Cookie Consent byPrivacyPolicies.cominlay collé : un ouvrage ? - Eugenol
Marque a3 orange fyvhyq - Eugenol
Marc Apap

18/04/2009 à 15h08

Merci, je vais voir un ami pharmacien qui me dira s'il peut me préparer une solution à 2%.


Marque a3 orange fyvhyq - Eugenol
Marc Apap

18/04/2009 à 15h13

Céramik écrivait:

>
> 1-Photo d'un cas moins banal (47 et 48)juste avant l'empreinte.
>
> 2-dent 16, paroie distale mince conservée
>
> --
> Céramik


Avec des délabrements comme sur les molaires du bas, je ne vois vraiment pas l'intérêt de ne pas faire une coiffe complète.
Conserver pour conserver, en augmentant les zones d'interface dent-obturation ou en les situant dans des régions critiques, avec tous les risques d'infiltration, de fractures cuspidiennes, la gestion plus difficile de l'esthétique, la mise en oeuvre plus difficile et le bénéfice final pour le patient hypothétique, c'est à mon avis un non-sens.


Grueavatar nptrc9 - Eugenol
Le Choixpeau magique

18/04/2009 à 17h22

Comme Marc, je ne vois pas trop l'intérêt de garder un quart de cuspide. Par contre, un onlay collé total, vous appelez ça comment ?


Smile beach jgh0a1 - Eugenol
Céramik

18/04/2009 à 17h45

Marc Apap écrivait:
-------------------
> Céramik écrivait:
>
> >
> > 1-Photo d'un cas moins banal (47 et 48)juste avant l'empreinte.
> >
> > 2-dent 16, paroie distale mince conservée
> >
> > --
> > Céramik
>
>
> Avec des délabrements comme sur les molaires du bas, je ne vois vraiment pas
> l'intérêt de ne pas faire une coiffe complète.
> Conserver pour conserver, en augmentant les zones d'interface dent-obturation ou
> en les situant dans des régions critiques, avec tous les risques d'infiltration,
> de fractures cuspidiennes, la gestion plus difficile de l'esthétique, la mise en
> oeuvre plus difficile et le bénéfice final pour le patient hypothétique, c'est à
> mon avis un non-sens.


Chaqu'un son truc...je ne voit pas l'intéret de faire une endo sur la 48, pour pouvoir faire un IC ensuite.
Impossible de tout couvrir sans endo.
J'ai de la place pour coller sous digue, et j'ai des centaines de cas qui tiennent sans pépins.
Cas pas simple, mais possible avec un peu d'expérience.

Pour la 47, une couronne, jamais, c'est une belle indication pour un onlay, même pour un débutant.

Pour la 16, encore plus facile.

Tu as fait combien d'onlay céramique ?

--
Céramik


Marque a3 orange fyvhyq - Eugenol
Marc Apap

18/04/2009 à 19h09

Je ne participe pas au concours de celui qui fera le plus grand nombre d'inlays en céramique et mon pseudo, c'est mon nom : cela veut dire que je vis dans la vraie vie, au travail comme sur les forum.

Si tu veux montrer tes acrobaties au monde entier, libre à toi de le faire en précisant que tu es un artiste du trapèze volant.
Personnellement, lorsqu'il m'arrive de donner des conseils ou un enseignement, je le fais toujours en pensant à ce qu'il soit applicable par le plus grand nombre et pas par un cercle limité de personnes.
Aussi, je pense que malgré tes 14 ans d'expérience, tes recommandations ne peuvent et ne doivent pas être universelles.

Enfin, je suis choqué par ta réponse concernant l'alternative à l'onlay céramique, qui selon toi, serait une pulpectomie et un inlay core. C'est le comble de l'absurdité.


Smile beach jgh0a1 - Eugenol
Céramik

18/04/2009 à 20h24

Marc Apap écrivait:
-------------------
> Je ne participe pas au concours de celui qui fera le plus grand nombre d'inlays
> en céramique et mon pseudo, c'est mon nom : cela veut dire que je vis dans la
> vraie vie, au travail comme sur les forum.


