Cookie Consent byPrivacyPolicies.comcouronnez-vous encore systématiquement les molaires - Eugenol

couronnez-vous encore systématiquement les molaires dépulpées?

003 penrd2 - Eugenol
Cingulum

09/11/2011 à 12h20

C'est du pressé maquillé, pressé puis stratifié ?
C'est le prix que me facture mon prothésiste pour des couronnes e-max stratifiées... donc je trouve ça cher pour un onlay...


--
Dr Cingulum
-----Ancien interné----
----Attaché à l'apex----
http://www.clinic-all.fr/ formation par passion


01 ukhwbq - Eugenol
Bobby

09/11/2011 à 13h31

Ils sont stratifiés il me semble. Le delta me semble également peu important par rapport à une couronne.
N'ayant pas de Variolink dans le cabinet dans lequel je travaille, je les colle au Panavia, mais les joints sont moins jolis qu'avec du Variolink, ou même du RelyX.
Le RelyX offre-t-il les mêmes performances que le Variolink?

Sous l'impulsion du forum, je me suis remis au sc33, tenon fibré et compo, ayant eu la chance d'avoir une démo à la fac par Cingulum himself ^^
Avec un peu de recul, j'ai vraiment l'impression d'avoir été formaté spr 57 à la fac, et c'est bien dommage.
Vous attendez combien de temps entre l'endo et le sc33 pour pas qu'il y ait de problèmes avec l’eugénol?
J'ai par ailleurs lu qu'un rinçage endo final à la CHX augmentait les valeurs d'adhésion. C'est quelque chose que vous faites couramment?


003 penrd2 - Eugenol
Cingulum

09/11/2011 à 14h25

Bobby écrivait:
---------------
> Ils sont stratifiés il me semble. Le delta me semble également peu important par
> rapport à une couronne.
> N'ayant pas de Variolink dans le cabinet dans lequel je travaille, je les colle
> au Panavia, mais les joints sont moins jolis qu'avec du Variolink, ou même du
> RelyX.
> Le RelyX offre-t-il les mêmes performances que le Variolink?

Variolink, c'est du compo dual, associé à un adhésif...
Relyx c'est un hybride résine CVi self etching...pour des onlays bien calés ça peut suffire mais si tu veux un collage optimale, c'est mordançage + Adéhsif + composite ( de plus en plus je pense revenir à des compos de collage seulement photo...)


>
> Sous l'impulsion du forum, je me suis remis au sc33, tenon fibré et compo, ayant
> eu la chance d'avoir une démo à la fac par Cingulum himself ^^
> Avec un peu de recul, j'ai vraiment l'impression d'avoir été formaté spr 57 à la
> fac, et c'est bien dommage.

pas par moi ;)

> Vous attendez combien de temps entre l'endo et le sc33 pour pas qu'il y ait de
> problèmes avec l’eugénol?

le moins de temps possible, plus le temps passe, plus l'eugenol diffuse dans la dentine...
le mieux pour le collage c'est un scellement canalaire sans eugenol


> J'ai par ailleurs lu qu'un rinçage endo final à la CHX augmentait les valeurs
> d'adhésion. C'est quelque chose que vous faites couramment?

Je fais pas... tu aurais les références de l'article ?



--
Dr Cingulum
-----Ancien interné----
----Attaché à l'apex----
http://www.clinic-all.fr/ formation par passion


01 ukhwbq - Eugenol
Bobby

09/11/2011 à 14h45

En fait c'est CHX + EDTA

http://www.ncbi.nlm.nih.gov/pubmed/21418411

http://www.ncbi.nlm.nih.gov/pubmed/21598502

http://www.ncbi.nlm.nih.gov/pubmed/19758258

Ici pas de bénéfice, mais il ne s'agit pas du même produit de collage http://www.ncbi.nlm.nih.gov/pubmed/19133100

Ici baise de l’adhésion par l’hypochlorite http://www.ncbi.nlm.nih.gov/pubmed/17055913

Article biblio http://www.jcda.ca/fr/article/b16


Squash u44zd8 - Eugenol
steph

09/11/2011 à 17h04

Le consensus est difficile à obtenir, tu peux lire qu'il faut un rinçage final à l'EDTA mais sans plus de présence d'hypochlorite dans le canal, éviter le mélange CHX et hypochlorite qui provoque des précipités, et maintenant il faudrait rincer à la CHX.
Il semblerait même que l'hypochlorite fragiliserait la dent...


marco17

09/11/2011 à 17h11

Cingulum écrivait:
------------------
si tu veux un collage optimal, c'est mordançage + Adhésif +
> composite ( de plus en plus je pense revenir à des compos de collage seulement
> photo...)


effectivement conf de P. Magne la semaine dernière et son protocole c'est
mordançage, optibond FL ( primer puis bonding)et composite photo ( enamel HRI ) chauffé pour être plus "fluide"


Marque a3 orange fyvhyq - Eugenol
Marc Apap

09/11/2011 à 17h21

Nouveau snobisme : comment on polymérise un composite photo sous 4 mm de céramique ou au fond d'un canal ?

