Cookie Consent byPrivacyPolicies.comMercredi prochain, MCI sur 8 ou 10 implants, qui veut venir - Eugenol

Mercredi prochain, MCI sur 8 ou 10 implants, qui veut venir ?

3f3boxni50k58rq7e9ce9ddqrxgk - Eugenol
dentiste57

16/03/2010 à 21h48

voilà, tout est dans le titre, si certains sont intéressés, y a qu'à me contacter en MP.
le cabinet est grand ouvert.


PS pour ceux que ça intéressent, je me situe entre Metz et le Luxembourg...

Eug nol byervw - Eugenol
Eug nol 2 oqj9xz - Eugenol

S2y2o1v7q53ws4r5wy6ou8czrpom - Eugenol
pxav

16/03/2010 à 22h36

ben moa, mais ça va pas être facile; j'ai trop de boulot en retard.......................

--
xbk


S2y2o1v7q53ws4r5wy6ou8czrpom - Eugenol
pxav

16/03/2010 à 22h38

belle étude, je te souhaite bla bla bla....
--
xbk


3f3boxni50k58rq7e9ce9ddqrxgk - Eugenol
dentiste57

16/03/2010 à 23h37

si tu peux pas venir, je comprendrai.

mais c'est dommage, j'avais réservé une table dans ce petit resto où il y avait des langoustines flambées...hummm!


bon, tu aura les photos en primeur.

puor commencer complet in situ et guide radio...

Dsc 6073 pcexrz - Eugenol
Dsc 6077 ukfhsf - Eugenol

Smile beach jgh0a1 - Eugenol
Céramik

17/03/2010 à 03h07

Bon, tu me donnes un délais plus long la prochaine fois...

Place les photo.

A+


--
Céramik


Fouilla h6plsy - Eugenol
fouilla

17/03/2010 à 12h17

en fait xavier t'as ps compris il veux compléter sa triplette pour faire comme les pros...

mais bon les boules car c'est un des rares mercredi ou je travaille comme je vais faire un tour aux printanières tekaienne !!!

mais comme le dit ceramik tu nous le dirais une petite quinzaine avant t'aurais eu droit à une assistance fouillesque avec la tenue que tu choisis et demande à growly je sais me faire petit ... si si je t'assure




--
.


3f3boxni50k58rq7e9ce9ddqrxgk - Eugenol
dentiste57

26/03/2010 à 14h39

bon, ben mercredi c'était finalement sur 8 implants! mais ça devrait le faire quand même.

les photos plus tard, c'est promis, juré, craché.

merci aux confrères qui sont venus assister à l'intervention...
la prochaine fois je préviendrai plus tôt.

009 ek9ebz - Eugenol

Photo pluton1b h9n4ea - Eugenol
pluton

26/03/2010 à 14h59

gaffe D57...on voit les noms...

sinon, joli travail...tout sur de l'anthogyr?


3f3boxni50k58rq7e9ce9ddqrxgk - Eugenol
dentiste57

26/03/2010 à 16h22

oups!

ça y est c'est corrigé!


Canin

26/03/2010 à 16h41

il faudrait également enlever le stellite sur ta pano :-)

sinon c'est quoi ta peinture de guide radio ???

--
Canin


Blason dql7mj - Eugenol
growler

26/03/2010 à 17h33

c'est tiré au cordeau !
propre et net. Bravo Thomas


S2y2o1v7q53ws4r5wy6ou8czrpom - Eugenol
pxav

26/03/2010 à 22h02

superbe Thomas,
désolé de n'être pas venu

--
xbk


Img 0812 mvp6i0 - Eugenol
jeamba

26/03/2010 à 22h38

Tu es malheureusment entouré par une brochette d'hypocrites, ils n'y croyait pas.
Quelle est la longueur de tes implants infrasinusiens? Bravo thomas.


3f3boxni50k58rq7e9ce9ddqrxgk - Eugenol
dentiste57

27/03/2010 à 23h50

bon , ça est je m'y met!
voici les photos.

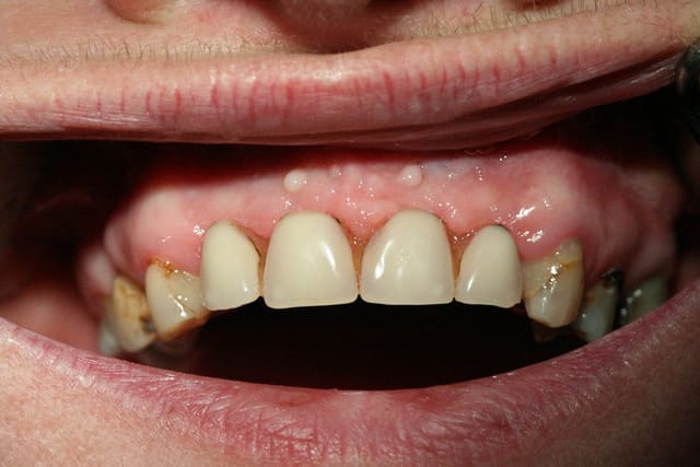
pour la petite histoire, la patient dépressive est venue il y a 4 ans pour la première fois.
ses dents étaient mobiles, elle était complexée, gardait souvent la mains devant la bouche quand elle parlait...

j'ai mis deux ans à la décider à sauter le pas et faire extraire ce qui lui restait en haut pour lui poser une PAC.
et encore 1 an et demi pour la décider à passer aux implants.

comme on peut le voir sur les premières photos, la forme des gencives était magnifique, si seulement j'avais pu poser des implants à ce moment là et profiter des papilles résiduelles que lui avait laissé son stellite...




