Cookie Consent byPrivacyPolicies.comInlay/Onlay après traitement endodontique - Eugenol

Inlay/Onlay après traitement endodontique

Grueavatar nptrc9 - Eugenol
Le Choixpeau magique

22/06/2011 à 00h41

Art-dent écrivait:
------------------
> Moi personnellement ça me gêne de tailler cette dent sur toute sa périphérie

Moi aussi !

> Vous allez pas me dire que vous faites des composites en bouche aussi beaux et
> sculptés qu'un prothésiste sur un plan de travail???

Je sais pas, mais tous les inlays compos que je vois passer se voient à des kilomètres, et ne sont pas vraiment en continuité sur les faces occlusales, alors les proximales j'ose pas imaginer.... En pratique je trouve ça plutôt crado.


Logo vuaztn - Eugenol
mac

22/06/2011 à 09h36

maz écrivait:
-------------
(parce que faire une bonne occlusion si il
> manque une cuspide et qu'on est sous digue, je sais pas faire)


Oui ben c'est plus un inlay ça.


maz

22/06/2011 à 11h06

mac écrivait:
-------------
> maz écrivait:
> -------------
> (parce que faire une bonne occlusion si il
> > manque une cuspide et qu'on est sous digue, je sais pas faire)
>
>
> Oui ben c'est plus un inlay ça.

ne jouons pas sur les mots, le titre du post est inlay/onlay et marc parlait bien de recouvrir des cuspides trop fragiles en méthode directe.


P1060810  800x600  dlavv9 - Eugenol
Hebken

22/06/2011 à 11h18

cerec les mecs, cerec ;-)


Logo vuaztn - Eugenol
mac

22/06/2011 à 11h20

maz écrivait:
-------------
> mac écrivait:
> -------------
> > maz écrivait:
> > -------------
> > (parce que faire une bonne occlusion si il
> > > manque une cuspide et qu'on est sous digue, je sais pas faire)
> >
> >
> > Oui ben c'est plus un inlay ça.
>
> ne jouons pas sur les mots,


on est quand même sur un forum professionnel, enfin bon.

je suis d'accord avec choixp, pas d'indication d' INLAY à part financière, ONLAY c'est différent.


Img 9301 q0yyqn - Eugenol
Art-dent

22/06/2011 à 12h46

Le Choixpeau magique écrivait:
------------------------------
> Je sais pas, mais tous les inlays compos que je vois passer se voient à des
> kilomètres, et ne sont pas vraiment en continuité sur les faces occlusales,
> alors les proximales j'ose pas imaginer.... En pratique je trouve ça plutôt
> crado.

Ca c'est intéressant...Mais en même temps on peut faire la même remarque sur n'importe quel acte : couronne ou soin, etc, ça dépend quand même de l'opérateur

Sur ceux que tu as posé? tu dis que pour un inlay ça te parait ridicule, mais un onlay (après une endo, c'est pas une 'larme'de composite qui est nécessaire), ton recul sur les tiens? (c'est pas une critique, je précise car sur un forum difficile de mettre l'intonation)
C'est justement pour ça que j'ai ouvert ce sujet, intellectuellement parlant, inlay/onlay semblent plutôt avantageux, mais en pratique? c'est pour ça que je demande vos expériences

Pour le Cerec, c'est juste l'outil qui diffère, mais le raisonnement est le même :)

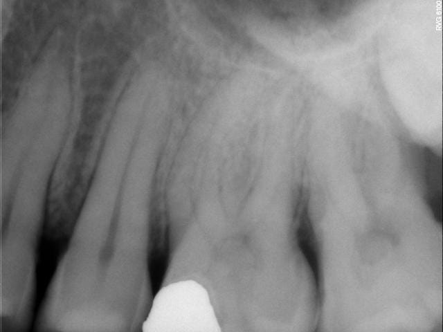
En pièce jointe la dent qui m'a fait posé cette question(radio pré-op) On se rapproche quand même bien du cas de Céramik, pour ne pas dire que c'est le même...

--

R1 n4l4by - Eugenol

Grueavatar nptrc9 - Eugenol
Le Choixpeau magique

22/06/2011 à 12h49

Y en a au moins un qui suit !


200106 10150128247663588 709988587 6466236 5598391 n d7mksb - Eugenol
hallboy

22/06/2011 à 13h06

mac écrivait:
-
>
> je suis d'accord avec choixp, pas d'indication d' INLAY à part financière, ONLAY
> c'est différent.

+1


Grueavatar nptrc9 - Eugenol
Le Choixpeau magique

22/06/2011 à 13h13

Art-dent écrivait:
------------------
> Sur ceux que tu as posé?

Bah les inlays que j'ai posés, je suis sûr que j'aurais pu faire mieux, en moins de séances, avec un compo direct.

Les onlays, c'est sans doute bien, mais en céramique, et là c'est des problèmes pratiques qui se posent à moi: pas de prothésiste pour les faire, acte plutôt chronophage, non rentable et difficile à vendre.

Je ne juge personne, je fais ce que je dis et je dis ce que je fais.


