Tous les forums
cratérisation importante avec le krestal
16/06/2010 à 20h07
pluton écrivait:
----------------
> mac écrivait:
> -------------
>
> > c'est pas sympa pour les confrères d'avoir fait la pub de ces implants depuis
> > des mois alors que tu as des problèmes avec.
>
> les problèmes, je viens de les découvrir, ok?
> tu penses que çà m'enchante?
> tu crois pas que c'est plus honnête de ma part de vous en tenir informé plutôt
> que de garder çà pour moi? surtout que ce système, (d'apparence au final) très
> simple d'emploi semblait indiqué pour ceux qui débutent en implanto...
>
> maintenant, j'ai toujours été clair...je vous ai dit que les forets étaient
> épatants, que l'insertion de l'implant était agréable...
> maintenant, je vous donne le retour clinique...
c'est exactement ce que je te reproche c'est d'avoir fait la pub d'un système sans l'avoir essayé.
16/06/2010 à 20h12
Pour ma part, toujours pas de probleme particuliers, toujours pas d'echec sur cette marque, mais j'évite leur Progress
16/06/2010 à 21h37
tous mes implants sont ostéo-intégrés, mais je trouve que la cratérisation est très importante et surtout très rapide.
donc pour moi, il y a un problème même si le taux de succès est de 100% en 2 ans.
mais dans 10 ans?
16/06/2010 à 21h55
trimarc écrivait:
-----------------
> tous mes implants sont ostéo-intégrés, mais je trouve que la cratérisation est
> très importante et surtout très rapide.
>
> donc pour moi, il y a un problème même si le taux de succès est de 100% en 2
> ans.
> mais dans 10 ans?
et tekka ils disent quoi?
amha tu devrais parler de taux de survie et non de succès.
16/06/2010 à 22h14
moi j'ai eu le même problème sur des biotech conic. depuis 2 ans perte régulière de l'os autour des micro spires. c'est stable dans le temps mais ca m'oblige a un suivi tous les 3 mois de ces patients. depuis je pose straumann et la la radio post op et celle 3 mois apres c'est la même et c'est très rassurant pour le long terme mais financierement c'est pas pareil.
16/06/2010 à 22h55
une connexion à plat sur un implant placé juxta ou sous crestal c'est très très moyen. Pour moi les connexions à plat sont à réserver aux implants style tissue level.
16/06/2010 à 23h13
mac écrivait:
-------------
>
> et tekka ils disent quoi?
>
> amha tu devrais parler de taux de survie et non de succès.
je vois tekka demain.
mais mac tes commentaires n'apportent rien à la discussion.
j'ai posté le sujet pour essayer de comprendre: tu crois que s'est facile de reconvoquer tous ses patients et de leur dire que tu as fait une bétise: fais le et on en reparle après. j'ai pris une grand leçon d'humilité.
je ne juge pas tekka: j'ai signé comme un grand, personne ne m'a forcé.
je pense que je vais changer de système (dentsply me semble bien, dommage que le commercial de la RP soit incompétent et con), mais ma rentabilité ne sera pas la même.
17/06/2010 à 17h26
juste pour savoir car je ne pose pas de tekka tu les à "torqués" à combien?
17/06/2010 à 18h09
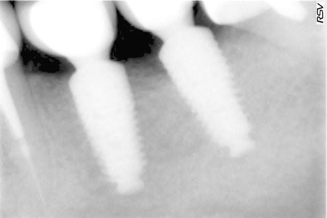
Il manque les radios du jour de la pose, j'ai l'impression que les implants ne sont pas assez enfouis . Pa exemple Anthogyr recommande de poser l'Axiom 0.5mm en sous crestal, que préconise Tekka ?
En ce qui concerne la radio de la 21 , on dirait qu'il a été mis dans un site d'extraction et qu'il n'est pas assez large.
Mais c'est vrai que entre l'étalonnage des forets, l'utilisation ou non de taraud, la puissance du torque et l'enfouissement crestal, on refait çà un peu au feeling, chacun à sa recette et au final on pédale un peu dans la semoule.
17/06/2010 à 18h21
Tekka préconise un enfouissement à 1 voir 1,5mm sous crestal pour l'in-kone. Pour le krestal je sais pas, vue que c'est pas la même connectique.
17/06/2010 à 18h39
merci en tout cas de nous montrer tes cas (sans mauvais jeux de mots)
mac(et autres en l'occurence ici c'est mac) il me semble utile que l'on puisse dire et parler de cas problématiques sans pour autant que tout le monde devienne ironique ou vindicatif ce qui amuse sur nonol certes mais face à des réactions systématiques nonol deviendra le royaume des bisounours ou on ne montrera que des choses iconographiées répertoriées et on ne pourra même plus faire part de l'expérience que l'on fait pour les fabricants concepteurs et autres...
n'oublions pas que ce ne sont pas les pouvoirs publics qui financeront les avancées et que les dogmes d'hier nous font bien sourire ....
un précédent post sur le krestal avait été lancé avec des problèmes similaires il me semble non ?
il serait intéressant de connaître la réponse du fabricant peut être que seul trimarc est touché par ces problèmes et qu'il s'agit d'une zone géographique à risques...
on est toujours à l'aise d'annoncer des mauvaise nouvelles alors si l'expérience de certains peut nous les éviter profitons !
