Cookie Consent byPrivacyPolicies.comGEC et dessin de lambeau - Eugenol
Blason dql7mj - Eugenol
growler

15/11/2010 à 10h56

cet après-midi je vais tenter d'intervenir sur ce cas.

je vais tacher de suivre le protocole à la lettre, en premier lieu bien sûr déplaquage et polissage de la surface radiculaire.

2010 09 30 001 oeu9mz - Eugenol

Smile beach jgh0a1 - Eugenol
Céramik

15/11/2010 à 15h04

growler écrivait:
-----------------
> déplaquage et polissage de la surface radiculaire.

et des autres dents autour !

;-))))

Montre nous la suite

--
Céramik


Blason dql7mj - Eugenol
growler

15/11/2010 à 17h07

ça y est, 1h30 à me battre avec le fil hyper fin

j'ai prélevé un greffon épithélio-conjonctif puis un greffon conjonctif à côté pour qu'il y ait vraiment une bonne épaisseur de conjonctif sur la récession. Le conjonctif a été amarré sous le greffon épithélio-conjonctif par des points en U de traction.
Contrôle dans 10 jours.
je trouve que j'ai un peu merdé ma suture de plaquage qui ne passe pas exactement où je l'aurais voulu.

Greffe bcun9k - Eugenol

Img 8465 fqhxid - Eugenol
noahaxeltiger-olivier

15/11/2010 à 17h34

Salut growler,

Si je comprends bien tu as 2 épaisseurs de greffon sur ta surface radiculaire :
- greffon 1 : greffon épithlioconjonctif
- greffon 2 : greffon conjonctif (placé entre la surface radiculaire et greffon 1).

Compte tenu de la surface du lit receveur préparé, j'ai malheureusement peur que ton greffon 1 ne survive pas. C'est un problème d'apport vasculaire : ton greffon 1 n'est pas en contact avec un lit nourricier mais est juste posé sur le greffon 2 qui est incapable d'apporter une vascularisation à ton greffon 1. Cela aurait été préférable de prendre un greffon 1 plus épais.

Quant à la survie du greffon 2 sous jacent, elle est aussi compromise puisque ce greffon n'as pas été suturé au lit receveur sous jacent mais au greffon 1 qui devrait nécroser pour les raisons pré-citées.

On croise les doigts. Je peux aussi me tromper.

Olivier


Blason dql7mj - Eugenol
growler

15/11/2010 à 19h47

j'aurais dû préparer un lit receveur encore plus trapézoïdal?

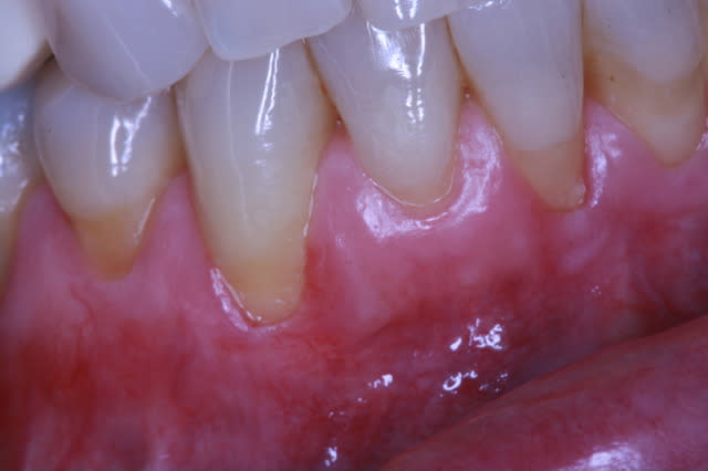
J'ai eu un souci du fait que le palais de la patiente était relativement court et je me suis entêté à ne vouloir prélever que d'un côté. Le trait d'incision palatin commence au niveau de la partie mésiale de la 13 pour se terminer au tiers mésial de la 6 avec en tout seulement 25 mm de longueur d'incision. Ayant toujours une certaine crainte de léser l'artère palatine j'ai choisi de faire le prélèvement épithélio-conjonctif sur la partie distale du palais et le prélèvement conjonctif profond en mésial. J'ai eu la mauvaise surprise de ne trouver qu'une épaisseur réduite de conjonctif.

Bref, je pars de ce pas brûler un cierge à l'église et réviser mes cours de muco-gingivale.

je vous tiens au courant sur l'étendu de l'échec dans une dizaine de jour:((


nolive

15/11/2010 à 22h07

Pour le cierge à Sainte Apolline, je te propose ça: http://www.gratefulness.org/candles/enter.cfm?l=fra

:-))))))))))))))))

On croise les doigts pour toi.


justdentist

20/11/2010 à 23h48

Growler peux tu nous expliquer la suture avec le fil "noir" de ton cas
Je connaissais la suture périostée de Oschenbein mais ca ressemble pas à celle là ...
Sinon je partage le fait qu'il risque d'y avoir un probleme de vascularisation en superposant deux greffes , celà dit si le greffon conjonctif "prend" ca donnera de l'epithélium par la suite


Blason dql7mj - Eugenol
growler

21/11/2010 à 00h55

en fait je n'ai pas croisé les fils sur la face antérieure du greffon comme on peut le voir sur les photos de noahaxeltiger.

Il y a bien de choses perfectibles dans mon intervention.


 mg 0207 xwjxcl - Eugenol
Tillc

23/11/2010 à 22h30

justdentist écrivait:
---------------------
> Growler peux tu nous expliquer la suture avec le fil "noir" de ton cas
> Je connaissais la suture périostée de Oschenbein mais ca ressemble pas à celle
> là ...
> Sinon je partage le fait qu'il risque d'y avoir un probleme de vascularisation
> en superposant deux greffes , celà dit si le greffon conjonctif "prend" ca
> donnera de l'epithélium par la suite

Bien non , si le greffon épithéliales se nécrose il n y aura pas de de ga. Le principe de la gec c est apporter du tissu kératinisé .si toute les cellules epith meurt comment veux tu qu il y ai un epithelium ?


