Cookie Consent byPrivacyPolicies.comj' ai osé essayer.... - Eugenol

j' ai osé essayer....

phil

19/09/2005 à 17h42

le problème est que sur une lesion paro un peu ancienne surtout avec une mobilité il y a epithélisation progressive en direction apicale avec perte d'ancrage .... donc impossibilité d'avoir la moindre reparation naturelle .. par contre si c'est pas trop vieux il persiste des fibres desmodontales ancrées dans le cement ...les fibres de sharpey .... la remineralisation se fait alors .......car l'origine est loin d'être toujours endodontique ....

c'est pour cela que je dis qu'il faut pas sonder ....preservons les fibres presentes car si on sonde on detruit et l'epithèlium migre très vite ... une cellule epithéliale c'est capablme de fournir 1 mm en 24 heures ...une fois la chenillette enclenchée ...


Grueavatar nptrc9 - Eugenol
Le Choixpeau magique

19/09/2005 à 21h13

Je dois dire que cette façon de soigner sans faire de diagnostic ne me plait pas trop.
Si j'ai bien compris, toi Phil dans des cas comme ça tu fais l'endo d'emblée sans faire le diagnostic, ça peut se défendre, tu ne prends pas beaucoup de risque (à part peut être celui de laisser perdurer une infection en bouche et de perdre encore plus d'os), mais si on fait un traitement uniquement paro alors qu'on ne sait pas si le problème n'est pas d'origine endo, on passe peut être à côté de possibilités de réparation spectaculaires (voire ad integrum!).
Quant à la démarche qui consisterait à faire une antibioprophylaxie probabiliste alors qu'on n'a même pas posé de diag, je ne suis vraiment pas d'accord du tout.


phil

19/09/2005 à 21h57

Le Choixpeau magique Ecrivait:
-------------------------------------------------------
> Je dois dire que cette façon de soigner sans faire
> de diagnostic ne me plait pas trop.

tu as raison ! mais le diagnostic doit t - il etre complet dès la première séance ! ce qu'il faut c'est prevenir le patient et lui dire dertappeler une fois le debut du traitement coùmmencé et le recevoir si il y a pb

> Si j'ai bien compris, toi Phil dans des cas comme
> ça tu fais l'endo d'emblée sans faire le
> diagnostic, ça peut se défendre, tu ne prends pas
> beaucoup de risque (à part peut être celui de
> laisser perdurer une infection en bouche et de
> perdre encore plus d'os), mais si on fait un
> traitement uniquement paro alors qu'on ne sait pas
> si le problème n'est pas d'origine endo, on passe
> peut être à côté de possibilités de réparation
> spectaculaires (voire ad integrum!).

ces dents à perte terminale sont traitées
1- contention avec ATB si abcès mais pas autrement
2- endo mais pas systématiquement en particulier si la composante occlusale est evidente ...elle peut être décalée un peu plus loin
3- mise en route du protocole paromed
4- laisser le temps au temps mais RX à 3 mois 6 mois
5- sondage seulement si signes cliniques favorables et pas avant six mois
6- si tu as une lesion endo residuelle tu la verras car il y aura alveolyse en apical ne cicatrisant pas bien
7- le sens clinique et l'interogatoire + l'experience donne souvent de meilleurs renseignements que les tests de vitalité et le sondage qui est DANGEREUX dans ces cas très limites

> Quant à la démarche qui consisterait à faire une
> antibioprophylaxie probabiliste alors qu'on n'a
> même pas posé de diag, je ne suis vraiment pas
> d'accord du tout.

pas atbio prophylaxie.... atb curative mais probabiliste si tu as un abcès sévère car il ne faut rien mettre dans les poches de ces dents à parodontites terminales
( j'ai encore eu un nouveau cas aujourd'hui en consult ca va etre très dur mais je tente sur une 11 ).....la semaine prochaine test PCR ( car paro agressive ) mais pas a ce niveau tant pis + contention ......en phase sub aigue mais pas aiguê donc atb après resultat microbio.....


