Cookie Consent byPrivacyPolicies.comTraitement implantaire de A à Z - Eugenol

Traitement implantaire de A à Z

Casque beotien a3jo39 - Eugenol
beotien

19/01/2010 à 22h07

noahaxeltiger-olivier écrivait:
-------------------------------
> Ne le prend pas mal, mais à la vue des cas que tu nous montres Beotien, tu
> sembles avoir du mal avec le positionnement implantaire tridimentionnel.

Pourquoi veux tu que je le prenne mal? Cela prouve seulement que je ne suis pas dans la quatrième dimension.
ou alors que j'en pose trop peu pour me rappeler d'une fois à l'autre et que je devrais peut être utiliser un logiciel de reconstruction 3d.

Plus sérieusement sur le premier cas le foret en place est le terminal de 12x3,5, je le trouve pas si mal l'axe 3d, mais j'ai un peu forcé sur le biomat
pour l'autre cas, je suis aussi dans l'axe,j'avais décalé le deuxieme forage en palatin pour faire une expansion
vesti, puis j'ai choisi la facilité


Img 1744 z0evts - Eugenol
dumaille

19/01/2010 à 22h11

je suis assez d'accord, tes émergences ne t' ont jamais posés de problèmes d'ordre esthétique?

--
La vie est une fête!


Img 0812 mvp6i0 - Eugenol
jeamba

19/01/2010 à 23h14

béotien, je t'invite à consulter le cas présenté par noah à la page 2 de ce même post, c'est un cas qui ressemble beaucoup au tiens et la façon dont il a été traité est trés interessante.


Img 0812 mvp6i0 - Eugenol
jeamba

19/01/2010 à 23h22

oups pardon je me suis trompé de post.


Smile beach jgh0a1 - Eugenol
Céramik

20/01/2010 à 03h40

dumaille écrivait:
------------------
> je suis assez d'accord, tes émergences ne t' ont jamais posés de problèmes
> d'ordre esthétique?
>

Regarde le dernier cas...ça répond à ta question, non ?


Désolé, mais le résultat des couronnes secteurs 2 sur implants n'est pas tès intéressant...et je crois que l'axe est en cause...



--
Céramik


3f3boxni50k58rq7e9ce9ddqrxgk - Eugenol
dentiste57

21/01/2010 à 00h29

c'est dommage l'aspect opaque merdique que t'a fait ton proto...

change!

:)


Casque beotien a3jo39 - Eugenol
beotien

21/01/2010 à 14h53

pxav c'est pour toi , tu te souviens
50 minutes, 3implants et 3 hemos
En 33 c'est un bouchon, j'ai tapé la corticale interne et l'artériole en meme temps et l'ai pas réussi à la traversée(l'artériole)
çà c'est un vrai probleme de 3D , vous m'avez porté la poisse
Suis moins patient que pxav, c'est un 8x3,7 je pense que çà va aller qd meme

D57 c'est la teinte de ses aciers résines qui on plus de 25ans
je lui ai fait remarquer que l'on voyait le métal et ce n'est même pas un pb d'argent dans son cas.

dumaille et ceram si en riant aux éclats on voit ses collets je paie le champagne

Jeamba j'avais aussi mis un cas pour rire en page 2

Et si dieu à son diable je veux bien être celui de Noah,et s'il peut m'apprendre une technique de ROG infaillible je suis preneur

Pour le reste, Mes cas fonctionnent, mes correspondants continuent à me faire confiance. Après "dont acte" de vos remarques, si je vous importune, je ne poste plus



alhoun

21/01/2010 à 15h40

quoi? tu as des correspondants?


arno

21/01/2010 à 16h17

Olivier et les autres, pouvez-vous détailler ce qui dans le positionnement 3D a amené un tel échec esthétique?
Je dirai un axe vestibulo-palatin trop incliné en vestibulaire, mais est-ce la seule cause?


Avatar transparent iqadnc - Eugenol
adhoc

21/01/2010 à 16h47

>Je dirai un axe vestibulo-palatin trop incliné en vestibulaire, mais est-ce la seule cause?<

J'aurais bien une réponse...

