Cookie Consent byPrivacyPolicies.comProthèse et cmu - Eugenol

Prothèse et cmu

chicote64

26/05/2011 à 17h19

de plus on est en train de mélanger tout et n'importe quoi.En matière de soins obligation de moyens et pour la prothèse obligation de résultat(à moins que ça n'aie changé?)


ameli

26/05/2011 à 18h42

radich_a_tord écrivait:
-----------------------

> Je fais quoi selon la sécu ?

Tu fais comme tu veux, il n'y a ni règle ni dogme ni obligation, juste du bon sens.
L'exemple est bon : si l'accident est réel, la sécu peut repayer (fracas facial, prothèse explosée, etc ?). Si l'accident est inventé, le renouvellement de la prothèse est injustifié, et elle ne sera pas payée. Ou plutôt si, par le patient !
Soit tu te renseignes auprès du DC, soit non.
Si c'est non, et si la facture que tu présentes à la CMU ne t'est pas payée, tu fais une prière, et tu demandes son règlement au patient.


ameli

26/05/2011 à 18h48

chicote64 écrivait:
-------------------
> de plus on est en train de mélanger tout et n'importe quoi.En matière de soins
> obligation de moyens et pour la prothèse obligation de résultat(à moins que ça
> n'aie changé?)

Ma chère chicote, enlève-toi ces idées de la tête, ce que tu dis là est passé, hélas. C'était le bon temps.
Dans les faits, nous sommes entrés depuis déjà plusieurs années dans l'ère maudite de l'obligation de satisfaction du patient.
... d'où l'importance d'une part d'être bien assuré, d'autre part de l'informer des différentes tuiles qui peuvent arriver, afin que ce soit lui qui décide d'accepter le soin, et d'accepter ses conséquences funestes, le cas échéant.


caiman

26/05/2011 à 20h28

chicote64 écrivait:
-------------------
> Réponse à Caiman:si toi,tu reussis tout du premier coup,si tu ne fais jamais
> d'erreur d'interprétation sur le nombre de racines d'une dent,chapeau bas!Moi,tu
> vois je m'applique mais parfois je ne fais pas tout comme je le voudrais!De la
> meme façon qu,un médecin peut tatonner sur un diagnostic (voir la
> comparaison)Alors certes,si le médecin doit faire toute une batterie
> d'analyses,de radios et de scans il aura moins de chances de se planter mais à
> quel prix?De meme un cone_bean avant chaque bio tu as plus de renseignements
> qu'avec une simple radio.
Je ne parle pas de réussir à tous les coups , je te demande ce que tu fais et tu ne réponds pas à la question.


caiman

26/05/2011 à 20h30

chicote64 écrivait:
-------------------
> de plus on est en train de mélanger tout et n'importe quoi.En matière de soins
> obligation de moyens et pour la prothèse obligation de résultat(à moins que ça
> n'aie changé?)
Et l'obligation de résultats........... ca se discute au niveau des tribunaux , autrement c'est trop facile


caiman

26/05/2011 à 20h33

radich_a_tord écrivait:
-----------------------
> Tiens j'ai le cas à l'instant.
>
> Un mec se pointe, CMU, pour refaire une PAP.
> Je vois dans le logiciel que mon collègue en a fait une (résine) l'an dernier.
>
> D'après ce que me dit le mec, il a perdu la première prothèse au cours d'un gros
> accident (coma). Mon collègue me met en garde, il a pas été totalement payé la
> dernière fois (malgré une réclamation). Le patient n'a pas de carte vitale, mais
> une attestation à jour, et après contrôle sur ameli.fr a la CMU-C.
>
> Il me demande un stellite.
>
> ça sent fortement le mec qui aime pas sa résine et qui veut un truc plus fin.
> Je fais quoi selon la sécu ?

Moi je fais , parce que tu n'as pas le droit de refuser et deux tu dois le soigner selon les dernières données acquises de la science, donc si le type tu lui fais pas , il est capable d'aller le dire à la sécu que c'est pas ce qu'il voulait .......et les emm... vont commencer.