C'est pas un concour monsieur, mais la question est valide...trop de gens abaissent les onlays, mais n'en ont jamais fait...on ne peut pas juger sans expérience.

Je bosse comme tout le monde, dans un vrai cabinet, avec de vrais patients, Sorry si tu te sens attaqué, c'est pas mon but, je n'ai aucun intérêt la dedans.
Pseudo ou pas, c'est hors sujet. Avec ta remarque, 98% des gens sur Eugenol ne sont pas dans la vraie vie...hummm....


>
> Si tu veux montrer tes acrobaties au monde entier, libre à toi de le faire en
> précisant que tu es un artiste du trapèze volant.
> Personnellement, lorsqu'il m'arrive de donner des conseils ou un enseignement,
> je le fais toujours en pensant à ce qu'il soit applicable par le plus grand
> nombre et pas par un cercle limité de personnes.


Alors, faut virer tous les sujets cliniques, les endo de Steph, les implants et greffes de Olivier, etc.. on ne pourra plus rien apprendre...


> Aussi, je pense que malgré tes 14 ans d'expérience, tes recommandations ne
> peuvent et ne doivent pas être universelles.

Justement, c'est un exemple parmis d'autres, j'ai pas écrit la bible des onlays, simplement placer des exemples après avoir reçu plusieurs demandes. Si je place des exemples simples, tu va me dire de faire un compo ou un amalgame, on est pas avancé...surtout avec l'amalgame.

Il n'y a rien d'universel dans ce beau métier, apprendre, changer et repousser ses zones de conforts (paradigms), ça fait évoluer et grandir.



> Enfin, je suis choqué par ta réponse concernant l'alternative à l'onlay
> céramique, qui selon toi, serait une pulpectomie et un inlay core. C'est le
> comble de l'absurdité.

Absurdité...voilà un language qui pousse à l'échange mon cher confrère...
La dent 48, qui présentait une situation un peu limite pour certains, aurait eu besoin d'une endo ( pas une pulpectomie...bon l'erreur est humaine),
car la hauteur clinique était contre-indiqué pour une coiffe complête. Alors tu aurais fait quoi ?

Ma façon de traité la 48 ne te plait pas, OK, mais ne vient pas parler d'absurdité...simplement écrit que tu n'es pas en accord et propose quelque chose, pas une simple critique qui ne fait rien avancer.

A+
--
Céramik


Marque a3 orange fyvhyq - Eugenol
Marc Apap

18/04/2009 à 20h43

Si tu peux coller un onlay, tu peux coller une coiffe. Elle a l'avantage d'englober plus de structure et d'avoir une limite périphérique mieux située que lorsqu'elle est partiellement au niveau occlusal, avec un rendu esthétique moins difficile et une sécurité quand à l'étanchéité globale, donc la pérennité à long terme.
Je ne me sens pas visé dans ta question sur les onlays en céramique. Simplement, j'ai l'impression que tu estimes qu'il doit s'agir d'un standard. Or, pour moi, ce genre de position est indéfendable.


200106 10150128247663588 709988587 6466236 5598391 n d7mksb - Eugenol
hallboy

18/04/2009 à 20h49

Sur l'inlay tu ne peux pas avoir de Pb de hauteur, sur la coiffe oui. Si j'ia bien compris le cas de la 48, c'est ce qui a fais l'indication...


Marque a3 orange fyvhyq - Eugenol
Marc Apap

18/04/2009 à 20h57

Je comprends ce que tu dis, mais je ne comprends pas comment on peut avoir un pb de hauteur avec une coiffe et pas avec un onlay


200106 10150128247663588 709988587 6466236 5598391 n d7mksb - Eugenol
hallboy

18/04/2009 à 21h28

sur la 48 tu pourra pas faire une CCC ni mm une ccm, mais un inlay oui. que tu appellera un onlay vu que tu reconstitues les cuspides. mais si tu veux 2 mm partout, ça passera plus



Marque a3 orange fyvhyq - Eugenol
Marc Apap

18/04/2009 à 21h51

Inutile de m'expliquer, je sais comment on fait. Cela ne m'empêche pas de ne pas être d'accord.