Gbazylo1 fvg1vg - Eugenol
Aron

22/06/2011 à 13h25

Les avantages cités des inlays versus compo direct:

-ne pas faire couler un cabinet qui fait du bon boulot (bjorn)
oui d'accord, mais on n'est pas vraiment dans l'aspect médical, là, sauf si on élargit le débat comme tu le fais aux actes connexes, mais du coup le débat change un peu...

-le point de contact. Je ne savais pas que c'était impossible à réaliser en direct. Vous avez créé des millions de tassements alimentaires pour avancer ça?

- état de surface et anatomie. Pourquoi pas. Mais il faut alors avoir le courage de bien montrer au patient qu'il va payer tant de plus pour "l'état de surface et les sillons secondaires". Pour rien de plus (voir la littérature à ce sujet). Et encore, c'est vrai qu'on en voit des tout plats et des moches, des inlays.
Je fiche mon billet qu'il en a rien à foutre, le patient, de ses sillons secondaires, s'il est un peu juste financièrement. Et alors dans ce cas, vous allez me répondre "ben je le soigne pas"?


Grueavatar nptrc9 - Eugenol
Le Choixpeau magique

22/06/2011 à 13h58

Aron écrivait:
--------------
> Je fiche mon billet qu'il en a rien à foutre, le patient, de ses sillons
> secondaires, s'il est un peu juste financièrement. Et alors dans ce cas, vous
> allez me répondre "ben je le soigne pas"?

Y a pas de honte à faire un bel AMG, ou à offrir un compo direct au patient si il se brosse les dents. Mais là ce n'est plus une question médicale mais de charité.


Gbazylo1 fvg1vg - Eugenol
Aron

22/06/2011 à 14h10

Je suis d'accord, mais est-ce compatible avec un cabinet qui veut être rentable de ses inlays parce qu'il fait du bon boulot couteux pour le praticien par ailleurs?

Parce que là, si tu expliques aux patients que leur inlay est (infiniment) plus cher parce qu'il est plus beau en surface mais surtout plus simple pour toi pour des questions de rentabilité, on peut avancer sans trop craindre de se tromper qu'ils seront une majorité à choisir le compo direct.

Sinon la solution c'est de mettre du HN sur les compos stratifiés directs. Tout le monde est content. Sauf la sécu.


Björn

22/06/2011 à 14h23

Le Choixpeau magique écrivait:
------------------------------
> Björn écrivait:
> ---------------
> > Un dentiste qui soigne TOUTES les caries de ses nouveaux patients (en les
> > cherchant) avec des composites directs dans les règles de l'art et sans faire
> > d'inlays peut mettre la clé sous la porte.
>
> Ah meeerrrddddeeeee ! C'était donc ça !
>
>



Quelle bande d'enfoirés!!! :-)
C'est juste pour enfoncer le clou (dans la tête de ceux qui essaient de faire croire le contraire): un CD qui a le revenu moyen d'un CD (ou supérieur), avec des horaires moyens (ou inférieurs) de CD , sans faire d'inlays, ni implants, ni ODF, fait de la merde (sous-traitement: on ne cherche pas les caries, sur-traitement: on les cherche mais on fait systématiquement IC/CCM).


Björn

22/06/2011 à 14h28

mac écrivait:
-------------

> je suis d'accord avec choixp, pas d'indication d' INLAY à part financière,


Financier au sens de maintenir à flot un cabinet produisant des traitements de bonne qualité, oui.
Mais "faire plus de fric", non! C'est un peu trop simpliste.


Grueavatar nptrc9 - Eugenol
Le Choixpeau magique

22/06/2011 à 14h46

Björn écrivait:
---------------
> Financier au sens de maintenir à flot un cabinet produisant des traitements de
> bonne qualité, oui.
> Mais "faire plus de fric", non! C'est un peu trop simpliste.

Il n'y a pas de jugement de valeur dans ma déclaration. Celui qui fait des inlays correctement, avec un collage adéquat, ne fait pas de la mauvaise dentisterie, mais complique les choses inutilement, à mon avis.


RépondreCiter
Björn

22/06/2011 à 15h08

Inutilement d'un point de vue médical sans aucun doute.
Je crois qu'on est tous d'accord.


Ico v for vendetta08 jzhpep - Eugenol
Arnaud Go

23/06/2011 à 00h35

Bon ben tout le monde est d'accord sur l'aspect scientifique.

Et chacun agira selon sa conscience et s'adaptera ou non à la demande du patient.

Remarquez qu'on (non je vais dire je) m'adapte déjà et fais des concessions en foutant des dents en l'air pourtant conservables mais au prix de soins coûteux que le patient refuse. Je pourrais pourtant les faire ces soins en perdant de l'argent mais je me borne à en perdre sur ceux auxquels on ne peut se soustraire.

Chacun considère comme honteux de faire un bridge sur des dents intactes pour raison de remboursement mais on trouve normal de faire une couronne plutôt qu'un onlay pour finalement les mêmes raisons. Donc celui qui lance la pierre aux autres peut à différents degrés se la prendre sur le pif.

