Cookie Consent byPrivacyPolicies.comcouronnez-vous encore systématiquement les molaires - Eugenol

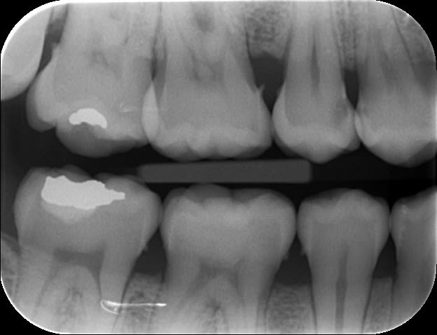
couronnez-vous encore systématiquement les molaires dépulpées?

aldo74

26/01/2012 à 23h36

pour des cas comme ceux la on trouvait des pins en or platiné chez Whaledent il y a quelques années.il était possible de les intégrer dans des onlays composites pour donner de la stabilisation .(devenue introuvable).
dans ce type de configuration j'aurai une préférence pour un matériaux absorbant un peu les contraintes.
comme le Conquest de chez Symphise plutôt que la céramique; que j'utilise depuis plus de 10 ans
avis purement subjectif et un peu clinique quand même.


Ico v for vendetta08 jzhpep - Eugenol
Arnaud Go

27/01/2012 à 00h58

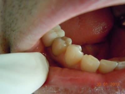
C'est exactement le cas de Steph.

Bon ben j'ai déconné, j'avais fait le plus dur avec la motivation du patient, mais quand le cuspide DV a sauté, je me suis dit, ça peut pas tenir.
T'as résumé : la confiance dans le collage.

Mais bon si Olivier n'avait pas fait sa formation sur la période de l'ADF, j'y serais bien allé mais là ça faisait trop pour le mois. Je cherche des excuses comme je peux.


Squash u44zd8 - Eugenol
steph

27/01/2012 à 01h09

Pour être tout à fait honnête, j'ai collé une base composite, essentiellement pour assurer une stabilité à l'onlay, qui participe aussi à absorber les contraintes.

 mg 1998   copie c1uuqs - Eugenol
 mg 1999   copie yfnwxh - Eugenol

Blocperso talon jer3sl - Eugenol
mrquentin

30/01/2012 à 16h35

est ce que on peut coter un SC33(composite de reconstruction du coeur, mais sans screw post) + SC17 (onlay)?


ceel

30/01/2012 à 17h08

mrquentin écrivait:
-------------------
SC33 + SC17 = controle CDC


Blocperso talon jer3sl - Eugenol
mrquentin

01/02/2012 à 18h08

visite pour dire quoi? visite très négative (redressement) ou juste pour vérifier que c'est pas n'importe quoi?
parce que si je résume:
sur molaire dépulpée, on peut faire du sc33+une couronne ou un spr57/spr67+couronne, mais si on veut éviter de tout massacrer et faire un petit inlay, on peut pas dire qu'on met un truc dans la chambre pulpaire et donc coter un sc33, meme si ca favorise une meilleure assise de l'inlay, que ca permet de mettre de dépouille les parois etc....
bref, meme si c'est justifié, c'est interdit?


Eugéniale

02/02/2012 à 22h57


Bonjr! récente recrue sur le forum,jsuis ortho exclu et mon chir dent a proposé à mon homme un IC et une ccm pour sa 45... ça me semble un peu invasif...
-endo RAS bien que vieille
-pan lingual intact et le vestib. quasi
(quand c'est les siens bizarrement on bugue...)
Bon d'ac. dent dévitalisée=fragile=risque de fracture blabla
Perso elle pas belle (noircie) mais c'est la sienne et il est assez couronné comme ça
qu'est ce que vs en pensez? des Idées?


