Cookie Consent byPrivacyPolicies.comça c'est... - Eugenol

ça c'est...

19066 1223810679128 1344811835 30546764 2261510 n medium ozxaxj - Eugenol
vitalic

27/06/2009 à 19h57

Doc lyonnaise écrivait:
-----------------------
> les gars, au lieu de me dire que chuis belle comme ça, que même pas que j'avais
> besoin d'ortho....pffffff....vous savez pas parler aux femmes hein ;-)))


si t'avais trouvé un bon ortho dés le début, c'est surement ce qu'il t'aurait dit...vous êtes très bien, ne changez rien
Si tu m'avais demandé mon avis, c'est aussi ce que j'aurais dit...
au lieu de ca, t'es allé te mettre de la ferraille dans la gueule et maintenant t'as des diastèmes, des rotations, des résorptions....et après?......des implants?
fait péter une photo qu'on se marre un coup...t'es belle de toutes façons doc...


RépondreCiter
1 p3qrc4 - Eugenol
Bjc.

27/06/2009 à 22h11

"fait péter une photo qu'on se marre un coup...t'es belle de toutes façons doc..."

et t'as de beaux yeux !!!

@+ Bjc.


RépondreCiter
belette

28/06/2009 à 02h00

Dancha écrivait: les danchamons sont tellement légers et si bien acceptés par les adultes...

Doc n'est peut-être pas tout à fait adulte ?


^ ... ^
Ô"""Ô
= o = ... 0 h 00 ! ...


Image odged8 - Eugenol
ploc

28/06/2009 à 02h12

belette écrivait:...
>
> Doc n'est peut-être pas tout à fait adulte ?

heureusement! :rien de plus ch...... que les adultes raisonnables
ne changes rien,doc(sauf peut être l'odf?)
>
>
>


RépondreCiter
Wolford hm5yx3 - Eugenol
Doc lyonnaise

28/06/2009 à 14h18

ploc écrivait:
--------------
Doc n'est peut-être pas tout à fait adulte ?
> heureusement! :rien de plus ch...... que les adultes raisonnables
> ne changes rien,doc(sauf peut être l'odf?)


heureusement qu'on est là pour s'envoyer des "chocolats noirs" ;-)))) hein toi et moi, parce que les mecs, pffffffffffff


RépondreCiter
Wra300x300 gotue6 - Eugenol
hop

28/06/2009 à 14h39

Tapavuméclé écrivait:
---------------------
> on a l'droit de buter son orthodontiste?

gaffe, comme l'ortho de docLy vient sur eugenol, il n'y aura plus l'effet de surprise..


belette

28/06/2009 à 14h41

.


19066 1223810679128 1344811835 30546764 2261510 n medium ozxaxj - Eugenol
vitalic

28/06/2009 à 16h23

Doc lyonnaise écrivait:
-----------------------
> ploc écrivait:
> --------------
> Doc n'est peut-être pas tout à fait adulte ?
> > heureusement! :rien de plus ch...... que les adultes raisonnables
> > ne changes rien,doc(sauf peut être l'odf?)
>
>
> heureusement qu'on est là pour s'envoyer des "chocolats noirs" ;-)))) hein toi
> et moi, parce que les mecs, pffffffffffff

ça ça m'énerve....sérieux...


1 p3qrc4 - Eugenol
Bjc.

28/06/2009 à 17h36

quelle finesse, quelle délicatesse, belette!!!
tu aurais aussi pu lui demander si elle aimait les grandes barres

@- Bjc.


belette

28/06/2009 à 19h14

.


1 p3qrc4 - Eugenol
Bjc.

28/06/2009 à 21h11

"(Noir, Barre, Collomb: je t'expliquerai)"

sois discrète,et élégante, n'explique plus rien!!! ;-))