Grueavatar nptrc9 - Eugenol
Le Choixpeau magique

18/04/2009 à 21h51

Hall, quand Ceramik parle de hauteur, il parle de hauteur de moignon pour la rétention d'une couronne traditionnelle scellée.
Mais comme Marc, je ne vois pas pourquoi est-ce qu'on ne pourrait pas faire une CCC collée avec un recouvrement total et un trottoir périphérique supragingival. Si l'onlay est faisable en gardant un bout de cuspide, je ne vois pas pourquoi il ne serait plus possible en la recouvrant.
Ca me semble la solution la plus économe ET pérenne.
Ou bien est-ce que ça ne marche pas ?


Marque a3 orange fyvhyq - Eugenol
Marc Apap

18/04/2009 à 21h53

Voilà, c'est exactement ce que je pense, comme Choixpeau. Et en plus, si tu n'as pas assez de rétention, tu peux toujours faire un puits au milieu, bref, les solutions ne manquent pas.


200106 10150128247663588 709988587 6466236 5598391 n d7mksb - Eugenol
hallboy

18/04/2009 à 22h11

+ perenne je sais pas, plus econonme en matiere dentaire non . Pit un puit de retention ( si il est posible sans toucher la chambre, c'est pas econome non plus.

et comme je connais personne d'autre qui fasse de la ceram colléee sous digue depuis 14 ans a jet continu, j'ai un peu tendance me dire que ça doit se faire..

Par contre c'est clair qu'il vaut mieux assurer le collage ;))

J'aime bien voir ce genre de truc ( comme certains machins de Haig aussi ) c'est vrai que ça me parait limite delirant de traiter une DDS comme ça, ( le tourniquet endo de Stephane aussi d'ailleurs ) mais ça ouvre l'esprit.

Mais franchement , ça me semble hors de portée pour moi actuellement;)


Marque a3 orange fyvhyq - Eugenol
Marc Apap

18/04/2009 à 22h34

hallboy écrivait:
-----------------
> + perenne je sais pas, plus econonme en matiere dentaire non.
>
> et comme je connais personne d'autre qui fasse de la ceram colléee sous digue
> depuis 14 ans a jet continu, j'ai un peu tendance me dire que ça doit se faire..
>
> Par contre c'est clair qu'il vaut mieux assurer le collage ;))
>
> Mais franchement , ça me semble hors de portée pour moi actuellement;)


Merci pour tes remarques, qui mettent précisément le doigt sur les problèmes :
1/ Je trouve qu'on arrive aux confins de la stupidité avec cette notion de préservation tissulaire. Préserver du tissu coute que coute est idiot quand cela accroît les risques de non pérennité du travail. En endo, il faut parfois araser la couronne pour aller au fond des canaux; on élargit beaucoup la portion cervicale pour mieux accéder à la portion apicale : c'est normal. A l'inverse, faire des inlays à tour de bras est une hérésie quand on peut obturer en méthode directe car la mise de dépouille est bien plus délabrante que n'importe quoi : il ne faut pas se baser sur des dogmes, comme dans une religion, mais raisonner en pesant tous les éléments pour prendre une décision thérapeutique.
2/ Tu ne connais personne qui fait des inlays ... et pour cause : c'est bien pour cela que je dis que si un artiste acrobate nous montre ses fantaisies, cela veut peut être dire qu'elles sont possibles, mais que ce n'est pas une méthode qui doit être universelle. Ne serait-ce déjà parce que dans la vraie vie, il y a des gens qui ne peuvent ou ne veulent pas se les payer. Et que ces gens là, il faut bien que des dentistes les soignent quand ils se présentent en cabinet. Ensuite, parce que cela implique une mise en oeuvre très rigoureuse et la prise d'un risque à mon avis non négligeable. Dans la profession, il y a toujours des gens très doués. Ils en sont très fiers, et cela permet à d'autres de se motiver à faire mieux. Mais il ne faut pas ignorer les non-dits que cela suppose : efforts de rigueur, acceptation des risques, capacité à vendre des prestations qu'on peut dans une certaine mesure assimiler à du surtraitement, refus de soigner les impécunieux. Sans compter que comme toujours, ces artistes nous montrent toujours leurs succès, et jamais leurs échecs et leurs merdes : je trouve cela toujours insupportable, car les êtres humains ne sont pas des machines et c'est ce qui les rend beaucoup plus aimables.
3/ Ca te semble hors de portée : c'est bien pour cela que je trouve dangereux de le promouvoir comme méthode universelle sans précaution car c'est encore une fois acrobatique. Maintenant, tu sembles le regretter. Libre à toi, mais franchement, pour moi, je ne vois pas pourquoi j'admirerais ce travail, même s'il est bien fait. Je trouve au contraire que c'est du luxe mal placé.


