter à la fin les indications.

Revenons à ce second cas. L'objectif est toujours d'éviter une prothèse pour remplacer la 21 perdue, on va donc fermer l'espace.
Pour le premier cas montré, c'était relativement facile car après avoir fermé les diastèmes il suffisait d'avulser la 12 et de resserrer l'ensemble, tout était centré et gérable à l'aide de coronoplasties.
Pour le deuxième, ce n'est pas si simple...
Les deux cas sont présentés ci-dessous après fermeture des diastèmes. Est-ce que vous percevez la difficulté du second ?
Que proposez-vous ?

Lehhuwkk0kterhglpvi7hy5j8mvg - Eugenol

1 eugenol dmj5np - Eugenol
Dancha

30/01/2025 à 13h17

suite : la voilà (cas 2) avant et après (à parfaire avec une seconde phase de coronoplasties) .

Z1jct9berwz9k4rlslm8973eitrq - Eugenol

Loi08sjg4o1vptxpk05k1k7t9tzu - Eugenol
Sam Shippuden

31/01/2025 à 02h19

Bonsoir à tous,

Danchan, vos messages et interventions sont très intéressants, car on ressent la passion qui vous anime.

1/ À ma petite échelle et selon mon expérience d'utilisation, l’EF2 est un éducateur fonctionnel de classe 2, ce qui implique l’existence de l’EF1 et de l’EF3. Il peut être fabriqué en matière souple ou rigide. Nous utilisons principalement la version souple, plus confortable pour le patient. Toutefois, j’emploie parfois le modèle rigide (pour les patients coopératifs, haha), car lorsqu’il est bien porté, il permet de corriger les supra. Nous le préconisons pendant six mois, quelques heures en journée et la nuit.

Il est généralement utilisé après la phase d’interception avec une plaque d’expansion maxillaire, un disjoncteur, etc ... Son rôle est censé être de corriger la classe (ce dont je ne suis pas totalement convaincu), mais nous apprécions surtout son aspect fonctionnel. Il favorise en effet le repositionnement de la langue et encourage la respiration nasale. Couplé à des exercices de rééducation fonctionnelle, il donne de bons résultats. Il est vrai que, dans un premier temps, le patient a tendance à se réveiller avec l’appareil posé à côté de son oreiller, mais en travaillant sur les fonctions, il finit par s’y habituer et montre des signes de progrès.

Théoriquement, après une phase d’interception, notamment dans le sens transversal, cet appareil permet d’éviter les récidives grâce à un effet à la fois de maintien et fonctionnel.

2/ Très beau cas, d’autant plus intéressant avec le recul et la possibilité d’observer la patiente plusieurs années plus tard, qui plus est dans des conditions agréables.

3/ Que pensez-vous des techniques modernes, notamment des mini-implants temporaires non ostéointégrés ? Ou encore de l'utilisation des aligneurs en interception, combinés à votre approche, afin de corriger précocement la position des incisives (bien sûr après la formation complète des racines) ? Cela permettrait, d’une part, d'éviter l’espace inesthétique causé par la perte précoce d’une incisive centrale et, peut-être, de favoriser une éruption plus mésiale des canines. Laisser faire la nature autant que possible me semble une bonne approche, après tout, c’est elle qui gouverne, haha.

Bien à vous.


1 eugenol dmj5np - Eugenol
Dancha

31/01/2025 à 16h38

Sam Shippuden écrivait:
-------------

> .....
> .., l’EF2 est un éducateur fonctionnel de classe 2, ce qui implique l’existence de l’EF1 et de
> l’EF3. Il peut être fabriqué en matière souple ou rigide. Nous utilisons
> principalement la version souple, plus confortable pour le patient. Toutefois,
> j’emploie parfois le modèle rigide (pour les patients coopératifs, haha), car
> lorsqu’il est bien porté, il permet de corriger les supra. Nous le préconisons
> pendant six mois, quelques heures en journée et la nuit.

Merci pour ces informations sur les « EF ».

> Il est généralement utilisé après la phase d’interception avec une plaque
> d’expansion maxillaire, un disjoncteur, etc ... Son rôle est censé être de
> corriger la classe (ce dont je ne suis pas totalement convaincu),

Je n’en suis pas convaincu non plus ! On peut lire d’ailleurs lire ceci dans un article passionnant intitulé « Rééducation myofonctionnelle orofaciale assistée par gouttière de rééducation préfabriquée et orthodontie » (GRP) paru en juin 2023 dans« l’Orthodontie Française » (Orthod Fr 2023 ;94 :247-310) :