Quant à le chauffer, j'ai lu qq part que la rétraction de prise était augmentée. Mais surtout, il me semble tellement plus judicieux de le vibrer pour le fluidifier. Les composites sont thixotropes.


ceel

09/11/2011 à 17h28

IL PARLAIT DU COLLAGE DE FACETTES TRANSLUCIDES


003 penrd2 - Eugenol
Cingulum

09/11/2011 à 17h32

Marc Apap écrivait:
-------------------
> Nouveau snobisme : comment on polymérise un composite photo sous 4 mm de
> céramique ou au fond d'un canal ?
>
> Quant à le chauffer, j'ai lu qq part que la rétraction de prise était augmentée.
> Mais surtout, il me semble tellement plus judicieux de le vibrer pour le
> fluidifier. Les composites sont thixotropes.

Dans les cas de Magne ce sont des overlay, et facette,
Tu as jamais 4 mm de ceram...
Et bien sur tu utilises un compo classique photo que dans les cas ou tu peux photopolymériser Marc, pas dans un canal..
Il faut remonter les fond de cavité endo, avec un compo fluide ou CVI, puis pièce céramique collée...
Il fait une polymérisation longue sur toute les faces...
La vibration est un très bon outils pour mettre en place la composite...
Les composites dual ne sont pas exempte d'inconvénient, notamment une prise toujours incomplète...



--
Dr Cingulum
-----Ancien interné----
----Attaché à l'apex----
http://www.clinic-all.fr/ formation par passion


Marque a3 orange fyvhyq - Eugenol
Marc Apap

09/11/2011 à 17h56

Merci pour ces précisions, je comprends évidemment, car le composite de plus haute viscosité est effectivement bien plus performant qu'un fluide dual (sur la plan de la rétraction de prise, du degré de conversion et de la résistance mécanique entre autre).
Mais comme nous en étions à la réalisation de reconstitutions type SC33, je pensais que la technique proposée était en relation avec les restaurations post and core.


Fouilla h6plsy - Eugenol
fouilla

09/11/2011 à 19h37

Cingulum écrivait:
------------------
> C'est du pressé maquillé, pressé puis stratifié ?
> C'est le prix que me facture mon prothésiste pour des couronnes e-max
> stratifiées... donc je trouve ça cher pour un onlay...
>
>
> --
> Dr Cingulum
> -----Ancien interné----
> ----Attaché à l'apex----
> http://www.clinic-all.fr/ formation par passion

140€uros pour ton emax tu travailles chinois :-)) va falloir que tu me donne l'adresse de ton labo en mp s'il te plait c'est le prix d'une ccm chez le mien ...
--
.


Ico v for vendetta08 jzhpep - Eugenol
Arnaud Go

09/11/2011 à 20h01

Vous êtes méchants de ne pas laisser Marco se défouler après une longue journée de boulot !

Hé, Magne, ce n'est pas Jésus ! Je rappelle une discussion sur le SDI où il n'y avait que le messie qui trouvait des valeurs de collage supérieurs en collage immédiat.

Quels sont les compos pour coller inlays/onlays/facettes qui vous ont donné satisfaction après plusieurs tests ? Je dois commander mais le choix n'est pas facile. Par ailleurs les adhésifs de n'importe quelle marque font-ils l'affaire tant qu'on passe par l'étape orthophosphorique ou il y a de grosses diféérences ?


003 penrd2 - Eugenol
Cingulum

09/11/2011 à 20h06

Comment dire... :)
http://www.clinic-all.fr/conference.php?id=12

non sans déconner j'essaye de te faire une réponse synthétique demain ;)


--
Dr Cingulum
-----Ancien interné----
----Attaché à l'apex----
http://www.clinic-all.fr/ formation par passion


01 ukhwbq - Eugenol
Bobby

09/11/2011 à 20h24

Marc Apap écrivait:
-------------------

> Quant à le chauffer, j'ai lu qq part que la rétraction de prise était augmentée.