Smile beach jgh0a1 - Eugenol
Céramik

18/04/2009 à 23h47

Couronne = extra-coronaire
Hauteur de la dent taillée 4-5 mm.
Dépouille, axe, forme de rétention.
Si pas de hauteur suffisante :
endo et/ou allongement paro.
Pas très économe pour les patients...

Onlay = intra-coronaire ou combinaison intra+extra
La rétention est très différente, le collage, l'émail, les multiples plans et la surface de collage.
La restauration resiste mieux aux forces transverses

Sur la 48, si je taille 360 l'extérieur de la dent, il ne reste simplement plus rien en hauteur sans chirurgie paro, ou sans endo.

Je pense que le collage d'une coiffe demande plus de hauteur que le collage d'un onlay.


Pour l'autre qui ne m'aime pas....je ne prétend pas créer des règles universelles (elles n'existent pas !) mais je montre un cas, c'est tout. Faut avoir de l'énergie mal placée pour faire toute une polémique pour une simple molaire.

Bon, c'est fini les onlays, on arrache, ça coûte moins cher, tout dentiste devrait être capable (même les manchots), tout le monde peut se payer cela, et dans le fond, qui a besoin de dents ? Ah le bon vieux temps des arracheurs de dents, pourquoi on a changé cela ?


--
Céramik


Blason dql7mj - Eugenol
growler

19/04/2009 à 00h20

çà m'arrive aussi de réaliser des onlays sur des dents très délabrées et parfois dans des cas limites j'en prends le risque. Je préviens le patient que si çà ne tient pas, je réaliserai le traitement radiculaire puis inlay core et coiffe mais que je préfère réaliser en première intention un onlay afin de garder la dent vivante ce qui, à mon sens, est mieux.
l'année dernière 79 inlay réalisés, un a posé problème (décollements répétés rapprochés)...endo, FM et coiffe, le patient ne me règle que la différence.
Vraiment le collage permet beaucoup de choses qui peuvent paraître scabreuses à première vue.

@+


200106 10150128247663588 709988587 6466236 5598391 n d7mksb - Eugenol
hallboy

19/04/2009 à 00h41

Marc Apap écrivait:
> 2/ Tu ne connais personne qui fait des inlays ... et pour cause :

personne qui fasse de l'inlay ceram depuis aussi longtemsp aussi souvent.

c'est bien
> pour cela que je dis que si un artiste acrobate nous montre ses fantaisies, cela
> veut peut être dire qu'elles sont possibles,


C'est donc possible;)


mais que ce n'est pas une méthode
> qui doit être universelle. Ne serait-ce déjà parce que dans la vraie vie, il y a
> des gens qui ne peuvent ou ne veulent pas se les payer


c'est moins cher qu'un implant ou mm quune endo chez Yana. C'est pas pour ça que Yana ou Mac doivent pas exercer;).



> Ensuite, parce que cela implique une mise en oeuvre très rigoureuse et la prise
> d'un risque à mon avis non négligeable. Dans la profession, il y a toujours des
> gens très doués. Ils en sont très fiers, et cela permet à d'autres de se motiver
> à faire mieux.

Ben oui!