--
.
17/06/2010 à 18h53
growler écrivait:
-----------------
> ça reste de la connexion plat sur plat c'est à dire peu étanche et avec un
> micro-gap variable sous la contrainte mécanique occlusale.
>
>
> il existe dorénavant pas mal de marques proposant des connexions coniques,
> allant du 11° type Astra jusqu'au cone morse (par exemple ankylos) plus
> étanches et stables mécaniquement.
>
> je suis par ailleurs assez étonné des problèmes de calibrage de forets qui se
> font jour pour certaines marques, parfois 4 à 6 mois après le lancement d'un
> nouvel implant. On reçoit un nouveau jeu de foret remplaçant les premiers avec
> comme raison invoquée une meilleure calibration évitant un trop fort torque à
> l'insertion.
>
> C'est mieux de poser des implants où le recul est plus important et pour
> lesquelles un vrai protocole de forage largement testé est précisément décrit.
à quoi penses tu???????????????????????????????
--
.
17/06/2010 à 19h56
fouilla écrivait:
-----------------
>
> merci en tout cas de nous montrer tes cas (sans mauvais jeux de mots)
>
> mac(et autres en l'occurence ici c'est mac) il me semble utile que l'on puisse
> dire et parler de cas problématiques sans pour autant que tout le monde devienne
> ironique ou vindicatif ce qui amuse sur nonol certes mais face à des réactions
> systématiques nonol deviendra le royaume des bisounours ou on ne montrera que
> des choses iconographiées répertoriées et on ne pourra même plus faire part de
> l'expérience que l'on fait pour les fabricants concepteurs et autres...
>
> n'oublions pas que ce ne sont pas les pouvoirs publics qui financeront les
> avancées et que les dogmes d'hier nous font bien sourire ....
>
> un précédent post sur le krestal avait été lancé avec des problèmes similaires
> il me semble non ?
>
> il serait intéressant de connaître la réponse du fabricant peut être que seul
> trimarc est touché par ces problèmes et qu'il s'agit d'une zone géographique à
> risques...
>
> on est toujours à l'aise d'annoncer des mauvaise nouvelles alors si l'expérience
> de certains peut nous les éviter profitons !
oui enfin quand j'ai parlé de problèmes avec tekka qu'avaient certains amis à moi, je me suis fait incendié, que j'étais con d'acheter un système "prémium" pour reprendre les termes employés ici et que tekka, et que drive c'était le top.
17/06/2010 à 20h59
fouilla écrivait:
-----------------
>
> merci en tout cas de nous montrer tes cas (sans mauvais jeux de mots)
>
> mac(et autres en l'occurence ici c'est mac) il me semble utile que l'on puisse
> dire et parler de cas problématiques sans pour autant que tout le monde devienne
> ironique ou vindicatif ce qui amuse sur nonol certes mais face à des réactions
> systématiques nonol deviendra le royaume des bisounours ou on ne montrera que
> des choses iconographiées répertoriées et on ne pourra même plus faire part de
> l'expérience que l'on fait pour les fabricants concepteurs et autres...
gros gros +1....
17/06/2010 à 21h29
mac écrivait:
-------------
>
>
> oui enfin quand j'ai parlé de problèmes avec tekka qu'avaient certains amis à
> moi, je me suis fait incendié, que j'étais con d'acheter un système "prémium"
> pour reprendre les termes employés ici et que tekka, et que drive c'était le
> top.
>
>
attends mac je suis pas aveugle j'avais vu ce dont tu parles mais comme peu impulsif tu es ...tu sais que trimarc dans ce cas précis
1)aurai bien aimé un avis
2)dans la merde à gérer est
et suis entièrement d'accord avec toi sur le coté rédibitoire des jugements péremptoires et hatifs de certains mais comme il l'a souligné : lui (comme toi) assume pleinement ses choix de systême .
de toute manière es tu convaincu qu'en cas de problème (ce que je ne souhaite pas) tu ne serais pas abandonné par un grand systême ?
le problème et tu l'évoques un peu sans le dire c'est qu'en implanto l'égo est tellement fort que chacun prêche pour sa chapelle, et il est rare de rencontrer des prat
qui
1)montrent leurs échecs (sans pour autant en tirer profits)
2)expliquent rationellement leur choix et tt
3)restent sufisament humbles pour dire moi aussi ça m'arrive ou m'est arrivé.
la ou tu as raison de prendre un grand systême c'est pour le recul et l'expérience clinique du au grand nombre de praticiens utilisant ceux ci,ce qui donnent des études a postériori sur l'implant concerné, mais il peut être difficile tout simplement pour des raisons économiques de se cantonner à ceux ci.
et n'oublions pas aussi qu'il fut un temps ou certains grands systêmes n'étaient intéressés que par l'élite implantaire (la ils ont changé de politique depuis)
mais promis je réagirai aussi si on t'attaque sur tes choix car cette attitude est débile aussi.
au moins avec mac on sait ce qu'il pense !