Blason dql7mj - Eugenol
growler

29/11/2010 à 20h30

retrait des sutures à 12 jours

12 jours post op yq86sa - Eugenol
2010 09 30 001 naradp - Eugenol

Utilisateur banni

29/11/2010 à 22h01

Je ne comprends pas le principe. S’il y a une perte gingivale sur une racine donc perte de l’attache épithéliale même en réussissant à revasculariser une greffe, une poche sera formée. Quelle est la pérennité de ce type d’intervention ?


Fouilla h6plsy - Eugenol
fouilla

29/11/2010 à 22h54


posit réfléchis la gencive attachée ça devrait te parler non ?


--
.


Utilisateur banni

29/11/2010 à 23h40

fouilla écrivait:
-----------------
>
> posit réfléchis la gencive attachée ça devrait te parler non ?
>
>
Si tu peux m'expliquer comment la gencive va adhérer à la racine, je t'en remercie.


 mg 0207 xwjxcl - Eugenol
Tillc

29/11/2010 à 23h53

growler écrivait:
-----------------
> retrait des sutures à 12 jours

Bien ça m a l air foire non ?


Blason dql7mj - Eugenol
growler

30/11/2010 à 00h11

pas autant que je le craignais. on va attendre encore la maturation des tissus mais dorénavant on devrait avoir de la gencive attachée en apical et proximal et surtout en bonne épaisseur. si tel est le cas finalement alors je pourrai sans doute latéraliser les 2 berges pour les joindre ou tracter coronairement le lambeau.

affaire à suivre.


Casque beotien a3jo39 - Eugenol
beotien

30/11/2010 à 00h19

Tillc écrivait:
---------------
> growler écrivait:
> -----------------
> > retrait des sutures à 12 jours
>
> Bien ça m a l air foire non ?


pas d'accord
le frein est enlevé, c'est une partie importante du probleme de reglé


Smile beach jgh0a1 - Eugenol
Céramik

30/11/2010 à 00h30

J'attaque ce cas cette semaine...
objectif 43 et 44.
Des suggestions ?



--
Céramik

Img 5605  desktop resolution  a0ooq3 - Eugenol

Squash u44zd8 - Eugenol
steph

30/11/2010 à 01h00

Réduire le bombé vestibulaire à la fraise, surtout sur 43.


Smile beach jgh0a1 - Eugenol
Céramik

30/11/2010 à 01h52

steph écrivait:
---------------
> Réduire le bombé vestibulaire à la fraise, surtout sur 43.

mais c'est pas gentil pour la dent de l'aggresser comme cela ...

;-)

merci pour le tuyau, j'y penserai

--
Céramik


flicflac

30/11/2010 à 05h47

personnellement je ferais un conjonctif enfouie,
épithélio conjonctif semble être plus prévisible selon les eugénoliens, pas de fraisage mais seulement surfacage au niveau radiculaire.... le vestibule me semble peu profond, si c'est le cas épithél-conjonctif. A traité comme une classe 3 de mille dent buccalée ++ niveau de la 43
salut cousins


flicflac

30/11/2010 à 05h52

cas un peu plus détérioré... épithélio-conjonctif aurais été préférable?

Pr  op 001 ncozkn - Eugenol
Pre op greffe 002 vmfrhj - Eugenol

Fouilla h6plsy - Eugenol
fouilla

30/11/2010 à 09h51

growler écrivait:
-----------------
> pas autant que je le craignais. on va attendre encore la maturation des tissus
> mais dorénavant on devrait avoir de la gencive attachée en apical et proximal et
> surtout en bonne épaisseur. si tel est le cas finalement alors je pourrai sans
> doute latéraliser les 2 berges pour les joindre ou tracter coronairement le
> lambeau.
>
> affaire à suivre.

posit tu as ton explication dessins nécessaires ?
--
.


Utilisateur banni

01/12/2010 à 08h56

fouilla écrivait:
-----------------
>
> posit tu as ton explication dessins nécessaires ?


Pourquoi pas, peu être en te disant ce je comprends tu pourras m’expliquer les informations qui me manque et celles erronées. En simplifiant la jonction gingivo-dentaire se fait par l’attache épithéliale par un phénomène de régénération rapide des cellules épithéliales, sa distance par rapport à la crête alvéolaire reste apparemment constante environ 2 mm.
- Sur une dent l’apparition d’une hauteur coronaire supérieure en rapport aux dents adjacentes nous indique t elle une perte de hauteur de l’os alvéolaire de cette dent ?
- L’hauteur de l’attache épithéliale suit elle le niveau de l’os alvéolaire ?
- L’attache épithéliale induit elle le niveau de l’os alvéolaire ?
- Si l’hauteur de l’attache épithéliale et le niveau de l’os alvéolaire ont un lien, comment une greffe d’apposition gingivale va modifier ce rapport ?


 mg 0207 xwjxcl - Eugenol
Tillc

17/12/2010 à 15h05

Au final les choses etaient relativement prévisible :
GA en place avec insertion du frein beaucoup plus basse .
Recouvrement partiel de la racine a cause d'un positionement trop bas du greffon .
Objectifs biologiques réalisés mais le resultat final manque encore " d'élégance".

 mg 0069 itg0ce - Eugenol
 mg 0128 vd0sdg - Eugenol

l adan

17/12/2010 à 18h13

Je te trouve dur .le résultat est tout a fait honorable !J'aimerai avoir cela sur toutes mes greffes