Cookie Consent byPrivacyPolicies.comTraitement implantaire de A à Z - Eugenol

Traitement implantaire de A à Z

Img 0812 mvp6i0 - Eugenol
jeamba

24/01/2010 à 17h18

Bonne et sage intervention Xavier, tu as raison de dire qu'aujourd'hui nous sommes tous meilleurs qu'hier mais moins bon que demain et c'est cette course vers le meilleurs qui nous anime et qui nous pousse à avancer, plus facilement c'est vrai quand on est entouré de talentueux eugénoliens. Bravo béotien car c'est courageux de poster et si on le fais c'est pour être soumis à la critique constructive. C'est de nos erreurs que se nourrit notre progression.


Smile beach jgh0a1 - Eugenol
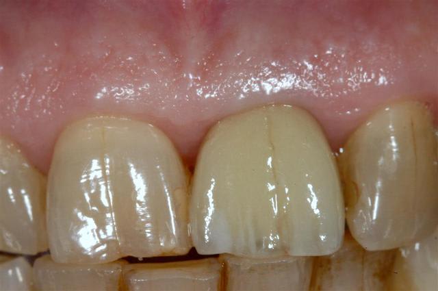
Céramik

24/01/2010 à 19h22

jeamba écrivait:
----------------
> Bonne et sage intervention Xavier, tu as raison de dire qu'aujourd'hui nous
> sommes tous meilleurs qu'hier mais moins bon que demain et c'est cette course
> vers le meilleurs qui nous anime et qui nous pousse à avancer, plus facilement
> c'est vrai quand on est entouré de talentueux eugénoliens. Bravo béotien car
> c'est courageux de poster et si on le fais c'est pour être soumis à la critique
> constructive. C'est de nos erreurs que se nourrit notre progression.

+1

Failure is simply the opportunity to begin again more intelligently.~Henry Ford

--
Céramik


Casque beotien a3jo39 - Eugenol
beotien

26/01/2010 à 21h40

c'est posé; allez y


Blason dql7mj - Eugenol
growler

26/01/2010 à 23h10

beotien écrivait:
-----------------
> c'est posé; allez y


le petit trou en palatin de ton moignon, c'est pour quoi?

utilises-tu des piliers de cicatrisation évasés pour préparer à minima ton émergence gingivale?

@+


Fresh watermelon 640x562 udulqz - Eugenol
gulguch

26/01/2010 à 23h59

growler écrivait:
-----------------
> beotien écrivait:
> -----------------
> > c'est posé; allez y
>
>
> le petit trou en palatin de ton moignon, c'est pour quoi?
>
?
>
> @+

Je parie sur une clavette, non?


Photo pluton1b h9n4ea - Eugenol
pluton

27/01/2010 à 08h21

joli travail béotien...
bon, si on veut pinailler, t'aurais mis l'implant un poil plus en palatin, çà aurait été parfait...remarques, moi généralement j'ai le défaut inverse...
dommage par contre de ne pas avoir fait recréer les zones opalescentes sur la céram...t'avais fais une/des photos pour le prothésiste? (si non tu devrais...moi je fais systématiquement...c'est souvent bien utile...même imprimé sur un simple papier...tu fais 2/3 photos, et sur l'une d'entre elle tu indiques les teintes, saturations, caractéristiques...c'est encore plus explicite qu'un schéma...)


Blason dql7mj - Eugenol
growler

27/01/2010 à 08h47

gulguch écrivait:
-----------------
> growler écrivait:
> -----------------
> > beotien écrivait:
> > -----------------
> > > c'est posé; allez y
> >
> >
> > le petit trou en palatin de ton moignon, c'est pour quoi?
> >
> ?
> >
> > @+
>
> Je parie sur une clavette, non?

un petit trou au même niveau sur la couronne et tu remplis ensuite le tout avec un composite (clavette composite) ?


Utilisateur banni

27/01/2010 à 09h11

growler écrivait:
-----------------
> beotien écrivait:
> -----------------
> > c'est posé; allez y
>
>
> le petit trou en palatin de ton moignon, c'est pour quoi?

pilier balance Ankylos ?


Fresh watermelon 640x562 udulqz - Eugenol
gulguch

27/01/2010 à 23h30

Ou une clavette plastique + ciment ( c'était la mode dans les années 90, eutroteknika je crois)?