Grueavatar nptrc9 - Eugenol
Le Choixpeau magique

19/09/2005 à 22h51

phil Ecrivait:
-------------------------------------------------------
> ces dents à perte terminale sont traitées
> 1- contention avec ATB si abcès mais pas
> autrement

Devant un abcès d'origine endo, la démarche actuelle des endodontistes est de réaliser un drainage intracanalaire + une incision si l'abcès est collecté, puis de faire l'endo, tout ça sans utiliser d'antibiotiques !
J'ai l'air d'insister mais c'est très important. Cette utilisation à tort et à travers de l'antibiothérapie n'est pas neutre du tout, et va nous mener dans quelques années à une véritable apocalypse sanitaire, à côté la grippe aviaire c'est de la rigolade.


> 5- sondage seulement si signes cliniques
> favorables et pas avant six mois

Je sais que c'est l'approche "Charon", mais il y a-t-il seulement une seule étude qui viendrait donner ne serait-ce qu'un soupçon d'indice que le sondage est dangereux pour le parodonte ? (pareil pour les détartrages d'emblée, mais ce n'est pas le sujet de notre discussion)

> 6- si tu as une lesion endo residuelle tu la
> verras car il y aura alveolyse en apical ne
> cicatrisant pas bien

La morphologie des lésions d'origine endodontique n'est pas un facteur fiable de pronostic.

> atb curative mais
> probabiliste si tu as un abcès sévère car il ne
> faut rien mettre dans les poches de ces dents à
> parodontites terminales

Mais on ne sait même pas si on a une dent atteinte de parodontite poche puisqu'on n'a pas fait de diagnostic !
Et le traitement curatif d'un abcès endo, ce n'est pas l'antibiothérapie, mais bien le traitement endodontique !

> donc atb après resultat microbio.....
>
Là on est d'accord.

Note: Phil, je t'asticote parceque je sais que tu aimes bien les débats constructifs, et tu sais bien que j'ai beaucoup de respect pour ton travail.


Squash u44zd8 - Eugenol
steph

19/09/2005 à 23h15

Pour faire avancer je vais en rajouter aussi.

Ce qui me gêne c'est contention d'abord et traitement paro ensuite, dans le cas d'un surfaçage je peux comprendre qu'on ait besoin de stabiliser la dent avant de cureter.
Mais en cas de lithotritie?

D'abord faire une contention sur une dent parodontosique, donc mobile même légèrement signifie fixer la dent dans une situation arbitraire en relation avec l'occlusion existante bien sûr.
Mais comment s'assurer que cette situation est la meilleure?

De plus les dents traitées migrent toujours pour reprendre leur position d'origine (ces fameuses photos de diastèmes fermés uniquement par la paro).
Donc n'est-il pas plus sage d'entreprendre le traitement puis la contention dans un deuxième temps?

Autre point qui me gêne, le devenir de la contention ; statu quo et surveillance, prothèse systématique, dépose et ODF.

Bon voilà qq points, j'aimerais vos avis selon vos méthodes, vos préférences ou vos écoles.....voilà le mot est lâché.


phil

19/09/2005 à 23h23

Le Choixpeau magique Ecrivait:
-------------------------------------------------------
> phil Ecrivait:
> --------------------------------------------------
> -----
> > ces dents à perte terminale sont traitées
> > 1- contention avec ATB si abcès mais pas
> > autrement
>
> Devant un abcès d'origine endo, la démarche
> actuelle des endodontistes est de réaliser un
> drainage intracanalaire + une incision si l'abcès
> est collecté, puis de faire l'endo, tout ça sans
> utiliser d'antibiotiques !

les endo sont pas des paros .si l'origine est endo tu ouvres ta dent et t'as pas besoin d'inciser forement l'abcès !pauvre parodonte !