1 opt d part xjckyt - Eugenol
2 opt 3ans apr s hb4fth - Eugenol
010 copie jcvehr - Eugenol
011 copie zb07o6 - Eugenol
012 trois ans apr s copie r4yqsx - Eugenol

3f3boxni50k58rq7e9ce9ddqrxgk - Eugenol
dentiste57

28/03/2010 à 00h00

bref!

première étape;utiliser son complet pour faire dans un premier temps un guide radiologique puis deux guides chirurgicaux (je reviendras la dessus) plus tard.

pour ça c'est facile, ceux qui veulent en savoir plus n'auront qu'à demander...
ça prend 1/4 d'heure.

020  ranbu7 - Eugenol
013 copie du complet haut copie jwrr4m - Eugenol
014 guide radio nrod5l - Eugenol
016 z9dsw2 - Eugenol

3f3boxni50k58rq7e9ce9ddqrxgk - Eugenol
dentiste57

28/03/2010 à 00h09

je dégage les dents le plus proprement possible puis, je fais des petits trous et j'injecte du protemp4 car il est radio opaque.

bon, je sais le protho pourrait aussi faire la même chose mais là je contrôle puis ce qui se passe ( je suis un enculeur de mouche).

017 d coupe des dents grx51d - Eugenol
018 oxt0k9 - Eugenol
019 lwo5rw - Eugenol

3f3boxni50k58rq7e9ce9ddqrxgk - Eugenol
dentiste57

28/03/2010 à 00h19

essayage en bouche du guide radio.

après on envoie la patiente faire sa radio; dents serrées. c'est important!
(je reviendrais la dessus aussi plus tard)

et là on travail un peu (beaucoup) la planification.

022  adbmdv - Eugenol
Eug nol 2 b9hl0l - Eugenol
Eug nol d4cun7 - Eugenol

3f3boxni50k58rq7e9ce9ddqrxgk - Eugenol
dentiste57

28/03/2010 à 00h24

pourquoi deux guides ?

l'un pour avoir le couloir prothétique pour les implants ne nécessitant pas de pilier conique angulé (style multi-unit), et l'autre pour pour suivre la crête osseuse (3.5 à 4 mm d'épaisseur).

024  ay8weg - Eugenol
023  pspgbg - Eugenol
025  g70hao - Eugenol
Dsc 6317 agrsvb - Eugenol
Dsc 6318 kksewr - Eugenol

3f3boxni50k58rq7e9ce9ddqrxgk - Eugenol
dentiste57

28/03/2010 à 00h30

la chir maintenant...

comme l'ensembles des cr^tes étaient fines, j'ai du travailler au plus juste; un premier forage au foret pilote (diam 2mm) et tout le reste aux ostéotomes.

Dsc 6319 lfb3kf - Eugenol
Dsc 6320 uz6tri - Eugenol
Dsc 6321 j0zoen - Eugenol
Dsc 6322 nn01zd - Eugenol
Dsc 6324 dklung - Eugenol
Dsc 6325 c4xggx - Eugenol
Dsc 6326 vrzm0f - Eugenol

3f3boxni50k58rq7e9ce9ddqrxgk - Eugenol
dentiste57

28/03/2010 à 00h39


angulation importante de la crête de 23 et pas possible de corriger l'axe car pas assez d'épaisseur d'os.

Dsc 6327 lqdfrq - Eugenol
Dsc 6328 xdz5qv - Eugenol
Dsc 6329 utuj9g - Eugenol
Cross section eskbjw - Eugenol

3f3boxni50k58rq7e9ce9ddqrxgk - Eugenol
dentiste57

28/03/2010 à 00h43

d'où la nécessité de corriger avec un pilier conique angulé à 30°

M cross section ac0o3x - Eugenol

3f3boxni50k58rq7e9ce9ddqrxgk - Eugenol
dentiste57

28/03/2010 à 00h45

essayage des jauges à 30° 18 ° et 0°

Dsc 6330 kerdwm - Eugenol
Dsc 6331 n9ybqr - Eugenol
Dsc 6332 whjmsx - Eugenol

3f3boxni50k58rq7e9ce9ddqrxgk - Eugenol
dentiste57

28/03/2010 à 00h47

montage de tous les piliers coniques et vérification avec le guide chirurgical la position.

Dsc 6336 whbhaz - Eugenol
Dsc 6337 cdmte1 - Eugenol
Dsc 6338 kn2hio - Eugenol
Dsc 6339 rsxhzk - Eugenol

3f3boxni50k58rq7e9ce9ddqrxgk - Eugenol
dentiste57

28/03/2010 à 00h52

la suite demain , je suis claqué.


Scan10030 ukikhq - Eugenol
vava

28/03/2010 à 07h35

ah ces jeunes ils ne tiennent pas la distance, n'est ce pas pxav


12...