Casque beotien a3jo39 - Eugenol
beotien

28/01/2010 à 00h21

wouah, quelle imagination!
c'est tout simplement un faux moignon "droit" en titane idi
ils ont tous ce petit trou que j'utilise parfois pour l'enlever, lors des essais
Quel que soit le diamètre de 2,8 à 3,7 le col fait 4mm, cela simplifie la prothèse (peut être trop)
L'axe est effectivement un peu vestibulaire
Je pense malheureusement faire pire sur le cas de demain.

photo d'un faux moignon droit


Smile beach jgh0a1 - Eugenol
Céramik

28/01/2010 à 01h58

beotien écrivait:
-----------------
>> Je pense malheureusement faire pire sur le cas de demain.
>

Tu as pensé à des lunettes, je dis ça juste pour t'aider...
;-)



--
Céramik


Fresh watermelon 640x562 udulqz - Eugenol
gulguch

28/01/2010 à 17h32

beotien écrivait:
-----------------

> L'axe est effectivement un peu vestibulaire
> Je pense malheureusement faire pire sur le cas de demain.
>

> Tes formateurs devaient probablement recommander de placer le bord vestibulaire de l'implant au mème niveau que la dent.
D'autres, tout aussi estimables, préfèrent être "palatin" de 1 ou 1,5mm.


Smile beach jgh0a1 - Eugenol
Céramik

31/01/2010 à 19h42


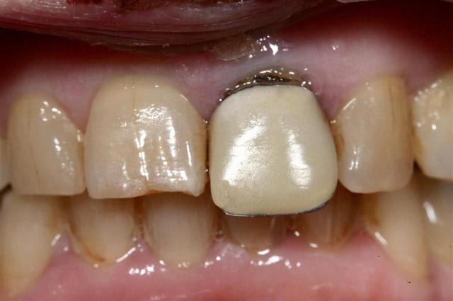
Cas simple, suite exo et greffe osseuse.
Bien vérifier axe avant de visser


La paroie buccale était absente lors de l'exo, kyste important, frature racines.
--
Céramik

Dent 24 grjphn - Eugenol

003 penrd2 - Eugenol
Cingulum

02/02/2010 à 15h55

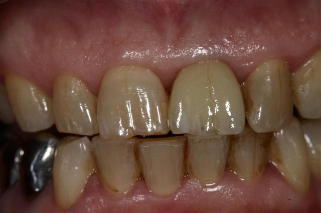
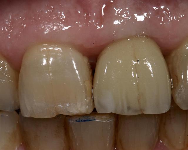
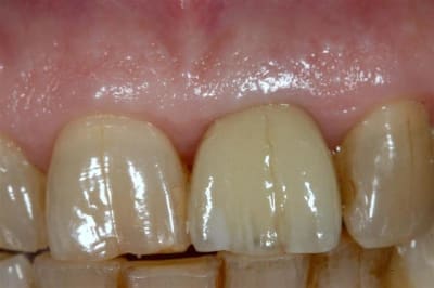
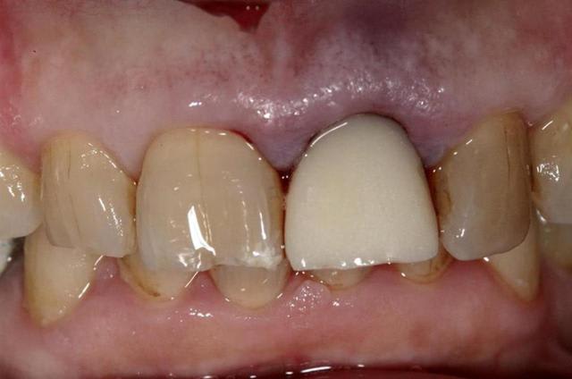
Allez, pour apporter mon caillou à la plage, un cas intéressant, d'implant en urgence.
consultation suite à une chute et fracture de 21 couronnée, un 29 Décembre, décision de poser l'implant le 31.12.
Extraction, mise en place d'un implant de 5*11.5 torque > 35N
Mise en place d'une dent provisoire transvisée.
Prothèse transvisée définitive à 3 mois.
Les 2 dernières photos à 1 an.
la photo ceram en place est à 6 mois. Noter l'amélioration des papilles entre 6 mois et 1 an...