RépondreCiter
Wolford hm5yx3 - Eugenol
Doc lyonnaise

08/09/2009 à 14h16

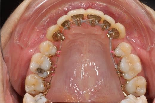
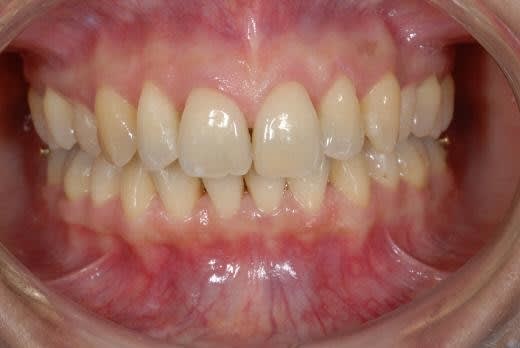
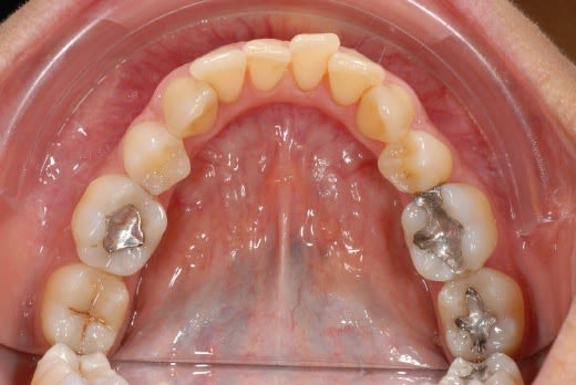
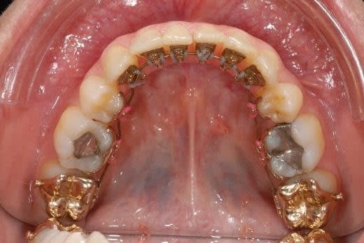
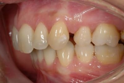
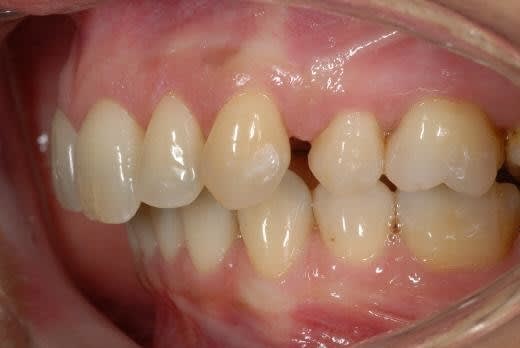
9 mois et quelques roros plus tard.....

Le d part ywzm1x - Eugenol
J  9 mois z6xnqk - Eugenol
Le d par en bas jw6vgb - Eugenol
J   9 mois v0estz - Eugenol
Bof n833dy - Eugenol
Me wv8msi - Eugenol
Metoo xb0phr - Eugenol

1 eugenol dmj5np - Eugenol
Dancha

08/09/2009 à 20h19

Joli…

Juste une question : la classe II, elle sera traitée ou pas ? Contention à vie ?

Daniel


Wolford hm5yx3 - Eugenol
Doc lyonnaise

08/09/2009 à 22h20

Dancha écrivait:
----------------
> Joli…
>
> Juste une question : la classe II, elle sera traitée ou pas ? Contention à vie ?
>
> Daniel

merci :-)
c'est pas fini encore...
pour la classe II c'est la misère...un grand Mr de votre monde qui m'a regardé y a pas longtemps trouve que sans chir ça serait IMPOSSIBLE de régler la béance créée...
mon ODF a prévu des mini vis + élastiques...elle pense reculer le haut et avancer le bas...
de toute manière c'est hors de question que je me fasse charcuter...:-P...alors je vais accepter des compromis, et porter oui une contention à vie...


EloD

09/09/2009 à 14h28

Doc lyonnaise écrivait:
-----------------------

> c'est pas fini encore...
> pour la classe II c'est la misère...un grand Mr de votre monde qui m'a regardé y
> a pas longtemps trouve que sans chir ça serait IMPOSSIBLE de régler la béance
> créée...
> mon ODF a prévu des mini vis + élastiques...elle pense reculer le haut et
> avancer le bas...
> de toute manière c'est hors de question que je me fasse charcuter...:-P...alors
> je vais accepter des compromis, et porter oui une contention à vie...

Té toute choux kom ça !!
Pas besoin de mini-vis pour reculer le haut... arc de rétraction + tim classe II de contrôle puis je laisserai les tim qq temps en fonction des résultats, de l’occlusion et de la tolérance de tes atm.
Bon , bien sur l’idéal sur le plan « mâchoire » serait la chir mais qu’en pensera ton visage ( ton profil )....ben si t’es pas prête alors effectivement il faut accepter un compromis.


bjc

10/09/2009 à 02h55

a mon avis:
les formes d arcade ne me semblent pas correspondre, surtout si on veut avancer la Md. de 3 a 4 mm.