Maintenant chacun met le curseur de l'acceptable selon sa sensibilité et ses convictions, il est libre.

Mais il est assez déplacé de lancer l'opprobre sur les praticiens qui à valeur médicale équivalente choisissent l'acte avec lequel ils se font du fric pour employer une expression péjorative alors qu'ils pourraient en perdre.


Ce forum a parfois des allures de catharsis économisant de potentielles séances de psy en permettant à chacun de voir plus clair car dans notre activité de puissantes forces s'opposent : argent, dignité professionnelle et morale et estime de soi.


king_zoulou

23/06/2011 à 00h57

Aron écrivait:
--------------

> Parce que là, si tu expliques aux patients que leur inlay est (infiniment) plus
> cher parce qu'il est plus beau en surface

Bah d'un autre côté, le français moyen ne sachant pas ce qu'est le fil dentaire, autant faire une face proximale parfaitement lisse au labo (je précise que mon critère pour faire un inlay est simple et se résume en une phrase "mais comment je vais faire pour faire un truc propre avec un cratère pareil !")


Smile beach jgh0a1 - Eugenol
Céramik

23/06/2011 à 02h11

hallboy écrivait:
-----------------
> mac écrivait:
> -
> >
> > je suis d'accord avec choixp, pas d'indication d' INLAY à part financière,
> ONLAY
> > c'est différent.
>
> +1



Je suis d'accord
Je ne fais pas d'inlay, les compo sous digue sont aussi bon, sauf quelques exeptions (volumes, pt de contact)

Je fais par contre bcp d'onlay, couronne 3/4.
Les couronnes complêtes ne sont pas si souvent indiquées, même après endo.

Mais avec les IC et la digue, ça reste un débat sans fin...


--
Céramik


P1060810  800x600  dlavv9 - Eugenol
Hebken

23/06/2011 à 12h01

A lire ou a relire.


http://www.has-sante.fr/portail/upload/docs/application/pdf/2009-10/texte_court_inlay_onlay.pdf


maz

24/06/2011 à 00h20

Une méta-analyse conclut de l’avantage en terme de longévité des restaurations
indirectes par rapport aux restaurations directes, il est démontré que le taux d’échec
annuel des restaurations directes (3 %+/-2,0) est supérieur au taux d’échec des
restaurations indirectes (2 %+/-2,9).

tiré du rapport de la HAS cité

est ce que j'ai bien compris, le 1% de différence, c'est par année ?
ça veut dire qu'au bout de 20 ans, ça fait 20% de différence ?


Img 9301 q0yyqn - Eugenol
Art-dent

25/06/2011 à 01h28

Non ça fait toujours 1%, Le rapport ne change pas
C'est pas le nombre d'échec à 1 an, mais le nombre d'échec par an, donc tous les ans c'est le même.
Je sais pas si je suis clair... ;)


--


Img 4593 pnrtmh - Eugenol
teethsurfer

26/06/2011 à 02h01

La différence est tout de même évidente!

Je réalise des composites conséquents et des onlays céromères sur molaires depuis assez longtemps pour constater que les premiers s'usent et perdent leur anatomie, alors que les deuxièmes conservent leur formes originelles mêmes au delà d'une dizaine d'années.

Le choix n'est que financier car tous mes patients sont avertis que l'onlay est la meilleure solution dans le cas de gros délabrements et le composite n'est présenté que comme une solution transitoire en attendant qu'ils en aient les moyens.

Si certains préfèrent réaliser des IC + couronnes uniquement pour une question de rentabilité, la solution est alors d'augmenter le prix de leurs onlays selon leur tarif horaire tout en tenant compte de l'économie de séances réalisée.


Ico v for vendetta08 jzhpep - Eugenol
Arnaud Go

27/06/2011 à 19h07

Une question pour les cadors :

Sur la photo 3 reste plus que de l'émail en L, une vraie coque d'œuf prête à imploser.

Le compo sans tenon, était-ce la meilleure soluce ?
Perso je mets un peu de flow sur les parois avant de mettre le chargé afin d'être sûr que ce dernier mouille bien les parois, est-ce une connerie qui compromet tout le schmilblick ? Pour les classe V, j'applique ce procédé, j'ai lu je ne sais plus où que c'était la nouvelle procédure.


Et pour les rois du HN, vous voyez un moyen de mettre un peu de beurre dans les épinards ?


PS : hé, elle est cool la caméra chinoise à 100€ !

Stillcap0012 fg0cxz - Eugenol
Stillcap0013 ksfuny - Eugenol
Stillcap0014 har0dq - Eugenol
Stillcap0016 zf06b6 - Eugenol
Stillcap0017 f4hxee - Eugenol
Stillcap0018 qgfjjd - Eugenol
86 20110607 14 31 48 twxrjh - Eugenol

Marque a3 orange fyvhyq - Eugenol
Marc Apap

27/06/2011 à 20h33

Tu aurais aussi bien pu ne pas dépulper, mettre de la biodentine, attendre 15 jours et faire un Sc7 en composite par dessus (wharf wharf !!)