Cookie Consent byPrivacyPolicies.comGEC et dessin de lambeau - Eugenol
flicflac

18/12/2010 à 15h40

Hé, céramik, comment as-tu procédé pour ton cas...alloderme???


Smile beach jgh0a1 - Eugenol
Céramik

18/12/2010 à 22h33

Patience...
;-)

J'ai déposé les sutures il y a 2 jours, je cherche les photo de la chirurgie, pour un p'tit montage.

J'ai quelques centaines de photo à classer, juste pour le mois de décembre...et plusieurs autres centaines inclasser depuis 2 mois, pffft...

--
Céramik


Smile beach jgh0a1 - Eugenol
Céramik

18/12/2010 à 23h11

Bon j'ai trouvé !
Je pensais que les photo était au cabinet...
Montage et hop à vous la critique !

Greffon unique
conjonctif enfoui pour la 44
Épithélio-conjontif pour la 43

Pas facile le prélèvement, à la simple lame 15
Portion conjontif avec approche par volet, pour refermer la plaie au palais, l'autre portion pleine épaisseur.

Sutures en 3 étapes
a) Gut 5-0 pour stabilisé le greffon
b) Vicryl 4-0 pour le point en "X" au périoste sur la 43
c) Poly 6-0 pour refermer le tout

La maturation de la plaie d'ici 2 mois devrait donner quelques chose de bien.
Si le frein tire trop, je sortirai le laser...



--
Céramik

Greffe 43 44  montage 1  ylawrg - Eugenol
43 44 aeqamo - Eugenol

Blason dql7mj - Eugenol
growler

18/12/2010 à 23h29

Céramik écrivait:
-----------------
> Bon j'ai trouvé !
> Je pensais que les photo était au cabinet...
> Montage et hop à vous la critique !
>
> Greffon unique
> conjonctif enfoui pour la 44
> Épithélio-conjontif pour la 43
>
> Pas facile le prélèvement, à la simple lame 15
> Portion conjontif avec approche par volet, pour refermer la plaie au palais,
> l'autre portion pleine épaisseur.
>
> Sutures en 3 étapes
> a) Gut 5-0 pour stabilisé le greffon
> b) Vicryl 4-0 pour le point en "X" au périoste sur la 43
> c) Poly 6-0 pour refermer le tout
>
> La maturation de la plaie d'ici 2 mois devrait donner quelques chose de bien.
> Si le frein tire trop, je sortirai le laser...
>
>
>
> --
> Céramik

super!


Img 0812 mvp6i0 - Eugenol
jeamba

18/12/2010 à 23h32

Je ne comprends pas bien céramick. Sur la 44 un greffon conjonctif, sur la 43 un greffon épaisseur totale (donc une greffe de gencive libre) si c'est bien ça, comment tu as recouvert ces deux greffons différents? Il manque une photo, ou alors j'ai zappé un épisode.


Img 0812 mvp6i0 - Eugenol
jeamba

18/12/2010 à 23h37

En fait tu as recouvert uniquement le conjonctif sur la 44 avec ton lambeau d'origine.


Smile beach jgh0a1 - Eugenol
Céramik

18/12/2010 à 23h52

jeamba écrivait:
----------------
> En fait tu as recouvert uniquement le conjonctif sur la 44 avec ton lambeau
> d'origine.

C'est cela...
La 43 est laissé libre (GEC) et la 44 enfoui (conjonctif)
Le greffon est d'un seul morceau.

J'ai pas pris de photo des sutures finales...oups...

--
Céramik


Img 0812 mvp6i0 - Eugenol
jeamba

18/12/2010 à 23h53

Bien sûre je ne te félicite pas. Au moins toi tu ne le mérites même pas :))


3f3boxni50k58rq7e9ce9ddqrxgk - Eugenol
dentiste57

19/12/2010 à 11h56

Céramik écrivait:
-----------------

>
> J'ai pas pris de photo des sutures finales...oups...
>
> --
> Céramik

je connais ça, on travail, on travail, et puis on oubli de faire une photo d'une étape super importante.
ça donne parfois envie de se bouffer les cou.... quand ça arrive.


Img 8465 fqhxid - Eugenol
noahaxeltiger-olivier

19/12/2010 à 13h32

Joli !!!


 mg 0207 xwjxcl - Eugenol
Tillc

19/12/2010 à 23h22

Carement canon


Smile beach jgh0a1 - Eugenol
Céramik

20/12/2010 à 00h25

Tillc écrivait:
---------------
> Carement canon

Canon 450D
;-)

--
Céramik


Blason dql7mj - Eugenol
growler

24/02/2011 à 14h25

un cas se présente: parodonte fin et en plus nécessité d'intervenir de 33 à 44. je vais sans doute devoir prélever des 2 côtés au palais?

Cas de greffe z2prwq - Eugenol

 mg 0207 xwjxcl - Eugenol
Tillc

24/02/2011 à 17h37

growler écrivait:
-----------------
> un cas se présente: parodonte fin et en plus nécessité d'intervenir de 33 à 44.
> je vais sans doute devoir prélever des 2 côtés au palais?

