Cookie Consent byPrivacyPolicies.comGEC et dessin de lambeau - Eugenol
 mg 0207 xwjxcl - Eugenol
Tillc

27/01/2014 à 14h59

Toujours interessant de voir un cas sur le long terme.
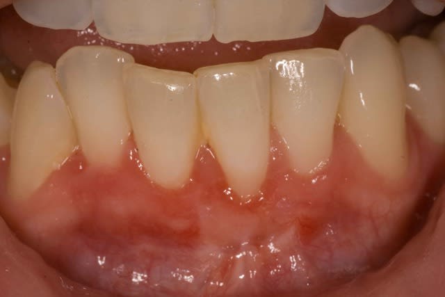
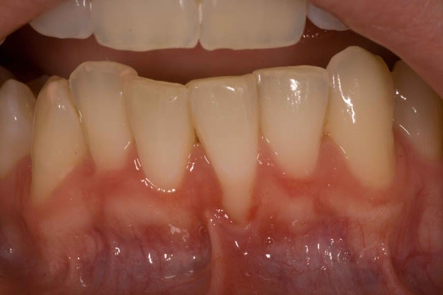
Previously in GEC :
C'etais mon premier cas de greffe epithélio conjonctive il y a 4 ans maintenant. Je revois la patiente et hohoho! un creeping attachment alors qu’initialement je n'avais pas de recouvrement complet.
Parfois la nature est une chienne mais pas la !

 mg 0069 vpihun - Eugenol
 mg 0128 nqhnm9 - Eugenol
Img 2256 b3nga4 - Eugenol