Mais il ne faut pas ignorer les non-dits que cela suppose :
> efforts de rigueur, acceptation des risques, capacité à vendre des prestations...

D'ou le fait que pour le moment je me sente pas de faire ce couplà.


> 3/ Ca te semble hors de portée : c'est bien pour cela que je trouve dangereux de
> le promouvoir comme méthode universelle sans précaution car c'est encore une
> fois acrobatique.

Je n'ai pas le sentiment que la promotion soit le but. Pareil qd je vois des trucs de Noah. Je n'ai psa non plus l'impression que Pertot ou Simon viennent vendre leurs bouquins ou leur formations. Ou que toi mm tu vendes qqchose sur Eugenol.

mais franchement, pour moi, je ne vois pas pourquoi j'admirerais ce travail, même
> s'il est bien fait.

???!! Je l'admire parceque c'est un beau job et que justement je ne saurais pas le faire ( mettre en place: rigueur/precision/digue/ collage/xlampes ) mais bon, je suis capable d'admirer des joueurs de foot..!!




PS: Putain je viens de voir qu'un post s'est intercalé: va falloir que j'admire Growler en + maintenant!!! Heureusement que je plonge mieux que ces deux là;) je vais pouvoir frimer l'an prochain à Cozumel


Smile beach jgh0a1 - Eugenol
Céramik

19/04/2009 à 00h58

hallboy écrivait:
-----------------
>>
> PS: Putain je viens de voir qu'un post s'est intercalé: va falloir que j'admire
> Growler en + maintenant!!! Heureusement que je plonge mieux que ces deux là;) je
> vais pouvoir frimer l'an prochain à Cozumel



Cool, Cozumel !
Growler tu y seras ?

A+
--
Céramik ;-)

Et hop pdxg1p - Eugenol

Marque a3 orange fyvhyq - Eugenol
Marc Apap

19/04/2009 à 01h06

Je n'ai pas la moindre admiration pour les joueurs de foot, ça doit être pour ça que tu ne comprends pas mon point de vue.


Blason dql7mj - Eugenol
growler

19/04/2009 à 01h13

oui, j'irai à Cozumel:))

Taille t03lj2 - Eugenol
Coll  jvjrtn - Eugenol

Marque a3 orange fyvhyq - Eugenol
Marc Apap

19/04/2009 à 01h54

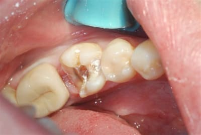
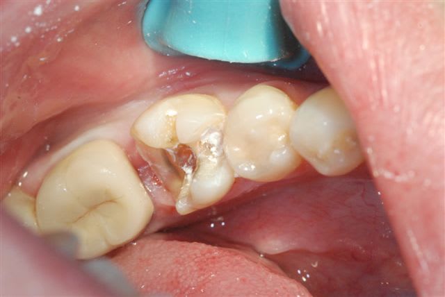
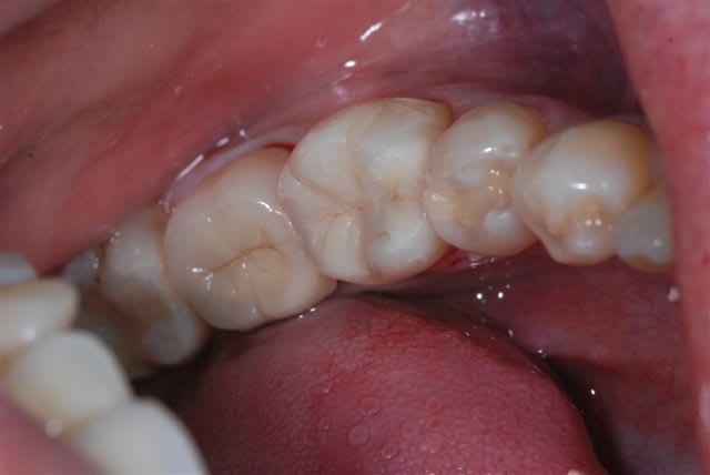
Là, nous sommes effectivement bien dans l'indication d'un inlay : délabrement important mais pas sub-total, présence d'importantes parois vestibulaires et linguales, cavité proximale large et profonde, sans toutefois être sous gingivale.


