Cookie Consent byPrivacyPolicies.comcouronnez-vous encore systématiquement les molaires - Eugenol

couronnez-vous encore systématiquement les molaires dépulpées?

003 penrd2 - Eugenol
Cingulum

11/11/2011 à 00h29

En direct ?
alors là je veux bien que tu développes ton raisonnement...
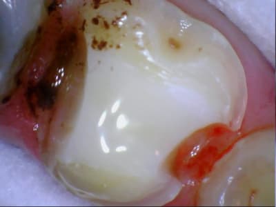
Un compo en direct, sur un molaire dépulpée, ce serait avec une cavité purement occlusale pour moi... en tout cas pas de cuspide reconstruite...


--
Dr Cingulum
-----Ancien interné----
----Attaché à l'apex----
http://www.clinic-all.fr/ formation par passion


Smile beach jgh0a1 - Eugenol
Céramik

11/11/2011 à 00h44

Cingulum écrivait:
------------------
aussi...
>
> pressé maquillé...
>

>
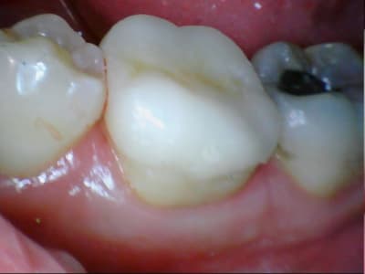
Photo pour mon ami Cingulum
2 p'tites e-max




--
Céramik

E max du jour gvion8 - Eugenol

003 penrd2 - Eugenol
Cingulum

11/11/2011 à 00h56

Très jolies :)



--
Dr Cingulum
-----Ancien interné----
----Attaché à l'apex----
http://www.clinic-all.fr/ formation par passion


Grueavatar nptrc9 - Eugenol
Le Choixpeau magique

11/11/2011 à 01h36

Cingulum écrivait:
------------------
> En direct ?
> alors là je veux bien que tu développes ton raisonnement...

Mon raisonnement, c'est qu'il n'y a aucune différence entre compo indirect et direct, c'est ce qui dit la littérature.

> Un compo en direct, sur un molaire dépulpée, ce serait avec une cavité purement
> occlusale pour moi... en tout cas pas de cuspide reconstruite...

Et pourquoi donc ? Moi je ne sais pas le faire, parce que mes mains ne savent pas le faire, mais pourquoi ça ne serait pas possible ?

Si tu admets l'indirect, tu admets le direct !


Smile beach jgh0a1 - Eugenol
Céramik

11/11/2011 à 02h23

Le Choixpeau magique écrivait:
------------------------------
> Cingulum écrivait:
> ------------------
> > En direct ?
> > alors là je veux bien que tu développes ton raisonnement...
>
> Mon raisonnement, c'est qu'il n'y a aucune différence entre compo indirect et
> direct, c'est ce qui dit la littérature.
>
> > Un compo en direct, sur un molaire dépulpée, ce serait avec une cavité
> purement
> > occlusale pour moi... en tout cas pas de cuspide reconstruite...
>
> Et pourquoi donc ? Moi je ne sais pas le faire, parce que mes mains ne savent
> pas le faire, mais pourquoi ça ne serait pas possible ?
>
> Si tu admets l'indirect, tu admets le direct !

Si je cite P Magne, ton comp direct est polymérisé à 50 % et il contracte.
Ton compo indirect est bcp plus polymérisé et la contraction se fait en dehors de la dent, reste juste le joint du collage, qq fraction
de mm, donc, je pense que le compo indirect est mieux.
Tu gagnes aussi en morphologie, et pts de contact. Si la cavité est minime, un direct c' est ok, sinon, l'indirect c'est mieux.


--
Céramik


Smile beach jgh0a1 - Eugenol
Céramik

11/11/2011 à 02h25

Cingulum écrivait:
------------------
> Très jolies :)
>
>
>
> --
> Dr Cingulum
> -----Ancien interné----
> ----Attaché à l'apex----
> http://www.clinic-all.fr/ formation par passion

Merci, et c'est pas du A1 cette fois !
;-)