Canard fkryf7 - Eugenol
Agachon

26/05/2011 à 21h14

ameli écrivait:
---------------
Si l'accident est inventé, le renouvellement de la
> prothèse est injustifié, et elle ne sera pas payée. Ou plutôt si, par le patient
> !
> Soit tu te renseignes auprès du DC, soit non.
> Si c'est non, et si la facture que tu présentes à la CMU ne t'est pas payée, tu
> fais une prière, et tu demandes son règlement au patient.




C'est du grand n'importe quoi. Tu sais très bien que le patient ne règlera jamais, qu'il le puisse ou non. De plus, on a vraiment autre choses à faire que de contacter régulièrement le DC qui est plus ou moins joignable pour ce genre de choses, et tout cela pour des honoraires bradés.

C'est encore ce type de problèmes potentiels qui pousse beaucoup à refuser les CMU, ce que je n'ai jamais fait mais mon taux de CMU est relativement bas. Mais si cela m'arrive un jour, il est certain que je changerai de comportement.


X ray 03 medium zvq18j - Eugenol
cyber_quenottes

26/05/2011 à 21h44

> radich_a_tord écrivait:
> -----------------------
Le patient n'a pas de carte vitale,
> mais une attestation à jour, et après contrôle sur ameli.fr a la CMU-C.

============
sera t'elle a jour , le jour de la pose ?

that is the question !


ameli

26/05/2011 à 23h26

Agachon écrivait:
-----------------

> C'est du grand n'importe quoi. De plus, on a vraiment autre choses à faire que
> de contacter le DC

Mais c'est comme tu veux. C'est pas mon pognon. Tu peux aussi choisir de faire le boulot gratuitement si tu veux.


Björn

26/05/2011 à 23h45

Je propose tout simplement (je suis un homme simple) de faire payer le patient bénéficiaire de la CMU, il se fait rembourser ensuite, comme ça nous sommes payés et la sécu décide si elle veut ou pas rembourser le patient.

Après tout, c'est à la sécu de décider si elle veut payer une seconde fois ou pas.

Qui viendrait nous dire quelque chose?
La sécu?
Bien sûr que non, elle juste le payeur.

Donc faites payer les CMU (tous), pas seulement ceux qui vous avouent avoir été traités récemment.


Ico v for vendetta08 jzhpep - Eugenol
Ratinox

27/05/2011 à 00h17

C'est plus perfide que ça puisque si tu signes la FSS tu attestes de la conformité de tes soins avec la Ngap, la sécu peut rembourser le patient et se retourner contre le vilain prescripteur.

Ce n'est pas que sur les tiers-payants que les indus sont demandés.

C'est comme pour les impôts : tu déclares ce que tu as fait et si tu t'es trompé, c'est après qu'on te tombe sur la gueule.


Pure msn be1nue - Eugenol
drilleur

27/05/2011 à 01h19

ameli écrivait:
---------------
> La prestation est accordée une fois, mais pas deux.
> S'il se passe un incident, on ne repaie pas (ou bien on paie, mais on se
> récupère sur le premier). Mais rien n'interdit au dentiste de faire payer l'acte
> par le patient. Seulement, par un curieux contre-effet, le praticien, tellement
> habitué à ce que le patient ne paie jamais, demande que la prestation soit
> accordée à nouveau, automatiquement, sans qu'on s'interroge sur sa pertinence
> !!! C'est le dentiste, qui n'ose pas faire payer son patient, qui demande que le
> patient soit assisté !?
> La sécu, elle, ne veut pas. Si la prestation doit être refaite, c'est qu'il y a
> quelque chose de pas normal. C'est soit la faute du premier praticien, auquel
> cas le patient doit y retourner pour râler, refaire, soit c'est la faute du
> patient, auquel cas le dentiste doit le faire payer.


Donc pour chaque nouveau patient cmu qui vient pour de la prothèse on doit appeler la sécu pour vérifier que le patient n'a pas de prothèse récemment faite?

On doit donc envoyer tout les cmu à la cpam afin qu'ils obtiennent une attestation comme quoi ya pas eu de prothèse neuve et donc paiement assuré ...

Et pour les reprises d'endo vous récupérez pas, c'est pour ça que vous ne prenez pas en charge?