Dscn0753 ahgw2u - Eugenol
Dscn0750 x2wbw9 - Eugenol

Marque a3 orange fyvhyq - Eugenol
Marc Apap

02/02/2012 à 23h25

Il aurait fallu une photo en vue occlusale. D'après ce que je vois, un joli composite direct doit être largement suffisant. Les prémolaires du bas sont des dents qui se cassent rarement, surtout s'il n'y a qu'une cavité proximale et non MOD (en plus, largement supragingivale)


malimor33

03/02/2012 à 00h59

oui,les plus anciens que j'ai posés tiennent depui 6 ans,E-MAX collés au variolink II .Je n'ai pas de photos mais je l'ai revu il y a 6 mois, pas de pb


Smile beach jgh0a1 - Eugenol
Céramik

03/02/2012 à 06h03

Eugéniale écrivait:
-------------------
>
> Bonjr! récente recrue sur le forum,jsuis ortho exclu et mon chir dent a proposé
> à mon homme un IC et une ccm pour sa 45... ça me semble un peu invasif...
> -endo RAS bien que vieille
> -pan lingual intact et le vestib. quasi
> (quand c'est les siens bizarrement on bugue...)
> Bon d'ac. dent dévitalisée=fragile=risque de fracture blabla
> Perso elle pas belle (noircie) mais c'est la sienne et il est assez couronné
> comme ça
> qu'est ce que vs en pensez? des Idées?
>
>

Il n'y a pas qq chose de louche au mésial de la 47 ?

--
Céramik


maz

03/02/2012 à 10h40

comme marc, un compo suffit
et comme ceramik, il y a un truc louche sur 47


Björn

03/02/2012 à 10h42

Eugéniale écrivait:
-------------------
>
>
> qu'est ce que vs en pensez? des Idées?
>
>


Refaire aussi la 47 (reprise de carie) et la 46 qui sont dégueulasses.
Pour la 45, un truc sans tenon (soir un compo direct avant de prendre l'empreinte pour 46, soit un inlay).
Comme Marc, les prémol du bas se fracturent rarement, mais ça arrive quand même...


Img 0812 mvp6i0 - Eugenol
jeamba

03/02/2012 à 11h39

Pour une ortho exclu la photo occlusale me paraît curieuse quand on a l'habitude d'en faire !!!!!!

Eugéniale écrivait:
-------------------
Bonjr! récente recrue sur le forum,jsuis ortho exclu


Eugéniale

03/02/2012 à 17h13

jeamba écrivait:
----------------
> Pour une ortho exclu la photo occlusale me paraît curieuse quand on a l'habitude
> d'en faire !!!!!!
le souci c'est que je l'ai prise entre midi et 2 à la maison et qu'il n'était pas emballé par l'idée... G pas insisté et je l'ai posté quand même.


Ico v for vendetta08 jzhpep - Eugenol
o⅁ pnɐuɹ∀

14/02/2012 à 22h18

eMax de ce soir.
Collage automordançant G-Cem.

--
Quand Eugénol a exclu Narik, Eugénol a perdu un peu plus que Narik.

Caval t9cjzv - Eugenol
Caval 20120214 18 19 - Eugenol
Caval 20120214 19 19 - Eugenol
Caval 20120214 13 19 - Eugenol
Caval 20120214 15 19 - Eugenol
Caval 20120214 17 19 - Eugenol
Caval 20120214 3 19 - Eugenol
Caval 20120214 4 19 - Eugenol
Caval 20120214 5 19 - Eugenol
Caval 20120214 6 19 - Eugenol
Caval 20120214 8 19 - Eugenol
Caval 20120214 8 19 - Eugenol
Caval 20120214 11 19 - Eugenol
Caval 20120214 16 19 - Eugenol

Little shop of horrors brzqjx - Eugenol
chatondecarte

14/02/2012 à 22h42

Bah voilà un argument de plus pour la levée de l'opposabilité pour les composites. Alors ameli? Qu'est qui favorise le plus l'accès au soins? Cet onaly qui doit coûter entre 300 et 500€ ou un compo à 150€ qui, collé dans les même conditions, aurait un pronostic équivalent?
(Il ne s'agit pas d'une critique de confrère, je prèfère cent fois quelqu'un qui soigne une carie comme ça qu'un autre qui foule 2 couches de compo sans digue)


Smile beach jgh0a1 - Eugenol
Céramik

15/02/2012 à 03h12

Je trouve que c'est un patient qui devrait avoir des soins paro et des compo, pas des e-max. Et j'aime pas le collage au G-cem, en fait c'est le point faible de ton traitement, et c'est si facile de coller ce cas avec le total etch.