Image odged8 - Eugenol
ploc

19/04/2009 à 02h11

growler écrivait:
-----------------
> çà m'arrive aussi de réaliser des onlays sur des dents très délabrées et parfois> dans des cas limites j'en prends le risque. Je préviens le patient que si çà ne
> tient pas, je réaliserai le traitement radiculaire puis inlay core et coiffe
> mais que je préfère réaliser en première intention un onlay afin de garder la> dent vivante ce qui, à mon sens, est mieux.
>



mitou et de plus en plus depuis un an....(tu m'admires aussi Hall?)

pourquoi les CD ft ils si peu d'inlays - onlays? simplement parce que ce n'est pas à la nomenclature (l'assimilation SC 17 ne reglant mme pas les frais de prothèse)
contrairement à l'idée véhiculée,les patients acceptent sans pb si on sait leur expliquer le bien-fondé de cet acte (pr convaincre il faut être convaincu.......:)
et c'est comme tout :plus tu pratiques ,plus ton protocole devient au point et plus ça parait simple et evident

marc,j'aime bc ton article sur cologne mais ta politique de tirer les CD vers la normalité remboursée SS, normalité qui a lire le post de tilc
("Mettre une digue pour faire un compo 2 faces sur une 15 meme si c'est l'objectif a viser c'est de la connerie dans le cadre d'un omnipraticien en zone rurale.,Si au bout d'une heure de rdv ton endo est a 1mm de l'apex tant pis ! t'es pas au top mais tu peux pas te permettre de faire 2 seances d'une heure pour avoir une endo "jolie a la radio"Il y a c'est qui faudrait faire ( et qu'il faut garder en tete) etc...)
tend sciemment vers une "moyenneté"(pr ne pas dire autre chose)

cette politique que tu ns prône,je l'aime bc moins

NB: à quoi sert de garder en tête de "savoir ce qu'il faudrait faire sans le faire en sachant que ce serait mieux si on le faisait"

qqe chose m'echappe


>
>


Marque a3 orange fyvhyq - Eugenol
Marc Apap

19/04/2009 à 11h20

Décidément, Ploc, tu ne me comprends toujours pas.
Moi aussi, il m'arrive de faire des inlay (en compo), des onlay (en métal) et beaucoup de couronnes sur dents vivantes. A chaque fois, je soupèse le pour et le contre et envisage les indications de l'un et l'autre et me décide en fonction de ça. Je trouve surtout que lorsque l'on a une dent avec un vieil amalgame, de la carie, qui a bien noirci un peu partout et pas mal de contre dépouilles, le rendu esthétique et la solidité d'un inlay-onlay n'est pas top.
Et pour en finir avec le cas de Ceramik, je me place toujours comme si un enseignant montrait un travail en disant :" voilà ce qu'il faut faire".
En l'occurence, j'ai plutôt l'impression d'une émission de télé où on voit un cascadeur réussir parfaitement le saut de l'ange, mais sans le bandeau qui défile en dessous qui dit " attention, cette cascade est effectuée par un professionnel, ne faites pas ça chez vous". Bien sûr que nous sommes tous des professionnels, mais certains plus que d'autres.
Bref, laisser à penser que le genre de chose qu'il nous montre doit être la règle est pour moi un non-sens. Et pas seulement parce que c'est risqué ou difficile, parce que ce n'est pas une bonne indication à mes yeux.


RépondreCiter
Logo vuaztn - Eugenol
mac

19/04/2009 à 12h09

hallboy écrivait:
-----------------

>
> Mais franchement , ça me semble hors de portée pour moi actuellement;)


alors là je comprends pas pourquoi, c'est du très beau boulot mais je vois pas ou est la difficulté, attention je ne veux pas dénigrer le travail de céramik, tailler un onlay c'est pas bien difficile ensuite il suffit de prendre l'empreinte et de faire un collage.


c'est quoi l'acrobatie.

arrêtez de vouloir tirer vers le bas, hein marco;)