> J'ai l'air d'insister mais c'est très important.
> Cette utilisation à tort et à travers de
> l'antibiothérapie n'est pas neutre du tout, et va
> nous mener dans quelques années à une véritable
> apocalypse sanitaire, à côté la grippe aviaire
> c'est de la rigolade.

je ne vois pas si ton atb est ciblée en quoi cela posera pb ..laisser des bacteries dans les tissus c'est dangereux ( risques d'infarctus d'accouchement prema ...aussi ) mais tu as raison utiliser l'ATB sans une veritable approche ciblée c'est embetant. Je precris peu d'antibio de toute façon saches le


> > 5- sondage seulement si signes cliniques
> > favorables et pas avant six mois
>
> Je sais que c'est l'approche "Charon", mais il y
> a-t-il seulement une seule étude qui viendrait
> donner ne serait-ce qu'un soupçon d'indice que le
> sondage est dangereux pour le parodonte ? (pareil
> pour les détartrages d'emblée, mais ce n'est pas
> le sujet de notre discussion)

il n'y a pas d'etudes mais dans la mesure ou tu obtiens une parfaite cicatrisation sans avoir sondé c'est que ton sondage initial te sert à rien ! surtout si les lesions sont jusqu'à l'apex quel interet. pour verifier une lesion endo paro mais tout le parodonte est déminétralisé et cela va s'enfoncer partout très facilement parce rien ne retiendra ta sonde donc pour le diag excuses moi le sondage dans un cas comme cela ne te donnera pas une meilleure approche diagnostic pour l'endo paro qui semble te soucier ..
par contre si tu n'as pas de gros petard comme les cas montrés ci dessus et que tu soupconnes une lesion endo paro oui tu peux sonder par ceque tu auras une descente anormale de la sonde ! le reste etant normal ...a chaque cas son approche !

> > 6- si tu as une lesion endo residuelle tu la
> > verras car il y aura alveolyse en apical ne
> > cicatrisant pas bien
>
> La morphologie des lésions d'origine endodontique
> n'est pas un facteur fiable de pronostic.
>
> > atb curative mais
> > probabiliste si tu as un abcès sévère car il ne
> > faut rien mettre dans les poches de ces dents à
> > parodontites terminales
>
> Mais on ne sait même pas si on a une dent atteinte
> de parodontite poche puisqu'on n'a pas fait de
> diagnostic !

parce que tu crois encore que ta sonde qui pénètre dans un tissus hyperdéminéralisé te donne le vrai diagnostic
!
> Et le traitement curatif d'un abcès endo, ce n'est
> pas l'antibiothérapie, mais bien le traitement
> endodontique !

d'accord avec toi ....mais les 3/4 des alvéolyses terminales que je trouve sont des lesions sur maladie paro et pas des lésions isolées ...si c'est endo paro c'est une seule lésion dans la bouche !
te fixe pas sur le probleme endo il est pas si frequent mais dans le cadre d'une thérapeutique paro avec une belle lesion terminale je prends la décision de faire l'endo pour éviter des soucis car la pulpe de ces dents a souffert mais je ne considère pas ces cas comme des problèmes endo initiaux parce que cela n'en sont pas . Le cas de cet après midi est une parodonte agressive avec une léion sub apicale avec risque de pulpite à retro ...je prends pas le risque je fais faire l'endo
>
> > donc atb après resultat microbio.....
> >
> Là on est d'accord.
>
> Note: Phil, je t'asticote parceque je sais que tu
> aimes bien les débats constructifs, et tu sais
> bien que j'ai beaucoup de respect pour ton
> travail.

mais je sais et tes questions ne sont pas dénuées de bon sens .. en + t'es pas le seul à te poser ce genre de questions . Tu as parfaitement raison et merci d'oser dire ce que tu ressens ...
en + je ne détiens pas la vérité loi de là !

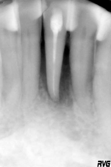
tiens je mets un second cas en mligne avant après et tu me diras ce qyue représente la petite image residuelle en mésial ....canal latéral ?



phil

19/09/2005 à 23h23

voici donc ce second cas ....


phil

19/09/2005 à 23h28

phil Ecrivait:
-------------------------------------------------------
> voici donc ce second cas ....