Pour les greffes de grands volumes effectivement tu peux avoir besoin des 2 cotés . Par contre je vois pas pourquoi tu as besoin d'intervenir ailleurs que sur 31 et 41


Blason dql7mj - Eugenol
growler

24/02/2011 à 18h27

c'est à dire que comme il n'y a que 0.5 mm de gencive attachée au niveau de 33 et 43 je me disais que j'en profiterais bien pour en rajouter un peu.
Maintenant, il est vrai que malgré cela à ce niveau on observe pas de récession.


flicflac

25/02/2011 à 04h34

la 31, je ne crois pas que tu vas pouvoir recouvrir plus de 50% de la récession CIII de Miller perte de papilles.
Penses-tu faire conjonctif ou épithélio-conjonctif?
Est-ce que le patient à de la sensibilité au froid?
Je vois 0 gencive attaché de 33 à 43... de plus pas de résession sur 33-43
salut cousins


Smile beach jgh0a1 - Eugenol
Céramik

25/02/2011 à 05h42

growler écrivait:
-----------------
> un cas se présente: parodonte fin et en plus nécessité d'intervenir de 33 à 44.
> je vais sans doute devoir prélever des 2 côtés au palais?



Growler, tu peux nous placer une belle photo des régions
33-34 et 43-44, vue un peu plus de côté ?

Tu as vérifié l'occlusion ?



--
Céramik


Blason dql7mj - Eugenol
growler

25/02/2011 à 08h14

je pense faire épithélio-conjonctif après surfaçage et polissage méticuleux des surfaces radiculaires exposées.

je n'ai pas constaté d'interférence occlusale particulière.
Le palais a des parois verticales assez marquées, je vais pouvoir prélever un bon greffon.


Logo vuaztn - Eugenol
mac

25/02/2011 à 08h57

growler écrivait:
-----------------
> je pense faire épithélio-conjonctif après surfaçage et polissage méticuleux des
> surfaces radiculaires exposées.


et pourquoi un LPC+ CE juste au niveau de 41 et 42?


Smile beach jgh0a1 - Eugenol
Céramik

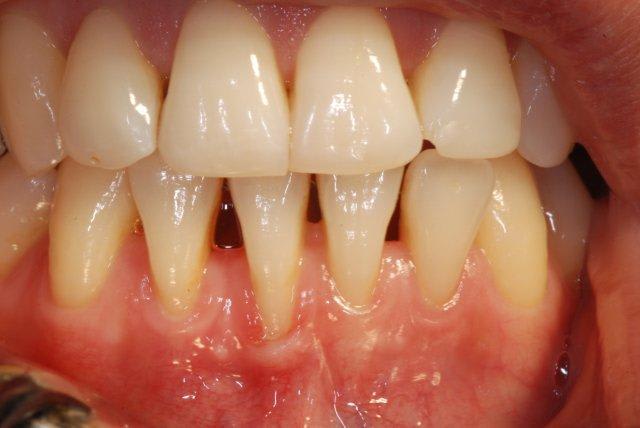
17/06/2011 à 03h33

Contrôle à 6 mois

Je retourne sur la 43 ou je laisse ?


--
Céramik

Post op greffe uvlb1e - Eugenol

Blason dql7mj - Eugenol
growler

17/06/2011 à 10h15

je dirais oui si le patient désire améliorer l'esthétique dans cette zone.


Smile beach jgh0a1 - Eugenol
Céramik

17/06/2011 à 14h30

growler écrivait:
-----------------
> je dirais oui si le patient désire améliorer l'esthétique dans cette zone.


Pour l'esthétique, j'ai proposé un blanchiment !
;-)

Le patient est super content de la greffe.
On a depuis fait un autre secteur(moins extrême, de 23 à 25)


--
Céramik


Gbazylo1 fvg1vg - Eugenol
Aron

17/06/2011 à 16h35

Céramik écrivait:
-----------------

> Je retourne sur la 43 ou je laisse ?

D'après toi quelle est la cause de ce relatif échec(et en plus ça devrait t'aider à répondre à la question, non)?

Merci.


Smile beach jgh0a1 - Eugenol
Céramik

18/06/2011 à 01h41

Aron écrivait:
--------------
> Céramik écrivait:
> -----------------
>
> > Je retourne sur la 43 ou je laisse ?
>
> D'après toi quelle est la cause de ce relatif échec(et en plus ça devrait
> t'aider à répondre à la question, non)?
>
> Merci.


Échec ?

Je trouve cela très bien, vue la situation de départ...
Sérieusement, je vois pas faire mieux.

Même en travaillant plus la forme de la canine, il n'y a plus d'os en vestibulaire de cette racine, et obtenir mieux, sérieusement, je pense pas, et je retouche pas pour avoir 1 mm de mieux, ou au pire perdre 2 mm...

Olivier, tu en penses quoi ?









--
Céramik


Scan10030 ukikhq - Eugenol
vava

24/06/2011 à 01h16

Céramik écrivait:
-----------------
>
> Olivier, tu en penses en pense quoi ?



ho ta dus faire un truc te travers!!