Cookie Consent byPrivacyPolicies.comBinhas ou Brassard ou ......autres??? - Eugenol

Binhas ou Brassard ou ......autres???

caiman

30/06/2011 à 16h45

Marc Apap écrivait:
------------------
> Le problème n'est pas le livret mais la manière dont il est fait et ce qu'il
> contient.

Ceux qui me l'ont montré ce "book" ca sentait pas bon.

Etat avant, etat hypothétique si tu fais rien et état définitf aprés si tu as opté pour le traitement.Et des chiffres........vertigineux.


Björn

30/06/2011 à 17h17

Moi je préfère un praticien qui fait un "book" et qui va faire les quinze dents à faire en deux mois qu'un petit commerçant qui les fera en dix ans parce qu'il n'osera pas le proposer.
C'est sûr que l'investissement est plus concentré, mais au moins on ne ment pas au patient en lui faisant croire que tout va bien se passer si on ne fait rien.

Mais il est vrai que beaucoup de patients trouvent beaucoup plus acceptable d'avoir mal et d'être forcés de consulter un an après un "contrôle" où "tout va bien", que la remise d'une proposition de traitement pour éviter cette prise en charge de merde, que certains appellent avoir des "patients fidèles" (= un patient avec des bombes à retardement partout dans la bouche, et un traitement exclusif de ces explosions, car plus facile à vendre).
C'est bien pour cela que tout le monde arrive à remplir son agenda, avec des rentabilités diverses selon leur niveau d'intelligence, à qualité de soins égale.

Si la production d'un book est la seule façon que certains ont trouvé pour proposer une prise en charge digne de ce nom, je ne vois pas en quoi ceux qui ont des "patients fidèles" devraient en être froissés, puisque ces derniers ne la propose pas, cette prise en charge.

Un boulanger a des clients fidèles, un coiffeur a des clients fidèles,
Un médecin généraliste a des patients fidèles.
Un gynécologue a des patientes fidèles.

Un maçon a des chantiers qu'il doit mener de bout en bout, pas s'arrêter à la moitié pour faire plaisir à son client, il n'a pas de client "fidèle".
Un chirurgien orthopédique, vasculaire ou digestif a des opérations à mener, il n'a pas de "patients fidèles".
Il me semble que nous appartenons plutôt à cette catégorie, à moins de ne pas faire notre travail: prendre en charge les patients complètement pour leur éviter, dans la mesure du possible, d'avoir mal ou d'être gêné par quoi que ce soit dans leurs bouches à court et moyen terme.

Un "patient fidèle" (hors le peu que nous avons qui font leurs "contrôles" régulièrement) est un patient mal pris en charge.
Que cette mauvaise prise en charge soit due à un manque de sens commercial (d'où les books nécessaires pour certains), ou à une incompétence technique, le résultat est que le patient doit reconsulter à court terme pour une souffrance qui aurait pu être évitée par une bonne prise en charge et donc le "devis très cher" qui va avec...

Ensuite les mauvais commerciaux et/ou incompétents peuvent penser que les patients "fidèles" le sont parce qu'ils reconnaissent la haute compétence de leur praticien (puisqu'ils reviennent!), mais ces patients "fidèles" ne sont que des échecs.
J'ai beaucoup d'échecs, plutôt commerciaux, mais je ne blâme pas ceux qui cherchent des solutions pour être meilleurs que moi en les traitant d'escrocs. Et vous?


Marque a3 orange fyvhyq - Eugenol
Marc Apap

30/06/2011 à 20h19

Ce que tu as écrit est trop long, et comme les books trop détaillés, on n'a pas envie ni le courage de lire.
Alors, au lieu de prendre la terre entière pour des cons et vouloir tout catégoriser, je te réponds une chose : pour moi, ce n'est pas une question de ne pas oser, mais de déterminer ce qui est nécessaire et suffisant. Bien sûr qu'on peut tout repeindre en blanc du sol au plafond et mettre en plus une frise en or sur le fronton. Reste que ce n'est pas forcément nécessaire, et encore moins indispensable. Quand je vois les gens dans la rue, je rêve d'en envoyer 99% en salle de sport, leur faire suivre un régime diététique, leur imposer la liposuccion, le redressement de seins, le changement de vêtements, le coiffeur, etc, etc... Mais je ne crois pas que vouloir formater toute cette population à l'image que je pense être l'idéal convienne réellement à la plupart des gens et soit de nature à leur procurer un mieux être systématique.