--
Céramik


maz

11/11/2011 à 08h57

il y a au moins un point ou on est sur que l'indirect est mieux, c'est l'usure

le compo indirect étant cuit, il est plus dur, et c'est justement ce qui est bien avec, c'est qu'il a un niveau d'usure idéal avec l'émail antagoniste (on est proche du niveau de l'or qui était le gold standart^^), ce qui n'est pas le cas du compo direct

ensuite il y a quand même la difficulté technique de monter un onlay quand tu couvres toute la face occlusale, ça devient horriblement difficile

je veux bien suivre pour raisonnement pour les inlays, mais pour les onlays je trouve ça un peu dur


Marque a3 orange fyvhyq - Eugenol
Marc Apap

11/11/2011 à 09h59

Je ne suis pas tout à fait d'accord dans la pratique : hier, je suis allé voir mon prothésiste et l'un de ses employés réalisait un inlay en composite. Il utilise le gradia. J'ai rarement vu des composites de laboratoire avec d'aussi bonnes propriétés mécaniques que des nanochargés hybrides que l'on a actuellement pour les reconstitutions directes. En général, ils ne sont pas radio opaques. Et sur des inlays, j'ai souvent eu des fractures proximales en raison de porte à faux importants, ce qui arrive exceptionnellement avec un composite direct.
Pour la sculpture et la finition évidemment, c'est plus facile en indirect.
Pour les habitués des inlays composite (personnellement, ce n'est pas ma tasse de thé : a moyen terme, les résultats flatteurs du début sont très bof bof) quel est le meilleur matériau (marque) selon vous ?


Grueavatar nptrc9 - Eugenol
Le Choixpeau magique

11/11/2011 à 11h05

Céramik écrivait:
-----------------
> Si je cite P Magne, ton comp direct est polymérisé à 50 % et il contracte.
> Ton compo indirect est bcp plus polymérisé et la contraction se fait en dehors
> de la dent, reste juste le joint du collage, qq fraction
> de mm, donc, je pense que le compo indirect est mieux.

Ca c'est la théorie... maintenant comment expliquez vous qu'aucune étude clinique n'ai réussi à mettre en évidence cet avantage ?

>il y a au moins un point ou on est sur que l'indirect est >mieux, c'est l'usure

Ah non, je suis pas d'accord du tout, tu as des références scientifiques qui montrent ça ?

>le compo indirect étant cuit, il est plus dur, et c'est justement ce qui est bien avec, c'est qu'il a un niveau d'usure idéal avec l'émail antagoniste (on est proche du niveau de l'or qui était le gold standart^^), ce qui n'est pas le cas du compo direct

Aucun lien entre dureté et résistance à l'usure !

>ensuite il y a quand même la difficulté technique de monter un onlay quand tu couvres toute la face occlusale, ça devient horriblement difficile

Ah bah oui, il faut se former !

;)

> hier, je suis allé voir mon prothésiste et l'un de ses employés réalisait un inlay en composite. Il utilise le gradia. J'ai rarement vu des composites de laboratoire avec d'aussi bonnes propriétés mécaniques que des nanochargés hybrides que l'on a actuellement pour les reconstitutions directes.

Oui, en plus le gradia est un des composites indirects ayant les plus mauvaises propriétés physiques du marché.

Résistance à la compression : GrandioSo Voco 439 Mpa Clearfil Majesty Posterior 504 Mpa

Puisque tu aime bien la dureté, Dureté Vickers :
GrandioSO 100.8 HV Clearfil Majesty Posterior 139 HV


maz

11/11/2011 à 16h43

ben voilà ou j'en suis, et pourquoi je dis que c'est plus mieux le compo de labo, qui en l'occurence peut être le même mais cuit au four (100° 5 min je crois)

ça sort du dvd de pascal magne, mais chez vanini il disait grosso modo la même chose, c'est lui qui comparait le compo polymerisé au labo à l'or en termes d'usure et d'usure de l'antagoniste


Grueavatar nptrc9 - Eugenol
Le Choixpeau magique

11/11/2011 à 17h05

Ce sont des bons cliniciens, mais après ils disent ce qui les arrange.
Les chiffres de ton document n'ont aucune espèce d'incidence clinique.