Axe yad3ri - Eugenol

Fouilla h6plsy - Eugenol
fouilla

21/01/2010 à 17h57

pour changer de sujet
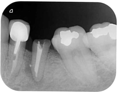
un échec d'endo.
première consult en 3/2009 atteinte de 35
dépose de la ccm repirse d'endo repose de la ccm tenon raccourci
mais évolution+++ de la lésion qui m'a conduit à l'avulsion de la dent en septembre curetage soigneux et mise en place de : rien

en janvier pano de controle avec petit repère (tige maillefer recoupée à 10mm) dans du silicone
janvier pose d'un natéa en 4.1*10

pas de photo désolé

la paix soit avec vous...



--
.

R1 vg5t3k - Eugenol
2 jaohor - Eugenol
3 zj9per - Eugenol
3 bis lze40t - Eugenol
4 ulxkpx - Eugenol

Humator t9r5wy - Eugenol
humator

21/01/2010 à 19h01

...et avec votre esprit, amen.

comme quoi, ne rien mettre donne aussi de bons resultats...
ny avais t'il pas une fracture sur cette racine, mon cher foufouillon?

--
N.Hum


S2y2o1v7q53ws4r5wy6ou8czrpom - Eugenol
pxav

21/01/2010 à 19h29

dommage que tu n'ai pas osé mettre plus long en 33 croisons les doigts....
--
xbk


Fouilla h6plsy - Eugenol
fouilla

21/01/2010 à 19h55

pour humator : non en fait si tu regardes endo paro en mesial
pour pxav : surface de contact os implant en 4.1*10 superieur a 12*3.3 et en plus le mentonnier fait sa boucle juste la c'est pour ça que pas plus long

.


Smile beach jgh0a1 - Eugenol
Céramik

22/01/2010 à 04h13

ce matin...

Patiente de 48 ans
Bridge mobile, dents 11 et 21 : perte osseuse +
11 sensible : fellure (sondage + en distal-palatin)
Plan de TX : dépose brige et implants...mais suite au scan...manque d'os en regard 12 et 22...donc greffe...

Pose 4 implants avec expansion 12 et 22
kit Messinger (merci pxav !)

Bon, pas parfait pour l'expansion, je ne suis qu'un débutant...alors, Mineros et membranne (ça je sais faire !)
De toute façon, faut bien remplir le vide en regard de 11 et 21...

Plus tard les implants en bas, mais au scan pas d'os...lame de couteau très, très mince.
pxav, si tu viens à Montréal, ce cas est pour toi !
Je ne suis pas encore certain de vouloir le faire...

--
Céramik

Montage part 1 kfornm - Eugenol
Montage part 2 goyiji - Eugenol
Montage pano sopm60 - Eugenol

Blason dql7mj - Eugenol
growler

22/01/2010 à 17h09

parfait!

pour la fermeture du site sans tension, traction du lambeau rendue possible par petites incisons transversales du perioste?


Img 8465 fqhxid - Eugenol
noahaxeltiger-olivier

22/01/2010 à 18h19

Joli, propre, de qualité as usual !
Pourquoi 4 implants cher Ceramik ? Est ce d'après toi la distribution la plus sûre en terme de prédicitibilité de rendu esthétique ?


georges-alain

22/01/2010 à 18h23

beotien écrivait:
-----------------


>
> Pour le reste, Mes cas fonctionnent, mes correspondants continuent à me faire
> confiance.


pareil!


Smile beach jgh0a1 - Eugenol
Céramik

23/01/2010 à 01h24

noahaxeltiger-olivier écrivait:
-------------------------------
> Joli, propre, de qualité as usual !
> Pourquoi 4 implants cher Ceramik ? Est ce d'après toi la distribution la plus
> sûre en terme de prédicitibilité de rendu esthétique ?


Merci


Pour le choix de 4 implants, cela c'est fait durant la chirurgie...ma 1er idée étant exo + greffe (bloc d'os menton). J'ai enlevé 11 et 21, puis j'ai décidé de placer implants 11 et 21...ensuite j'aime pas faire bridge dents- implants et 2 implants en 11 et 21 pour 4 incisives...bof, alors j'ai sorti mon kit expansion (avec une pensée pour pxav), placer 12...et finalement 22...bref une intuition durant la chirurgie. J'avais tout mon temps. Total, incluant la dépose et la re-pose du bridge, l'anesthésie, les photos (pose à chaque fois...), radio : 2h45.