@+ Bjc.


Smile beach jgh0a1 - Eugenol
Céramik

10/09/2009 à 03h33

Doc lyonnaise écrivait:
-----------------------
> 9 mois et quelques roros plus tard.....


sauve quelques roros pour faire virer tes amalgames et tes caries...

Si tu n'aimes pas le résultat(rotation, diastèmes, Cl-2)
il y a moyen de tout ''facetter/couronner'' ...

;-)

--
Céramik


Wolford hm5yx3 - Eugenol
Doc lyonnaise

10/09/2009 à 11h56

Céramik écrivait:
-----------------
> sauve quelques roros pour faire virer tes amalgames et tes caries...


pffff, j'en étais sûre!
mon Ag pourri, c'est un Ag souvenir, laisse le tranquille, il reste là où il est :-P
et pis y a encore 18 mois de traitement, j'espère pour elle qu'elle va corriger tout ça, sinon :

Fem arme tuwbdr - Eugenol

Smile beach jgh0a1 - Eugenol
Céramik

12/09/2009 à 19h08

Doc lyonnaise écrivait:
-----------------------

> mon Ag pourri, c'est un Ag souvenir, laisse le tranquille, il reste là où il est

mais pas la carie, elle descend, elle descend...

PS:
On dit Hg pour mercure et non Ag...

--
Céramik


Phil Amant

14/09/2009 à 11h07

Céramik écrivait:
-----------------
> Doc lyonnaise écrivait:
> -----------------------
>
> > mon Ag pourri, c'est un Ag souvenir.
> ..

> PS:
> On dit Hg pour mercure et non Ag...

Tu as raison mais Doc lyonnaise ne parlait pas de son mercure.

Phil


Avatarfac v6b7jd - Eugenol
DCDV

17/09/2009 à 04h50

juste le regard externe d'un apprenti Jedi : 1/ trouver l'étiologie de la class 2 initiale
2/ trouver le mecanisme de la recidive (PHILIPPE : contention a vie // CHATEAU : 5 smn // Autres : fin croissance et 3iem molaire)
3/ penser fonctionnel ! meme en adulte !!!
4/ pourquoi pas un ttt DAMON ds ce cas precis ?!

--
dcdv !


EloD

18/09/2009 à 10h55

DCDV écrivait:
--------------
> juste le regard externe d'un apprenti Jedi : 1/ trouver l'étiologie de la class
> 2 initiale
> 2/ trouver le mecanisme de la recidive (PHILIPPE : contention a vie // CHATEAU :
> 5 smn // Autres : fin croissance et 3iem molaire)
> 3/ penser fonctionnel ! meme en adulte !!!
> 4/ pourquoi pas un ttt DAMON ds ce cas precis ?!
>
> --
> dcdv !

Tiens ya pas l'apprenti du vendredi? Dommage!! Le jedi était tellement rigolo...;-D


val

20/09/2009 à 09h39

Doc lyonnaise écrivait:
-----------------------

> mon ODF a prévu des mini vis + élastiques...elle pense reculer le haut et avancer le bas...

suis impatient de voir le résultat car dans ce cas je reverrai à la baisse mes indications de chir. fais nous part des évolutions.merci



Wolford hm5yx3 - Eugenol
Doc lyonnaise

20/09/2009 à 21h28

val écrivait:
-------------
> suis impatient de voir le résultat car dans ce cas je reverrai à la baisse mes
> indications de chir. fais nous part des évolutions.merci

sois pas impatient mon petit, si je résorbe y va y avoir des morts :-)
mais promis j'envoie les photos régulièrement ;-)


1 eugenol dmj5np - Eugenol
Dancha

21/09/2009 à 17h14

DCDV écrivait:
--------------
> ..
> 3/ penser fonctionnel ! même en adulte !!!
> 4/ pourquoi pas un traitement DAMON dans ce cas précis ?!
> --

3/ Peux-tu nous expliquer comment agirait le « fonctionnel » ?
4/ Comment, pour toi, la mécanique d'un traitement Damon pourrait-elle corriger cette classe II ?

Daniel


1...678...