Grueavatar nptrc9 - Eugenol
Le Choixpeau magique

11/11/2011 à 17h28

Stomatologija. 2007;9(2):56-60.
Influence of the mechanical properties of composites for indirect dental restorations on pattern failure.
Klymus ME, Shinkai RS, Mota EG, Oshima HM, Spohr AM, Burnett LH.
Source

Pontifical Catholic University of Rio Grande do Sul, Brazil.
Abstract

This study evaluated the fracture pattern of four composites for indirect dental restoration relating to three-point flexural strength, compressive strength and modulus of elasticity (Solidex, Artglass, belleGlass, and Targis). Ten specimens of each composite were tested in a universal testing machine at 0.5 mm/min crosshead speed for flexural strength and 1mm/min for compressive strength. Fracture pattern was classified as complete or partial fracture. Modulus of elasticity was calculated from flexural strength data. Composites polymerized under high temperatures (belleGlass and Targis) had higher flexural strength and elastic modulus values than composites polymerized by light (Artglass and Solidex). However, they failed earlier under compression because they were more rigid and showed partial fracture in the material bulk.

PMID:
17637528
[PubMed - indexed for MEDLINE]


maz

11/11/2011 à 17h50

je vois pas trop l'intérêt de faire une barre de compo et de forcer dessus pour voir ou ça pète, surtout avec des compos d'il y a 15 ans.

à ce moment là, le métal est mieux que le reste...

c'est plutôt l'ensemble dent restoration qu'il faut évaluer, et ses relations avec l'antagoniste


Marque a3 orange fyvhyq - Eugenol
Marc Apap

11/11/2011 à 19h52

Ce type d'expérimentation permet d'évaluer la résistance à la fracture en flexion : c'est précisément le problème avec les composites de laboratoire au niveau des faces proximales, si le porte à faux (indice de Le Huche) est important. Le modèle expérimental est donc tout à fait pertinent pour cela.
En fouillant dans la littérature, on pourrait peut être avoir une comparaison entre compo de labo et compo pour le travail en bouche, je n'ai pas fait cette recherche.
Cela n'a rien à voir avec l'adhésion du composite à la dent, et sa résistance à l'usure, qui sont d'autres composantes à prendre en compte. Un composite de faible résistance à la flexion, même bien collé, sera plus cassant qu'un autre, à cause de ses propriétés intrinsèques. C'est ce qui se passe avec les CVI qui sont résistants en compression, mais pas en flexion et se fracturent souvent après un ou deux ans au niveau des boites proximales.


Ico v for vendetta08 jzhpep - Eugenol
Arnaud Go

21/11/2011 à 21h52

Je me suis lancé, on va voir ce que ça va donner la semaine prochaine. On mutile un peu moins c'est vrai, surtout qu'avec une prépa de dépouille pour une couronne on dézingue de fait beaucoup plus dans la partie occlusale.
J'ai tout recouvert en occlusal avec congé large.

Mis-à-part que les photos sont celles de ma cam (Chinese inside) qu'est-ce que j'aurais du faire ou ne pas faire ?

J'ai un peu peur pour l'esthétique du joint (e-max programmée) quels compos pour le collage vous semblent les plus indiqués puisque là faut pas compter sur une activation photo ?

Et d'ailleurs dans le cas d'un onlay uniquement occlusal sans boîte proximale faut-il compter sur une photo-polymérisation car ça ressemble un peu à une facette ?

Stillcap0006 alfeak - Eugenol
Stillcap0012 w4dgkg - Eugenol
Stillcap0009 zsthm4 - Eugenol

Ico v for vendetta08 jzhpep - Eugenol
Arnaud Go

29/11/2011 à 19h22

Assez nase l'onlay Emax en couleur (B2.5 demandée, les deux teintes à côté B2 et B3), en sculpture mais là je suis responsable, j'aurais dû ménager plus de place.

J'ai etché silané mais aurais-je dû ? J'ai pris du G-Cem, j'ignore si c'est aussi efficace qu'en collage classique.

J'ai posé une digue sur la seule dent, erreur car avec l'épaisseur de la feuille, ça passe plus en proximal, donc j'ai maintenu l'élément encollé au pouce, retiré tout le tintouin en vitesse et retrouvé un torrent salivaire menaçant.
À la réflexion à froid j'aurais dû donner deux coups de ciseau/scalpel sur la digue en proximal, ç'aurait été mieux en dépannage.

Je ne sais pas encore quelle compo auto prendre pour les collages, la teinte a probablement été altérée par le G-Cem. Il y a le classique Variolink pratique avec ses seringues à produit hydrosoluble pour essai esthétique mais est-ce le meilleur produit ?

Il n'y aurait pas eu une languette profonde en distal j'aurais pris un compo photo et insolé au travers de l'onlay.