Bebe 038 nf8eum - Eugenol
danteyeah

27/05/2011 à 01h38

ameli écrivait:
---------------

> L'exemple est bon : si l'accident est réel, la sécu peut repayer (fracas facial,
> prothèse explosée, etc ?). Si l'accident est inventé, le renouvellement de la
> prothèse est injustifié, et elle ne sera pas payée. Ou plutôt si, par le patient
> !
> Soit tu te renseignes auprès du DC, soit non.
> Si c'est non, et si la facture que tu présentes à la CMU ne t'est pas payée, tu
> fais une prière, et tu demandes son règlement au patient.

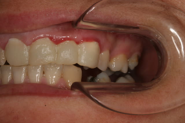
On peut aussi demander au patient de gérer lui même sa situation avec la caisse: récemment une patiente CMU s'est présentée au cabinet avec quatre provisoires en bouche, quatre IC et CCC dans la main (face palatine des CCC trouées) un travail d'il y a 2 mois que le précédent praticien semble avoir du mal à adapter, elle veut tout refaire, donc je fais 2 radios, tirage papier et lui dit de contacter sa CPAM pour contrôler si le paiement est encore possible, 2 semaines plus tard coup de fil du CDC qui me confirme que le dossier se débloque, et 1 semaine plus tard encore, la patiente se présente avec une attestation lui permettant de refaire le travail, la caisse ayant récupérée son indu auprès du précédent praticien. Rien de compliqué la dedans, ça m'a pris 5 minutes en explication avec la patiente et en impression pour les radios.
Tiens pour la rigolade...photo!! Voila pour certains ce que mérite un patient CMU pour 2000€ environ (c'est dans cet état que la patiente s'est présentée au cabinet)

Cmu preop hblpun - Eugenol

caiman

27/05/2011 à 07h50

Agachon écrivait:
-----------------
>
>
>
>
> C'est du grand n'importe quoi. Tu sais très bien que le patient ne règlera
> jamais, qu'il le puisse ou non. De plus, on a vraiment autre choses à faire que
> de contacter régulièrement le DC qui est plus ou moins joignable pour ce genre
> de choses, et tout cela pour des honoraires bradés.
>
> C'est encore ce type de problèmes potentiels qui pousse beaucoup à refuser les
> CMU, ce que je n'ai jamais fait mais mon taux de CMU est relativement bas. Mais
> si cela m'arrive un jour, il est certain que je changerai de comportement.

+1
Bien sur que le patient CMU ne paie jamais , c'est ecrit sur le papier qu'il t'amène et ou la sécu a ecrit que tous les actes rentrant dans le panier de soins sont gratuits, ce qui t'amène à pas mal d'accrochages quand tu leur expliques que les provisoires ne le sont pas et que les couronnes esthétiques sur les 6, ils peuvent se brosser.

Maintenant tu n'as pas le droit de refuser les CMU, sauf à leur donner rendez vous avant 10H du matin, auquel cas ils ne viendront pas, c'est trop tot.


caiman

27/05/2011 à 07h58

danteyeah écrivait:
-------------------

>
> On peut aussi demander au patient de gérer lui même sa situation avec la caisse:
> récemment une patiente CMU s'est présentée au cabinet avec quatre provisoires en
> bouche, quatre IC et CCC dans la main (face palatine des CCC trouées) un travail
> d'il y a 2 mois que le précédent praticien semble avoir du mal à adapter, elle
> veut tout refaire, donc je fais 2 radios,
> Tiens pour la rigolade...photo!! Voila pour certains ce que mérite un patient
> CMU pour 2000€ environ (c'est dans cet état que la patiente s'est présentée au
> cabinet)

Juste une question pour ta CMU:
-quatre IC ca fait 122;55x4=environ 600 euro
-qui a payé 2000 euro ? la sécu ou la patiente ?
- et ca correspond à quoi les 1400 euro ? à des provisoires ?

