Cookie Consent byPrivacyPolicies.comça c'est... - Eugenol

ça c'est...

1 p3qrc4 - Eugenol
Bjc.

22/09/2009 à 17h21

Si la technique de céramik montrait qu’on pourrait corriger sa Cl. II., les frictions faibles , en reformant les arcades permettraient de les harmoniser sans lésions parodontales

(Diag. chez céramik, et éventuellement ortho chez Bjc.) :-)))


@+ Bjc.



Image odged8 - Eugenol
ploc

23/09/2009 à 01h33

tu t'en sors bien: un minimum de jet-lag,des plutôt bons à voir les cas presentés,si en plus ils st accueillants et sympas,vole,doc


Wolford hm5yx3 - Eugenol
Doc lyonnaise

23/09/2009 à 12h07

ploc écrivait:
--------------
si en plus ils st accueillants et sympas,vole,doc

mouais...ils sont mignons comment déjà? 8-)


Wolford hm5yx3 - Eugenol
Doc lyonnaise

15/12/2009 à 21h52

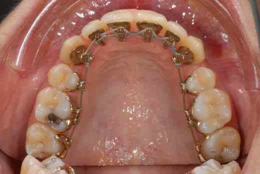
et que Céramik s'abstienne de me dire que j'ai un amalgame pourri hein ;-)
voilà quelques roros et un an plus tard...
elle est merdique hein ma 12, décidément je m'en remets pas de cette 12 :-(((

Moi1 jh2qxp - Eugenol
Moi2 hcfajn - Eugenol
Moi3 pokuun - Eugenol
Moi4 tl4exs - Eugenol
Moi5 nbgxzp - Eugenol

Image odged8 - Eugenol
ploc

15/12/2009 à 23h32

Doc lyonnaise écrivait:
-----------------------
> décidément je m'en remets pas de cette 12 :-(((

exo-implant?


Wolford hm5yx3 - Eugenol
Doc lyonnaise

15/12/2009 à 23h41

ploc écrivait:
--------------
> exo-implant?

arrête de faire ton Céramik toi ;-))))


Smile beach jgh0a1 - Eugenol
Céramik

16/12/2009 à 03h20

Fait ouvrir tes espaces pré-molaires
ensuite implants. Ton ortho, c'est le même qui place des implants bizarre ?


Pour ton trucs en mercure, ben oui, il est moche...


--
Céramik


1 p3qrc4 - Eugenol
Bjc.

16/12/2009 à 20h24

""Fais ouvrir tes espaces pré-molaires
ensuite implants."

sinon tu trouveras pas de mari :-)))


S8ysxdzhdqgw00w4q6m07a5d47q2 - Eugenol
gai-luron

16/12/2009 à 21h25

trop tard, de toute façon ;)
nan, je rigole.


Wolford hm5yx3 - Eugenol
Doc lyonnaise

16/12/2009 à 21h33

Bjc. écrivait:
--------------
> sinon tu trouveras pas de mari :-)))


pfff
juste célibataire et fabuleuse ;-)))


Images 1 qtgoxf - Eugenol
ciwil

16/12/2009 à 22h39

ne désespère pas, un miracle peut arriver !
regarde dans le "carnet" de la lettre de l'ordre départemental que j'ai reçue ce matin
ce couple de confrères fait vaciller mes certitudes sur l'acte de procréation :)

Img new afmq43 - Eugenol

Wolford hm5yx3 - Eugenol
Doc lyonnaise

16/12/2009 à 23h35

Céramik écrivait:
-----------------
> Fait ouvrir tes espaces pré-molaires
> ensuite implants. Ton ortho, c'est le même qui place des implants bizarre ?
> Pour ton trucs en mercure, ben oui, il est moche...

> Céramik

C’est tiguidou, ry trou ! bisous ;-))))


Image odged8 - Eugenol
ploc

17/12/2009 à 00h13

avec cet avatar tu vas trouver un mari:on en mangerait:)


200106 10150128247663588 709988587 6466236 5598391 n d7mksb - Eugenol
hallboy

17/12/2009 à 00h38

Tu penses que mari c'est un metier de bouche?