Dscn2389 copie ejtktt - Eugenol
Dscn2387 cnaws8 - Eugenol

Squash u44zd8 - Eugenol
steph

20/09/2005 à 00h00

Oui ça ressemble à un canal latéral non obturé, d'autant que le TR parait étrangement rectiligne, même pour une incisive inf.
La cavité d'accès montre qu'une minéralisation rendait le traitement difficile.
Donc oui, un canal oublié.
Mais je suis tombé dans un piège....non?


phil

20/09/2005 à 00h46

c'est pas moi qui est fait l'endo ......d'ac avec toi steph ou ....une petite partie de la table vest a disparu ....par contre le parodonte s'est reformé au dessus


Grueavatar nptrc9 - Eugenol
Le Choixpeau magique

20/09/2005 à 01h21

Maintenant, je vais poser une question bête, mais qui me tracasse. Dans tous ces cas avec des dents "lévitantes", où vous arrivez à faire des miracles, c'est à dire à récupérer 1/5 à 1/4 d'os, qu'est-ce que vous faites après ? Je n'oserai jamais réaliser un travail prothétique là dessus.
Je sais que les paros classiques ont tendance à réaliser des bridges/contentions, mais je n'ai jamais tellement compris à quoi ça servait. D'après ce que j'ai cru comprendre, les charonistes sont contre les contentions.
On peut se dire que le patient a gagné quelques années de survie de la dent, mais dans le cadre d'un plan de traitement global, je serai plutôt dans l'esprit de repartir sur des bases saines, c-a-d de ne pas avoir des dents à l'avenir douteux en bouche.
Qui peut éclairer ma lanterne sur ce point ?


Audi tt 2007 jzsdts - Eugenol
sbire

20/09/2005 à 01h46

En fait, ahma, tout dépend du désir du patient et du contexte...
Il est vrai que dans certains cas, il m'arrive de conserver alors le pronostic est défavorable à 5ans... mais si la patient à 95ans...
Actuellement, je traite un cas lilmlite sur une 31 avec des résultas encourageants (demain pour les radios). Ce patient à 45ans, fumeut par épisode, gros stress et amoureux de ses dents(!) Alors on conserve jusqu'au bout (ou tant que cela n'entraine pas de conséquence pour le parodonte environnant). Il est content, ne souffre plus et ça lui va. Dans un même cas, le patient qui me dit de lui sortir la dent et poser un implant, je fonce aprés assainissement paro bien sur.
Je crois aussi que l'optique de chacun, outre la santé du patient et son contentement, fait selon ses connaissances. Le jour ou j'aurais une formation (et donc une envie, mais ça monte bien en ce moment!) en implanto, je crois que les cas limites seront classifiés en cas implanto...

Concernant la contention, je fais selon le cas. Si sans contention, la mobilité est inconfortable et ralentira ou empechera une cicatrisation, alors, charon ou pas, j'en fais une. J'ai jamais vu un ciment durcir convenablement si un couillon touille une barre de fer dedans sans arrêt!


phil

20/09/2005 à 01h47

tu as raison....... il faut toujours faire la part de choses ..
le premier cas que j'ai montré à mon avis tiendra sans souci des années et sans contention car la restauration du parodonte sera très importante ....une contention provisoire est suffisante

le second cas est mon premier cas traité ainsi en 1991 ......la dent a parfaitement tenue sa fonction et il y avait une contention par fil continu qui tenait sans problème .....j'ai du extraire la dent en 2004 le patient ayant reçu un choc fatal cette fois !
il n'y a pas eu de prothèses et la dent a tenu 13 ans .....
si je n'avais pas eu cette approche une approche conventionnelle n'aurait rien apporté je pense ....13 ans est-ce trop court ....je ne sais pas.....