Img 3657 cwjvqm - Eugenol
alapex

30/06/2011 à 20h21

+1


carototo

30/06/2011 à 21h31

salut a tous, j'y vais de ma petite contribution.
pour le rotatif, a nous deux, on a 11 paires (ca rouge + bleu), 4pm Sonique +3PM US.
ca part en sté a chaque fois.
en sté on a :
assistinat/autolaveur/autoclave

en ce qui concerne le débat "coaching "et ce qui en découle , on a pas fait du tout IDO ou autres.

petite présentation du dr carototo:

34 ans, exercice avec madame, + 2 assistantes, en zone rurale, création il y a 3 ans
profil: français moyen
interet pour la dentisterie : normal, pas une passion, mais pas de pb pour aller bosser.

chiffres:
2008 :200k
2009 : 300k
2010 : 300k, arrivée de madame, 120k
2011 , entre 340 et 360 k pour moi, 180/200k pour madame
12 semaines de vacances par an

pour l'org , voilà commment on fait, en vrac:
premier rdv, 1h , quelque soit le motif, bilan radio, photo avec la caméra, pano, etc.
reponse a la demande du patient, + vison radio, photos ensemble.
selon le cas, devis immédiat complet, ou dans une séance ultérieure, et prise de rdv spécifique pour voir avec moi la reponse mut + organisation du plan de tt.
par la suite, rdv longs a très longs, regroupement des actes si possible.

je ne fait plus de ventilation des tarifs en fonction de la rep mut.

pas de CC , quasi que de la ceram, avec monocouche en post, classique pour le bloc PM, joint ceram ou all ceram en antérieur. on fait aussi de la paro "classique" , pas mal d'onlays, et des facettes, un peu d'implants.

la paro est gérée uniquemant par mon épouse, je lui fait parfois ses endos.

plusieurs choses très appréciée par le patient:

hygiène au top, et "visible"
envoi des patients chez le prothèsiste pour la prise de teinte (quasi systematique pour le bloc ant)
prise de photos , la caméra est sans doute le meilleur achat que j'ai fait.
endo sous microscope.
discussion avec moi, et pas avec l'assistante.

dans mon bled bien rural, je suis très surpris d'avoir une très bonne acceptation des plan de tt, y compris chez des patients de type "jacquouille la fripouille" , mes tarifs sont "raisonnables ( 610 euros inc+cer mon+prov , 680 avec cer multicouches, 780 pour joint ceram ou all ceram)


voilà
a+


Björn

30/06/2011 à 22h33

Marc Apap écrivait:
-------------------
>pour moi, ce n'est pas une question de ne
> pas oser, mais de déterminer ce qui est nécessaire et suffisant. Bien sûr qu'on
> peut tout repeindre en blanc du sol au plafond et mettre en plus une frise en or
> sur le fronton. Reste que ce n'est pas forcément nécessaire, et encore moins
> indispensable.


Il faudrait que tu viennes bosser dans une zone où les patients ne sont pas pris en charge du tout, parce qu'il y a globalement beaucoup de travail, et qu'on peut choisir le plus "facile" à faire et à vendre dans les milliers de bouches qui se présentent, un coup à gauche, un coup à droite, avec des urgences internes (c'est à dire des choses qu'on a pas traitées au moment opportun) qu'on refuse, parce qu'on est "débordés".
Demande à dudule, il va pouvoir t'en parler aussi...

Dans certaines zones (je ne sais pas si la tienne en fait partie), les patients n'ont rien à faire car tout a déjà été fait par les précédents praticiens, qui y ont été obligés par manque de travail, on n'a que des détartrages à faire, des radios et quelques obturations...

Ce que j'ai écrit plus haut ne signifie absolument pas que, pour assurer une bonne prise en charge de nos patients, il faille démonter tous les amg et faire des inlays céramique partout.
Juste traiter les caries, les LIPOE et les édentements et informer le patient de tout ce qui ne va pas, pas lui traiter les quinze dents qui peuvent être traitées aujourd'hui en vingt ans, avec tous les désagréments induits par l'absence de traitement.
La base quoi.

Nous ne travaillons pas tous dans des zones similaires en terme de demande, il faut en tenir compte quand on lit les propos d'autres praticiens.