--
Dr Cingulum
-----Ancien interné----
----Attaché à l'apex----
www.clinic-all.fr formation par passion

Eimic  large  sbt7xp - Eugenol
Eimic  2   large  izzgxf - Eugenol
Eimic  3   large  cwtuxd - Eugenol
Eimic  4   large  gj5wpo - Eugenol
Eimic  5   large  fosz9k - Eugenol
Eimic  6   large  hecqg4 - Eugenol
Eimic  7   large  igh9ub - Eugenol
879 x 00000470 3 oekvja - Eugenol
Eimic  1   large  vwwjeo - Eugenol
Eimic  8   large  jqwvma - Eugenol
Eimic  9   large  bhp9lt - Eugenol

Grueavatar nptrc9 - Eugenol
Le Choixpeau magique

02/02/2010 à 16h10

Résultat top Cingulum !


Blason dql7mj - Eugenol
growler

02/02/2010 à 16h18

yeaaah! elle est pas belle la vie!

19.5/20 (un peu moins de lemon et un peu plus de red et c'était le 20/20)


alhoun

02/02/2010 à 16h52

joli travail :)


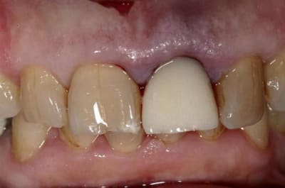
Img 0812 mvp6i0 - Eugenol
jeamba

02/02/2010 à 17h01

Bravo cingulum, ça ne peut mieux tomber j'ai une 12 à extraire jeudi et à implanter. la patiente veut absolument repartir avec une provisoire. Ma question est de savoir si tu as comblé autour de ton implant et de quelle longueur il était?
Merci.


003 penrd2 - Eugenol
Cingulum

02/02/2010 à 17h21

non pas comblé pourtant hiatus assez important environ 1.5mm.
Longueur 11.5, mais j'aurais du mettre un plus long, pour la MCI j'aurais pris moins de risque...


--
Dr Cingulum
-----Ancien interné----
----Attaché à l'apex----
www.clinic-all.fr formation par passion


Grueavatar nptrc9 - Eugenol
Le Choixpeau magique

02/02/2010 à 17h34

growler écrivait:
-----------------
> yeaaah! elle est pas belle la vie!
>
> 19.5/20 (un peu moins de lemon et un peu plus de red et c'était le 20/20)

Bonne remarque du Growly, tu utilises quel teintier Cingulum ?
Je demande ça parce que sur ce type de dents, je ne trouve pas que le 3D Master donne de bons résultats.
Sur des dents de luminosité 5, le peu de choix proposé par le teintier correspond rarement à ce qu'on a en bouche.


S2y2o1v7q53ws4r5wy6ou8czrpom - Eugenol
pxav

02/02/2010 à 18h06


bravo, bruxo en plus, beau travail, beau résultat

--
xbk


Fouilla h6plsy - Eugenol
fouilla

02/02/2010 à 18h39


olivier...
tu mérites bien ton prénom comme je l'ai dit précédemment que les autres n'aient pas les chevilles qui....
superbe.
question subsidiaire : qui t'as réalisé la partie prothétique ? (prothèse aurait été vulgaire)
--
.


P1010130 jpci1f - Eugenol
MarcB6

02/02/2010 à 20h37

Joli travail Cingulum, Bravo.

cordialement

--
marcB6


Logocolornotext kiwlk1 - Eugenol
Clio

03/02/2010 à 13h20

superbe cingulum,
une petite question, qu'est ce qui t'a poussé à faire une prothèse transvissée plutôt que scéllée?


S2y2o1v7q53ws4r5wy6ou8czrpom - Eugenol
pxav

03/02/2010 à 14h00

Clio écrivait:
--------------
> superbe cingulum,
> une petite question, qu'est ce qui t'a poussé à faire une prothèse transvissée
> plutôt que scéllée?

salut clio
je ne connait pas les raisons de cingulum, mais le transvissée à l'énorme avantage d ne pas "envoyer" de ciment en sous gingival

--
xbk


1...78910