maintenant il faut reflechir au cas par cas...... en paro il est difficile d'avoir une approche univoque ......mon défaut j'en conviens est d'être très conservateur car je repousse loin les limites ......

mais dans le cadre d'un traitement global complexe evidemment on ne conserve pas ces dents ........pas encore ....


carole

20/09/2005 à 17h19

tout est dit...juste une chose: ds mon cas, l' alternative à ma "tentative heureuse" était exo+greffe d' os+implant....en sachant qu' il ne restait presque plus d' os..ok? alors, ce meme cas, demain, s' il perds sa dent, j' ai "gagné" naturellement de l' os vital, vascularisé, plus épais, plus sain....qui sera un bien meilleur lit pour une greffe, voire une base pour une implantation/greffe simultanée si la cicatrisation perdure en ce sens...

aussi, qu 'est ce qui te dis que le 1/5 de recup d' os me satisfait?....loin de là, la situation, prenant une allure favorable, m' incite à poursuivre....avec un risque de nuire au patient égl à zéro....

et si c' est pour extraire et faire un bridge...je me met off direct...

on ne m' a meme pas demandé l' étiologie...domage...trauma occlusal lié à une ccm merdique posée un an avant par son ex dentiste....(passons sur l' endo sous la ccm....) bref, un cas de lésion très localisée, à l' étiologie connue qui se prétait bien à la contention+ttt local....


Audi tt 2007 jzsdts - Eugenol
sbire

20/09/2005 à 18h03

sbire Ecrivait:
-------------------------------------------------------
> En fait, ahma, tout dépend du désir du patient et
> du contexte...
> Il est vrai que dans certains cas, il m'arrive de
> conserver alors le pronostic est défavorable à
> 5ans... mais si la patient à 95ans...
> Actuellement, je traite un cas lilmlite sur une 31
> avec des résultas encourageants (demain pour les
> radios). Ce patient à 45ans, fumeut par épisode,
> gros stress et amoureux de ses dents(!) Alors on
> conserve jusqu'au bout (ou tant que cela
> n'entraine pas de conséquence pour le parodonte
> environnant). Il est content, ne souffre plus et
> ça lui va.


Audi tt 2007 jzsdts - Eugenol
sbire

20/09/2005 à 18h08


>

R5 e76wpr - Eugenol
R6 oz2b9f - Eugenol

phil

20/09/2005 à 18h08

carole Ecrivait:
-------------------------------------------------------
> tout est dit...juste une chose: ds mon cas, l'
> alternative à ma "tentative heureuse" était
> exo+greffe d' os+implant....en sachant qu' il ne
> restait presque plus d' os..ok? alors, ce meme
> cas, demain, s' il perds sa dent, j' ai "gagné"
> naturellement de l' os vital, vascularisé, plus
> épais, plus sain....qui sera un bien meilleur lit
> pour une greffe, voire une base pour une
> implantation/greffe simultanée si la cicatrisation
> perdure en ce sens...
>

ben voila qui est une affaire de simplement que du bon sens
> aussi, qu 'est ce qui te dis que le 1/5 de recup
> d' os me satisfait?....loin de là, la situation,
> prenant une allure favorable, m' incite à
> poursuivre....avec un risque de nuire au patient
> égl à zéro....
>
> et si c' est pour extraire et faire un bridge...je
> me met off direct...
>
> on ne m' a meme pas demandé l'
> étiologie...domage...trauma occlusal lié à une ccm
> merdique posée un an avant par son ex
> dentiste....(passons sur l' endo sous la ccm....)
> bref, un cas de lésion très localisée, à l'
> étiologie connue qui se prétait bien à la
> contention+ttt local....


l'occlusion alors evidemment est en cause .dans ce cas pourquoi parce que en presence de plaque si les capacités d'adaptation à la charge sont dépassées sur un parodonte reduit selon les travaux de LINDHE et coll . et pour repondre à firebird cette occlusion sera un facteur aggravant ... c'est la cas typique de celui de carole...quand doit -on considerer la charge excessive ou quand doit-on considérer la capacité de resister à la charge comme dépassée .....pas facile .....mais le fait de sousraire la dent à la charge par une contention nous mets dans des conditions de stabilisation