Si la patiente a régle 1400 euro ce serait phénoménal
donc c'est la sécu et je ne crois pas que la sécu paie 1400 euro pour des provisoires ou alors le "con"frère va etre mal.
Tu peux donner plus de précisions?


caiman

27/05/2011 à 08h01

Björn écrivait:
---------------
> Je propose tout simplement (je suis un homme simple) de faire payer le patient
> bénéficiaire de la CMU, il se fait rembourser ensuite, comme ça nous sommes
> payés et la sécu décide si elle veut ou pas rembourser le patient.
>
> Après tout, c'est à la sécu de décider si elle veut payer une seconde fois ou
> pas.
>
> Qui viendrait nous dire quelque chose?
> La sécu?
> Bien sûr que non, elle juste le payeur.
>
> Donc faites payer les CMU (tous), pas seulement ceux qui vous avouent avoir été
> traités récemment.

Si tu y arrives tu es trés fort et ensuite je ne sais pas si tu en as le droit.


Bebe 038 nf8eum - Eugenol
danteyeah

27/05/2011 à 08h43

caiman écrivait:
----------------
> danteyeah écrivait:
> -------------------
>
> >
> > On peut aussi demander au patient de gérer lui même sa situation avec la
> caisse:
> > récemment une patiente CMU s'est présentée au cabinet avec quatre provisoires
> en
> > bouche, quatre IC et CCC dans la main (face palatine des CCC trouées) un
> travail
> > d'il y a 2 mois que le précédent praticien semble avoir du mal à adapter, elle
> > veut tout refaire, donc je fais 2 radios,
> > Tiens pour la rigolade...photo!! Voila pour certains ce que mérite un patient
> > CMU pour 2000€ environ (c'est dans cet état que la patiente s'est présentée au
> > cabinet)
>
> Juste une question pour ta CMU:
> -quatre IC ca fait 122;55x4=environ 600 euro
> -qui a payé 2000 euro ? la sécu ou la patiente ?
> - et ca correspond à quoi les 1400 euro ? à des provisoires ?
>
> Si la patiente a régle 1400 euro ce serait phénoménal
> donc c'est la sécu et je ne crois pas que la sécu paie 1400 euro pour des
> provisoires ou alors le "con"frère va etre mal.
> Tu peux donner plus de précisions?

Caiman faut qu'tu dormes la nuit, sérieusement tu es très énervé sur ce post, il te tiens à coeur celui la! Relies les post en entier sans sauter de mots et tu verras écrit IC et CCC soit Inlay core et céramocéramique sans les abréviation. Beaucoup de tes post tire des conclusion hâtive, prends la peine de lire les autres en prenant ton temps. L'intérêt du mien n'était pas dans le prix du travail puisqu'il correspond au panier CMU, ni même de la qualité des soins fournis (ce n'est qu'une parenthèse), mais simplement de développer l'idée que le patient peut participer à la connaissance de l'état de sa CMU. En réalité pour n'importe quel patient (CMU inclus) on fait un devis et celui ci le présente à sa mutuelle pour connaître son remboursement, pourquoi cela devrait-il en être autrement pour un CMU: on lui fait un devis (dans le panier autorisé), il va à sa CPAM et demande si cela sera remboursé, on lui demande une attestation de prise en charge par sa CPAM (la mutuelle dans ce cas là) et ca prend pas plus de temps que pour n'importe quel autre patient.


caiman

27/05/2011 à 10h34

danteyeah écrivait:
-------------------
> caiman écrivait:
> ----------------
> > danteyeah écrivait:
>
> Caiman faut qu'tu dormes la nuit, sérieusement tu es très énervé sur ce post, il
> te tiens à coeur celui la! Relies les post en entier sans sauter de mots et tu
> verras écrit IC et CCC soit Inlay core et céramocéramique sans les abréviation.
> Beaucoup de tes post tire des conclusion hâtive, prends la peine de lire les
> autres en prenant ton temps. L'intérêt du mien n'était pas dans le prix du
> travail puisqu'il correspond au panier CMU, ni même de la qualité des soins
> fournis (ce n'est qu'une parenthèse), mais simplement de développer l'idée que
> le patient peut participer à la connaissance de l'état de sa CMU. En réalité
> pour n'importe quel patient (CMU inclus) on fait un devis et celui ci le
> présente à sa mutuelle pour connaître son remboursement, pourquoi cela
> devrait-il en être autrement pour un CMU: on lui fait un devis (dans le panier
> autorisé), il va à sa CPAM et demande si cela sera remboursé, on lui demande une
> attestation de prise en charge par sa CPAM (la mutuelle dans ce cas là) et ca
> prend pas plus de temps que pour n'importe quel autre patient.