« La plupart des données publiées montrent que les GRP sont moins efficaces que d’autres appareils réalisés sur mesure pour corriger les malocclusions. Ainsi, une revue systématique et métanalyse consacrée à la comparaison du traitement de malocclusions de classe II, division 1 par des GRP ou des appareils fonctionnels sur mesure a conclu que « de nombreuses allégations faites par les fabricants de GRP concernant leurs effets cliniques ne sont pas étayées par des preuves actualisées de haute qualité » et « les GRP sont nettement moins efficaces (que les appareils fonctionnels sur mesure) pour traiter les malocclusions de classe II autrement que par des effets dento-alvéolaires. Les GRP offrent un bien moindre potentiel de modification de la croissance du squelette ou d’amélioration du profil facial (….) Au vu des possibilités thérapeutiques limitées des GRP utilisées seules, nous préférons utiliser les appareils les plus efficients, c’est-à-dire les plus efficaces avec le temps de traitement le plus court, requérant une moindre observance du patient et entraînant le moins d’effets indésirables sur les arcades dentaires, notamment la vestibuloversion des incisives mandibulaires. »

> ...
> apprécions surtout son aspect fonctionnel. Il favorise en effet le
> repositionnement de la langue et encourage la respiration nasale. Couplé à des
> exercices de rééducation fonctionnelle, il donne de bons résultats. Il est vrai
> que, dans un premier temps, le patient a tendance à se réveiller avec l’appareil
> posé à côté de son oreiller, mais en travaillant sur les fonctions, il finit par
> s’y habituer et montre des signes de progrès.
>

Je rajoute que la ventilation nasale n’est possible que si la posture de la tête est correcte, permettant de maintenir la bouche fermée d’une manière permanente.
On pourra en reparler si cela vous intéresse.
Je me permets de mettre un petit bémol personnel à une utilisation non contrôlée car pendant la déglutition son port empêche les contacts dentaires qui sont pour moi fondamentaux pour le développement des structures osseuses. Je pense à notre maître Jean Delaire qui disait qu’il suffit la plupart de temps de faire déglutir en serrant les dents…

>…
> 3/ Que pensez-vous des techniques modernes, notamment des mini-implants
> temporaires non ostéointégrés ?

Beaucoup de bien sur le principe. Je travaille d’ailleurs là-dessus depuis plus de 35 ans et suis auteur de nombreux articles sur le sujet.

>.. Ou encore de l'utilisation des aligneurs en
> interception, combinés à votre approche, afin de corriger précocement la
> position des incisives (bien sûr après la formation complète des racines) ?

Je n’y serais à priori pas très favorable car cela rajouterait un temps de traitement supplémentaire au patient pour un résultat trop limité.

> ... Laisser faire la nature autant que possible me semble une
> bonne approche, après tout, c’est elle qui gouverne, haha.

Tout à fait d’accord.


Loi08sjg4o1vptxpk05k1k7t9tzu - Eugenol
Sam Shippuden

31/01/2025 à 21h16

Bonsoir, merci pour toutes ces données qui m'enrichissent ! Et bien sûr, si vous avez encore plus à m'apprendre sur le sujet, ce sera avec plaisir (surtout sur les aligneurs homemade, c'est ma passion du moment – j'adore l'idée d'une individualisation ++ du traitement) ! :)

Je suis tout à fait d'accord avec vous sur le fait que des EFs seules sont inutiles et que vous "usez" de la coopération de votre patient, haha. Mais je la trouve efficace en contention, si je puis dire, après une phase d'interception, surtout qu'elle est pratique pour réaliser des exercices avec le patient de façon ludique.

Cependant, je suis d'accord : sans suivi ni exercices ciblés sur la respiration, l'immaturité linguale, la déglutition, l'interposition linguale ou encore la prise de conscience, cette gouttière est inutile seule.

Heureusement, avec le numérique, nous avons désormais la possibilité de partager et d'optimiser encore plus nos plans de traitement pour toujours chercher ce qui peut être encore meilleur ! :p


1 eugenol dmj5np - Eugenol
Dancha

01/02/2025 à 09h31

Sam Shippuden écrivait:
-------------
> ....
> ... de favoriser une éruption plus
> mésiale des canines.

C'est bien vu, si on supprime une incisive latérale, il faut mésialer la canine du même côté.

Dans le premier cas présenté, le traitement était simple car les canines étaient déjà en classe II.
Pour ce cas-ci, le problème est que la 13 est quasiment en classe 1.

On va avulser la 12.
Comment faire pour mettre la canine à sa place sans déplacer l'incisive centrale ? Quelle mécanique ?