Img 3657 cwjvqm - Eugenol
alapex

30/06/2011 à 22h39

Bjorn , je n'avais compris la dernière phrase de ton post précédent .
Sur ton dernier "pas lui traiter les quinze dents qui peuvent être traitées aujourd'hui en vingt ans, " , je ne comprends rien de rien à ce que tu essayes de dire .
Si tu peux m'éclairer , merci .


Björn

30/06/2011 à 22h55

alapex écrivait:
----------------
> Bjorn , je n'avais compris la dernière phrase de ton post précédent .
> Sur ton dernier "pas lui traiter les quinze dents qui peuvent être traitées
> aujourd'hui en vingt ans, " , je ne comprends rien de rien à ce que tu essayes
> de dire .
> Si tu peux m'éclairer , merci .


Alors,

Quinze dents malades qui font pas mamal, une qui fait mamal le patient vient parce qu'il a mamal (avec son ancien dentiste coiffeur, c'était comme ça, on lui soignait sa dent et après plus mamal, gratos, et pas besoin de revenir (juste dans six mois quand celle d'à côté fera mamal...).

1.Tu fais celle qui fait mamal, les quinze autres t'attendras qu'elle fassent mamal, tu mettras vingt ans pour tout faire, à raison de deux rdv par an. Et dans vingt ans, tu repars sur le même cycle...
T'es gentil ,tu fais pas de book, t'es pas un escroc.

2.Tu lui dis que quinze dents sont malades, tu claques un devis.
T'es méchant, tu cherches des solutions pour vendre le traitement qui sera bénéfique pour ton patient (il aura moins mamal et sera moins emmerdé dans les vingt ans qui viennent qu'avec la solution 1), tu fais un book (ou autre technique de vente), t'es un escroc.

J'ai répondu aux deux trucs, tu peux arrêter de faire semblant de ne pas avoir compris pour signaler la pourritude de mes tournures de phrase. ;-)


Marque a3 orange fyvhyq - Eugenol
Marc Apap

30/06/2011 à 23h13

Bjorn, je comprends ce que tu dis. Les gens que j'ai vus avec leur book avaient été soignés, et quelques unes de leurs dents présentaient des imperfections. Mais en aucun cas, il n'était justifié de réaliser systématiquement un inlay core et une CCM sur chaque dent dépulpée obturée avec un amalgame de taille moyenne ou un composite. Difficile d'expliquer des subtilités qui ne se voient que lorsqu'on a le patient devant soi.
Donc, OK pour expliquer au patient et lui proposer les soins indispensables s'il a une bouche dévastée, mais pas d'accord pour lui fourguer 15 couronnes ou onlays en céramique avec plein de HN non justifié quand son état n'est pas si catastrophique (genre traitement "paro" quand il a une petite gingivite avec une lichette de tartre). Ca, c'est ce que je vois dans ma région !


Björn

30/06/2011 à 23h20

Marc Apap écrivait:
-------------------
.
mais pas d'accord pour lui fourguer 15 couronnes ou
> onlays en céramique avec plein de HN non justifié quand son état n'est pas si
> catastrophique

Personne n'a écrit qu'il fallait le faire, il me semble. ;-)


Marque a3 orange fyvhyq - Eugenol
Marc Apap

30/06/2011 à 23h32

Peut-être, mais encore une fois, c'est ce que je vois, d'où mes remarques vis à vis de cette attitude peu "médicale" qui discrédite ceux qui l'adoptent.


Img 3657 cwjvqm - Eugenol
alapex

01/07/2011 à 01h08

Björn écrivait:
---------------
Tu lui dis que quinze dents sont malades, tu claques un devis.
T'es méchant, tu cherches des solutions pour vendre le traitement qui sera
bénéfique pour ton patient (il aura moins mamal et sera moins emmerdé dans les vingt ans qui viennent qu'avec la solution 1),

............

Bon , tout s'éclaire nous faisons la même chose , le même métier . Les patients qui ne font que LA dent causale , les encombreurs récidivistes chronophages inutilement , font généralement la tournante car personne n'en veut . Je ne sais pas pourquoi tu penserais que la profession procède autrement , et en particulier les nonoliens.

............


J'ai répondu aux deux trucs, tu peux arrêter de faire semblant de ne pas avoir compris pour signaler la pourritude de mes tournures de phrase. ;-)

............