LINDHE et son école ont également démontré que sur un parodonte sain des forces excessives entrainaient une moins grande densité cellulaire et en quelque sorte cela sous entendait et que si de la plaque s'accumulait on pouvait supposer une perte d'attache facilitée ...quand on voit le pouvoir d'invasion de certains pathogènes on imagine le risque que l'on fait prendre au parodonte

donc LINDHE a toujours mis en garde contre l'occlusion mais comme beaucoup de paro de son époque ne comprenait rien à l'occlus on a éludé ...certaines des conclusions


Ylfwcw979cz1jnx9gfqeaxndiuzk - Eugenol
Algi

20/09/2005 à 19h10

100% d'accord avec carole: soit dent est sauvée et on en parle plus soit on tentera autre chose et dans tous les cas le pronostic sera meilleur.

J'en ai traité des pires et des moins pires, certaines sont encore là d'autres plus, certaines "attachées" à leurs voisines, voire même transformées en inter de bridge naturel comme Athos, je crois, en a montré une et certaines vont laisser place à des implants un de ces 4 mais en attendant elles sont là et ne génent pas le patient.


Amibien

20/09/2005 à 19h47

C'est bientôt noêl... bin oui les guirlandes...


Ylfwcw979cz1jnx9gfqeaxndiuzk - Eugenol
Algi

20/09/2005 à 21h04

Aïe Aïe Aïe... si on commence à parler occluso sur le forum paro....

Si ça vous dit pour Nice je pourrai essayer de vous faire une initiation aux meulages "Isaïe" mais chutttt... allez pas le crier sur les toits sinon les furieux vont venir débattre ici :0)


Image19 iebot6 - Eugenol
athos

20/09/2005 à 21h08

d'autant que j'ai remarqué qu'ils etaient devenus bien clame depuis la rentrée... peu de nouveaux messages...mais quelque part ça fait peur aussi!....


Avatar eex0qq - Eugenol
Pépé

23/09/2005 à 22h09

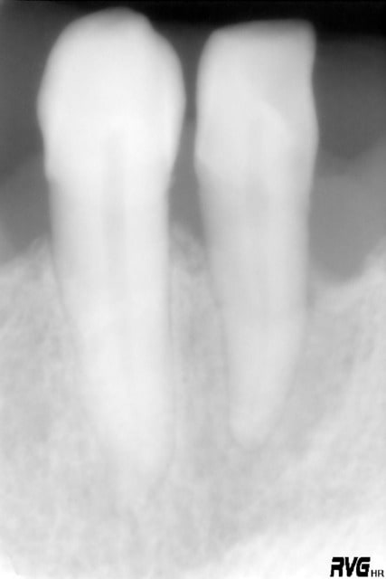
OK alors moi aussi je m'y mets.
sur une 22 dent vitale du début à la fin (c'est à dire encore aujourd'hui)
R8 22 avril 2005
R9 19 mai
R10 23 juin
R11 23 septembre (aujourd'hui)

R8 i5hu0b - Eugenol
R9 zw5kas - Eugenol
R10 qjlsyp - Eugenol
R11 xacjnq - Eugenol

Image19 iebot6 - Eugenol
athos

23/09/2005 à 22h19

wahou! étonnante récupération!!! quel protocole?


phil

23/09/2005 à 23h12

Oui bravo ......peut être des problèmes avec l'occlusion mais la tu n'as pas fait de contention dans ce cas .......
donc ton diagnostic et ton protocole .. bien sûr comme le reclame mon ami athos


phil

23/09/2005 à 23h27

n'y avait -il pas une prothèse amovible derrière tout ca ?

a quoi servirait une protéine dérivée de l'émail dans un cas comme celui la !