Z58wux5s7sh173bqp8p9lf3olapt - Eugenol

Loi08sjg4o1vptxpk05k1k7t9tzu - Eugenol
Sam Shippuden

01/02/2025 à 21h59

Salut Dancha, désolé pour le pavé et les erreurs. J’ai préféré le faire en doc, c’est plus fluide. ^^


Loi08sjg4o1vptxpk05k1k7t9tzu - Eugenol
Sam Shippuden

01/02/2025 à 22h05

Ah, nous ne pouvons pas envoyer de documents en PDF ?
J'espère que les images sont dans l'ordre ^^

Bk049ho7bltqx43ubj15qt42vdkx - Eugenol
6icitiwkzy0axgnv4k1y9qawsxf1 - Eugenol
Eyle5fwyj2eplzt3svv45mv9rtrr - Eugenol
8iugx49m3dt8uci9a22od96zp4ov - Eugenol
1kt3yk8pm1sx7dobb38cgkzofgzr - Eugenol
6ccrxnxzqcdq18agev8a7dmizmp4 - Eugenol

sexmo

02/02/2025 à 00h30

Dancha,

pour l'automatisation de la Déglutition salivaire 2ndR dite adulte, en arcades serrées, contact bilabial, sans contracture labio-jugale intempestive,
recommandes-tu donc le Froggy Mouth du DR FELLUS alors ?
avec recours complémentaire à une orthophoniste ou kiné-maxillo-facial compétente sur le sujet ?

Bien à toi.

Sexmo.


1 eugenol dmj5np - Eugenol
Dancha

03/02/2025 à 15h00

Sam Shippuden écrivait:
-------------
> J'espère que les images sont dans l'ordre ^^

Excellente analyse qui propose même avec beaucoup de détails plusieurs solutions ! C'est très intéressant et ça montre que l'orthodontie n'est pas toujours aussi simple qu'on pourrait le croire quand on écoute le discours de certains fabricants de gouttières.

Avant que je montre moi-même l'approche encore différente que j'ai choisie (😊) pour traiter ce cas, pourrais-tu nous dire exactement où tu placerais une vis pour bloquer 21 et 23 ? Et comment une simple ligature en 8 pourrait être suffisante, sans risque de générer une composante verticale délétère ?

---------------------------------------------------------------------------------

sexmo écrivait:
-----
> ... de la Déglutition salivaire 2ndR dite adulte...

Question très intéressante. Si tu veux bien on discutera de cela après ce cas-ci. Merci d'avance pour ta patience.


Loi08sjg4o1vptxpk05k1k7t9tzu - Eugenol
Sam Shippuden

03/02/2025 à 23h59

Salut Dancha !
Merci, ça fait plaisir comme on dit si ma rep était un minima intéressante …✌🏼

J’ai l’impression que vous aimez bien les minivis haha ! D’après les quelques cas que j’ai vus sur le forum, vous les utilisez souvent.

Pour être honnête, je n’ai aucun recul sur les minivis antérieures, à part des conférences, mais ça compte pas. C’est pour ça que j’ai simulé que le patient ne choisissait pas les minivis… Vous m’avez percé à jour 😂

Donc, autant je peux parler des minivis pour mésialer des molaires ou des prémolaires, qui auront une direction plus linéaire et donc plus facile à gérer, autant pour une canine, c’est une autre histoire. Elle doit effectuer un mouvement postéro-ant, mais aussi une composante disto-mésiale, et on ajoute à celà la présence des incisives au front, dont le coefficient de résistance est très faible, entraînant ainsi des mouvements parasites significatifs.

Je vais tenter de me prêter à votre exercice avec les faibles données scientifiques que j’ai sur le sujet, désolé pour le pavé ça m’aide haha.

Concernant l’option des minivis, vous soulevez une très bonne question sur la gestion verticale, surtout à cause du contact limité bout à bout des incisives.

Finalement, je n’aime pas la technique de mésialisation indirecte avec les minivis pour ce cas de figure (et c’est pour ça que l’individualisation en ortho est importante : ne jamais standardiser un cas ! Ce que j’ai fait sans réfléchir… désolé).

Dans ce cas précis :
- Si nous mésialons la canine sans rien attacher, nous aurons surtout du “rabbitting” coronaire (qui donnera une pseudo-égression dans le sens vertical, + qu’une véritable égression), ainsi qu’une déviation du milieu maxillaire. Généralement, la papille retro-inc et l’orientation du frein labial supérieur me servent de repères si je veux monitorer cela.
-> Mais risque d’AI ant (++) donc nan

- Maintenant, si je fais l’erreur que j’ai mentionnée dans mon premier message, même si j’attache et mésialise de façon indirecte, il y a finalement un risque, comme vous l’avez si bien dit, en vue frontale secteur ant. Soit ma ligature en 8 n’est pas totalement bien attachée, ce qui engendrerait un peu de rabbitting et… bim, AI ! Soit elle est bien attachée mais par une méthode non coulissante (dixit Rickets). Dans ce cas, un fort TRV se crée, ce qui risque d’entraîner une instabilité post-traitement des incisives dans l’os… voire une sortie de la racine 🪟, surtt avec tout ce que nous allons mésialer par la suite. De plus l’incisive 11, étant en première ligne face à la méga canine au coef de resistance élevé, subirait beaucoup plus d’effets parasites que les autres dents meme bien ligaturer.