Smile beach jgh0a1 - Eugenol
Céramik

17/12/2009 à 02h59

Doc lyonnaise écrivait:
-----------------------
> Céramik écrivait:
> -----------------
> > Fait ouvrir tes espaces pré-molaires
> > ensuite implants. Ton ortho, c'est le même qui place des implants bizarre ?
> > Pour ton trucs en mercure, ben oui, il est moche...
>
> > Céramik
>
> C’est tiguidou, ry trou ! bisous ;-))))

Dit , tu m'envoies un truc, c'est ma fête...
;-)


--
Céramik


Image odged8 - Eugenol
ploc

17/12/2009 à 04h24

un metier de bouche,trouver un mari?
si j'en crois mes souvenirs, ttes les mères, de mon temps serinaient à leur fille:"ce n'est ni par tes diplomes,ton intelligence ou ta culture que tu trouveras un mari mais pour le confort que tu lui procureras"
et à cette epoque nos mères arrêtaient leurs allusions au dessus de la ceinture:)


val

17/12/2009 à 22h24

euh, au fait c'est prevu quand la chir ?


1 eugenol dmj5np - Eugenol
Dancha

21/12/2009 à 11h24

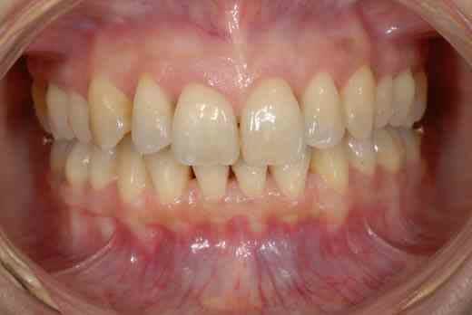
J’aurais tendance à penser comme val en ce qui concerne ta classe II, mais ce qui me turlupine le plus dans ton cas, Doc, c’est la différence de hauteur des collets des incisives apparue pendant le traitement.
La ligne des collets ne semble pas trop mauvaise sur la photo d’avril, ce n’est malheureusement plus le cas sur celle de décembre, où le collet de la 11 apparaît plus bas que celui de la 12.
Par rapport à ta lèvre supérieure, qu’est-ce que cela donne dans le sourire ?
Comment ton orthodontiste compte-t-elle gérer cela ?

Daniel

Collets xexum5 - Eugenol

Wolford hm5yx3 - Eugenol
Doc lyonnaise

21/12/2009 à 11h33

merde, tu vois ça, ça me dérangeait pas encore, ça y c'est fait :-(
(ça se voit pas dans le sourire...)
sinon arrêtez avec la chir, j'ai dit non, j'ai dit non....bientôt c'est les mini-vis....:-(


Casque beotien a3jo39 - Eugenol
beotien

21/12/2009 à 11h54

suis pas ortho mais c'est plutôt moins pire qu'au début du traitement donc dans 2ans c'est top


Img 0812 mvp6i0 - Eugenol
jeamba

21/12/2009 à 13h35

C'est pas mal du tout Doc. Si le reste est du même calibre......


ameli

21/12/2009 à 16h08

Le mot "calibre", en parlant de Doc L est très mal choisi.
Car le calibrage induit une déplaisante notion de circonférence uniforme et régulière.
Je peux t'assurer que la circonférence de Doc L est modulée et étagée agréablement.

Cela étant, si tu remplaces "calibrage" par "tonneau", tu n'obtiens pas non plus l'effet escompté.


EloD

21/12/2009 à 16h26

Dancha écrivait:
----------------

> La ligne des collets ne semble pas trop mauvaise sur la photo d’avril, ce n’est
> malheureusement plus le cas sur celle de décembre, où le collet de la 11
> apparaît plus bas que celui de la 12.

Que je sois "praticien" ou "patient"...je vois keudal qui m'empêcherait de dormir sur mes 2 oreilles.


belette

21/12/2009 à 17h02

EloD écrivait:'Que je sois "praticien" ou "patient"....je vois keudal

D'où l'intérêt d'avoir un avis de "spécialiste"!

^ ... ^
Ô"""Ô
= o =


RépondreCiter
Wolford hm5yx3 - Eugenol
Doc lyonnaise

21/12/2009 à 21h46

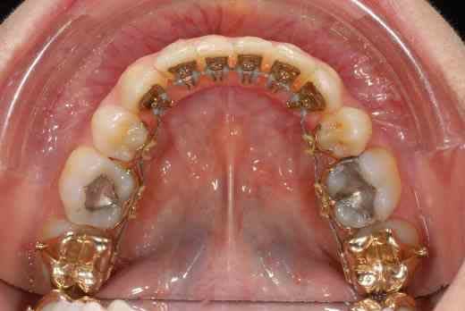
un beau chtit sourire pour vous, héhé :-P

Dsc04760 d8ilh6 - Eugenol

1...789...