--
Céramik


01 ukhwbq - Eugenol
ʎqqoq

15/02/2012 à 13h52

On peut penser qu'Arnaud aura vu le tartre sous-gingival et fait le nécessaire, mais pourquoi pas d'emax et plutôt des compos? Rapport à la taille des cavités? A l'hygiène pas top?


Little shop of horrors brzqjx - Eugenol
chatondecarte

15/02/2012 à 15h40

ʎqqoq écrivait:
---------------
> On peut penser qu'Arnaud aura vu le tartre sous-gingival et fait le nécessaire,
> mais pourquoi pas d'emax et plutôt des compos? Rapport à la taille des cavités?
> A l'hygiène pas top?

Oui rapport à la taille de la cavité. J'ai pas dit que c'était moins bien de faire un emax plutôt qu'un compo, je dis juste que c'est plus coûteux pour un bénéfice médical proche de zéro. Mais évidement si on veut faire un compo qui peut rivaliser avec cet onlay il faudra palper un pru plus que 28,92.


Ico v for vendetta08 jzhpep - Eugenol
o⅁ pnɐuɹ∀

15/02/2012 à 16h30

Alain, pour le choix du composite, d'accord, mais accepterais-tu de le faire pour 28.92€ ?

Ou alors pour plus, avec le risque que le patient se plaigne et que tu sois obligé de lui rembourser la différence voire de recevoir un avertissement ou un blâme comme si tu étais le dernier des mécréants ?

Il y a une équivalence thérapeutique entre les deux solutions tant que la forme de la préparation ne nécessite pas de délabrement, et bien que l'arsenal à mettre en œuvre est bien plus important pour l'inlay, je préfère de l'eMax dans ma bouche (et un peu de joint résine) qu'un compo.

Donc je choisis la solution où le patient est aussi bien soigné et où je ne sors pas du pognon de ma poche quand je le soigne.

Sinon pour le choix de la colle je le partage. Il n'y a pas si longtemps que j'ai commencé les inlays.
Je demande à chaque fois quel système adhésif et compo on utilise on ne me répond pas donc je reste à de l'automordançant tant que je n'ai pas un onlay sans rétention mécanique où là je serais obligé d'y passer, par défaut je prendrais du Variolink et mon adhésif actuel.
Ceci dit pour une classe I, l'automordançant est plus que largement suffisant, même si, qui peut le plus peut le moins.

Pour la paro, je lui ai déjà retiré les spicules tartriques et il est dur à motiver, mais ça finira par venir.

S'il-vous-plaît, quel système adhésif utilisez-vous ?


maz

15/02/2012 à 16h49

dans mon cas j'ai deux méthodes :

soit si IDS : optibond FL (adhésif MR3 photo) et compo chauffé photo classique (colle)

si classique : excite DSC (adhésif MR2 chémo/photo) et nexus 3 (colle chémo/photo)

dans la même situation que toi, je suis en train de pencher du côté des compo avec dépassement ... je me demande comment on peut faire la différence lors d'un contrôle entre un compo et un inlay d'ailleurs


Grueavatar nptrc9 - Eugenol
Le Choixpeau magique

16/02/2012 à 00h10

o⅁ pnɐuɹ∀ écrivait:
-------------------
> sans rétention mécanique où là je serais obligé d'y passer, par défaut je
> prendrais du Variolink et mon adhésif actuel.

Attention, Variolink c'est dual, donc il faut un adhésif compatible.

> S'il-vous-plaît, quel système adhésif utilisez-vous ?

Moi c'est Surpass ou optibond XTR.