Donc, toujours un risque d’AI, un TRV++… C’est une histoire à mal dormir la nuit. Même si je mets du torque positif dans mon fil, je doute que ce soit suffisant. Et je ne peux pas faire un UA, car je n’ai plus de pilier de traction ensuite.

Merci de me faire évoluer, en plus avec une correction et la solution par la suite… j’en profite 😂

Bref, et si je réfléchissais à l’envers ? Qu’est-ce qui m’empêche de transformer mes problèmes (les effets parasites) en solutions pour mon AI ? Après tout, c’est avec les problèmes et la galère qu’on évolue 😁

On a dit que la mésialisation est le mouvement qui requiert le moins de force, étant le plus naturel. (Si une verticalisation nécessite 30 gF, et une vestibularisation en demandera 50 gF). Je pense donc qu’une force de 30 gF maximum sera suffisante. Ce sera donc facile à obtenir avec du Blue Elgiloy plié.

Solution finale :

Étape 1 (photo Figure 1)

1. Arc SS ou TMA 7-7 en 18x25, avec une ligature en 8 de 11 à 26, un peu lâche, car je veux profiter des effets parasites sans créer de déviation maxillaire. En général, cela suffit pour cet objectif.

2. Minivis de 1,5 mm de diamètre et 6 mm de longueur (plus proche de la racine de 11)

3. Bras en Blue Elgiloy 18x25, avec double boucle côté intérieur. La partie horizontale doit être 1,15 fois plus grande que l’espace à fermer entre la canine et l’incisive. J’ajoute une gaine en plastique dessus pour éviter de blesser le patient.

4. Ligature en 8, car même si les effets parasites ne m’inquiètent plus face au risque d’AI, au pire, je risque peu de proversion coronaire → pseudo-ingression → accentuation de l’infra. Je temporise ces effets au maxx avec la ligature et les corrigerai par la suite a l’etape 2 avec les effets parasites contraires (Les mouvements de va-et-vient sont déconseillés, mais ici, ils seront négligeables.)

Etape 2 (photo figure 2) : Une fois la mésialisation de la canine faites le plus dure, je fais la mésialisation de mon bloc lat classique ou j’ai justement du recul


Solution bonus en minivis :

Je fais un ATP-V avec mini vis d’ancrage palatin que je fais un peu plus svt (gnrlmt utiliser après un pendulum de Hilgers modifié) et du coups je peux reproduire la meme solution que j’avais dis avec le ngv mais cette fois avec une solution mini vis et donc + d’ancrage


PS : Désolé, Dancha, pour le pavé et les erreurs encore une fois ! Et merci grâce à vous, mon blabla car a été plus agréable 😁 !

Eamkji2103nn81w8gi7do3i5ava0 - Eugenol
C1ynrvddkavu2davdfqfdz8m0l1q - Eugenol

Loi08sjg4o1vptxpk05k1k7t9tzu - Eugenol
Sam Shippuden

04/02/2025 à 02h13

Solution Bonus – ATP-V modifié

Une base squelettique en 0.36, à vérifier pour s’assurer qu’elle est suffisamment rigide.

La face palatine des dents du secteur 1 est collée. Il s’agit de bases reliées à un anneau sur la barre palatine, avec des chaînettes permettant de tracter les dents une à une.

Un prolongement est ajouté à l’arrière des incisives maxillaires, ainsi qu’un autre partant de la face distale de la 11 jusqu’au niveau vestibulaire. Ce dispositif vise à limiter les mouvements parasites. Étant donné que les dents 13/14/15 et 16 ne seront pas directement prises en charge dans l’Ac, mais uniquement tractées par l’ATP-V, ces mouvements parasites resteront présents, bien que réduits à un taux tres faibles par rapport à tous les systèmes grâce notre traction direct sur l’ATP-V et sans prise en charge dans l’Ac des dents tractées.

Certes, cet appareil sur mesure représente un coût légèrement supérieur, mais il permet un gain de temps au fauteuil en ne nécessitant que le changement des chaînettes. De plus, il assure une efficacité accrue, permettant ainsi de se concentrer sur d’autres aspects du traitement.

Dy8ztr709q8cri9vrvhw3ts7jeag - Eugenol

1 eugenol dmj5np - Eugenol
Dancha

04/02/2025 à 11h47

Sam Shippuden écrivait:
-------------
> Solution Bonus – ATP-V modifié
>
> Une base squelettique en 0.36, à vérifier pour s’assurer qu’elle est
> suffisamment rigide....

Un arc transpalatin (ATP), c'est bien mais... ça bloque la molaire qu'on aimerait voir se mésialer également, ne crois-tu pas ?
Dès que je peux je mets la suite.