Bin honnêtement je ne comprenais pas . Je les aime bien tes tournures de phrases en plus . (sérieux)

Outre que j'ai un vocabulaire d'environ 20 mots ... C'est souvent le cas sur nonol les explications sont souvent peu claires et il faudrait comprendre du 1er coup , et à d'autres moments la finesse d'esprit pour la blague la plus simple n'est pas assimilée par certains ...donc des fois si on pouvait se mettre au diapason . (...))))

Sérieusement , on arrive à se planter avec le ton doctoral jamesbondesque acerbe que tu prends souvent . Ça fausse les cartes , et on met 5 pages avant de comprendre qu'on est d'accord . Au début je pensais vraiment que tu es un extra-terrestre , avec des patients spéciaux , tout ça .

A*.


Ico v for vendetta08 jzhpep - Eugenol
Arnaud Go

01/07/2011 à 08h41

Merci Toto pour l'explication sur ta manière de fonctionner.

Je comprends que des patients auxquels on a envoyé le devis à la gueule se tirent. Il faut qu'ils aient conscience de leurs problèmes et que le praticien les leur ait donc montrés : radios, photos.

Pour la partie explication je suis plus dubitatif : les patients ne pigent rien à ce qu'on leur raconte si ce n'est ce qu'ils connaissent déjà (pivot, couronne, bridge, implant, dévitalisation, saignement, infection).

Ma femme qui m'aide pour le démarrage du cab' et qui est plus libre de me donner un avis extérieur qu'un ami, un confrère ou une assistante me le dit et je la crois (ah! croire les femmes) : mes explications ne sont pas assez terre-à-terre et trop professorales, or je pense pourtant donner une information vulgarisée.
Le patient comme tout individu n'aime pas ne pas comprendre, inconsciemment exprimer qu'il est trop con pour comprendre et aime encore moins qu'on fasse quelque chose sur son intégrité corporelle sans bien tout saisir, et cerise sur le gâteau qu'il doit payer en plus de sa merde de mutuelle qui lui coûte déjà du pognon.
Le risque est de passer pour un entourloupeur qui veut vendre sa came en employant des termes techniques destinés à noyer le poisson.

Et je vais être péremptoire en affirmant qu'une personne extérieure au dentaire fera mieux la pilule de ce qu'il y a à faire que le gentil docteur.

Je crois que c'est l'une des raisons, outre la délégation du temps non productif, qui pousse Steichen qui n'est pas mon nouveau Raël, à vouloir déléguer la présentation du devis à une assistante non dentaire voire même commerciale, sous-entendu qu'elle va utiliser les mots qui vont faire tilt en utilisant des techniques du très honni marketing.
Est-ce si honteux de vouloir augmenter le taux de réussite de plans de réhabilitation ?

Ce plan, on l'a établi, il est donc indiqué. Et s'il y a des adeptes du sur-traitement, le problème est-il le système mis en place ou les praticiens ?
Maintenant s'adapter, on le fait tous, on n'est pas tous des sans-cœur mais si une modification de mon système de fonctionnement me permet d'obtenir une rémunération à la hauteur de mes compétences, de faire de l'honorable dentisterie en virant les clients de fast-foodentisterie et en apportant un plus à la santé de mes patients, ce serait bête de ne pas le faire.

Je continue de réfléchir aux moyens à mettre en place. Si certains veulent contribuer, qu'ils ne se gênent pas.


Marque a3 orange fyvhyq - Eugenol
Marc Apap

01/07/2011 à 10h24

Arnaud, tout ce que tu dis est vrai. Seulement, les choses ne sont pas si simples. Une personne non dentiste peut sans doute mieux expliquer avec des termes simples ce qu'il faut faire à un patient. Mais il faut d'une part la former pour qu'elle ne dise pas de conneries (y a qu'à voir certains vendeurs bonimenteurs dans d'autres domaines), et d'autre part la payer. Si c'est ton assistante, ça peut faire partie de son job, mais pas toujours et en tous cas, elle ne sera plus disponible pendant ce temps là pour t'aider au fauteuil. C'est un modèle économique qui peut exister, mais pas optimal puisqu'on peut difficilement être performant à la fois sur les plans technique et relationnel (pour ne pas dire commercial).
Si maintenant, comme le préconisent certains, tu prends en plus une assistante conseil ("commerciale"), il faudra la payer aussi, et il y a des risques de dérives ou de dérapages comme le fait de pousser les patients à la consommation (ce n'est pas un fantasme, c'est une réalité souvent observée). En gros, on a du personnel pour être plus performant, mais quand la clientèle est moins abondante, on essaye d'être plus performant pour payer son personnel, ce qui n'est pas tout à fait pareil.