Le fait de se reveiller tot n'empeche rien
-un tu nous montres une photo avec des provisoires
-deux pourquoi un devis si tu restes dans le panier de soins pour un CMU?
-Pourquoi dis tu que le patient s'est fait faire des définitives trouées ? pour 2200 euro ? et on voit des provisoires?

Alors peut etre que je me reveille tot mais toi tu dois te coucher tard parce que ton sujet n'est pas clair non plus.

ps IC inlay core oui
CCC ceramo céramique : fallait trouver

Et pourquoi des ceramo céramiques sur le cas CMU et pas des céramo- métalliques ?

Ai je compris ? et toi tu es reveillé ?


Bebe 038 nf8eum - Eugenol
danteyeah

27/05/2011 à 11h58

danteyeah écrivait:
-------------------

> récemment une patiente CMU s'est présentée au cabinet avec quatre provisoires en
> bouche, quatre IC et CCC dans la main (face palatine des CCC trouées), un travail
> d'il y a 2 mois que le précédent praticien semble avoir du mal à adapter, elle
> veut tout refaire,........


Donc je traduit pour Caiman: 4 provisoires en bouche.... tout va bien??? oui, puis 4 IC dans la main...et 4 CCC dans la main avec un jolie trou en palatin = CCC pas adapter et praticien qui meule la face palatine de sa CCC jusqu'à la trouer.

Donc tout à refaire, donc devis panier de soins qui est une obligation légale (il semble que tu ne le fasses pas, donc demande à Améli ce qu'il en pense!) et la patiente m'annonce après s'être renseigné à la sécu que le précédent praticien à percu 4x122.55€, + 4x375€, soit le travail définitif, c'est là que je lui donne les radios pour faire valoir ses droits auprès de la CPAM, elle ne désire plus retourner chez le précédent praticien, je la pousse à y retourner (c'est à lui de débloquer la situation normalement), elle le fait et ça n'adapte toujours pas, elle en à marre et demande au CDC si elle peut faire ce travail ailleurs. Donc je récupère 4 provisoires, une paro bien ravagée par les provisoires 4IC (céramisées) et 4 CCC (Emax) trouées. Pourquoi un tel boulot labo??? j'en sais rien! mais le sujet encore une fois ce n'est pas ça. C'est juste que c'est la patiente qui à fait toutes les démarches, moi je me suis contenté de faire 2 radios et de lui dire de gérer elle même avec sécu et premier praticien. Donc ma conclusion est que les patients CMU peuvent eux même aller vérifier si les travaux prothétique qu'on leur propose est remboursable ou non.


king_zoulou

27/05/2011 à 12h21

4 IC céramisés + 4 emax chez un patient cmu = confrère quand même visiblement achement consciencieux = patiente visiblement achement pète-burnes.
Mais je peux me tromper ^^


caiman

27/05/2011 à 12h31

danteyeah écrivait:
-------------------
> danteyeah écrivait:
> Donc tout à refaire, donc devis panier de soins qui est une obligation légale
> (il semble que tu ne le fasses pas, donc demande à Améli ce qu'il en pense!) et
> la patiente m'annonce après s'être renseigné à la sécu que le précédent
> praticien à percu 4x122.55€, + 4x375€, soit le travail définitif, c'est là que
> je lui donne les radios pour faire valoir ses droits auprès de la CPAM, elle ne
> désire plus retourner chez le précédent praticien, je la pousse à y retourner
> (c'est à lui de débloquer la situation normalement), elle le fait et ça n'adapte
> toujours pas, elle en à marre et demande au CDC si elle peut faire ce travail
> ailleurs. Donc je récupère 4 provisoires, une paro bien ravagée par les
> provisoires 4IC (céramisées) et 4 CCC (Emax) trouées. Pourquoi un tel boulot
> labo??? j'en sais rien! mais le sujet encore une fois ce n'est pas ça. C'est
> juste que c'est la patiente qui à fait toutes les démarches, moi je me suis
> contenté de faire 2 radios et de lui dire de gérer elle même avec sécu et
> premier praticien. Donc ma conclusion est que les patients CMU peuvent eux même
> aller vérifier si les travaux prothétique qu'on leur propose est remboursable ou
> non.


caiman

27/05/2011 à 12h41

@Dante...
Merci c'est plus explicite.