Bebe 038 nf8eum - Eugenol
danteyeah

16/02/2012 à 01h01

Le Choixpeau magique écrivait:
------------------------------
> o⅁ pnɐuɹ∀ écrivait:
> -------------------
> > sans rétention mécanique où là je serais obligé d'y passer, par défaut je
> > prendrais du Variolink et mon adhésif actuel.
>
> Attention, Variolink c'est dual, donc il faut un adhésif compatible.
>
Oui et Non:
Donc Dual: total etch +Exite DSC+Variolink (base+catalyseur) +/- photopolymérisation.
Mais pour une pièce fine, le dual n'est pas utile, donc: total etch + Exite + Variolink (base) + photopolymérisation.

Arnaud, le G-Cem est moins indiqué pour le collage d'une part parce que ses valeurs d'adhésion sont moindre que celles des colles composites, mais surtout à cause de sa solubilité plus importante, là tu risques une ouverture de ton joint de collage, certes superficielle mais augmentant le risque de récidive carieuse. C'est ce dernier point qui est le plus important, car pour les valeurs d'adhésion, M.DEGRANGE avait noté sur l'ensemble des batailles des colles (de 2005 et 2006), une bonne valeur d'adhésion pour le RelyX unicem (ancêtre du G-Cem) par rapport au système de collage classique , liée à sa simplicité d'utilisation le rendant peu opérateur dépendant. En clair tout le monde obtient un collage avec des résines automordançantes (de souvenir, pas trop éloigné des valeurs indiquées par le fabriquant), alors que les valeurs obtenues avec les composites de collage (du Nexus 2, et un bisco à l'époque, le Variolink était absent de la bataille que j'ai faite) étaient très variable d'un opérateur à l'autre et donnaient une moyenne d'adhésion, en valeur absolu, inférieure.
Ces batailles étaient très instructives car ton collage était aussitôt testé, ça rend humble et ça montre à quel point les protocoles doivent être respectés à la lettre, et à quel point les "polluants" (humidité, graisse, débris...) font s'effondrer les valeurs d'adhésion.
Ces tests de collage étaient fait "in vitro", alors je te laisse imaginer la complexité supplémentaire lié à la cavité buccale, d'où l'importance de la digue, que tu utilises d'ailleurs avec brio!


Smile beach jgh0a1 - Eugenol
Céramik

16/02/2012 à 03h01


Pour un truc petit comme ton onlay, je colle sous digue, total etch, excite-f, resine photo (calibra, variolink, il y a le choix).

Jamais de dual pour un simple onlay comme cela.

Si je veux du dual, excite dsc, puis duo-link de bisco.

Parfois, kit multilink ( adhésif sam et colle dual), si principalement sur la dentine.

J'ai 10-12 ans de recul avec le calibra en mode photo seulement, sur des couronnes, des facettes, des onlays, jamais eu de soucis de décollage. Tjs sous digue.

Parait que le XTR + Nexus-3 serait super bon, reste à voir dans le temps.

Les colles auto tout en un, jamais, j'aime pas le risque...


Ps pour un compo 2 faces sous digue, je demande 120 euro, au moins.





--
Céramik


Capture d  cran 2015 03 12 12.28 - Eugenol
chicot29

16/02/2012 à 09h17

Et ça les vaut. Mais tu vois ici on travaille dans un sovkhoze : la NGAP.
C'est pour ça que le praticien lui a proposé un ic-couronne. Car comme dans les sovkhozes
"Afin de pallier une faible productivité (des soins SC) et donc une production insuffisante, des lopins de terre (ED-HN) privés furent tolérés dans les sovkhozes (NGAP). Leur surface (montant) fit ensuite l'objet de diverses réformes (Taux URSSAF).
Allez, ce matin je vais bosser dans mon lopin de terre privé y planter quelques Spr 57 et 50. Mais il faut faire gaffe, le komsomol (améli) veille et peut t'envoyer au tribunal du peuple (tass). ))))))


1...11121314