Rien que la rétraction de refroidissement, à moins qu'on le chauffe à 37°, ça doit jouer^^


maz

10/11/2011 à 10h03

non Magne n'est pas le messie, il trouve les énormes différences de valeurs d'adhésion entre IDS et collage le jour de la pose parce qu'il fait ses mesures sans polymériser l'adhésif sur la dent
il dit que si on polymérise l'adhésif sur la dent, ça crée une surépaisseur qui empèche de bien placer la pièce
il a raison parce qu'il utilise l'optibond FL, qui est très épais, mais il existe quand même des adhésifs que l'on polymérise en couche beaucoup plus fine, et qu'on peut donc polymériser avant de mettre la colle sans aucun soucis
de ce coté là, l'IDS a des avantages, mais il a entre autres comme inconvénient de rendre la surface impropre à une bonne empreinte à l'impregum, je vais donc rester pour le moment à une adhésion le jour de la pose.

pour ce qui est des épaisseurs de 4 mm, lors du TP le lendemain, amir chafaie, un prof de marseille l'a un peu asticoté sur ce sujet, lui disant que la lumière ne pouvait pas passer, et magne à cité deux études
- une de 95 ou ils avaient polymerisé des onlays cerec (de l'époque, moins translucides que maintenant) avec les lampes de l'époque (400mW) et que ça avait donné d'excellentes valeurs
- et une autre plus récente ou ils ont fait des tests de fatique jusqu'à la fracture sur des gros onlays ou la colle était photo et polymerisée à travers la pièce, et ou les traits de fracture ne passaient pas du tout par les lignes de colle, ce qui montrait que la qualité du collage est plus forte que tout ce dont on a besoin

pour lui c'est le genre de truc qui est aussi évident et depuis longtemps que le fait pour les marseillais de coller avec la digue unitaire ne gène jamais pour les points de contact

pour avoir testé récemment de coller au compo photo, c'est un tel bonheur d'enlever les excès comme ça, que je pense que je vais m'y convertir définitivement


Marque a3 orange fyvhyq - Eugenol
Marc Apap

10/11/2011 à 10h20

Il a fait des études in vitro et on ne sait pas comment se comporte la pulpe dans ce cas. Comme toujours, il y a sûrement des biais dont il ne se rend peut être même pas compte car il maîtrise bien sa technique.
Mais entre des mains inexpertes, proposer d'utiliser un compo photo, c'est la porte ouverte à toutes les dérives avec à la clé, des descellements ou /et des nécroses pulpaires
Si on veut copier élite, il faut être excellent soi même. Autrement, mieux vaut rester modeste et jouer la sécurité.


ceel

10/11/2011 à 11h46


> Quels sont les compos pour coller inlays/onlays/facettes qui vous ont donné
> satisfaction après plusieurs tests ? Je dois commander mais le choix n'est pas
> facile. Par ailleurs les adhésifs de n'importe quelle marque font-ils l'affaire
> tant qu'on passe par l'étape orthophosphorique ou il y a de grosses diféérences
> ?
pour le collage d'une facette.
sur la dent mordançage de l'email,
rinçage
séchage
2 couches de primer optibond fl( cinq selon stephen khouby)
séchage
adhésif optibond fl : deux couches: séchage important
polymérisation.
sur facettes
ac fluorhydrique. varie selon le type de céramique à mordancer et la concentration de l'email. apparement 20 secondes pour concentration à 5% sur emax
rinçage
nettoyage de la facette aux US selon magne ( khouby et Shafai moins convaincus)
silane sur facette
sechage
controle etat de surface de la facette ( si brillant remettre silane et sécher à l'air chaud)
colle nexus 3 ( ou enamel hri chauffé selon magne)
selon certains polymerisation flash retrait des exces
polymérisation finale


003 penrd2 - Eugenol
Cingulum

10/11/2011 à 12h31

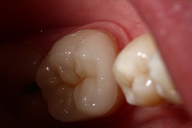
un cas d'onlay "dépulpé"
Si on fait SC33 ou Faux moignon, la structure résiduelle de la dent n'aura plus rien à voir....
Là il y a pas de tenon dans les racines aussi...

pressé maquillé...


