Cookie Consent byPrivacyPolicies.comça c'est... - Eugenol

ça c'est...

1 p3qrc4 - Eugenol
Bjc.

21/12/2009 à 22h03

tu m'avais promis de ne pas mettre cette photo de mon cas :-)))))


Dscf1124 irilgj - Eugenol
framboisine

21/12/2009 à 22h24

Superbe le résultat!


Smile beach jgh0a1 - Eugenol
Céramik

21/12/2009 à 23h44

Doc lyonnaise écrivait:
-----------------------
> un beau chtit sourire pour vous, héhé :-P


Tient, un p'tit cas de 10 facettes façon céramik...
avec gingivoplastie laser 14-16 et 25-26...


--
Céramik


Wolford hm5yx3 - Eugenol
Doc lyonnaise

22/12/2009 à 00h24

Céramik écrivait:
-----------------
> Tient, un p'tit cas de 10 facettes façon céramik...
> avec gingivoplastie laser 14-16 et 25-26...

c'est pas fini encore, 'foiré ;-)))


1 p3qrc4 - Eugenol
Bjc.

22/12/2009 à 00h38

""Tient, un p'tit cas de 10 facettes façon céramik...
avec gingivoplastie laser 14-16 et 25-26...""

sans oublier un petit T.E.N.S. qui le remettra en Cl.I. avec qq. onlay façon céramik...:-)))))))))))


Wolford hm5yx3 - Eugenol
Doc lyonnaise

22/12/2009 à 06h43

les mecs vous dites des conneries mais je vous fait des becs quand même ;-)))


EloD

22/12/2009 à 14h32

belette écrivait:
-----------------
> EloD écrivait:'Que je sois "praticien" ou "patient"....je vois keudal
>
> D'où l'intérêt d'avoir un avis de "spécialiste"!
>

Oui, mais une spé qui dort sur ses 2 oreilles....avec en plus un oeil d'ortho et un autre de patient. C'est pas toujours facile mais ça aide tellement pour la communication.
Un patient satisfait , c'est un praticien serein.


Wolford hm5yx3 - Eugenol
Doc lyonnaise

12/01/2010 à 19h30

bon ben voilà, on y est...c'est l'heure de la chirurgie et des mini vis...j'ai peur :-(((
si des fois vous voulez m'envoyer des mp d'amour... :-)


Casque beotien a3jo39 - Eugenol
beotien

12/01/2010 à 19h47

ton spé a emprunter un des punchs de mac, 8MM ,c'est cool pour placer des mini vis

c'est bon çà te rassure?,


Wolford hm5yx3 - Eugenol
Doc lyonnaise

12/01/2010 à 20h41

beotien écrivait:
----------------
> c'est bon çà te rassure?


pfff, chuis sûre que pxav, lui au moins, il va m'envoyer un mp d'amour :-)))


Img 0812 mvp6i0 - Eugenol
jeamba

12/01/2010 à 22h56

Hé Doc mayonaise, les mini vices c'est ton début ou ta fin. Je te laisse réfléchir dessus ça te fera passer le temps avant la chir.


Wolford hm5yx3 - Eugenol
Doc lyonnaise

19/02/2010 à 13h22

ça fait mal ces 'tains de mini-vis :-((((((((((


Smile beach jgh0a1 - Eugenol
Céramik

19/02/2010 à 14h02

Doc lyonnaise écrivait:
-----------------------
> ça fait mal ces 'tains de mini-vis :-((((((((((

T'avais qu'a venir me voir...


--
Céramik


1 p3qrc4 - Eugenol
Bjc.

19/02/2010 à 20h13

et après, tu passais par chez moi

:-))))))))))))


1 eugenol dmj5np - Eugenol
Dancha

22/02/2010 à 13h04

Doc lyonnaise écrivait:
-----------------------
> ça fait mal ces 'tains de mini-vis :-((((((((((

Ce n'est pas normal, la pose d’une vis d’ancrage n’entraîne habituellement que peu de suites opératoires et la douleur cède aisément à un antalgique banal de niveau 1.
Que c’est-il passé ? Il y a eu des problèmes ?