003 penrd2 - Eugenol
Cingulum

01/07/2011 à 11h27

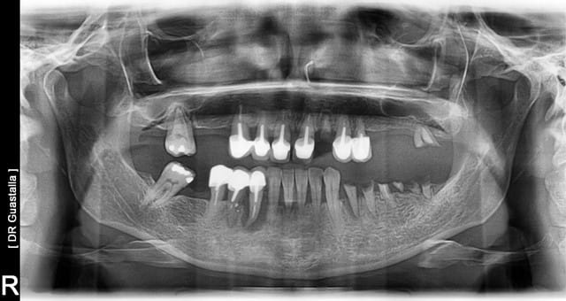
Essayons un Exercice pratique:
Patiente 35 ans, se présente en consultation, elle raconte qu'elle n'ose plus sourire, elle a fait faire des couronnes devant en haut, mais il y a 2 mm de racine visible, et seules 23 et 16 ne sont pas mobile au maxillaire....


Comment gérez vous la consultation et la suite.
Je vous mettrais ma chronologie détaillée par la suite.....




--
Dr Cingulum
-----Ancien interné----
----Attaché à l'apex----
www.clinic-all.fr formation par passion

Tp ffz0dg - Eugenol

king_zoulou

01/07/2011 à 11h28

Marc Apap écrivait:
-------------------
> On ne peut pas vendre quelque chose à quelqu'un qui n'en a pas envie ou à tout
> le moins n'en ressent pas le besoin.
> Si l'on se place dans ce registre (celui du commerce, sans jeu de mots), je suis
> persuadé que même les enseignants en technique de vente apprennent cela à leurs
> élèves.

Alors là, tu te goures totalement: je peux vendre n'importe quoi à n'importe qui.
J'ai appris ça avec mon grand-père (qui était commerçant) étant gosse. Dans sa région, tous les vendeurs (peu importe ce qu'ils vendaient) avaient fait la même formation: une formation organisée par une marque de lessive (je me rappelle plus laquelle). Le premier cours: "si vous savez vendre de la lessive, vous savez tout vendre !".
Je tiens à préciser qu'étant assez porté sur la déontologie, je n'applique pas du tout les techniques sus-cités au cabinet ^^. Ca m'arrive de faire des devis globaux (genre le bruxomane diabétique qui fume comme un pompier, je considère que c'est lui rendre service de faire plus que le petit détartrage qu'il réclame), mais si le patient s'en fout de sa santé, je m'en fous aussi !


Img 3657 cwjvqm - Eugenol
alapex

01/07/2011 à 11h38

Cingulum écrivait:
------------------
> Essayons un Exercice pratique:
> Patiente 35 ans, se présente en consultation, elle raconte qu'elle n'ose plus
> sourire, elle a fait faire des couronnes devant en haut, mais il y a 2 mm de
> racine visible, et seules 23 et 16 ne sont pas mobile au maxillaire....
>
>
> Comment gérez vous la consultation et la suite.
> Je vous mettrais ma chronologie détaillée par la suite.....
>
>
>
>
> --
> Dr Cingulum
> -----Ancien interné----
> ----Attaché à l'apex----
> www.clinic-all.fr formation par passion

Extraction totale haut et bas . Complets ht & bs , Implanto totales ht& bs et mci .(propositions et devis , explications , etc...)


Img 3657 cwjvqm - Eugenol
alapex

01/07/2011 à 11h42

A Caroto : "34 ans, exercice avec madame, + 2 assistantes, en zone rurale, création il y a 3 ans ".

Merci pour ton exposé complet , juste une question . Tu es installé là où tu es en ce moment depuis 3 ans, que faisais tu avant ? Mutuelle ? Autre cabinet ?
Merci .


carototo

01/07/2011 à 11h49

j'ai ouvert mon cabinet il y a trois ans, après avoir quitté une collaboration où mon confrère s était fait sucer le cerveau par IDO.


carototo

01/07/2011 à 11h52

concernant la présentation du plan de tt par l'assistante, pour avoir vu ca chez le collègue précedemment cité, je suis moi même convaincu qu'il est préferable de le présenter toi même, je t'assure que les patients préfèrent.


Img 3657 cwjvqm - Eugenol
alapex

01/07/2011 à 11h58

carototo écrivait:
------------------
> j'ai ouvert mon cabinet il y a trois ans, après avoir quitté une collaboration
> où mon confrère s était fait sucer le cerveau par IDO.