Stillcap0026 wp3kjt - Eugenol
Stillcap0030 ccv7io - Eugenol
Stillcap0031 xafll3 - Eugenol
Stillcap0033 o8wzms - Eugenol
Stillcap0027 syhcuy - Eugenol
Stillcap0032 bycxwy - Eugenol
Stillcap0036 ednvzn - Eugenol
Stillcap0039 uby5tg - Eugenol
Stillcap0028 q8ooqh - Eugenol
Stillcap0034 hdmh4r - Eugenol
Stillcap0029 sohajl - Eugenol

ceel

29/11/2011 à 19h53

je trouve que ta prepa peripherique est vraiment nickel. tu bosses avec des loupes ?


Ico v for vendetta08 jzhpep - Eugenol
Arnaud Go

29/11/2011 à 20h31

Non, c'est à force de passer les TP de conjointe en septembre.

Peut-être pas suffisamment car à la photo je viens même d'observer un coup de fraise sur la prémolaire, pourtant j'ai des coins à matrice Directa que j'aurais pu utiliser. C'est comme l'amour hongrois, on groit que c'est bien mais c'est pas bien.


maz

29/11/2011 à 21h08

la digue unitaire n'empêche pas l'insertion de la pièce au niveau des points de contact

par contre sur ta photo 2 on peut imaginer que le clamp géne pour l'insertion

et un truc pareil, j'appelle ça une couronne et je facture une couronne et cote SPR50

le GCem ne vaut pas du tout un vrai collage

le GCem n'est pas responsable de la couleur de ton onlay


Ico v for vendetta08 jzhpep - Eugenol
Arnaud Go

29/11/2011 à 22h04

T'as raison, on voit bien une griffe de crampon qui peut gêner, peut-être avec un clamp à prémolaire ?

Pour la nomenclature on n'est pas loin même si les limites sont à mi-hauteur. Dans le doute... tiens, je demanderais au CDC demain qui vient au cab.

Pour la teinte ok c'est de ma faute, enfin celle du prothésiste, donc la mienne.

Pour le type de colle ce qui me gêne le plus c'est l'esthétique du joint plus que l'adhésion inférieure, là on n'en a pas vraiment besoin. J'avais déjà scellé au CVI mais là le joint est immonde (mais peut-être qu'il y a des marques ?).

Ce qui m'apparaît jouable avec les colles automordançantes c'est l'absence de digue alors qu'avec un protocole classique c'est quasi impossible, sauf peut-être facettes sur I et C maxillaires mais je n'ai pas l'expérience des ténors du forum.

Et quand je vois les travaux d'Alapex ça me rend humble.


Ico v for vendetta08 jzhpep - Eugenol
Arnaud Go

09/12/2011 à 18h30

Le DC qui est venu me parler des biphospho machin m'a dit non, pas de SPR50 là-dessus.
Qu'ils continuent comme ça, il n'y aura plus aucun intérêt à être conventionné.
Après on peut toujours faire et en cas de contrôle batailler au TASS mais en ai-je vraiment l'envie?


Ico v for vendetta08 jzhpep - Eugenol
Arnaud Go

26/01/2012 à 21h39

Ce n'est pas une dent dépulpée mais toute la partie occlusale vestibulaire de 17 est plate comme un porte-avion.

Je me suis dit qu'un onlay n'allait jamais tenir dans ces conditions et ai fait la prépa périphérique.

Avez-vous déjà des onlays dans ces conditions qui ont tenu ?

Onlay ou pas   pano dfoqec - Eugenol
Onlay ou pas f6vepj - Eugenol

Squash u44zd8 - Eugenol
steph

26/01/2012 à 21h54

Tu as de l'émail, pourquoi ça ne tiendrait pas ?

Pour te répondre, oui j'ai déjà fait, et même bien pire puisque c'était sur une 38, ratiboisée jusqu'à 1mm au-dessus de la gencive (sur tout le pourtour de la dent).

Comme quoi j'ai confiance dans le collage...


003 penrd2 - Eugenol
Cingulum

26/01/2012 à 22h17


un cas comme ça? ;)



--
Dr Cingulum
-----Ancien interné----
----Attaché à l'apex----
http://www.clinic-all.fr/ formation par passion

Ceramique part1 xu4hvn - Eugenol

Squash u44zd8 - Eugenol
steph

26/01/2012 à 22h24

Ou celui-là. ;-)

 mg 1918   copie lrhdc3 - Eugenol
 mg 2004   copie u7fgkt - Eugenol

1...101112...