La patiente est très contente, éviter une greffe plus lourde, 4 implants avec possibilité de 4 couronnes individuelles et une seule chirurgie. De plus j+24h pas de douleur important, un peu d'enflure, mais tout va bien.




Pour Growler, dissection sous le lambeau avec un ciseau (en ouvrant). Le lambeau est absolument passif, il tombe en place tout seul avant les sutures.

--
Céramik


Casque beotien a3jo39 - Eugenol
beotien

23/01/2010 à 12h57

est ce que c'est mieux pour l'axe?
un peu d'humour ne "nuit" pas

La patiente de mardi (74ans) "désaxée" est venue payée très contente et a amené un petit cadeau pour les assistantes
Comme le béotien se contente de peu il est content

Pxav la patiente de jeudi pas de douleurs pas de saignements
Ce n'est pas le première fois que j'utilise un implant comme bouchon (coût 80€). Mardi je décide si retourne tranquillement dans un mois, j'en mettrais bien 1 de plus en 34


georges-alain

24/01/2010 à 00h58

bravo!
ton cas d'avant était bien moi je trouve, je mets pas d'implant moi je trouve que ça prend trop de temps pour se former, mais il y a des formations rapides on dirais...tu peux me donner les références sa m'intéresse.
et il nous emmerde l'autre avec son esthétique, du moment que le patient est content, passe a la caisse c'est le principale

dr Patsch Hans, t'en penses quoi?


Img 8465 fqhxid - Eugenol
noahaxeltiger-olivier

24/01/2010 à 02h20

georges-alain écrivait:
-----------------------
> bravo!
> ton cas d'avant était bien moi je trouve, je mets pas d'implant moi je trouve
> que ça prend trop de temps pour se former, mais il y a des formations rapides on
> dirais...tu peux me donner les références sa m'intéresse.
> et il nous emmerde l'autre avec son esthétique, du moment que le patient est
> content, passe a la caisse c'est le principale


j'adore ce genre de commentaires très constructif .... Merci de ta participation à ce post georges-alain


Statue modif qbkm6l - Eugenol
Dr Patsch Hans

24/01/2010 à 09h08

alhoun écrivait:
----------------
> quoi? tu as des correspondants?


ach! au royaume des aveugles les borgnes sont kaiser

la meilleure formation c'est celle qu'on fait sur le tas, n'est-ce pas beotien?


Casque beotien a3jo39 - Eugenol
beotien

24/01/2010 à 12h48

georges-alain écrivait:
-----------------------

> et il nous emmerde l'autre avec son esthétique, du moment que le patient est
> content, passe a la caisse c'est le principale
>
> dr Patsch Hans, t'en penses quoi?

Qui que tu soit derrière ton pseudo,sans doute sid, cette dernière remarque est "gratuite" et surtout méchante
Voila cà c'est fait et c'est surement la chose la plus désagréable que je dirais sur Eugénol.


Par contre la remarque de Noah m'a interpellé, je suis peut être par habitude devenu trop minimaliste, il faut savoir se remettre en cause
mardi pour la centrale je prend des photos du moignon tranvissé puis de la céram et on en discute

Pour arno et la patiente qui me vaut ces critiques, pour un autre axe il fallait simplement une greffe osseuse+ une gingivale et une expansion

Pour le cas d'hier matin, j'étais MDR car mac a posté le même dans ce sujet, et fouilla vient d'en mettre un.
merci de ton commantaire dr PATCH



S2y2o1v7q53ws4r5wy6ou8czrpom - Eugenol
pxav

24/01/2010 à 13h06

beotien écrivait:
-----------------

>
> Par contre la remarque de Noah m'a interpellé, je suis peut être par habitude devenu trop minimaliste, il faut savoir se remettre en cause

excellente réaction, mon cher béotien!


nous ne pouvons en aucun cas être tout le temps les meilleurs, ( peut etre même jamais) mais tout benêt qui ne se remet pas en cause est un petit, tout petit.
je te connais et si je n'avais pas pris partie dans cette discussion, lancée de façon élégante par Olivier, c'était dans l'attente de ta réaction, qui ne me déçois pas au contraire.
Apprendre, pour que demain soit mieux qu'aujourd'hui.
longue vie à toi béotien...

ne restons pas dans l'autosatisfaction.

--
xbk


1...678...