Donc tu t'es installé dans un lieu éloigné du 1er ?
Je te demande cela car la question que je me pose est de savoir si l'application d'une politique (ligne conduite) peut-être considérée comme universelle ou si elle est tempérée par le caractère particulier d'une région , celui de ses habitants , celui de chaque individu .


carototo

01/07/2011 à 12h26

pas installé très loin, mais plus rural.
je reste convaincu qu'il faille présenter ses plans de tt soi même, mais pour celà il faut savoir bien s'adapter a la personne que tu as en face. pour celà, les photos avec la caméra aident énormément.
pour ma part, je suis très à l'aise avec mes patients car j'ai grandi dans un environnement de petite ville de province sembleble a celle où j'exerce.
il faut faire preuve d'empathie, mais pas trpo non plus, je constate souvent que des gens avec des indices CAO élevés sont capables de te suivre dan sun PTT long et couteux (genre 5 chiffres), et dans ma campagne, je fais des PTT de ce type avec tout type de CSP.

dire qu'il ne faut faire aucun compomis est une illusion, mais il est certains compromis qu'il ne faut pas faire (un gros pâté d'amg ou compo a la place d'un onlay par ex)

pour ma part, j'essaie de tout dire au patient, puis si besoin, on classe les dents par ordre de risque, ou on fait tout.
en procédant de la sorte, toutes les données sont dans les mains de ton patient., mais je vois mal l'assistante décidre avec lui de quelle dent est a soigner en priorité.

voilà


Img 3657 cwjvqm - Eugenol
alapex

01/07/2011 à 13h03

Je te remercie pour ta réponse et suis en accord avec ta façon de procéder .


Marque a3 orange fyvhyq - Eugenol
Marc Apap

01/07/2011 à 13h29

king_zoulou écrivait:
---------------------
> Marc Apap écrivait:
> -------------------
> > On ne peut pas vendre quelque chose à quelqu'un qui n'en a pas envie ou à tout
> > le moins n'en ressent pas le besoin.
> > Si l'on se place dans ce registre (celui du commerce, sans jeu de mots), je
> suis
> > persuadé que même les enseignants en technique de vente apprennent cela à
> leurs
> > élèves.
>
> Alors là, tu te goures totalement: je peux vendre n'importe quoi à n'importe
> qui.
> J'ai appris ça avec mon grand-père (qui était commerçant) étant gosse. Dans sa
> région, tous les vendeurs (peu importe ce qu'ils vendaient) avaient fait la même
> formation: une formation organisée par une marque de lessive (je me rappelle
> plus laquelle). Le premier cours: "si vous savez vendre de la lessive, vous
> savez tout vendre !".


Ce que tu dis ne contredit pas mon point de vue : va vendre de la lessive à quelqu'un qui n'en a pas besoin ou envie. On peut peut être tout vendre à n'importe qui, mais pas sans avoir sérieusement intéressé le prospect.


Grueavatar nptrc9 - Eugenol
Le Choixpeau magique

01/07/2011 à 14h22

Cingulum écrivait:
------------------
> Essayons un Exercice pratique:
> Patiente 35 ans, se présente en consultation, elle raconte qu'elle n'ose plus
> sourire, elle a fait faire des couronnes devant en haut, mais il y a 2 mm de
> racine visible, et seules 23 et 16 ne sont pas mobile au maxillaire....
>
>
> Comment gérez vous la consultation et la suite.
> Je vous mettrais ma chronologie détaillée par la suite.....
>


Après la pano, et l'examen clinique, je lui parlerais de sa maladie des gencives, que cette maladie est dans une forme très grave.
Si je le sens, je lui dirais que malheureusement ses dents ne sont pas sauvables.
En général, surtout à cet âge là, la patiente ne s'y attend pas et souvent les larmes viennent. Et à partir de ce moment là je ne sais plus gérer, en général elle se ferme.

Si au contraire elle s'en doutait et vient pour la solution, là je n'ai aucun mal à lui parler d'extraction totale, pose de deux appareils provisoires le jour des extractions, et réalisation de deux PAC, avec complément de rétention implantaire à la mandibule. Je propose également la solution fixe sur implant, mais en général c'est refusé (j'ai un seul patient qui a accepté avant de décéder avant la pose, malheureusement véridique).


1...78910