Daniel


Wolford hm5yx3 - Eugenol
Doc lyonnaise

22/02/2010 à 13h33

Dancha écrivait:
----------------
> Ce n'est pas normal, la pose d’une vis d’ancrage n’entraîne habituellement que
> peu de suites opératoires et la douleur cède aisément à un antalgique banal de
> niveau 1

mouais...ça se voit que t'as pas eu des mini-vis toi ;-)
Antalgique de niveau 2 (Ixprim) pour que ça passe...entraînant des nausées bien évidemment...
et là faut que j'aille voir l'ortho pour qu'elle les mette en fonction :-((((((((((((((((((((((((((((


Smile beach jgh0a1 - Eugenol
Céramik

22/02/2010 à 17h51

Combien de mini vis ?
À quel endroit ?


--
Céramik


Wolford hm5yx3 - Eugenol
Doc lyonnaise

22/02/2010 à 18h08

Céramik écrivait:
-----------------
> Combien de mini vis ?
> À quel endroit ?


4, entre les 5 et 6 secteurs I et II en vestibulaire et palatin...bientôt si vous êtes sages, les photos ;-))


1 eugenol dmj5np - Eugenol
Dancha

22/02/2010 à 18h20

Doc lyonnaise écrivait:
-----------------------

> mouais...ça se voit que t'as pas eu des mini-vis toi ;-)
> ..

Non, par contre j’en pose fréquemment.

> et là faut que j'aille voir l'ortho pour qu'elle les mette en fonction
> :-(((((((((((((((((((((((((((

Tu n’as rien à craindre, la traction au niveau des vis sera indolore.

Daniel


Wolford hm5yx3 - Eugenol
Doc lyonnaise

23/02/2010 à 00h10

Dancha écrivait:
----------------
> Tu n’as rien à craindre, la traction au niveau des vis sera indolore.


effectivement....
ceci dit il paraît que je nécrose à la muqueuse...'foiré d'implanto!
(ça se fait de porter plainte contre son CONfrère? :-))


1 eugenol dmj5np - Eugenol
Dancha

23/02/2010 à 09h28

Doc lyonnaise écrivait:
-----------------------
> ceci dit il paraît que je nécrose à la muqueuse...

Il faut impérativement que tu brosses et que tu continues à brosser la jonction muqueuse des vis avec une brosse "post-opératoire" (7/100°) trempée dans un bain de bouche à la chlorexidine.

Daniel


Wolford hm5yx3 - Eugenol
Doc lyonnaise

23/02/2010 à 16h42

me voilà ! (600 roros de plus plus tard , pfffffff)

00184936 sivbhi - Eugenol
00184937 ecrh0c - Eugenol
00184938 wxmcn3 - Eugenol
00184939 lh06j0 - Eugenol
00184940 ba2ugq - Eugenol

Cuisinier2 vnbbxx - Eugenol
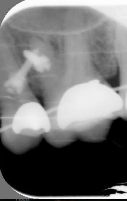
jeff2

23/02/2010 à 17h04

t'es sure que t'as pas une minivis plantée dans la racine mésiale de 26?


Wolford hm5yx3 - Eugenol
Doc lyonnaise

23/02/2010 à 18h41

jeff2 écrivait:
---------------
> t'es sure que t'as pas une minivis plantée dans la racine mésiale de 26?

tu crois?
(tu râles pas, j'ai pris ma radio de ma dent moi même hein, d'où la mauvaise angulation ;-))

Vis de merde uvndjx - Eugenol

belette

23/02/2010 à 19h38

Dancha, tu devrais venir à Lyon, t'occuper de ces petites vis...

^ ... ^
Ô"""Ô
= o =...bon, j'dis ça , j'dis rien hein ?...


1...8910...