--
Dr Cingulum
-----Ancien interné----
----Attaché à l'apex----
http://www.clinic-all.fr/ formation par passion

Img 0132 agkvcy - Eugenol
Img 0127 cytmj4 - Eugenol
Img 0124 uudgwp - Eugenol
Img 0123 pl9j4e - Eugenol
Img 0131 mv5dpw - Eugenol
Img 0129 zmylc6 - Eugenol

maz

10/11/2011 à 15h25

ceel écrivait:
--------------

> pour le collage d'une facette.
> sur la dent mordançage de l'email,

et de la dentine !!

> 2 couches de primer optibond fl( cinq selon stephen khouby)

non, les 5 couches c'était pour le all bond 2

> séchage
> adhésif optibond fl : deux couches: séchage important

pas besoin de 2 couches d'adhésif avec l'optibond FL
c'est le all bond 2 encore une fois, l'optibond FL est un peu épais pour le collage indirect (d'où l'IDS)


> silane sur facette
> sechage
> controle etat de surface de la facette ( si brillant remettre silane et sécher à
> l'air chaud)

non, si brillant, passer la facette dans l'eau bouillante, puis sécher à l'air chaud


macfrancis

10/11/2011 à 17h19

Pour info ceux qui voudrait écouter Magne il est à bruxelles le samedi 10/12

http://www.cidae.be/home.php


Ico v for vendetta08 jzhpep - Eugenol
Arnaud Go

10/11/2011 à 18h19

Merci pour l'info mais on ne dit pas écouter Magne mais boire ses saintes paroles.

Un peu d'écume de café sur ton onlay, il est grave beau, c'est dommage de le poser dans la bouche d'un patient.

Le programme de ta formation est super-intéressante pour remettre les idées au clair (mais tu peux répondre quand même) mais un peu loin la capitale des Gaules, ça fait des frais, tout le monde n'a pas un train de vie de dentiste. Tu ne bouges pas ?

Merci Ceel, pas besoin de prendre le TGV pour avoir une réponse.


Grueavatar nptrc9 - Eugenol
Le Choixpeau magique

10/11/2011 à 20h54

ceel écrivait:
--------------
> 2 couches de primer optibond fl( cinq selon stephen khouby)
> séchage
> adhésif optibond fl : deux couches: séchage important
> polymérisation.
> sur facettes

Attention, l'optibond FL est vachement épais une fois photopolymérisé (un des seuls adhésifs radio-opaque, car chargé à 48% !), il n'est pas conseillé de le polymériser avant de mettre l'élément en place sinon tu cherches les problèmes. Si tu ne le polymérises pas, les valeurs d'adhésion sur dentine s'effondrent, si tu es 100% sûr de n'être que dans l'émail ça peut passer.
Les Magne & Co qui l'utilisent pour leurs collages indirects font tous de l'IDS, leur empreinte inclue déjà l'épaisseur de l'adhésif photopolymérisé, et ils ne polymérisent pas avant mise en place.


Grueavatar nptrc9 - Eugenol
Le Choixpeau magique

10/11/2011 à 20h57

Cingulum écrivait:
------------------
> un cas d'onlay "dépulpé"
> Si on fait SC33 ou Faux moignon, la structure résiduelle de la dent n'aura plus
> rien à voir....
> Là il y a pas de tenon dans les racines aussi...


Superbe traitement qui marchera sûrement très bien, mais alors pourquoi ne pas pousser le raisonnement à fond : qu'est-ce qui t'empêche de faire un compo direct dans ce cas ?


003 penrd2 - Eugenol
Cingulum

10/11/2011 à 23h15

Le Choixpeau magique écrivait:
------------------------------
> Cingulum écrivait:
> ------------------
> > un cas d'onlay "dépulpé"
> > Si on fait SC33 ou Faux moignon, la structure résiduelle de la dent n'aura
> plus
> > rien à voir....
> > Là il y a pas de tenon dans les racines aussi...
>
>
> Superbe traitement qui marchera sûrement très bien, mais alors pourquoi ne pas
> pousser le raisonnement à fond : qu'est-ce qui t'empêche de faire un compo
> direct dans ce cas ?


- Mauvaise expérience avec les compos,
- Gain en coût proche de Zéro
- je fais pas donc je fais moins bien...
- Je crois qu'a 10 - 15 ans, la céramique a un avantage en terme de stabilité...
mais sur les grosses restaurations les onlay compo semblent avoir un bon pronostic mécanique,


--
Dr Cingulum
-----Ancien interné----
----Attaché à l'apex----
http://www.clinic-all.fr/ formation par passion


Grueavatar nptrc9 - Eugenol
Le Choixpeau magique

11/11/2011 à 00h15

J'ai dit compo DIRECT et pas indirect !


1...91011...