--
.
17/06/2010 à 21h44
fouilla écrivait:
-----------------
> mac écrivait:
> -------------
> >
> >
> > oui enfin quand j'ai parlé de problèmes avec tekka qu'avaient certains amis à
> > moi, je me suis fait incendié, que j'étais con d'acheter un système "prémium"
> > pour reprendre les termes employés ici et que tekka, et que drive c'était le
> > top.
> >
> >
> attends mac je suis pas aveugle j'avais vu ce dont tu parles mais comme peu
> impulsif tu es ...tu sais que trimarc dans ce cas précis
> 1)aurai bien aimé un avis
> 2)dans la merde à gérer est
> et suis entièrement d'accord avec toi sur le coté rédibitoire des jugements
> péremptoires et hatifs de certains mais comme il l'a souligné : lui (comme toi)
> assume pleinement ses choix de systême .
mon avis c'est qu'a part suivre les patients et voir l'évolution y a pas grand chose à faire pour le moment
>
> de toute manière es tu convaincu qu'en cas de problème (ce que je ne souhaite
> pas) tu ne serais pas abandonné par un grand systême ?
je suis convaincu que ça sera à moi de gérer les merdes,faut pas compter sur les commerciaux: ils sont juste là pour vendre, la seule différence c'est qu'il y a un peu plus de recul et donc moins de surprises, malheureusement avec les systèmes copycat c'est toi qui fait les études pour la boite en payant.
>
> le problème et tu l'évoques un peu sans le dire c'est qu'en implanto l'égo est
> tellement fort que chacun prêche pour sa chapelle, et il est rare de rencontrer
> des prat
> qui
> 1)montrent leurs échecs (sans pour autant en tirer profits)
> 2)expliquent rationellement leur choix et tt
> 3)restent sufisament humbles pour dire moi aussi ça m'arrive ou m'est arrivé.
on est bien d'accord quand tu demandes, personne n'a jamais de problème en implanto.
18/06/2010 à 09h45
mac écrivait:
-------------
> on est bien d'accord quand tu demandes, personne n'a jamais de problème en implanto.
>
pas d'accord avec toi sur ce point
j'ai posté l'année dernière l'intégralité des problèmes que j'ai eu
Encore hier je post une EII avec exo plus difficile que II
Pour quel résultat!!
TU as pensé (tu n'es pas le seul) que je n'avais que des problèmes, on m'a aussi conseillé d'arrêter l'implanto
18/06/2010 à 13h07
Christophe13 écrivait:
----------------------
> Il manque les radios du jour de la pose, j'ai l'impression que les implants ne
> sont pas assez enfouis . Pa exemple Anthogyr recommande de poser l'Axiom 0.5mm
> en sous crestal, que préconise Tekka ?
> En ce qui concerne la radio de la 21 , on dirait qu'il a été mis dans un site
> d'extraction et qu'il n'est pas assez large.
>
> Mais c'est vrai que entre l'étalonnage des forets, l'utilisation ou non de
> taraud, la puissance du torque et l'enfouissement crestal, on refait çà un peu
> au feeling, chacun à sa recette et au final on pédale un peu dans la semoule.
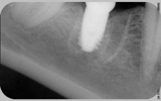
voici les radios le jour de la pose
le krestal doit être en crestal et non en infra-osseux: il s'agit d'une connectique à plat et non d'un cône morse.
j'attend la réponse de tekka à mon problème
18/06/2010 à 14h08
as-tu constaté une différence en ce qui concerne les cratérisations entre ceux posés en un temps et ceux en 2 temps ?
18/06/2010 à 14h16
Tu m'as toujours pas d'y si tu avais un sondage de poche ou si c'était juste radiologique.
Mais je penses sérieusement que le problème vient de la connectique qui n'est pas adapté à une position juxta-crestale.
Suffit de voir si quelqu'un a eu les mêmes problème avec l'in-kone et on sera fixé, vu que c'est le même implant, y a que la connectique qui change.
18/06/2010 à 17h38
Je reviens là dessus car çà me semble être la clef
il me semble que sur le 1° cas présenté,la partie biseautée de l'implant est enfouie et que la cratérisation est nulle, idem pour l'implant mésial du dernier cas.
Sur son site Tekka préconise de mettre la partie supérieur de l'implant en juxtacrestal , donc le biseau est infraosseux...
J'avais rencontré le même pb sur un cas que j'avais présenté sur ce forum sur des IDcam et l'on m'avait fait remarqué à raison que l'enfouissement de l'implant distal était insuffisant, résultat a 6 mois cratérisation mésial et distal du dernier implant et à un an stabilisation .
Tu remarqueras que le biseau mésial de l'implant mésial qui a été correctement enfoui n'a pas bronché.
18/06/2010 à 18h27
Quelle galere!!!!!! Comment fait on en cas d'extraction implantation ou de rog????? et je ne parle pas des expansions ou greffe osseuse.....
Merci pour tes reflexions c'est très instructif et constructif. Sincèrement merci, surtout u temps passé en plus.