Je ne crois toujours pas au devis dans le cadre du panier de soins.
Si il y a des confrères qui travaillent comme cela ...... y a du souci pour eux
Tu me dis tout est à refaire ?
Ne peux tu pas récupérer les IC ?
Ce que tu voulais dire c'est que tu t'es emmerdé pour deux radios à déméler l'affaire avec le CD pour savoir ce qu'il est possible de faire

Et bien oui si tu as des CMU comme tout le monde , c'est un monde à part, des assistés qu'il faut prendre par la main.

Il y a des pb paro? c'est normal , ils se nourissent mal , pas de sous et fument des cigarettes et quelque fois aussi boivent pour oublier et non pas d'argent pour s'acheter des brosses à dents et dentifrices car ce n'est pas subventionné par la Sécu.

Le monde est ainsi fait avec des gens de toutes les catégories sociales et tous les niveaux

Par contre le "confrère " qui a fait cela est suicidaire à deux points de vue
-il fait des céramiques sans armature(danger +cout exhorbitant et pour quelle raison puisqu'il y a des TFM?)
-ne connait pas toutes les subtilités de la profession.


king_zoulou

27/05/2011 à 12h47

Je suis quand même assez d'accord pour faire des devis aux CMU.
D'une part, ça les responsabilise en leur montrant combien ils coûtent à la société. Et puis, effectivement, d'autre part, ça peut nous éviter tout le tintouin dont parle améli depuis plusieurs pages.


Bebe 038 nf8eum - Eugenol
danteyeah

27/05/2011 à 16h23

king_zoulou écrivait:
---------------------
> 4 IC céramisés + 4 emax chez un patient cmu = confrère quand même visiblement
> achement consciencieux = patiente visiblement achement pète-burnes.
> Mais je peux me tromper ^^

Eh oui tu te trompes, patiente adorable, plutôt traumatisé au début puis de plus en plus cool, travail en finition, cicatrisation paro à finalisé, j'suis pas payé comme il faudrait mais ce fut un travail finallement agréable à mener!


Bebe 038 nf8eum - Eugenol
danteyeah

27/05/2011 à 16h29

caiman écrivait:
----------------
> @Dante...
> Merci c'est plus explicite.
>
> Je ne crois toujours pas au devis dans le cadre du panier de soins.
> Si il y a des confrères qui travaillent comme cela ...... y a du souci pour eux
> Tu me dis tout est à refaire ?
> Ne peux tu pas récupérer les IC ?
> Ce que tu voulais dire c'est que tu t'es emmerdé pour deux radios à déméler
> l'affaire avec le CD pour savoir ce qu'il est possible de faire

P'tain t'es bouché toi! Non Non Non, j'ai fait 2 radios un devis et c'est tout, C'EST LA PATIENTE (en gros tu me liras peut être enfin) qui a fait elle même les démarches auprès de CPAM et CDC.



>
> Et bien oui si tu as des CMU comme tout le monde , c'est un monde à part, des
> assistés qu'il faut prendre par la main.
>
> Il y a des pb paro? c'est normal , ils se nourissent mal , pas de sous et fument
> des cigarettes et quelque fois aussi boivent pour oublier et non pas d'argent

N'importe quoi! encore,; regarde la photo à ce moment, provisoires largement en surcontour avec débordement de tempbond ++++, c'est iatrogène.


> pour s'acheter des brosses à dents et dentifrices car ce n'est pas subventionné
> par la Sécu.
>
> Le monde est ainsi fait avec des gens de toutes les catégories sociales et tous
> les niveaux

Et même des chirdents donneur de leçon et bourré de clichés!

>
> Par contre le "confrère " qui a fait cela est suicidaire à deux points de vue
> -il fait des céramiques sans armature(danger +cout exhorbitant et pour quelle
> raison puisqu'il y a des TFM?)
> -ne connait pas toutes les subtilités de la profession.

Bon là enfin on est d'accord!